Gå till innehållet
Gå till startsidan

Denna webbplats vänder sig till läkare

Sök

Antikoagulation vid akut stroke med förmaksflimmer

Läs artikel som PDF

Kunskapen om att förmaksflimmer orsakar stroke sprids i den svenska läkarkåren, liksom att antikoagulantia är den enda effektiva profylaxen [1]. Utvecklingen av nya orala antikoagulantia tillsammans med metoder att enkelt registrera paroxysmalt förmaksflimmer ger ökade möjligheter att förebygga stroke [2-5]. Användningen av antikoagulantia efter akut ischemisk stroke med förmaksflimmer har ökat kraftigt under senare år (Figur 1). Men flera frågor återstår att besvara innan behandlingen kan anses vara evidensbaserad i akutskedet av stroke.

Vi koncentrerar oss här på de frågor som uppstår när man ska ta ställning till behandlingen av en enskild patient med akut ischemisk stroke och förmaksflimmer. Vi diskuterar framför allt när antikoagulantia kan sättas in men berör även frågan om huruvida behandlingen är lämplig. Vi tar upp frågorna i den ordning de dyker upp i den kliniska vardagen. Utgångspunkten är de första dygnen efter det akuta insjuknandet, och miljön är en strokeenhet. 

Hur stor är risken för en ny embolisering?

Det finns få epidemiologiska data om risken för tidigt recidiv efter kardiell embolisering. I en japansk kohort beskrevs naturalförloppet hos 227 patienter med akut kardiell embolisering utan antikoagulantia under de första 14 dagarna. Under denna tidsrymd fick 20 procent en ny emboli till hjärnan eller periferin [6]. Det som kännetecknade dessa patienter var reumatisk hjärtsjukdom, klaffprotes eller påvisad intrakardiell tromb. Bland dem som inte fick en ny emboli fanns förmaksflimmer utan organisk hjärtsjukdom, dvs målgruppen i denna översikt.

I en norsk randomiserad kontrollerad studie (RCT) av 449 patienter med ischemisk stroke och förmaksflimmer jämfördes lågmolekylärt heparin (LMWH) med acetylsalicylsyra (ASA) [7]. Patienterna var i genomsnitt 80 år, och behandlingen sattes in inom 48 timmar från insjuknandet. Patienter med mycket stora neurologiska bortfall, blodtryck över 200/110 mm Hg eller annan allvarlig sjukdom uteslöts. Frekvensen återfall i ischemisk stroke inom 14 dagar var 8,5 procent bland dem som lottats till LMWH och 7,5 procent bland dem som lottats till ASA. Till detta ska läggas hjärnblödningar: 2,7 procent i LMWH-gruppen och 1,8 procent i ASA-gruppen. I denna selekterade kohort var således incidensen av återfall hög trots behandling.

Svaret på frågan är därmed att vi inte vet hur stor risken för en ny embolisering är vid utebliven respektive insatt antikoagulationsbehandling bland oselekterade patienter. En viss uppfattning om risken för en ny emboli kan vi dock få om vi gör ultraljudsundersökning av hjärtat och t ex hittar en intrakardiell tromb. Vi får heller inte glömma att patienten kan ha ytterligare en allvarlig orsak till sitt insjuknande, t ex tät karotisstenos, som vanligtvis behandlas med trombocythämmare i väntan på operation. Vi vill understryka vikten av att en helhetsbedömning görs i varje enskilt fall.

Hur stor är risken för blödning?

I trombolys- och heparinstudier av ischemisk stroke föreligger en hög frekvens av hemorragisk transformering av hjärninfarkten (Figur 2) [8, 9]. I ECASS 2, en RCT av vävnadsplasminogenaktivator (tPA) mot placebo, följde man patienterna med tre DT-undersökningar den första veckan. I placebogruppen fick 40 procent hemorragisk transformering, medan andelen i tPA-gruppen var 47 procent [8]. 

I en annan RCT där ASA jämfördes med LMWH gjordes kontroll-DT dag 10. Vid detta undersökningstillfälle sågs hemorragisk transformering hos 33 procent i ASA-gruppen och hos 36 procent i LMWH-gruppen [9]. Något lägre siffror sågs i den norska studien av ASA jämförd med LMWH: 14,2 respektive 11,6 procent [7]. Hemorragisk transformering är vanligare vid stor hjärninfarkt (än vid liten) och vid hjärninfarkt orsakad av kardiell embolisering eller storkärlssjuka (än vid småkärlssjuka) [9].

