Denna webbplats vänder sig till läkare
Klinik och vetenskap
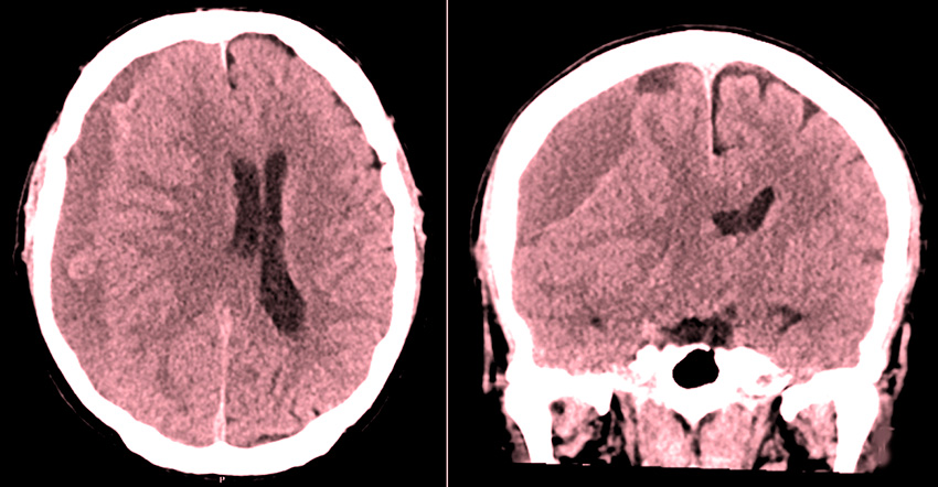
Klinik och vetenskap Förbättrad teknik och preoperativ kartläggning har gjort ingreppen mer precisa och mindre riskfyllda
Medicinens ABC
Kultur 1920 återvände den unga kirurgen Herbert Olivecrona från studier i USA fast besl…
Medicinsk kommentar