Denna webbplats vänder sig till läkare
Originalstudie
Kultur Det är fullt möjligt att överbrygga gapet mellan modern vetenskapligt baserad sj…
Nyheter Det var den 17 februari 1939, drygt tre månader efter den tyska Kristallnatten. …
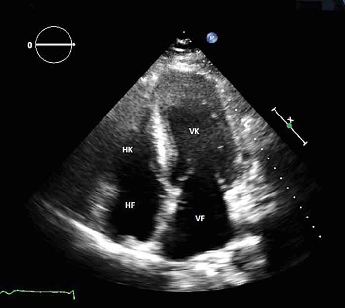
Fallbeskrivning Hypertroft myokardium och låga–normala QRS-komplex är karakteristiskt
Kultur »När vi släpper döden nära ... får vi syn på det som består«
Kultur I januari 2014 hade vi förmånen att följa med ett colombianskt sjukvårdsteam so…
Nya rön
Nyheter Vårdgivaren bör ha huvudansvar för att utreda klagomål från patienter medan IVO …
Nyheter Sjukvården måste ta ett större ansvar för att hjälpa sjukskrivna tillbaka i arbe…
Läkemedelsfrågan
Översikt Allvarlig prognos vid världens vanligaste genetiska sjukdom
Nyheter Hur mår första linjens hälso- och sjukvårdschefer? Det ska Arbetsmiljöverket ta …
Nyheter Efter två år med ovanligt många larm från skyddsombud inom hälso- och sjukvården…
Nytt om namn
Nyheter Nej, det är inte förenligt med hälso- och sjukvårdslagen att undanhålla informat…
Nyheter I sommar inför Centrala studiestödsnämnden, CSN, nya regler för utlandsstudenter…