Gå till innehållet
Gå till startsidan

Denna webbplats vänder sig till läkare

Sök

ABC om cancer utan känd primärtumör

Läs artikel som PDF

I Sverige insjuknar drygt 61 000 patienter i cancer varje år, och 20 procent av fallen debuterar med metastaserad sjukdom. Första steget i en malignitetsutredning vid metastaserad cancersjukdom består vanligen av att identifiera primärtumören, då den ger viktig information om cancerform, behandling och prognos. Hos 1–2 procent av patienterna kan dock primärtumören inte hittas, varpå de får dia­gnosen »cancer utan känd primärtumör« (CUP) [1]. CUP är en heterogen sjukdomsgrupp med en eller flera morfologiskt bekräftade metastasmisstänkta förändringar där varken kliniska symtom eller fynd tyder på en organspecifik cancertyp. Tumörerna tillhör gruppen epiteliala karcinom. Traditionellt exkluderas melanom, sarkom och lymfom från diagnosen. Vid CUP förblir primärtumören okänd trots genomförd utredning.

Det finns flera orsaker till att primärtumören inte kan återfinnas. En vanlig orsak är att primärtumören har genomgått spontan regress och försvunnit. Den kan också ha krympt till en storlek där den inte längre kan hittas eller avlägsnats tidigare i form av till exempel en hudförändring eller polyp utan att tumören identifierats som malign. Andra orsaker till att primärtumören inte påträffas är att en förmodad metastas utgör själva primärtumören, att den feltolkas som CUP eller att den består av aberrant vävnad eller vävnad som normalt finns på platsen [2, 3]. Sjukdomen karakteriseras av ett hastigt insjuknande, tidig spridning, aggressivt förlopp och oförutsägbart meta­stasmönster. Sedan 2016 utreds misstänkt metastaserad cancer utan känd primärtumör enligt det standardiserade vårdförloppet för »okänd primärtumör« [1].

Epidemiologi

Cancer utan känd primärtumör är den sjunde till åttonde vanligaste cancerformen i världen och den fjärde vanligaste orsaken till cancerrelaterad död hos både män och kvinnor [4]. Medianåldern vid diagnos är 60–70 år, två tredjedelar är 50–79 år och en fjärdedel är över 79 år [1]. Diagnosen är mycket ovanlig hos barn (< 1 procent) [1, 3]. Majoriteten av patienterna har multipla meta­staser vid debut, varav en tredjedel i tre eller fler organ [4]. Hos 75 procent av patienterna sitter den initiala förändringen nedanför diafragma [5].

I Sverige diagnostiseras årligen cirka 800 patienter i CUP [1]. Den åldersstandardiserade incidensen är 6,12 per 100 000 personår (6,16 för kvinnor och 6,07 för män) [6]. Om utredningen leder till att primärtumören identifieras avskrivs CUP-diagnosen och ändras i Cancerregistret. Primärtumören sitter då oftast i lunga eller bukspottkörtel [3, 5]. Förbättrade utredningsmetoder och förfinad diagnostik har bidragit till att den totala incidensen av CUP i Sverige har minskat på senare år [6-8].  

Generellt har CUP dålig prognos, och medelöverlevnaden är 4–9 månader [1, 9]. Ettårsöverlevnaden är cirka 20 procent, och 10 procent av patienterna med gynnsamma former förblir långtidsöverlevare [3, 10]. Ett fåtal botas [4, 11].

Symtom

CUP kan debutera med flera olika symtom. Lokala symtom eller synliga förändringar från en eller flera metastaser är vanliga. Närmare 20 procent av fallen debuterar med symtom från skelettmetastaser [1, 3]. 15 procent av alla CNS-metastaser resulterar i en CUP-diagnos [1]. Allmänna ospecifika sjukdomssymtom som trötthet, viktnedgång, sjukdomskänsla, ökad smärtkänslighet och feber är vanliga. Dessa symtom ingår även i ett så kallat inflammatoriskt drivet sjukdomsbeteende [12], vilket möjligen triggas igång av den förhöjda inflammatoriska aktiviteten som förekommer vid CUP [13]. Paramaligna symtom som hyperkalcemi, dermatomyosit, limbisk encefalopati och cerebellär degeneration kan också förekomma [1]. Hos vissa patienter upptäcks metastaser accidentellt vid radiologisk undersökning. 