Hemorragisk transformering med neurologisk försämring, symtomgivande intracerebral hemorragi, ses oftare vid stor hjärninfarkt än vid liten. Behandling med tPA, i synnerhet i kombination med ASA, ökar också risken för symtomgivande intracerebral hemorragi. Andra faktorer kopplade till symtomgivande intracerebral hemorragi är högt blodtryck, hög ålder och hjärtsvikt [8]. Tyvärr saknas systematiska studier av risken för symtomgivande intracerebral hemorragi hos oselekterade grupper av patienter med akut ischemisk stroke och förmaksflimmer.

Svaret på frågan om hur stor risken för blödning är vid akut stroke blir att vi inte vet. Kontroll-DT ger oss möjlighet att upptäcka hemorragisk transformering men säger lite om risken för försämring vid insättning av antikoagulantia. Däremot kan definitionen av symtomgivande intracerebral hemorragi uppfyllas om patienten försämrats kliniskt och intrakraniellt hematom konstateras på DT.

Vilken nytta har vi av prognostiska modeller?

Prognostiska modeller (score), som identifierar individer med hög risk för stroke bland patienter med förmaksflimmer, t ex CHA2DS2-VASc, har konstruerats, liksom modeller för att bedöma hög blödningsrisk, t ex HAS-BLED [10, 11]. Dessa modeller har på ett gynnsamt sätt standardiserat och förenklat riskbedömningen av patienter med förmaksflimmer. I modellerna saknas dock information om nya faktorer som påverkar risken, t ex biomarkörer för myokardskada och stress [12, 13]. Framför allt har ingen av dem hämtat information från kohorter av patienter med akut strokesjukdom.

Svaret på frågan blir att vi inte har så stor nytta av befintliga prognostiska modeller i det akuta skedet av ischemisk stroke med förmaksflimmer. Alla patienter med förmaksflimmer och genomgången stroke betraktas i modellerna som högriskindivider som bör ha antikoagulantia, dock erhålls ingen vägledning om rätt tidpunkt för insättning av behandlingen. Förekomsten av gemensamma riskfaktorer i CHA2DS2-VASc och HAS-BLED försvårar dessutom ytterligare bedömningen av risk och nytta för enskilda strokepatienter [14].

Vilken roll spelar hög ålder?

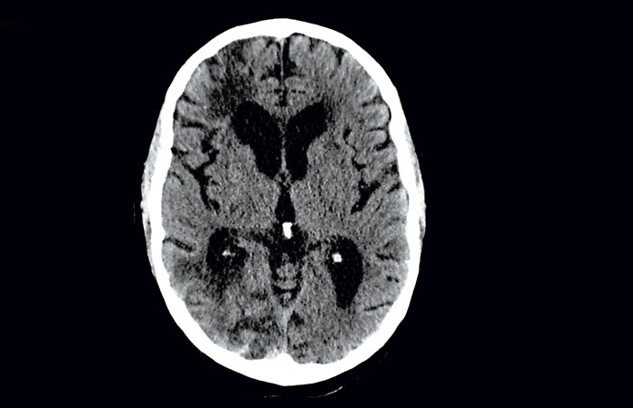
I frågan om huruvida antikoagulantia ska sättas in eller inte spelar åldern en viktig roll. Åldern påverkar risken för både stroke och blödning kontinuerligt, inte dikotomt vid 65 års ålder som i t ex HAS-BLED. Strokepatienterna är i genomsnitt betydligt äldre, 80 år, än de som ingått i de stora studierna av nya och äldre antikoagulantia (Figur 3). För närvarande finns blödningsdata från hela gruppen av hjärninfarkter, dvs även de som inte har förmaksflimmer. Dessa data visar att risken för blödning, i synnerhet intrakraniell och gastrointestinal, ökar mer efter 75 års ålder (Figur 4) [15]. Ökningen av blödningsrisken efter 75 års ålder kan vara relaterad till förekomst av småkärlssjuka. På DT syns småkärlssjuka som lakunära hjärninfarkter och förlust av vitsubstans (leukoaraios) (Figur 5). Med MRT kan man dessutom se mikroblödningar i hjärnparenkymet. Småkärlssjuka är även relaterad till större hjärnblödningar. En omfattande litteratur finns på området [16].

