Gå till innehållet
Gå till startsidan

Denna webbplats vänder sig till läkare

Sök

ABC om Idiopatisk normaltryckshydrocefalus

Läs artikel som PDF

Hakim och Adams (1965) var först med att rapportera om de kliniska fynden hos vuxna patienter som led av kronisk symtomatisk hydrocefalus, i dag kallat idiopatisk normaltryckshydrocefalus (iNPH), men som hade normalt intrakraniellt tryck uppmätt vid lumbalpunktion [1], och hur dessa patienter förbättrades i sin symtomatologi efter shuntoperation [2].

I dag anses begreppet »normaltryck« något missvi­sande, då det troligtvis rör sig om ett lätt förhöjt tryck vid iNPH. Tillståndet drabbar den äldre populationen och kännetecknas av tre klassiska symtom: gång- och balansrubbning, kognitiv svikt och urininkontinens. Radiologiskt ses en kommunicerande hydrocefalus, nämligen vidgade hjärnventriklar utan obstruktioner i likvorcirkulationssystemet.  

Den bakomliggande orsaken till iNPH är inte klarlagd, medan de vanligaste bakomliggande orsakerna till sekundär hydrocefalus är tidigare blödning, infektion, trauma eller tumör i det centrala nervsystemet. Studier indikerar dock att hjärt–kärlsjukdom är involverad i utveckling av iNPH [3], och man har nyligen föreslagit att rubbningar i det glymfatiska systemet spelar roll för patofysiologin. Glymfatiska systemet antas rena hjärnan från nedbrytningsprodukter och är uppbyggt av astrocyternas ändfötter som bil­dar vätskefyllda korridorer längs kärlen. Vätska transporteras via akvaporin-4-kanaler, där ett nedsatt vät­s­keutbyte leder till ansamling av metaboliter, vilka kan vara en del i utvecklingen av iNPH [4].

En svensk prospektiv kohortstudie har uppskattat prevalensen av iNPH till 2,1 procent hos personer ≥ 70 år (0,2 procent 70–79 år; 5,9 procent ≥ 80 år) [5]. En annan svensk studie har uppskattat prevalensen till 3,7 procent hos personer ≥ 65 år (2,1 procent 65–79 år; 8,9 procent ≥ 80 år) [6]. Prevalensen av iNPH är dock osäker, och det tros föreligga en underdiagnostisering [7]. Om man jämför den uppskattade prevalensen för iNPH med antalet personer som genomgår shunt­operation i Sverige så föreligger det troligtvis också en underbehandling. 

Diagnos

Sammanfattningsvis vilar iNPH-diagnosen på fyra pelare: anamnes, radiologi, klinisk bild och intrakraniellt tryck. Internationella riktlinjer för diagnostisering av iNPH publicerades 2005 [8, 9], och enligt dessa riktlinjer rekommenderas det att utredningsresultaten klassificeras som sannolik, misstänkt eller osannolik iNPH.

Multidisciplinär utredning och rond

Utredningen vid iNPH är multidisciplinär och inbegriper samarbete mellan neurolog, neurokirurg, fysio­terapeut, arbetsterapeut och vid vissa centrum neuro­psykolog. Om en patient som utretts i primärvården uppvisar symtom och röntgenfynd som ger misstankte om iNPH, skickas remiss till neurolog där även information om patientens tidigare och nuvarande sjukdomar anges. Neurologen har en central roll i att differentiera iNPH från andra neurodegenerativa sjukdomar såsom Lewykroppsdemens, Parkinsons sjukdom, Alzheimers sjukdom, vaskulär demens med flera. 

Eftersom iNPH framför allt förekommer i den äldre befolkningen försvåras utredningen av andra differentialdiagnoser som påverkar gång, balans och urin­inkontinens, såsom spinal stenos, vestibulär dysfunktion, synrubbningar, perifera neuropatier, urinvägssjukdomar, läkemedelsbiverkningar med flera. Valproatencefalopati är en absolut kontraindikation för shuntinläggning. Extrem fetma och missbruk är relativa kontraindikationer. 

