Gå till innehållet
Gå till startsidan

Denna webbplats vänder sig till läkare

Sök

ABC om Cervikal myelopati

Läs artikel som PDF

Cervikal myelopati är det kliniska syndrom som uppstår till följd av ryggmärgskompression i cervikalryggen och är den vanligaste orsaken till ryggmärgsdysfunktion [1]. Precisa epidemiologiska data saknas, men prevalensen uppskattas till drygt 600 per 1 000 000 invånare [2]. Tillståndet karaktäriseras av balanssvårigheter och klumpighet i övre och nedre extremiteterna. Den initiala symtombilden är ospecifik, varför den ofta förväxlas med normalt åldrande. Utan kirurgisk behandling progredierar ofta symtomen med irreversibel neurologisk påverkan som följd [3]. Således är klinisk kännedom av betydelse för att tidigt identifiera och behandla tillståndet. 

Denna artikel syftar till att översiktligt beskriva etiologi, status, diagnostik och behandling för patienter med myelopati. 

Etiologi och patofysiologi

Alla processer som försnävar spinalkanalen och ut­övar tryck på ryggmärgen kan ge upphov till myelopati. Degenerativ cervikal spondylos är den dominerande orsaken till ryggmärgskompression i cervikal­ryggen där osteofyter, fasettledshypertrofi, diskbuktningar och hypertrofi av ligamentum flavum tillsammans försnävar spinalkanalen och komprimerar ryggmärgen [2, 3]. Kongenitalt snäv spinalkanal är predisponerande för utveckling av tillståndet. Ossifiering (förbening) av det bakre longitudinella ligamentet är en ytterligare orsak till myelopati. Detta är påfallande mer vanligt i asiatiska populationer [4]. Mindre vanliga orsaker till cervikal myelopati är akuta stora diskbråck, malignitet eller epidurala abscesser [5-7]. 

Patofysiologiskt ger kompressionen upphov till inflammation, ischemi och apoptos. Därav uppstår demyelinisering och axonal degeneration, som resulterar i den ryggmärgsdysfunktion som kliniskt manifesterar sig som myelopati [8]. 

Symtom

Den inledande symtombilden vid myelopati är ofta ospecifik och därmed svårfångad. Omkring 75 procent av patienterna beskriver nedsatt finmotorik i händerna och nedsatt balans [2]. Nedsatt finmotorik kan yttra sig som klumpighet vid skrivande eller knäppande av skjortknappar. Motoriskt beskrivs svaghet [9]. 

Sensoriskt beskrivs nedsättningar avseende temperatur, proprioception och beröring, beroende på vilket bansystem som är involverat. Sensibilitetsnedsättningen kan vara uni- eller bilateral och följer ofta inte någon dermatomutbredning [9]. 

Nacksmärta är inte obligat [1-3, 9]. Förekomst av eventuell nacksmärta beror sannolikt inte på själva ryggmärgskompressionen utan på fasettledsartros och diskdegeneration. Lhermittes tecken, där cervikal rörelse framkallar elstötsliknande radierande smärta i ryggen och extremiteterna, föreligger sällan men är ett specifikt symtom för märgkompression [10]. Blås- och tarmfunktionen kan vara påverkad, men detta sker oftast senare i förloppet [8, 11]. 

Förlopp

Symtomdebut är i regel långsam och sker oftast mellan 50 och 70 års ålder [3]. Mer akut insättande myelopati finns också beskriven, då ofta efter hyperextensionsvåld mot nacken (fall mot pannan eller påkörning bakifrån) eller till och med efter manipulationsbehandling [12]. Vanligen progredierar symtomen regelbundet, eller så ses platåepisoder med oförändrad symtombild följt av snabb neurologisk försämring [2, 13]. 

Klassifikation 

Ett flertal klassifikationssystem existerar, men har sitt huvudsakliga användningsområde i forskningsstudier, där resultat av kirurgisk behandling kan jämföras pre- och postoperativt. Ett vanligen använt sy­stem är den japanska ortopediska föreningens klassifikation, som baseras på motorisk funktion i övre re­spektive nedre extremiteterna, sensorisk funktion och blåsfunktion [14].

Status

Ett noggrant neurologiskt status är grunden i den kliniska diagnostiken och innefattar motorik, sensorik och balanstest. 