Utredning

Det centrala i utredningen är att tidigt fastställa primärtumören för att kunna identifiera behandlingsbara cancerformer. Ofta tenderar utredningarna att bli utdragna, omfattande och stundtals icke-konklusiva. Processen blir även ekonomiskt kostsam. Det är därför essentiellt att patientens symtom och allmäntillstånd, utredningens nytta för patienten, tumörens spridningsmönster och PAD styr utredningen [1, 14]. Överutredning ska undvikas, och utredning bör i vissa fall avbrytas [14]. De flesta patienterna utreds inom primärvården, men på flera håll i Sverige har dia­gnostiska centrum och andra specialiserade mottagningar som utreder CUP öppnats. 

Basal utredning

Anamnes. Anamnesen bör vara grundlig och omfattande. Tidigare/nuvarande sjukdomar bör utredas noggrant med extra fokus på inflammatoriska sjukdomar och infektioner. Tidigare genomgången kirurgi inklusive bortopererade hudförändringar, hereditet för cancersjukdom, yrke (exponering för strålning, kemikalier etc), följsamhet vid screening (mammografi, cellprov etc) och levnadsvanor (alkohol, tobak, droger) bör efterfrågas.

Status. Omfattande status »från topp till tå« är grundläggande vid utredning. Särskilt fokus bör läggas på bröstundersökning hos både kvinnor och män, rektalundersökning, prostatapalpation, inspektion av yttre genitalier, palpation av lymfkörtlar och sköldkörtel samt genomgång av hela hudkostymen [1, 11, 15]. 

Laboratorieprov. I den basala utredningen bör blodstatus med differentialräkning, elektrolyter inklusive kreatinin, leverstatus, laktatdehydrogenas, kalcium, glukos, urinprov och fekalt hemoglobin, prostataspecifikt antigen och proteinfraktioner i serum och urin ingå [4, 9]. Övrig provtagning inriktas med fördel på klinisk bild och radiologiska fynd. Lämpliga kompletterande prov kan vara SR, CRP, kobalamin, folat, ferritin, glukos och TSH. Blododling, infektionsprov inklusive virusserologier och tuberkulosprov kan vara indicerade i differentialdiagnostiskt syfte, liksom annan provtagning från likvor och benmärg. 

Radiologi – basundersökning för alla. Alla patienter som utreds för CUP bör genomgå DT-torax och buk, där även bäcken ingår. Upp till 30–35 procent av primärtumörerna kan då upptäckas [16, 17]. 

Biopsi och/eller cytologi för histopatologisk undersökning. Den histopatologiska undersökningen är central vid diagnostiseringen och bör prioriteras innan fortsatta extensiva undersökningar utförs. För vävnadsprov är mellannålsbiopsi förstahandsval. DT-ledd eller ultraljudsledd punktion är lämplig vid provtagning från skelettmetastaser, perifera tumörer i lunga och lever samt vid vissa andra svåråtkomliga förändringar. Laparoskopi/laparotomi kan bli aktuell i vissa fall. Finnålspunktion kan användas som första val vid punktion av körtlar på halsen. Vid singelmetastas eller ett fåtal metastaser i ett och samma organ betraktas förändringarna oftast som en primärtumör och patienten remitteras direkt till organspecifik specialist (undantag kan göras vid sarkom, CNS-lymfom och multifokala gliom). Innan biopsi av misstänkt primärt sarkom eller levertumörer utförs bör respektive specia­listenhet tillfrågas på grund av spridningsrisk. Medellinjetumörer lokaliserade paravertebralt eller i mediastinum bör biopseras samt kompletteras med germinalcellsmarkörer i blod. 

