Gå till innehållet
Gå till startsidan
Denna webbplats vänder sig till läkare
Meny
Sök
Nyheter
Klinik och vetenskap
Opinion
Kultur
Patientsäkerhet
Nytt om namn
Kalendarium
Skriv i Läkartidningen
Nyhetsbrev
Seminarier och event
Annonsera
Prenumerera
Böcker
Kontakt
Sök
Klinik och vetenskap
Opinion
Kultur
Läkarkarriär
Emelie Styring
Emelie Styring
Ökad risk för fettembolisyndrom vid Duchennes muskeldystrofi
Fallbeskrivning
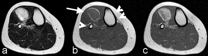
Fetthaltiga mjukdelstumörer i rörelseapparaten ofta godartade
Översikt