Subklinisk hypotyreos – mer av isberget upp till ytan
Ernst Nyströms kommentar [1] om att klinisk bedömning får avgöra huruvida en patient med subklinisk hypotyreos ska behandlas med sköldkörtelhormon är mycket välkommen. Budskapet är att patienter med det mycket vanliga tillståndet subklinisk hypotyreos (definierat som TSH över respektive fT4 inom laboratoriets referensområde) uppvisar många kliniska symtom överensstämmande med hypotyreos, och att hos dessa bör behandling med sköldkörtelhormon övervägas, särskilt vid upprepade förhöjda värden på TSH. Stegrade autoantikroppar mot TPO stärker ytterligare indikationen för behandling.
Detta ställningstagande av en av de ledande experterna i fråga om tyreoideasjukdomar innebär en nyansering av tidigare officiell policy. Vid subklinisk hypotyreos har tidigare förordats avvaktande inställning till behandling – oavsett kliniska symtom.
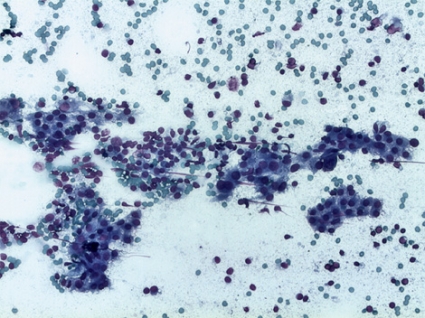
Den på våra breddgrader helt dominerande orsaken till sköldkörtelproblem är autoimmunitet;därom råder allmän enighet. Ett sätt att specifikt dokumentera autoimmunitet riktad mot sköldkörteln är att undersöka sköldkörtelvävnad med avseende på förekomst av lymfocytär invasion. Sådan undersökning görs med finnålscytologisk (FNA) teknik. Vi har i Sverige erkänt hög kompetens inom detta område [2, 3]. Värde och tillförlitlighet av FNA som robust och riskfri undersökning, även under primitiva betingelser, har helt nyligen bekräftats [3].
Genom att fördjupa diagnostiken av tyreoidea med tillägg av FNA som komplement till sedvanliga biokemiska och serologiska prov har vi visat att autoimmunt angrepp på sköldkörteln kan dokumenteras hos patienter med misstänkt tyreoideasjukdom i långt större utsträckning än om utredningen innefattat enbart biokemiska och serologiska prov [4]. Hos ungefär hälften av patienterna med symtomgivande autoimmun tyreoidit var förstahandsprovet TSH inom laboratoriets referensområde, ett tillstånd där vi föreslagit beteckningen subkemisk hypotyreos [5].
Den praktiska innebörden av begreppet subklinisk hypotyreos har varit, och är fortfarande, föremål för olika tolkningar. Ernst Nyström redovisar i sin översikt aktuella studier (baserade på enbart biokemiska kriterier), där slutsatsen är att intervention med sköldkörtelhormon förordas hos patienter med subklinisk hypotyreos och kliniska symtom på hypotyreos.
Med stöd av redovisade cytomorfologiska fynd vid kliniskt misstänkt tyreoideasjukdom, har vi länge hävdat att symtomgivande autoimmun tyreoideasjukdom är långt vanligare än vad som framkommer vid enbart biokemisk/serologisk diagnostik; man påvisar endast toppen av ett isberg. Nu medverkar Nyströms inlägg till att mer av isberget kommer upp till ytan. Ett steg i rätt riktning, som förhoppningsvis kommer många patienter till godo.
