Gå till innehållet
Gå till startsidan
Denna webbplats vänder sig till läkare
Meny
Sök
Nyheter
Klinik och vetenskap
Opinion
Kultur
Patientsäkerhet
Nytt om namn
Kalendarium
Skriv i Läkartidningen
Nyhetsbrev
Seminarier och event
Annonsera
Prenumerera
Böcker
Kontakt
Sök
Klinik och vetenskap
Opinion
Kultur
Läkarkarriär
Gustav Bolinder
Gustav Bolinder
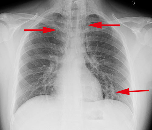
Spontan pneumomediastinum ovanlig orsak till akut bröstsmärta
Fallbeskrivning