Neurokirurgen bedömer patientens operabilitet. Fysioterapeuten analyserar patientens rörelsemönster samt gång- och balansförmåga. Den arbetsterapeutiska och neuropsykologiska bedömningen syftar till att kartlägga fysiska och kognitiva funktionsnedsättningar och aktivitetsbegränsningar som är typiska vid iNPH. Fysio- och arbetsterapeuten samt neuropsykologen har flera skattningsinstrument att tillgå för att kvantifiera de kliniska fynden och kan sätta samman dessa till en bedömningsskala (iNPH-skalan) [10].

Patienter som utretts enligt ovan och som har en radiologisk bild förenlig med iNPH (se nedan), och där likvoranalyser inte inger misstanke om en annan mer trolig neurodegenerativ sjukdom, tas upp på en multidisciplinär rond för bedömning av om utredningsresultaten pekar mot en sannolik eller misstänkt iNPH-dia­gnos. Dessa patienter erbjuds shuntoperation (såvida det inte föreligger kontraindikationer för operation eller riskerna med operation överstiger vins­terna). En fördröjning i utredningen kan leda till försämrat postoperativt utfall och även ökad dödlighet [11].  

Radiologiska tecken

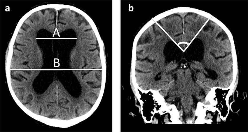
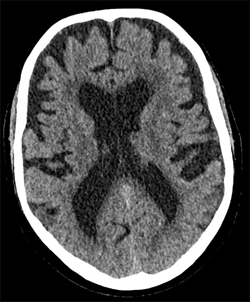
Magnetresonanstomografi (MRT) eller datortomografi (DT) av hjärnan ingår i utredningen av iNPH. Ventrikulomegali är själva kardinalfyndet vid iNPH. Genom att mäta det maximala avståndet mellan ventriklarnas frontalhorns laterala begränsningar (A) och den maximala inre bredden av skallbenet i samma bildplan (B) kan man kvantifiera ventrikelvidden genom att beräkna kvoten (Evans-index) A/B, där normalt Evans-index är < 0,3 [12]. En liten corpus callosum-vinkel (< 90 grader) är också associerad med hydrocefalus. 

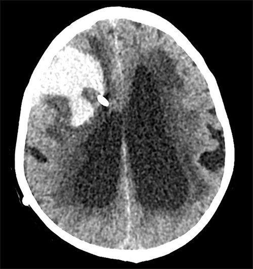
Ventrikulomegali tillsammans med ett högt Evans-­index ses dock inte enbart vid hydrocefalus utan även vid hjärnatrofi. 

Ytterligare radiologiska fynd vid iNPH kan vara DESH (disproportionally enlarged subarachnoid space hydrocefalus), vilket är ett samlingsbegrepp för ventrikulomegali, trånga konvexitetsfåror och vidgade fissurae Sylvii [13]. Förekomsten av DESH har ett högt positivt prediktivt värde för framgångsrik shuntbehandling, men alla patienter med iNPH uppvisar inte tydliga tecken på DESH. Periventrikulärt ödem förekommer i vissa fall vid iNPH, men är vanligare vid hastigt uppkommen hydrocefalus.

