Denna webbplats vänder sig till läkare
Nytt om namn Carina Hägglund, specialistläkare i kardiologi, har tilldelats Södersjukhusets n…
Nyheter Region Skåne räknas som något av föregångare i uppbyggnaden av en modell med reg…
Nyheter Central styrning av ST-tjänster utreds av Socialstyrelsen, som snart ska present…
Kultur Martin Ekdahl, till vardags läkare i Lund, arbetade som skeppsläkare för Greenpe…
Medicinens ABC
Författarintervjun Björn Sjögren, ST-läkare i neurokirurgi, har tillsammans med överläkare Pe…
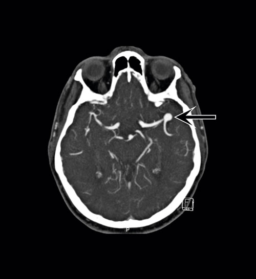
Översikt Svagt seende patienter bör informeras om detta benigna tillstånd, som kan vålla oro
Nyheter Lena Hallengren (S) tar över som socialminister med ansvar för sjukvårdsfrågorna…
Mötet
Medicinsk kommentar Socialstyrelsens nya Nationella riktlinjer betonar det rådgivande patientsamtalet
Nyheter Nu ska detaljerna i regeringsöverenskommelsen mellan C, L, S och MP mejslas fram…
Nyheter Region Värmlands första försök att knyta till sig hyrläkare med egna bolag på lä…
Nya rön
Nyheter Den danska regeringen har lagt fram ett förslag på vårdreform som bland annat in…
Nyheter I en debattartikel ifrågasätter överläkaren Astrid Seeberger om domen mot den så…
Rapport
Nyheter Det blir ett maktskifte i Sveriges Kommuner och landsting, SKL. De kommande fyra…
Nyheter Reformen med avgiftsfri primärvård i Sörmland gav nästan 40 000 fler besök – men…