Denna webbplats vänder sig till läkare
Mötet
Nyheter Läkartidningen har frågat regionerna hur de upplever och hanterar läkemedelsbris…
Nyheter Läkemedelsbristen i Sverige har fått Region Uppsala att växla upp. Nu arbetar tr…
Vårdutveckling och organisation Kvalitetsjämförelser, kliniskt beslutsstöd och forskning
Kultur Börje Ejrup anade tidigt i sin forskarkarriär tobakens stora skadeverkningar och…
Medicinsk kommentar
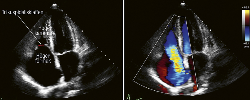
Översikt Kateterburna interventioner möjlighet för sköra patienter
Översikt Behandlingsalternativ för malignt melanom och snart även andra cancersjukdomar
Författarintervjun Stina Wickström, docent, Karolinska institutet, Stockholm, är en av författarna …
Nyheter Läkarstudenter känner till att de kan tjäna mycket genom att sommarjobba som sju…
Nyheter Den som saknar sjuksköterskelegitimation får inte jobba som sjuksköterska i Norg…
Nyheter Hon har tagit vägen från fackligt förtroendevald, via SKR, till regionernas nya …
Nyheter Många ST-läkare kan inte ta ut sin studietid, och många har inte schemalagd hand…
Nya rön
Nyheter 63 verksamheter granskades och 43 beslut fattades. Ivo har gjort en nationell ti…
Nyheter En it-konsult som anlitades av Folkhälsomyndigheten döms för brott mot tystnadsp…
Nyheter Två år återstår av regeringsuppdraget att utreda den kraftiga ökningen av ADHD-d…