Gå till innehållet
Gå till startsidan

Denna webbplats vänder sig till läkare

Sök

Abdominell rektusdiastas kan ge funktionella besvär

Läs artikel som PDF

Abdominell rektusmuskeldiastas innebär en uttänjning av linea alba med ökat avstånd mellan de raka bukmusklerna. Tillståndet är fysiologiskt hos gravida kvinnor. Vanligen försvinner diastasen efter förlossningen, men en breddökning kvarstår efter ett år hos ca 30 procent [1]. Rektusmuskeldiastas ses även hos män och kvinnor som inte fött barn. Symtom såsom ländryggsbesvär av varierande svårighetsgrad kopplade till försämrad bålmuskelfunktion kan orsakas av rektusdiastas. Därtill kommer en kosmetisk aspekt som tillsammans med inskränkt funktion kan medföra betydligt försämrad livskvalitet. Trots att abdominell rektusmuskeldiastas är känd sedan länge under beteckningen mammamage (engelska: mummy tummy) är det först under senare år som kirurgisk behandling börjat erbjudas i Sverige. Den potentiella vinsten med kirurgi i utvalda fall och kontroverser kring vad som uppfattas som kosmetiskt syftande kirurgi har lett till att rektusmuskeldiastas under senare år fått betydande medial uppmärksamhet. Många kvinnor upplever bristande förståelse för sina symtom från den offentliga sjukvårdens sida. Rektusmuskeldiastas opereras därför vanligen i privat regi och i regel i samband med bukplastik. Tillgänglighet och information till patienterna varierar stort mellan olika landsting och regioner.

Den vetenskapliga evidensen vid val av behandling är svag. Följande frågor är aktuella: Vilken effekt kan förväntas av fysioterapi? Vilka patienter bör rekommenderas operativ korrektion av diastasen och vilka symtom kan förväntas försvinna efter operation? Riktlinjer för utredning och behandling av abdominell rektusmuskeldiastas saknas både nationellt och internationellt. Detta gäller särskilt indikationer för kirurgisk korrektion.

Avsikten med denna översikt, som baseras på en omfattande litteraturgenomgång, är att belysa nuvarande kunskapsläge samt ge underlag för att utarbeta nationella riktlinjer för handläggning. Litteraturgenomgången är gjord i samarbete med Metodrådet i Sydöstra sjukvårdsregionen och baseras på sökningar i PubMed på följande sökbegrepp: diastasis recti, rectus diastasis, diastasis recti physical treatment, diastasis recti AND surgical treatment.

Definition och diagnostik

En allmänt accepterad definition av abdominell rektusmuskeldiastas saknas, liksom konsensus för vilka mätpunkter och vilka mätmetoder som ska användas. De flesta studier är gjorda på kvinnor efter graviditet. I en nyligen publicerad longitudinell studie av 84 kvinnor som undersökts med ultraljud under och upp till 6 månader efter förlossning definierades övre normalgränsen för avståndet mellan rektusmusklerna till 21 mm nedanför naveln respektive 28 mm två cm ovanför naveln [2]. Preoperativ klinisk bedömning har i en undersökning visat bättre överensstämmelse med intraoperativ mätning än DT [3]. Bilddiagnostik motiveras främst för att påvisa eventuellt bråck i medellinjen.

Patofysiologi

Bukväggens muskulatur har bland annat till uppgift att hålla uppe trycket i bukhålan och stabilisera ländryggen. Detta sker genom ett dynamiskt samspel mellan rektusmusklerna, de båda sneda bukmusklerna och transversusmuskeln. En kraftig ökning av bukomfånget kan ge en försvagning av bålfunktionen med sekundär uttänjning av linea alba. Abdominell rektusmuskeldiastas är definitionsmässigt inte ett bråck, och inklämningsrisk föreligger inte. Däremot medför en försvagad linea alba risk för uppkomst av bråck i medellinjen då navelbråck är 2–3 gånger vanligare hos patienter med rektusdiastas [4].

Graviditet och förlossning, där hormonella faktorer (relaxin) spelar roll, är den vanligaste och bäst studerade orsaken till abdominell rektusmuskeldiastas. Störning av kollagenmetabolismen har sannolikt en roll härvidlag. Autosomalt ärftlig abdominell rektusmuskeldiastas har rapporterats [5]. Ett samband mellan rektusdiastas och aortaaneurysm har också föreslagits [6].

Symtom

Kosmetiska besvär med tydlig buktning av bukväggen i stående är vanligaste symtom (Figur 1). Dessa besvär kan ibland vara mycket uttalade och menligt påverka livskvaliteten. Ofta är kosmetiska besvär kombinerade med varierande grader av funktionella symtom av försämrad bålmuskelfunktion. Det är viktigt att inse att kosmetiska och funktionella symtom överlappar och att rent kosmetiska besvär sällan förekommer (Figur 2).

Buksmärtor och obehag i övre delen av buken, särskilt efter måltid, är ofta angivna besvär hos patienter med abdominell rektusmuskeldiastas.

En försämrad bålmuskelfunktion med minskad stabilitet i ländryggen kan ge upphov till kroniska ryggsmärtor. Sambandet mellan rektusdiastas och ländryggssmärta är emellertid inte helt klarlagt.

I en kohortstudie omfattande 300 gravida kvinnor, som följdes 12 månader efter förlossning, sågs ingen signifikant skillnad i rygg- eller bäckensmärta mellan kvinnor med respektive utan rektusdiastas. Det bör dock noteras att nästan samtliga hade en diastas understigande tre tvärfingrars bredd, vilket klassificerats som lindrig diastas [7]. I allmänhet kan sägas att diastasens storlek i förhållande till olika symtom hos patienterna är bristfälligt kartlagd.

