Denna webbplats vänder sig till läkare
Kultur
Kultur Med den ökade digitaliseringen följer också allt fler inloggningar i datasystem.
Nyheter Läkartidningen kommer att finns kvar, troligen i nya digitala presentationsforme…
Nyheter Om tio år kan insjuknandet i allvarlig kognitiv svikt skjutas upp så att de fles…
Nyheter Mer automatiserade arbetssätt, patienter med högre krav och färre vårdplatser. M…
Nyheter Det var en svår balansgång mellan att korta vårdköerna eller tidigare få bukt me…
Nyheter Varsel, anställningsstopp och hyrstopp. Flera regioner har vidtagit kraftfulla å…
Nyheter »Ingen går konkret ut med vad som ska göras annorlunda eller vad som inte ska g…
Kultur I 120 år har nu läkarna i Sverige haft sitt eget medicinska organ. Mycket har hä…
Mötet
Nya rön
Författarintervjun Konrad Nylund, ST-läkare, VO hjärt–lungmedicin och klinisk fysiologi, Universite…
Originalstudie
Kultur »Romantiken« är titeln på Nationalmuseums nuvarande magnifika utställning. Magnu…
Läkemedelsfrågan
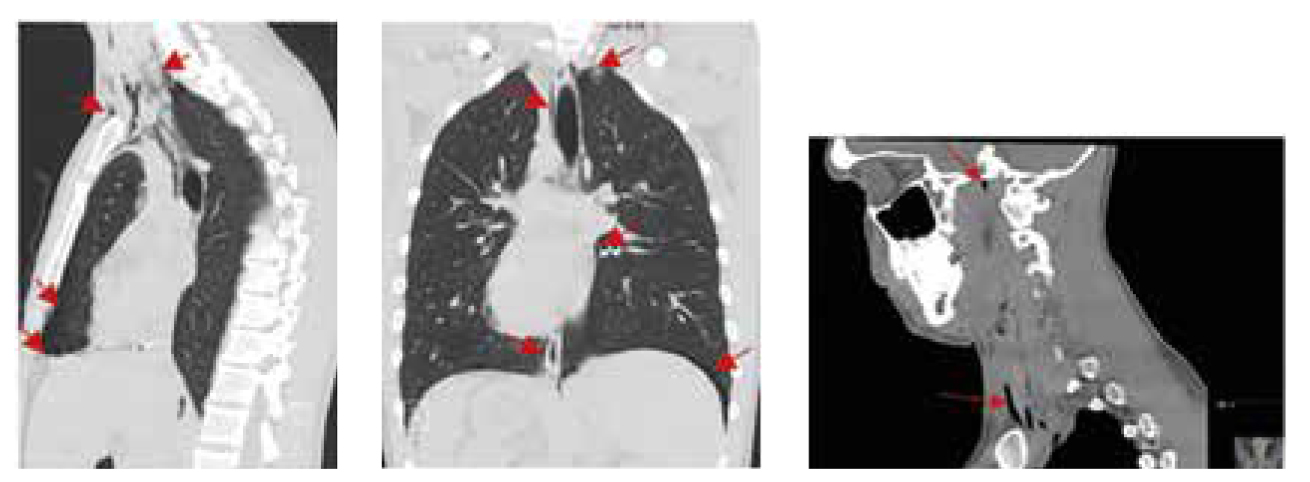
Fallbeskrivning Krampanfall och luftvägsruptur med pneumotorax och pneumomediastinum efter inhalation av lustgas från fyra patroner
Nyheter Ann-Charlotte Järnström, ekonomidirektör i VGR, tar över som ny ordförande i pro…
Nyheter Den långdragna konflikten mellan kärlkirurgerna och interventionsradiologerna i …