Målet med immunhistokemisk undersökning är att identifiera primärtumörens ursprungsvävnad samt att upptäcka potentiellt botbara tumörer som lymfom och germinalcellstumörer. Upp till 30 procent av ursprungsvävnaden kan identifieras med immunhistokemisk färgning [4]. 

Riktade utredningar

Om primärtumören inte kan fastställas efter den basala utredningen påbörjas riktade utredningar. Dessa bör göras i ett tidigt skede om man har organspecifika symtom eller radiologiska fynd som behöver undersökas närmare. I övriga fall bör sådan utredning endast utföras där symtom, kliniska och radiologiska fynd, PAD eller laboratorieprov indikerar vidare utredning. Liksom vid all malignitetsutredning bör patientens nytta av undersökningen stå i fokus. Om utredningen följer det standardiserade vårdförloppet ska den diskuteras vid multidisciplinär konferens innan de riktade utredningarna påbörjas. Flera riktade undersökningar kan bli aktuella. De vanligaste listas i rutan bredvid.

Tumörmarkörer i blod. Tumörmarkörer i blod är generellt ospecifikt förhöjda hos patienter med CUP och har därför inget eller kraftigt begränsat diagnostiskt eller prognostiskt värde i utredningen [15], förutom i tre fall: 1) Prostataspecifikt antigen (PSA) hos män med misstänkt prostatacancer eller skelettmetastaser, 2) alfafetoprotein (AFP) vid misstanke om primär levercancer eller medellinjetumör talande för germinalcellscancer och 3) beta-humant koriongonadotropin (β-hCG) vid misstänkt germinalcellscancer. Kromogranin A kan ge falskt högt värde vid intag av saltsyrahämmande läkemedel och är främst aktuellt att mäta vid misstanke om neuroendokrin tumör [11]. Mätning av kalcitonin och tyreoglobulin är i vissa fall indicerade vid misstanke om tyreoideacancer. Beträffande cancer­antigenerna CA15-3, CA19-9, CA72-4, CA125, karcino­embryonalt antigen (CEA) och neuronspecifikt enolas anses generellt specificiteten och sensitiviteten vara för låg för användning vid utredning av CUP [1]. Dock finns studier som anser att CA125 är av värde hos kvinnor med primärt seröst peritonealt adenokarcinom och CA15-3 hos kvinnor med isolerat axillärt adenokarcinom [4]. 

Molekylär diagnostik. I dag baseras en stor del av dia­gnostiken av CUP på histopatologisk klassificering. I framtiden kommer den troligen att kompletteras med molekylär diagnostisering [18]. Med användande av moderna molekylärbiologiska metoder har tumörens ursprungsvävnad kunnat fastställas med 80–95 procents säkerhet [4, 18]. En ny metod under snabb utveckling är »flytande biopsi«, vilken bygger på sekvensering av tumörmarkörer från tumörderiverat material i blod. Evidens saknas ännu för att utföra molekylär diagnostik rutinmässigt vid CUP [1, 9]. 

Behandling vid fastställd diagnos

Patienter med CUP kan indelas i två prognostiska undergrupper: en gynnsam grupp (20 procent) och en ogynnsam grupp (80 procent). Bland de gynnsamma faktorerna räknas gott allmäntillstånd, enstaka lymf­körtelmetastaser eller singelmetastasering. Även oligometastasering, det vill säga < 4 lesioner i ett organ eller < 5 tumörer i hela kroppen, är pro­gnostiskt gynnsam [1]. Till de ogynnsamma faktorerna hör dåligt allmäntillstånd, höga nivåer av laktatdehydrogenas och hypoalbuminemi [1, 3]. I vissa studier anges även manligt kön, hög komorbiditet, tidigare rökning motsvarande minst 10 paketår och ofrivillig viktnedgång som ogynnsamma prognostiska faktorer [4]. Förhöjda inflammationsparametrar har i nyare studier angetts som en prognostiskt ogynnsam faktor [13]. 

