Gå till innehållet
Gå till startsidan

Denna webbplats vänder sig till läkare

Sök

Barnläkarnas 30-åriga arbete med celiaki

I och med förändrade kostråd i Sverige under 1980-talet skedde en dramatisk ökning av celiaki hos barn. Till följd av detta startade Barnläkarföreningen en arbetsgrupp med uppdraget att följa utvecklingen av celiaki hos barn i Sverige. Här sammanfattas de 30 år som arbetsgruppen verkat för att förbättra vården av barn med celiaki.

I den stora matbrist som rådde i and­ra världskrigets Holland noterade barnläkaren Willem Karel Dicke (1905–1962) en drastisk minskning av antalet barn med mal­absorptionssyndrom, det som i dag kännetecknas som klassisk celiaki. I sin forskning kunde han senare visa på den koppling mellan celiaki och intag av gluten, som dittills varit okänd. Precis det motsatta inträffade under 1980-talet i Sverige, med en dramatisk ökning av svår celiaki hos de yngsta barnen och en samtidig ökning av antalet celiaki­fall hos äldre barn och vuxna [1-3] (Figur 1). Detta var upprinnelsen till att Svenska barnläkarföreningens sektion för pediatrisk gastroenterologi, hepatologi och nutrition 1989 initierade en särskild arbetsgrupp för celiaki, med uppdrag att följa utvecklingen av celiaki i Sverige [4].

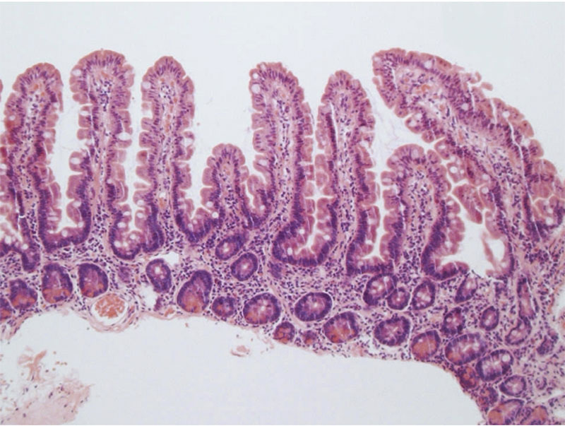
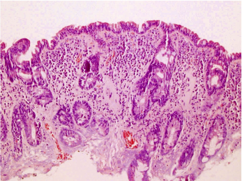
När perorala biopsikapslar för provtagning på tunntarmens slemhinna introducerades under 1960-talet blev det möjligt att påvisa de typiska ljusmikroskopiska slemhinneförändringar som finns hos patienter med celiaki (se bild ovan). Man kunde också visa att tunntarms­förändringarna läkte ut efter behandling med glutenfri kost.

I regi av europeiska barngastroentero­loger inom European Society for Paediatric Gastroenterology, Hepatology and Nutrition (ESPGHAN) utarbetades 1970 strikta kriterier för diagnosen celiaki hos barn [5]. I korthet innebar det att diagnosen celiaki skulle ställas med tre på varandra följande tunntarmsbiopsier: vid den första utredningen med tydliga slemhinneförändringar, efter en cirka årslång period med glutenfri diet som påvisade en normalisering och efter en tids provokation med glutenhaltig mat med ett recidiv av tydlig slemhinneskada. Med början under 1980-talet introducerades de celiakispecifika serologiska markörer­na gliadin-, endomysium- respektive transglutaminasantikroppar. Därmed fick man nya hjälpmedel i diagnostik och kontroll av celiaki. 1990 reviderade därför ESPGHAN sina diagnostiska kriterier så att det räckte med en första biopsi med celiakitypiska förändringar samt kliniskt och serologiskt svar på den glutenfria kosten för att anse diagnosen säkrad. De senaste ESPGHAN-kriterierna för diagnosen celiaki hos barn publicerades nyligen och innebär att man nu, när man lärt sig mer om sjukdomen, i många fall kan avstå från biopsi om nivåerna av transglutaminasantikroppar är > 10 gånger det övre normalvärdet [6]. Diagnostiken ska skö-tas av celiakiintresserade barnläkare (mer information kan inhämtas på Barnläkarföreningens webbplats: www.barnlakarforeningen.se).

