Denna webbplats vänder sig till läkare
Klinik och vetenskap Med ökad förståelse för bakomliggande mekanismer har ett genombrott skett vad gä…
Översikt Flera forskningsgenombrott öppnar nu för individualiserad behandling vid epiteli…
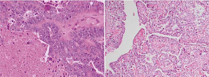
Översikt Ovarialcancer är egentligen fem olika cancersjukdomar, där höggradigt seröst ade…
Översikt Livmoderhalscancer är världens tredje vanligaste cancerform hos kvinnor. I Sveri…
Översikt Handläggningen av patienter med endometriecancer har förändrats under de senaste…
Översikt Rehabilitering i samband med gynekologisk cancer har stor betydelse för kvinnans…
Rapport Överlevnaden i ovarialcancer är relativt hög i Sverige jämfört med andra länder,…
Kultur
Nyheter Den här veckan tar Youyou Tu, William C Campbell och Satoshi Ōmura emot Nobelpri…
Medicinsk kommentar Diagnostik behöver uppmärksammas bättre i patientsäkerhetsarbetet
Nyheter Antalet sjukskrivningar ökar igen i Sverige, och det är psykiatriska diagnoser s…
Nyheter Olika myndigheter och intressenter hamnar ofta på kollisionskurs i frågor som gä…
Nyheter En kortare process för nyanlända att komma in i hälso- och sjukvårdens yrken lan…
Nyheter Dra ner på köttet och byt till fullkorn. Kost som är bra för hälsan är också bra…
Nyheter Den lilla salen fylldes snabbt till bredden och trots att nästintill all ledig g…
Nyheter Kontinuitet mellan läkare och patient gör sjukvården bättre och billigare. Men i…
Nyheter Folkhälsomyndigheten har tagit fram nya riktlinjer för vaccination av människor …
Nyheter Fritt inträde för medlemmar i Läkaresällskapet fick effekt på besökstalet.
Nya rön