Lumbalpunktion, tapptest, likvordynamisk undersökning 

Lumbalpunktion har två huvudsakliga syften: att mäta intrakraniellt tryck och att analysera likvor för att differentiera iNPH från andra neurologiska och neurodegenerativa sjukdomar. Vid flera av universitetssjukhusen, men inte på till exempel Sahlgrenska universitetssjukhuset, utförs tapptest rutinmässigt på majoriteten av patienterna som utreds för iNPH. Vid ett tapptest tappas 40–50 ml likvor via lumbalpunktion. Före och 24 timmar efter tappningen skattas kognitiva test samt gång och balans enligt iNPH-­skalan. Bedömningen av tapptestet inkluderas i beslutet om huruvida operation ska rekommenderas eller inte. Tapptestet har ett högt positivt prediktivt värde (90–100 procent) men ett lågt negativ prediktivt värde (30–50 procent). Utebliven förbättring efter tapptest utesluter således inte iNPH, varför tapptest inte anses obligat vid identifiering av patienter som kan tänkas vara shuntkandidater. Långtidstappning med lumbalt dränage i 3 dagar har ett bättre prediktivt värde, men nackdelen är att det är kostsamt (kräver att patienten är inneliggande) och att det finns en ökad infektionsrisk jämfört med enbart lumbalpunktion. 

Likvordynamisk undersökning utförs genom att först föra in två nålar till likvorrummet genom lumbalpunktion. Därefter används den ena nålen till att mäta tryck och den andra nålen till att infundera eller dra ut vätska. På så sätt kan trycket och konduktansen av likvor mätas. Låg konduktans korrelerar till positiv shuntrespons, men många som förbättras av shuntbehandling kan ha normal konduktans. Likvordynamisk undersökning har begränsat värde för prediktion av shunteffekt men kan vara av värde vid dia­gnostik av shuntfunktion [14, 15]. 

Behandling

Behandlingen vid iNPH är inläggning av en shunt; den mest dominerande typen är en ventrikuloperitoneal shunt (VP-shunt), vars syfte är att dränera likvor från hjärnans likvorrum till fri bukhåla. Vid kontraindikation för inläggning av en peritoneal slang kan en shunt läggas från skallen till övergången mellan vena cava superior och höger förmak i hjärtat, en så ka­llad ventrikuloatrial shunt (VA-shunt). Ett ytterligare alternativ är en lumboperitoneal shunt, som dränerar vätska från subaraknoidalrummet på lumbal nivå. Det förekommer även en liten patientgrupp med iNPH-­liknande symtom som har tecken till akveduktstenos, det vill säga en icke-kommunicerande hydrocefalus, och dessa patienter kan opereras endoskopiskt med ventrikulocisternostomi. 

VP-shunten utgörs av en ventrikelkateter som placeras i ena, vanligtvis höger (icke-dominant hemi­sfär), sidoventrikels framhorn och kopplas till en subgalealt placerad ventil som i sin tur är kopplad till en distal kateter. Den distala katetern tunneleras subkutant från skalpen till buken, där den förs in i fri bukhåla. Shuntventilen är en envägsventil med flöde i distal riktning. Ventilen kan ha ett fixerat eller ett justerbart öppningstryck, och när det intrakraniella trycket överstiger ventilens öppningstryck leds likvor undan. En del ventiler kan öppnas av ett visst flöde. De allra flesta shuntventiler har en antisifon, som förhindrar häverteffekt. I dag läggs vanligtvis justerbara shuntar in, där öppningstrycket kan reglereras med hjälp av en magnetisk mekanism. Patienter med moderna shuntventiler kan genomgå MRT, men inställningen måste oftast kontrolleras efter undersökningen.

Majoriteten av patienterna som opereras för iNPH inkluderas postoperativt i Svenskt nationellt kvalitetsregister för hydrocefalus, som är en del av Svenska neuroregister.

Vårdförlopp

Vid ett okomplicerat ingrepp skrivs patienten ut dagen efter operation. På grund av att alla patienter med iNPH har en gång- och balansrubbning samt ofta kognitiv svikt är det dock vanligt att man redan före operation vet att patienter behöver insättande av kommunala insatser före hemgång. Sådan »vårdplanering« anser författarna bör företas preoperativt för att minska förlängd vårdtid. 

