Denna webbplats vänder sig till läkare
Kultur Våren 1975 gjorde jag mina sista AT-läkarmånader på en vårdcentral mellan Götebo…
Mötet
Kultur På väggarna i korridorer och väntrum i psykiatrihuset i Lund sitter sedan en tid…
Nyheter Plötsligt börjar mejlen om misstänkt forskningsfusk att välla in hos Nämnden för…
Nyheter Fuskjägaren Elisabeth Bik har nått stjärnstatus i forskarvärlden efter sina avsl…
Nyheter Kjell Asplund hyllar de systematiska fuskjägarna och deras avslöjanden. Han tror…
Nyheter Hon riktar blicken mot Europa under utredningen om ett möjligt lagkrav på fortbi…
Översikt 31 år med Svenska nationella kataraktregistret 1992–2022
Översikt Riskfaktorer, symtom, patogenes och prevention
Medicinsk kommentar
Författarintervjun Åslög Hellström Vogel har tillsammans med Eric Dryver, Erik Ljungström och Pyotr…
Medicinens ABC
Nyheter Över hälften av narkosläkarna i en ny enkät bedömer att de nya arbetstidsreglern…
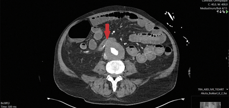
Fallbeskrivning Ovanlig genes till livshotande gastrointestinal blödning
Nya rön
Nyheter Följderna av användning av lustgas, problem i palliativ vård och överdiagnostik.
Nyheter Ta krafttag för att se till att fler cancerpatienter utreds inom den maximala ti…
Nyheter Region Västerbotten tvingades att låna 350 miljoner kronor för att kunna betala …
Nyheter Västra Götalandsregionens beslut att inte längre skriva ut läkemedel till planer…