Om CUP-diagnosen kvarstår efter utredning bör tumörens histogenes och patientens tillhörighet av prognostisk grupp styra behandlingsvalet. Vid de gynnsamma CUP-tillstånden initieras vanligen behandling enligt rutan bredvid. För övriga CUP, och som tillägg till en del gynnsamma CUP, rekommenderas oftast systemisk behandling med cytostatika bestående av ett platinapreparat i kombination med ett taxan- eller gemcitabinpreparat [1, 4, 15]. Evidensen för regimval är dock svag [1]. Kombination med trippelbehandling rekommenderas ej på grund av toxicitet [15]. Kirurgisk behandling kan bli aktuell i vissa fall för diagnostik eller resektion i kurativt, avlastande, återställande eller palliativt syfte. Strålbehandling bedöms i det nationella vårdprogrammet vara en under­utnyttjad resurs i CUP-behandling [1]. Där ingen bot är möjlig bör palliativ vård initieras omgående.

Läs även författarintervjun med Karin Lodin

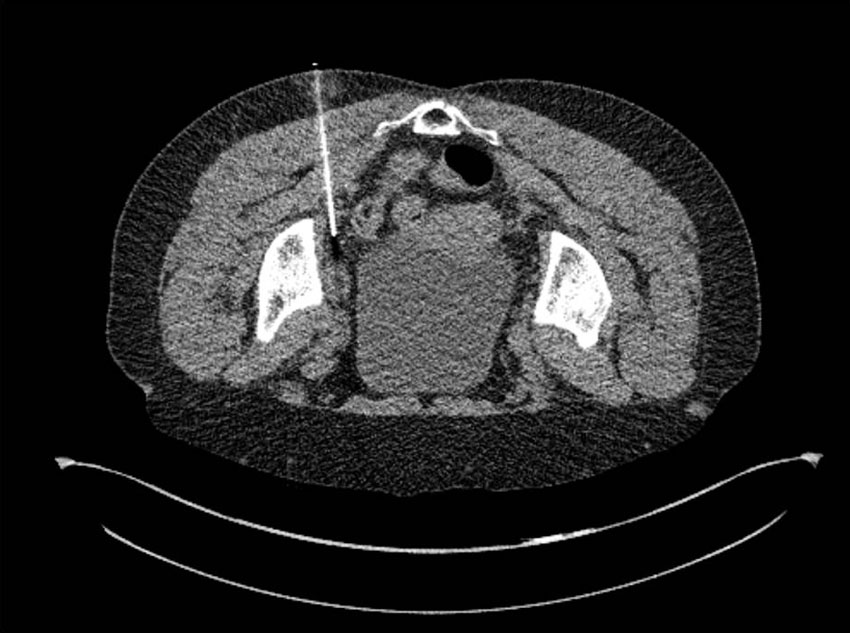
Datortomografiledd punktion i bukläge av patologiskt förstorad vänstersidig lymfknuta i lilla bäckenet. Lymfknutan visade högt upptag av fluorodeoxiglukos (FDG, se nedan) vid den PET-DT-undersökning som visas i figuren nedan.

PET-DT med FDG. Vid PET-DT med FDG används den positronemitterande isotopen 18-fluorodeoxiglukos. Isotopen är en radioaktiv glukosanalog med en halveringstid på 110 min och tas upp av vävnad med hög glukosmetabolism, som tumörvävnad. Metoden kan inte säkert skilja mellan inflammation och malignitet utan speglar grad av glukosmetabolism i förändringen. Fynd med högt FDG-upptag (PET-positiva) ska därför verifieras cytologiskt eller histopatologiskt [22]. Bilden visar fokala patologiska höga FDG-upptag i iliakala lymfkörtlar med stark malignitetsmisstanke.

Jobb i fokus

Mer att läsa

Mer att läsa