Risk att kunskap försvinner om mindre vanliga sjukdomar
Luftvägssjukdomar med stark koppling till arbetslivet, men som är mindre vanliga, är bland annat silikos, allergisk alveolit och mesoteliom. Det finns en risk för att kunskapen om dessa sjukdomar håller på att försvinna, inte minst bland röntgenläkare.
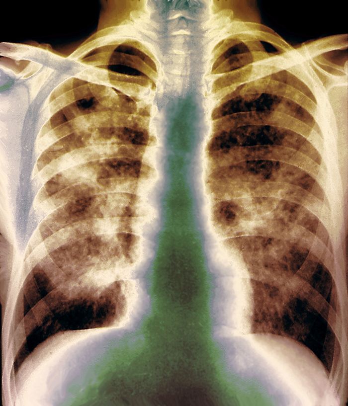
Silikos orsakas av kvartsdamm, och drabbar bland annat dem som arbetar inom gruv- och stenindustrin, med att spränga berg eller anläggningsarbeten. I en färsk studie som presenteras i det här numret av Läkartidningen konstaterar Bengt Järvholm och Magnus Svartengren att arbetsmiljö i Sverige fortfarande kan innebära en risk för allvarlig silikos.
Malignt pleuramesoteliom orsakas av exponering för asbest. För män är asbest den enda kända orsaken till mesoteliom, hos kvinnor däremot är det inte så sällan det saknas en bra förklaring till varför de drabbats. Asbest totalförbjöds i Sverige 1982.
– Förbudet mot asbest i Sverige har gett väldigt bra effekt, och är ett exempel på att arbetsmiljöarbete lönar sig även om det sker i ett väldigt långt perspektiv. Vi var bland de första i världen att införa förbudet, säger Magnus Svartengren, professor i arbets- och miljömedicin, Uppsala universitet.
Enligt en studie publicerad sommaren 2015 förhindrar asbestförbudet cirka 24 cancerfall om året, varav hälften är mesoteliom och hälften lungcancer [Järvholm B, et al. Scand J Public Health. 2015;43:875-81]. Studien är gjord på personer födda i Sverige eftersom de som invandrat kan ha jobbat i länder med andra asbestregler.
– Men man är fortfarande dålig på att ställa diagnosen, säger Magnus Svartengren.
Allergisk alveolit, en interstitiell lungsjukdom som oftast är kopplad till arbetsmiljö, kan utlösas av exponering för till exempel hö, flis, fuktigt trä och fåglar. Det beror i sin tur på att där finns vissa bakterier, mögelsvampar eller djurproteiner som sätter igång bildningen av IgG.
– Sedan har vi andra lungfibroser än silikos – de är ovanliga men förekommer och där vet vi att man missar att ställa diagnosen, säger Magnus Svartengren.
Också dessa kan vara arbetsrelaterade. Exponering för metalldamm och lantbruksarbete hör till riskfaktorerna.
Finns det en risk att kunskapen om ovanliga sjukdomar försvinner när experterna går i pension? Att kunskapen inte förs vidare och glöms bort?
– Ja, lite grann. När det gäller röntgenläkare är det definitivt så. Och man kan säga att det har försvunnit en generation som har intresserat sig mycket för sambandet mellan arbete och lungsjukdom, säger Magnus Svartengren.
Enligt Magnus Svartengren finns ett särskilt system för att ställa diagnoserna lungfibros och silikos, men läkare har ingen utbildning i det.
– När man la ned Arbetslivsinstitutet 2007 var det meningen att man skulle låna in läkare från Finland som kunde utbilda svenska läkare för att göra bedömningar. Men det ställdes in.
Peter Lindström är arbetsmiljöansvarig på avdelning 15 Norr i GS, facket för skogs-, trä- och grafisk bransch. Han har sett hur kännedomen om riskerna med trämögel har minskat, berättar han för tidningen Dagens Arbete.
– Kunskapen har försämrats explosionsartat. Ingen informerar längre vårdpersonal om hur mögelsporerna påverkar människokroppen, säger Peter Lindström som själv åker runt i landet för att prata med så många han hinner om allergisk alveolit.
Maria Albin är i dag professor och överläkare vid Centrum för arbets- och miljömedicin i Stockholm läns landsting. 2005 larmade hon Arbetsmiljöverket om att hon fått in två konstaterade och ett misstänkt fall av silikos. Då granskade hon i efterhand röntgenplåtar och upptäckte att en patient hade gått runt med lungförändringar i 25 år.
»Dagens röntgenläkare kan inte urskilja silikos. Därför måste ett antal specialtränas, annars måste bilderna skickas utomlands för granskning«, sa Maria Albin i en artikel i tidningen Arbetsskydd 2006.
Hur ser det ut i dag?
– Röntgenbilderna ingår ju i obligatoriska hälsokontroller som görs på dem som är exponerade för kvarts. Men hur bilderna ska granskas för att säkra kvaliteten har hamnat mellan stolarna. Arbetsmiljöverket fann att det inte var deras fråga, utan Socialstyrelsens, numera Folkhälsomyndighetens, fråga. Och såvitt jag vet är det fortfarande en ostandardiserad rutingranskning som görs, det vill säga de granskas inte av någon som fått särskild träning i att diagnostisera silikos och andra pneumokonioser, och man använder inte heller de referensbilder som finns för att få en standardiserad bedömning.
Så inget har egentligen hänt sedan 2005?
– Nej. Inte på den sidan. Det som däremot har hänt som skulle kunna underlätta är att annan diagnostik än vanlig slätröntgen har blivit mer tillgänglig. Man har kommit ned i stråldoser och har bättre upplösning. Så möjligheten finns att med ny teknik skärpa diagnostiken. Kanske har tiden verkat för att man kan hitta enklare lösningar, säger Maria Albin.
Hon understryker att det är angeläget att förbättra diagnostiken eftersom det är en obligatorisk undersökning.
– Att utsättas för joniserande strålning är farligt, och det är viktigt att man får nytta av det.
Den 2 november i år kom reviderade föreskrifter om kvartsstendamm från Arbetsmiljöverket. Nytt är att vissa bestämmelser är kopplade till sanktionsavgifter. Men också att kravet på obligatoriska, återkommande mätningar på den egna arbetsplatsen är borttaget. Arbetsgivaren kan i stället uppskatta risken utifrån mätningar på andra liknande arbetsplatser.
Maria Albin beklagar att mätkraven blir mindre strikta och menar att det är väldigt viktigt att riskbedömningarna har tillräcklig grund.
– Vi måste vara realister och inse att vi har en omfattande kvartsexponering bland den arbetande befolkningen och vi vet att hälso-riskerna uppträder vid lägre nivåer än det nuvarande gränsvärdet. Och riskerna är lungcancer, reumatoid artrit, silikos, KOL och hjärtinfarkt. De som arbetar i de här industrierna har rätt att jobba i en arbetsmiljö där risken hålls på en acceptabel nivå, säger Maria Albin och fortsätter:
– Varje silikosfall som inträffar är ett misslyckande och bör föranleda en haveriutredning. Men det största hälsohotet med kvartsdamm är lungcancer.