Fysioterapi

Olika fysioterapeutiska åtgärder som främst innebär styrketräning av bukmusklerna under och efter graviditet har i några studier visats minska förekomsten av rektusmuskeldiastas. Bålstabiliserande träning med preaktivering av transversusmuskulaturen, som snarare syftar till att öka bålmuskeltonus än att minska avståndet mellan rektusmusklerna, har rapporterats som en stabilitetsökande träningsmetod. Den vetenskapliga kvaliteten är emellertid inte tillräckligt hög för att dra entydiga slutsatser [8].

I en svensk randomiserad kontrollerad studie, där resultatet av två operationsmetoder jämfördes, ingick en kontrollgrupp bestående av 32 patienter, som genomgick tre månaders fysioterapi. Efter tre månader hade träningsgruppen förbättrats avseende objektiv bukmuskelstyrka, funktion och livskvalitet. Däremot sågs obetydlig effekt på smärta. En majoritet av patienterna i träningsgruppen önskade operation efter avslutad träning [9].

Kirurgisk behandling

Det saknas konsensus om indikation för operation av abdominell  rektusmuskeldiastas. Det finns ingen samlad statistik på hur många ingrepp som utförs i Sverige där rektusdiastas är primär indikation. Korrektion av diastasen är vanligare i samband med bukväggsplastik. Det finns få randomiserade studier med lång uppföljningstid. Operationsteknikerna varierar mellan öppna och minimalinvasiva, med eller utan nät. I flertalet fall med patienter som primärt opereras för abdominell rektusmuskeldiastas görs ofta samtidigt en bukplastik.

I den ovan nämnda svenska studien [9] jämfördes 29 patienter opererade med retromuskulärt nät med 27 patienter som opererades med suturering. Vid uppföljning efter ett år sågs signifikant förbättrad livskvalitet (mätt med SF-36) utan skillnad mellan grupperna. Både objektiv och självskattad muskelstyrka, funktion och smärta var signifikant förbättrad i samtliga studerade modaliteter. Ingen skillnad mellan metoderna observerades avseende postoperativa komplikationer. Långtidsresultaten efter fem år förväntas inom kort.

Recidiv av abdominell rektusmuskeldiastas efter operation har rapporterats i 0–40 procent av fallen. Serombildning till följd av omfattande dissektion, framför allt vid samtidig bukplastik, förekommer hos 10–50 procent [10]. Kvarstående känselbortfall i bukväggen har också beskrivits.

Korrigerande operationer, framför allt på grund av mindre kosmetiska defekter, kan förekomma. Patientens förväntningar skall noggrant belysas i det preoperativa samtalet.

Den vetenskapliga evidensen för handläggning av abdominell muskeldiastas är svag [11]. Det finns stort behov av randomiserade kontrollerade studier för att jämföra effekten av träning och operation.

Rekommendationer för handläggning

Mot bakgrund av ökad efterfrågan på kirurgisk korrektion, framför allt efter graviditet, och den ojämlika situation som råder mellan olika regioner i landet är det angeläget att utarbeta nationella riktlinjer för diagnostik av abdominell rektusmuskeldiastas och dess behandling. En arbetsgrupp under Svensk kirurgisk förening har bildats för att utarbeta förslag till riktlinjer enligt följande:

  • Kartläggning av diastasens omfattning bör standardiseras och mätas kliniskt med och utan muskelspänning.
  • Fysioterapeutisk bedömning bör ske inför remiss för kirurgisk bedömning.
  • Fysioterapi bör erbjudas i första hand.
  • Nedanstående förutsättningar måste uppfyllas om operation ska övervägas:

            – Fysioterapi har inte gett avsedd effekt på funktion och en sammantagen symtombild, utöver rent kosmetiska besvär, ger avsevärt nedsatt livskvalitet.

            – Inga fler graviditeter planeras.

            – Rökstopp och vid behov viktminskning för att minska risk för komplikationer.

            – Muntlig och skriftlig information till patienten om risker för komplikationer och om att målsättningen med operation i första hand är funktionsförbättrande och inte kosmetisk. Viktigt att inte skapa orealistiska förväntningar mot bakgrund av det bristande evidensläget.

Detaljerade operationsindikationer kan presenteras först efter att nationella riktlinjer utarbetats.

För kvalitetssäkring rekommenderas uppföljning efter 12 månader. En nationell registrering, antingen inom ramarna för befintliga register eller som ett separat register för abdominell rektusmuskeldiastas, skulle kunna leda till en större enhetlighet och mer tillförlitlig kvalitetsuppföljning.

Potentiella bindningar eller jävsförhållanden: Anders Carlstedt har haft uppdrag avseende medicinska granskningar för försäkringsbolag.

Figur 1. Rektusdiastas omfattande både övre och nedre medellinje.

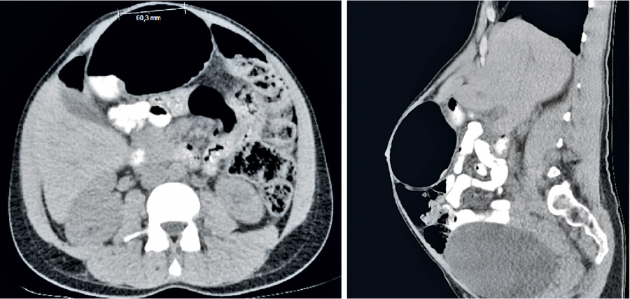
Figur 2. Rektusdiastas och uttänjd rektusmuskulatur under krystning (dator­tomografi), bilden till höger från sidan.

Jobb i fokus

Mer att läsa

Mer att läsa