Behandlingsresultat och uppföljning

Patienterna följs upp 3 månader postoperativt med radiologi samt av arbets- och fysioterapeut för kvantifiering av behandlingseffekten på gång, balans och kognition. Den största positiva effekten av shuntbehandling erhålls framför allt på gång och balans, medan effekten på kognition och urininkontinens ofta är sämre, om än inte obefintlig. Cirka 80 procent har effekt av shuntbehandling efter ett år [16]. Det är därför mycket viktigt att patienter är medvetna om risken för utebliven behandlingseffekt innan de beslutar sig för att genomgå shuntoperation.

Risker vid neurokirurgi och shuntkomplikationer

De omedelbara riskerna vid inläggning av shunt är intracerebral blödning samt riskerna associerade med generell anestesi. Den perioperativa mortaliteten ligger kring 0,2 procent, och risken för allvarlig intracerebral blödning ligger också kring 0,2 procent [16].

De vanligaste shuntkomplikationerna är shuntinfektion, shuntdysfunktion, överdränage och kroniska subduralhematom. Revisionsfrekvensen ligger kring 10 procent inom 6 månader postoperativt [17]. Ett mekaniskt shuntstopp eller shuntavbrott åtgärdas med en shuntrevision där hela eller delar av shunten byts ut. Vid shuntinfektion måste shuntens samtliga delar exstirperas i sin helhet och infektionen läka ut innan en ny shunt kan läggas in.

Vid överdränage, det vill säga när shunten dränerar för stor mängd av dygnsvolymen av likvor, uppstår kroniska subduralhematom eller hygrom. Vid små kroniska subduralhematom kan det vara tillräckligt att öka shuntmotståndet i de fall shuntventilen är av justerbar typ. Vid färska blödningsinslag eller större kroniska subduralhematom kan shunten behöva ligeras för att stänga av flödet i shunten helt till dess att hematomen har resorberats. Detta kan ta veckor till månader. Utöver ligering av shunten kan utrymning av hematomen behövas. Om patienten medicinerar med antikoagulantia eller trombocytaggregationshämmare behöver dessa oftast sättas ut medan hematomen resorberas. Hos patienter med hög risk för tromboembolisk eller ischemisk händelse, inklusive nyligen inlagd stent, bör uppehåll av »blodförtunnande« läkemedel göras i samråd med patient­ansvarig läkare och koagulationskonsult. Vid uppehåll av antikoagulantia bör patientansvarig läkare ta ställning till om patienten behöver en överbryggande behandling med en lägre dos lågmolekylärt heparin.

Relativa kontraindikationer för shuntinläggning

iNPH är en uteslutningsdiagnos, och om andra mer troliga bakomliggande orsaker till patientens symtom inte uteslutits ska patienten inte opereras med shunt. Många patienter med iNPH är gamla och multisjuka och löper därför ökade risker i samband med kirurgi.

Sammanfattning

Svensk forskning visar att dödligheten vid iNPH minskar efter shuntoperation [18]. Cirka 20 procent av patienterna som opereras för misstänkt iNPH får ingen eller mycket liten effekt av shuntbehandling, vilket talar för att diagnosen i de fallen var fel, alternativt att sjukdomen hade progredierat till ett icke-behandlingsbart stadium. Neurologen spelar en avgörande roll i att utesluta differentialdiagnoser till iNPH och sålla ut patienter med trolig iNPH-diagnos. Även om shuntoperationen betraktas som ett ingrepp med relativt låg risk förekommer risker både på kort och lång sikt samt risken för utebliven effekt. Patienterna som opereras måste vara väl införstådda med riskerna med shuntoperation. Om den multidisciplinära utredningen leder till att patienten har trolig iNPH ska operationen dock inte fördröjas.

DT-bilder av hjärnan hos en patient med idiopatisk normaltryckshydrocefalus i (a) axialplanet och (b) koronalplanet. Bild (a) illustrerar Evans-index, där kvoten A/B hos patienter med hydrocefalus ska vara > 0,3. Bild b) visar en corpus callosum-vinkel < 90 grader, vilket tyder på idiopatisk normaltryckshydrocefalus.

