Denna webbplats vänder sig till läkare
Nytt om namn Eva Ekström, ST-läkare inom området kirurgi vid Skånes universitetssjukhus i Lun…
Nytt om namn Peter Lindstedt, distriktsläkare och verksamhets chef på vårdcentralen Brinken i…
Nytt om namn Karima Assel, överläkare, specialist i barn- och ungdomspsykiatri vid Transkultu…
Nytt om namn Helena Grafström, ST-läkare på Kirurgikliniken, Halmstads sjukhus, har tilldelat…
Nyheter Det finns ett stort värde i att chefen finns fysiskt närvarande, samtidigt som d…
Nyheter Det är inte helt problemfritt att vara chef på distans. Det kan Virginia Zazo in…
Fallbeskrivning Erfarenheter från Vansbrosimningen 2016
Författarintervjun Annika Braman Eriksson, specialistläkare vid vårdcentralen i Vansbro, har&n…
Kultur
Medicinsk kommentar Den ökade användningen kan ge allvarliga konsekvenser för diagnostik, forskning och behandlingsutveckling
Mötet
Nyheter Läkare tycks allt oftare tveka inför att handleda läkarstudenter under grundutbi…
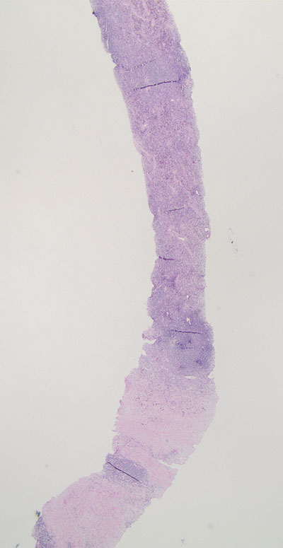
Fallbeskrivning Evidens saknas dock för värdet av immunmodulerande terapi
Kultur Cyklisten Francesco Moser och hans uppfinningsrike läkare
Nyheter En stor del av läkarbesöken i den värmländska primärvården ska ersättas med besö…
Läkemedelsfrågan
Nya rön
Nyheter Antalet vårdplatser minskade med 3,3 procent mellan 2015 och 2016. Det är den st…
Nyheter På Hallands sjukhus har man tappat 63 vårdplatser jämfört med 2015, vilket motsv…