Gå till innehållet
Gå till startsidan
Denna webbplats vänder sig till läkare
Meny
Sök
Nyheter
Klinik och vetenskap
Opinion
Kultur
Patientsäkerhet
Nytt om namn
Kalendarium
Skriv i Läkartidningen
Nyhetsbrev
Seminarier och event
Annonsera
Prenumerera
Böcker
Kontakt
Sök
Klinik och vetenskap
Opinion
Kultur
Läkarkarriär
Gustaf Westerberg
ST-läkare
neurologi, Helsingborgs lasarett
Gustaf Westerberg
ST-läkare
neurologi, Helsingborgs lasarett
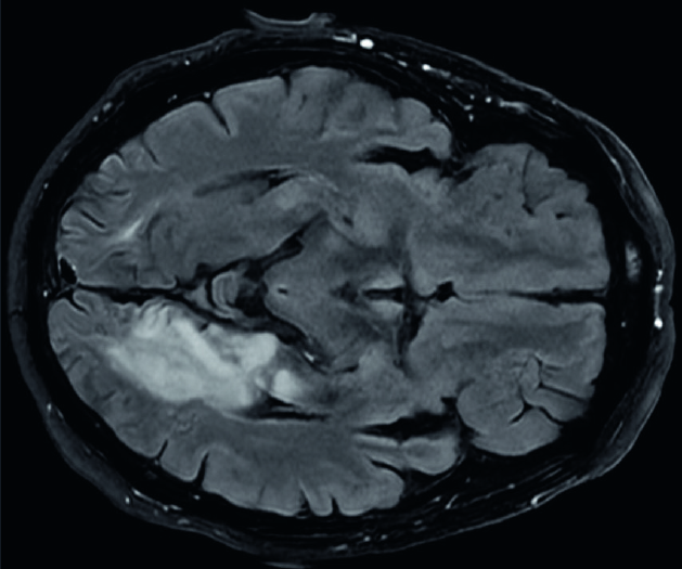
Alexi utan agrafi – att inte kunna läsa vad man själv har skrivit
Fallbeskrivning
Ovanligt och svårupptäckt strokesyndrom.