DT-bild som visar generell hjärnatrofi där ventriklarna vidgats på grund av nedbrytning av parenkym.

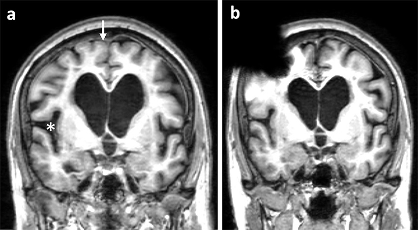
MR med FLAIR-sekvenser preoperativt (a) och 3 månader postoperativt (b) hos en patient som förbättrades kliniskt efter shuntoperation. Preoperativt uppvisade patienten så kallat DESH-fenomen (disproportionally enlarged subarachnoid spaces), det vill säga ventrikulomegali, trånga konvexitetsfåror (pil) och vidgade fissurae Sylvii (asterisk). Ventrikelvidden och Evans-index hade inte minskat signifikant mellan undersökningarna, men neuroradiologen bedömde att konvexitetsfårorna var mer öppetstående och fissurae Sylvii var mindre vidgade postoperativt. Bild (b) visar även den MR-artefakt (svart signal höger frontalt) som shuntventilen ger upphov till.

Schematisk översikt av shuntförloppet. VP-shunten utgörs av en ventrikelkateter som placeras i ena sidoventrikelns framhorn, vilken kopplas till en subgalealt placerad ventil som i sin tur är kopplad till en distal kateter. Den distala katetern tunneleras subkutant från skalpen till buken, där den förs in i fri bukhåla.
Illustration: Lisa Arvidsson

Shuntventilen kopplas till ventrikelkateter och distalkateter i flödesriktningen, som indikeras av pilen på shuntventilen. Denna modell har en likvorreservoar som kan punkteras för likvorprov­tagning.
Publiceras med tillstånd av Medtronic.

Axial DT-bild av patient som drabbades av en allvarlig blödningskomplikation frontalt höger utmed shuntslangens förlopp. Blödningen inträffade inom 48 timmar postoperativt.

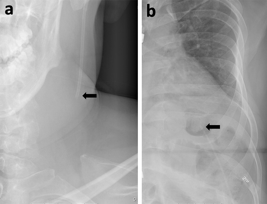
Shuntöversikt som påvisar shuntavbrott på halsen (a) samt torax (b).

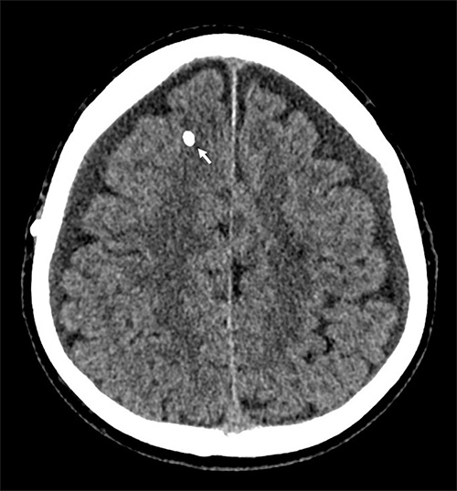
Axial DT-bild av en patient med bilaterala kroniska subduralhematom som uppstått till följd av överdränage. Den vita pricken frontalt höger (pil) utgörs av den röntgentäta intrakraniella katetern.

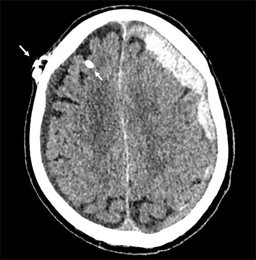
Axial DT-bild av en patient med allvarligt överdränage, vilket har givit upphov till ett akut subduralhematom på vänster sida och ett mindre kroniskt subduralhematom på höger sida. En del av shuntventilen syns subgalealt på höger sida (pil), likaså en del av den röntgentäta intrakraniella katetern.

Jobb i fokus

Mer att läsa

Mer att läsa