Gå till innehållet
Gå till startsidan
Denna webbplats vänder sig till läkare
Meny
Sök
Nyheter
Klinik och vetenskap
Opinion
Kultur
Patientsäkerhet
Nytt om namn
Kalendarium
Skriv i Läkartidningen
Nyhetsbrev
Seminarier och event
Annonsera
Prenumerera
Böcker
Kontakt
Sök
Klinik och vetenskap
Opinion
Kultur
Läkarkarriär
Stig Wallgren
Stig Wallgren
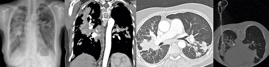
Sotrökslunga är en ny sjukdom i Sverige
Fallbeskrivning
Exponering för rök från biomassa är orsaken