Denna webbplats vänder sig till läkare
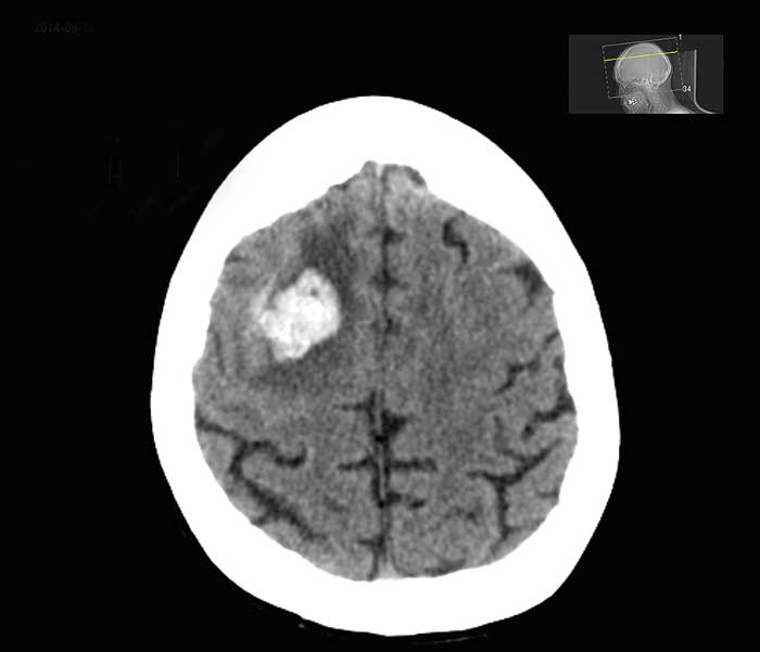
Fallbeskrivning
Klinik och vetenskap Fall bland syskon visar möjlig ärftlighet