Akut salicylatförgiftning kan ge icke-kardiogent lungödem
Salicylatförgiftning har de senaste åren utgjort cirka 8–15 procent av alla förgiftningsfall på medicinska akutmottagningar i Danmark [1, 2]. Mortaliteten är låg [3], men allvarliga förgiftningar med betydelsefulla komplicerande tillstånd förekommer.
Fallbeskrivning
En 55-årig kvinna med känd kroniskt obstruktiv lungsjukdom intogs akut på en medicinsk akutmottagning i Danmark med tilltagande dyspné. Patienten berättade att hon i affekt intagit ett okänt antal Kodimagnyl (innehåller acetylsalicylsyra, kodein och magnesiumoxid). Hon hade regelbundet tagit detta preparat på grund av kroniska skuldersmärtor.
Vid ankomsten till akutmottagningen var patienten akut påverkad. Hon var takypnoisk, kallsvettig och hade påverkat sensorium.
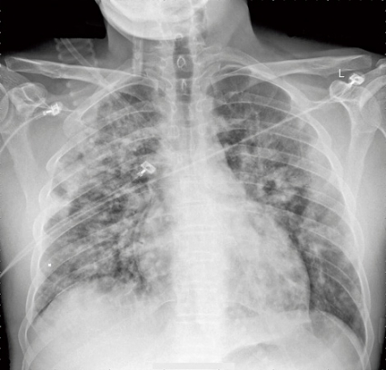
Blodtrycket var 120/75 mm Hg, pulsen 100 slag/minut och saturationen var 81 procent med oxygenmask med flöde 9 l/minut. Auskultation av lungorna avslöjade krepitationer bilateralt. Toraxröntgen på akutmottagningen visade infiltrat bilateralt, vilket tolkades som lungstas (Figur 1). EKG visade sinusrytm, i övrigt inga tecken på akut patologi. Akut ekokardiografi visade helt normala fynd och gav ingen misstanke om kardiellt betingat lungödem.
Laboratorievärden: S-salicylat 6,1 mmol/l, B-LPK 13,2 × 109/l, CRP 171 mg/l och KFNT (koagulationsfaktor-normaltest) 0,36 (referensområde 0,70–1,30 arbiträra enheter/l); S-elektrolyter och levervärden var normala. Syra–basstatus: pO2 6,9 kPa, pCO2 4,3 kPa, pH 7,28, standardbikarbonat 13,5 mmol/l och laktat 1,7 mmol/l.
Konklusion: svår salicylatförgiftning komplicerad av icke-kardiogent lungödem.
Forcerad alkalisk diures inleddes. Senare samma dag överfördes patienten till intensivvårdsavdelningen på grund av uteblivet svar på den initiala behandlingen. Hon utvecklade tilltagande respiratorisk insufficiens och minskande diures. Hon intuberades och kopplades till respirator. På grund av iatrogen överhydrering, oliguri och hög serumsalicylatnivå inleddes kontinuerlig veno-venös hemofiltrationsdialys (CVVH), där man också drog vätska.
Efter 14 timmars CVVH-behandling föll S-salicylat markant från 4,8 mmol/l till 1,6 mmol/l, och patientens övervätskning reducerades. Efter behandlingen svarade patienten med god diures, som aktivt stimulerades med upprepade doser furosemid intravenöst. Hon var svår att avvänjas från respiratorn beroende på hennes redan existerande kroniska lungsjukdom.
Patienten skrevs ut från intensivvårdsavdelningen till medicinsk vårdavdelning efter 6 dygn. En kort tid senare blev hon utskriven från sjukhuset för ambulant uppföljning.
Diskussion
Ovanstående sjukhistoria illustrerar utveckling av icke-kardiogent lungödem beroende på salicylatförgiftning. Patienten hade flera faktorer som ökade risken för denna komplikation. Dokumenterade riskfaktorer är hög ålder, cigarettrökning, kronisk salicylatförgiftning, metabolisk acidos och proteinuri [4-6].
Identifiering av patienter i riskgruppen, snabb diagnostisering och korrekt behandling är viktigt för minskning av morbiditet och mortalitet [7, 8]. Generellt består behandlingen i att hindra ytterligare absorption och att öka utsöndringen av redan absorberat salicylat. Dessutom kan det behövas ytterligare behandling av eventuella komplikationer. Fortsatt absorption av intaget salicylat kan hindras med ventrikelsköljning och tillförsel av aktivt kol. Upprepad tillförsel av aktivt kol har visat sig effektiv för eliminering av redan absorberat salicylat och rekommenderas därför [9]. Genom alkaliserad diures ökas utsöndringen dramatiskt [8, 9] (Figur 2). Framkallande av diures genom riklig vätsketillförsel bör göras under noggrann observation, eftersom det i vissa fall kan förvärra lungödemet [8].
Bilaterala lunginfiltrat hos en patient med salicylatförgiftning bör föranleda misstanke om icke-kardiellt lungödem. Ekokardiografi bör då utföras.
Omedelbar indikation för att inleda dialys är svår behandlingsrefraktär metabolisk acidos, tecken på svår organsvikt (lung- eller njursvikt) och mycket höga S-salicylatvärden [9-11]. Eventuella elektrolytstörningar ska fortlöpande korrigeras. I synnerhet är hypokalemi en vanlig komplikation till salicylatförgiftning [8]. Andra störningar kan vara nedsatta nivåer av koagulationsfaktor II, VII och X samt hypoglykemi och hypokalcemi [9, 10].
Laboratoriemässigt och kliniskt kan bilden i ovanstående fallbeskrivning ge anledning att misstänka flera differentialdiagnoser. Eftersom användning av salicylpreparat är utbredd, bör salicylatöverdosering hållas i minnet av läkare vid medicinska akutmottagningar.
*
Potentiella bindningar eller jävsförhållanden: Inga uppgivna.