Motoriskt undersöks extremiteterna, och i syfte att objektivisera fynden kan en femgradig skala användas (se ruta). Om svaghet påvisas objektivt ses det oftast i iliopsoas (höftflexion) eller quadriceps (knäextension) [9]. Därav kan ett påverkat gångmönster ses: långsammare gånghastighet, minskad steglängd och bredspårighet [15]. I uttalade fall ses förlust av självständig ambulationsförmåga [1, 9]. »Finger escape sign«, där patienten håller fingrarna extenderade och adducerade varvid lillfingret »flyr« lateralt på grund av svaghet i intrinsiska muskulatur, är ett signifikant statusfynd. Grepp- och släpptest, där patienten ombeds omväxlande knyta och öppna handen under 10 sekunder är ett annat sätt att objektifiera motorisk nedsättning. Färre än 20 »knytningar« på 10 se­kunder är patologiskt. Avvikande »finger escape sign« och grepp- och släpptest i kombination med atrofi av handens intrinsiska muskulatur kallas den »myelopatiska handen« [16].

När reflexer i övre och nedre extremiteter undersöks ses vid myelopati i regel stegrade reflexer i ned­re extremiteterna. I övre extremiteterna kan reflexerna vara stegrade eller minskade. Reflexstegring kan maskeras av samtidig polyneuropati eller radikulopati [9]. Klonus med > 3 konsekutiva slag och positivt Babinskis tecken talar för övre motorneuronpåverkan. Hoffmanns tecken, där undersökaren snabbt flekterar distala falangen på patientens långfinger varvid en reflektorisk flexion ses i pekfinger och tumme, är ofta positivt. Hoffmanns tecken kan likaså attenueras av samtidig radikulopati. 

Förekomsten av avvikande övre motorneuron-tecken korrelerar med sjukdomens svårighetsgrad. Hos opererade patienter, där preoperativ MR visar förändrad signalintensitet i ryggmärgen, förekom hyperreflexi hos 94 procent, Hoffmanns tecken hos 81 procent och Babinskis tecken hos 51 procent [17]. Omvänt gäller att patienter med lindrig myelopati inte alltid uppvisar avvikande statusfynd, varför testen är mindre tillförlitliga vid tidig sjukdomsbild [1]. 

Sensoriskt undersöks dermatom i nedre och övre extremiteter. Balans undersöks med »tandemgång«, där patienten ombeds gå längs en rak linje med häl­isättning vid tårnas slut (motsvarande att gå på lina). Rombergs test används likaså. Avvikande fynd antyder påverkan på proprioception via baksträngen [9].

Utredning

För att utvärdera graden av ryggmärgskompression är MR förstahandsval. Föreligger kontraindikationer mot MR kan DT-myelografi användas. DT används därtill ibland som komplement i den preoperativa planeringen.

Bilderna tolkas med avseende på grad av och lokalisation av eventuell ryggmärgskompression. Graden av kompression korrelerar inte alltid med symtomgrad; lindrig kompression kan ibland ge väsentlig neurologisk nedsättning, och vice versa ses ibland omfattande kompression med begränsade kliniska manifestationer [18]. En signalförändring i ryggmärgen kan ibland ses och indikerar ödem i själva märgen. Vid kroniska tillstånd kan atrofi och ärrbildning ses, så kallad myelomalaci [8]. Termen myelomalaci används dock i litteraturen ibland även vid icke-kroniska tillstånd.

Majoriteten i denna patientgrupp söker initialt i primärvård. Misstanke om myelopati utifrån symtomatologi eller kliniska fynd bör föranleda utredning. Vid lindrig symtombild kan MR begäras icke-brådskande. Snabb progression eller hastig uppkomst av symtom motiverar subakut utredning. 

Differentialdiagnoser

Andra sjukdomar med övre motorneuronpåverkan kan ge liknande symtomatologi, till exempel MS och ALS. Samma symtom kan även finnas som sekvele efter tidigare stroke. Domningar kan misstas för polyneuropati i nedre extremiteterna eller karpaltunnelsyndrom i händerna. Vid typisk polyneuropati ses dock minskade reflexer och inga statusfynd förenliga med övre motorneuronpåverkan. 

Konkomitant stenos i två separata delar av spinalkanalen (så kallad tandemstenos) kan påvisas i över 20 procent av fallen med cervikal stenos, varför symtom på myelopati bör efterfrågas även hos patienter med lumbal spinal stenos [19]. 

Överlappandet av symtom med andra diagnoser i kombination med begränsad klinisk kännedom bidrar till att försena diagnos och behandling för patienter med myelopati [2, 8]. I en studie var tiden från symtomdebut till diagnos 6,3 år [20]. 

