Denna webbplats vänder sig till läkare
Kultur
Medicinens ABC
Rapport En genomgång av fall anmälda till Socialstyrelsen
Fallbeskrivning Ovanlig differentialdiagnos vid oförklarlig ferritinstegring
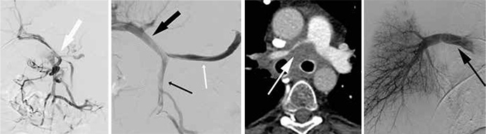
Översikt Nu introduceras nya metoder vid såväl maligna som benigna sjukdomar
Medicinsk kommentar
Nyheter Framtidens patient är en interaktiv patient med all sin hälsoinformation i ficka…
Nyheter Efter surfplattornas och de smarta mobilernas genombrott växer antalet medicinsk…
Meddelanden
Nytt om namn
Nyheter Statens satsningar på de nationella kvalitetsregistren riskerar att missa målet …
Nya rön