Svaret på frågan om ålderns betydelse blir att vi vet att risken för blödningar ökar med tilltagande ålder och att småkärlssjuka blir vanligare vid högre ålder. Däremot har vi inget svar på frågan om DT- eller MRT-fynd av småkärlssjuka ska vara kontraindikation för antikoagulationsbehandling av akut ischemisk stroke med förmaksflimmer.

Har patienter med akut stroke inkluderats i studier?

Varken i äldre studier av warfarin eller nyare studier av trombin- eller faktor Xa-hämmare har patienter med akut stroke inkluderats i någon större omfattning. De äldre warfarinstudierna var små och selekterade bort gamla patienter och patienter med högt blodtryck. I den oftast refererade äldre studien, EAFT, hade mindre än hälften av drygt 400 randomiserade patienter inkluderats inom 14 dagar [17]. I studien av trombinhämmare, RE-LY, var stroke inom 14 dagar ett exklusionskriterium [2]. I den ena faktor Xa-studien, ROCKET-AF, var exklusionskriteriet detsamma, dvs 14 dagar efter stroke, med tillägget att TIA inte fick ha förekommit de senaste tre dagarna [3]. I den andra faktor Xa-studien, ARISTOTELE, var tidsgränsen för inklusion sju dagar [4].

I den studie som ligger närmast vår målgrupp, AVERROES, där faktor Xa-hämmare jämfördes med ASA hos patienter med förmaksflimmer och stroke fanns inget exklusionskriterium för akut stroke [18]. Det var dock endast 125 av 5 599 patienter (2,2 procent) som hade haft stroke mindre än ett år före inklusion i studien [4, 19].

Svaret på frågan om patienter med akut ischemisk stroke inkluderats i RCT av orala antikoagulantia blir nej.

Sammanfattning

Aldrig tidigare har uppmärksamheten kring förmaksflimmer varit större än nu. Användningen av antikoagulantia ökar, även bland patienter med akut ischemisk stroke. Men användningen i akutskedet är inte evidensbaserad, eftersom randomiserade prövningar inte utförts i det tidsintervallet. Dessutom saknas data från observationsstudier om förmaksflimmer och risk för strokerecidiv och blödning under de första veckorna. Det finns således utrymme för bra observationsstudier baserade på svenska register och för randomiserade kliniska prövningar av orala antikoagulantia hos patienter med akut ischemisk stroke och förmaksflimmer.

Potentiella bindningar eller jävsförhållanden: Andreas Terént har erhållit forskningsbidrag från AstraZeneca AB. Ziad Hijazi har erhållit forskningsbidrag från Boehringer Ingelheim och Bristol-Myers Squibb/Pfizer samt resebidrag från Bristol-Myers Squibb.

 

Figur 1. Andel patienter med ischemisk stroke och förmaksflimmer som behandlats med antikoagulantia vid utskrivning från sjukhus. År 2011 tillkom andra orala antikoagulantia än warfarin. År 2012 tillkom patienter med planerad insättning av orala antikoagulantia inom två veckor efter utskrivning från sjukhus. Från Riks-Strokes årsrapport 2012 (http://www.riks-stroke.org/).

Figur 2. 73-årig man med tidigare stroke och förmaksflimmer inkommer med nya strokesymtom. DT-hjärna visade nytillkommen occipital hjärninfarkt med hemorragisk transformering (ljusare partier mot mörkare bakgrund) och äldre frontal hjärninfarkt (jämfört med tidigare DT).

Figur 3. Antal patienter med ischemisk stroke och förmaksflimmer i olika åldersklasser i Riks-Stroke 2001–2005.

Figur 4. Allvarliga blödningar efter hjärninfarkt hos 51 815 patienter i Riks-Stroke 2001–2005 [20]. Allvarliga blödningar definierades utifrån förekomst i Patientregistret med huvuddiagnos (gastrointestinala och övriga blödningar) eller med huvud- och bidiagnos (intrakraniella). Antitrombotisk behandling definierades utifrån förskrivning vid utskrivning, enligt Riks-Stroke. 

Figur 5. 86-årig kvinna med förstagångsstroke och förmaksflimmer. DT-hjärna visade förekomst av småkärlssjuka med förlust av vitsubstans, leukoaraios (mörka områden bredvid sidoventriklarna).

Mer att läsa

Mer att läsa