Denna webbplats vänder sig till läkare
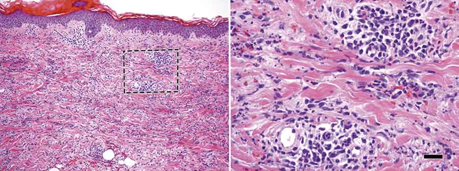
Rapport Svensk studie visar en årlig incidens på 0,7 fall per miljon invånare