Fallbeskrivningarna illustrerar den vari­abla kliniska bild som kan ses.

Behandling

Kirurgisk behandling är förstahandsval vid symtomgivande cervikal myelopati. Kirurgin syftar till att dekomprimera ryggmärgen. 

Operativt kan både en anterior och en posterior ansats användas. Valet påverkas av initial grad av kyfos (krökning) eller lordos (svank), antal involverade segment och huruvida kompressionen huvudsakligen har sitt ursprung anteriort eller posteriort. Vilken ansats som väljs är också beroende av lokala traditioner och erfarenheter.

En anterior ansats är ACDF (anterior cervikal dekompression och fusion) där kotpelaren opereras framifrån, disken avlägsnas och en fusion görs mellan ovan- och nedanstående kota. Fusionen görs i regel som plattfixation med bur eller trikortikalt ben­graft. Ibland är det nödvändigt att även göra en korpektomi, där större delen av kotkroppen avlägsnas (se figur). 

Om kompressionen mot ryggmärgen primärt har posteriort ursprung, i synnerhet om flertalet kotpelarsegment är involverade, föredras ofta en posterior laminektomi, med eller utan instrumenterad fusion. Resultaten av främre gentemot bakre dekompression är jämförbara [21].

Icke-kirurgisk behandling kan prövas för patienter med mycket lindrig myelopati där avvikande status- och/eller radiologiska fynd finns, men utan funktionell påverkan [22]. Noggrann observation avseende neurologisk progress är av vikt, eftersom den ofta är irreversibel. Alla patienter med misstänkt eller konfirmerad cervikal myelopati bör bedömas för kirurgi av läkare med ryggkirurgisk kompetens. NSAID och gaba­pentin kan provas om smärta föreligger – många patienter är smärtfria. Fysioterapi används för att träna balans och proprioception.

Prognos

Kirurgi anses allmänt kunna bromsa den neurologi­ska progressionen vid myelopati men det är inte säkert att återhämtning sker. Meningsfull förbättring av neurologisk funktion kan dock ofta ses efter operativ behandling [9]. Det är sannolikt att tidig kir­urgisk intervention medför bättre förutsättningar för neurologisk återhämtning [23]. Hög ålder, symtomprogression och lång symtomduration är associerade med sämre utfall [9]. Förekomst av tydlig myelomalaci på MR är ofta tecken på sämre prognos [24, 25]. Den interindividuella variationen är dock stor, och spontan förbättring kan ses i en subgrupp av patienter [3, 4]. Detta gör gränsdragningen för när operativ intervention är motiverad svår hos patienter med minimal sjukdomsbild.

Läs även författarintervjun med Mamud Miyan.

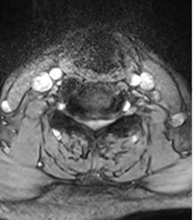
Axial T2-viktad MR-bild mellan C4 och C5 på en 68-årig kvinna med balanssvårigheter, klumpighet och radikulopati mot händerna. I status fanns bilateralt positivt Hoffmanns tecken och stegrade reflexer. I bilden ses en bredbasig diskbuktning och fasettledshypertrofi som försnävar spinalkanalen.

T2-viktad MR-bild med diskbuktningar och ligamentum flavum-hypertrofi som orsakar ryggmärgskompression C4/C5 samt C5/C6. Därutöver ses signalförändring i ryggmärgen på motsvarande nivåer.

MR-bild av halsrygg för jämförelse. Sagittalt snitt. En mindre diskbuktning ses C5/C6, men ingen kompression av ryggmärgen. Likvor (ljus vit färg) flödar fritt på båda sidor av ryggmärgen.

»Finger escape sign«, där lillfingret abduceras (inte kan hållas adducerat) när patienten ombeds hålla fingrarna extenderade och adducerade, är ett statusfynd som antyder myelopati.

Hoffmanns tecken. Patienten håller handen avslappnat. Undersökaren fixerar patientens mellanfalang, efterföljt av en snabb fladdrande rörelse i flekterande riktning.

Vid ett positivt Hoffmanns tecken ses en reflektorisk flexion i tumme respektive pekfinger, talande för en övre motorneuron­påverkan förenlig med myelopati.
Illustrationer:
Mamud Miyan

Postoperativ röntgen av halsryggen efter främre fusion och dekompression (ACDF). Fusionen har gjorts med platta och bur.

Jobb i fokus

Mer att läsa

Mer att läsa