Celiakiarbetsgruppen består av celiaki­kunniga barnläkare som representerar alla Sveriges sjukvårdsregioner och kommer från både universitetskliniker och länssjukhus (Tabell 1). I gruppen utses en medlem till ordförande (Tabell 2). Arbetsgruppen träffas två gånger per år, och har från starten 1989 fram till februari 2020 haft 70 protokollförda sammanträden med i snitt 7 deltagare per möte.

Den ursprungliga uppgiften för arbetsgruppen var som nämnts att övervaka celiaki­sjukdomens epidemiologi hos pediatriska
patienter i Sverige. Till en början genomfördes detta med enkätstudier till 14 barn- och ungdomskliniker, för att 1998 utvidgas till att omfatta alla pediatriska
enheter som utför tunntarmsbiopsi. Därmed kunde ett nationellt incidensregister etableras. Detta har skötts via institutionen för epidemiologi och global hälsa vid Umeå universitet, med professor Anneli Ivarsson som huvudansvarig.

Sveriges pediatriker rapporterar barn och ungdomar < 18 års ålder med nydia­gnostiserad celiaki till registret och uppger hela personnumret, om barnet och föräldrar ger sitt samtycke. Det blir därmed möjligt att spåra enskilda individer och bjuda in dem till forskningsprojekt som har godkänts av en etisk kommitté.

Det nationella celiaki­registret ger en unik inblick i sjukdomsutvecklingen över tid [2-3] och har genererat epidemiologiska forskningsresultat som ingått i flera doktorsavhandlingar [7-10]. Såvitt vi vet är det inget annat land i världen som har en så omfattande nationell täckning av celiakiincidensen hos barn, och det ger forskare i Sverige en unik möjlighet, och därmed skyldighet, att utnyttja den guldgruva som registret utgör.

Från att till en början enbart ha stude­rat celiakins epidemiologi hos barn och ungdomar har arbetsgruppens uppgifter successivt utvidgats till att även omfatta andra frågor om celiaki, som exempelvis att formulera kriterier för diagnostik [11-12], uppföljning [13-14] och behandling [15-16] anpassade till svenska förhållanden.

Ett annat syfte med arbetsgruppen är att bevaka det aktuella kunskapsläget om celiaki hos barn och ungdomar genom att kritiskt granska och sammanställa nya forskningsrön för allmänheten [17].

Arbetsgruppen har utarbetat det nationella vårdprogrammet för barn och ungdomar med celiaki, där det senaste utformats tillsammans med vuxengastroenterologer och allmänläkare och gäller för både barn och vuxna (se Barnläkarföreningens webbplats). Vidare anordnar arbetsgruppen olika typer av seminarier och öppna möten, ibland i samarbete med patientföreningen Svenska celiakiförbundet. Arbetsgruppens ambition är att hålla ett nationellt möte vartannat eller vart tredje år med inriktning framför allt på läkare, sjuksköterskor och dietister i den öppna vården. Arbetsgruppen brukar också vara aktiv med föreläsningar under Barnläkarföreningens årliga »Barnvecka«.

Arbetsgruppen tillhandahåller expertis inom pediatrisk celiaki till forskare, barnmatsindustrin, massmedier, olika myndigheter med flera. Vi har bland annat ett fruktbart samarbete med Celiakiförbundet: några av gruppens medlemmar är vetenskapliga rådgivare åt förbundet.

Under årens lopp har arbetsgruppen publicerat 11 artiklar i Läkartidningen och 12 arbeten i internationell vetenskaplig litteratur, främst Acta Paediatrica.

Mot bakgrund av att celiaki är en av de vanligaste kroniska sjukdomarna hos barn, med en prevalens upp mot 3 procent [18], anser vi att arbetsgruppen även framöver har en viktig uppgift att fylla för att stimulera och bidra till celiaki­forskningen, sprida kunskap om celiaki i samhället och hos hälso- och sjukvårdens personal samt säkra en vetenskapligt korrekt diagno­stik och behandling av pediatriska patienter med celiaki.

 

Histologisk bild av duodenalslemhinna: total villusatrofi.

Histologisk bild av duodenalslemhinna: normalt utseende.

Illustration: Jakob Robertsson

Jobb i fokus

Mer att läsa

Mer att läsa