Denna webbplats vänder sig till läkare
Nytt om namn Öron-, näsa och halskliniken vid Skaraborgs sjukhus i Skövde har fått Kristallen…
Nytt om namn Valdemar Grill, senior professor vid Norges teknisk naturvetesnkapliga universit…
Nytt om namn Tomasz Dziechciowski, vårdområde intensiv och perioperativ vård, Skånes universi…
Nyheter Det medicinska kunskapsprovet har mött hård kritik. Hittills har 16 utländska lä…
Översikt Ökad medvetenhet om ärftlig cancer och regelbunden kontroll av anlagsbärare kan minska mortalitet och morbiditet
Författarintervjun Sophie Walton Bernstedt, AT-läkare vid Karolinska universitetssjukhuset, Huddin…
Nyheter Det har gått ett år sedan krisen på Sahlgrenska universitetssjukhusets akutmotta…
Mötet
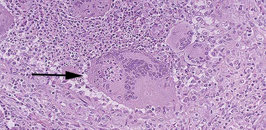
Fallbeskrivning Ovanligt fall av Graves tyreotoxikos i kombination med subakut tyreoidit med atypisk klinisk bild
Medicinsk kommentar Stora framsteg, men utmaningar kvarstår
Kultur
Nyheter Var tionde vårdplats i Region Östergötland är stängd och kommer sannolikt inte a…
Nyheter Ett beslut om framtida inriktning för sjukhusen i Göteborgsområdet har fattas. D…
Nyheter Med en helt ny styrelse vill Alliansen förbättra förtroendet för Karolinska univ…
Nyheter Yvonne Dellmark, Karolinska universitetssjukhusets läkarförening, hoppas att byt…
Nyheter Sex av tio patienter har inte en fast läkarkontakt. Men en stor majoritet av des…
Nya rön