Gå till innehållet
Gå till startsidan

Denna webbplats vänder sig till läkare

Sök

Atypisk femurfraktur en allvarlig komplikation till bisfosfonater

Läs artikel som PDF

Bisfosfonater är förstahandsvalet för prevention av fragilitetsfrakturer [1]. Under 2003 publicerades de förs­ta fallen av käkbensnekros kopplad till användning av bisfosfonater [2]. Två år senare beskrevs atypiska femurfrakturer [3]. Biverkningen i sig utgör en sällsynt paradox inom farmakologi där själva biverkan är det man försöker förhindra med medicineringen, nämligen fraktur. Den bisfosfonatassocierade atypiska femurfrakturen är i dag välstuderad och beskriven i ett hundratal publikationer. De senaste åren har givit ny kunskap om atypiska femurfrakturer och större insikt i de utmaningar som biverkningen medför. 

Definition

Benämningen atypisk femurfraktur kommer från ett radiologiskt avvikande mönster jämfört med den vanliga osteoporosrelaterade, metafysärt belägna fragilitetsfrakturen. Slätröntgen av den atypiska femurfrakturen visar radiologiska tecken på stressfraktur: en tvärgående frakturspalt, vinkelrätt mot femurs laterala kortex, och en tydlig kallus som ett tecken till att frakturen utvecklats under en tid (Figur 1). En frakturspalt som endast engagerar laterala kortex definieras som en inkomplett fraktur (Figur 2). När frakturen dislokerar, vilket kan ske utan eller efter minimalt trauma, kallas den för komplett (Figur 1). Den mest etablerade definitionen av atypisk femurfraktur föreslogs 2010 [4] av American Society of Bone and Mineral Research och uppdaterades av samma organisation 2014 [5]. Definitionen är i grova drag uppdelad i fem huvudkriterier, varav minst fyra måste uppfyllas för diagnos (Fakta 1). Av de fem huvudkriterierna är ett baserat på anamnestisk uppgift (hur frakturen uppstod, det vill säga utan eller efter minimalt trauma) och resterande på radiologiska fynd. 

Risksamband med bisfosfonater

Den genomsnittliga absoluta risken för atypisk femurfraktur hos kvinnor har i olika studier uppskattats till mellan 0,3 och 5 fall per 10 000 bisfosfonatanvändare och år [5]. De stora skillnaderna i risk mellan olika studier beror sannolikt på hur fallen definierats radiologiskt men också på den underliggande riskpopulationen [6]. Risken ökar kraftigt till 11 fall per 10 000 personer och år för individer som använt orala bisfosfonater under en längre period (> 5 år) [5]. Hur länge risken fortsätter att stiga är för närvarande oklart. Baserat på nationella svenska data är den genomsnittliga åldersjusterade relativa risken för atypisk femurfraktur hos bisfosfonatbehandlade patienter jämfört med icke­behandlade 55 (95 procents konfidensintervall [95KI] 39–79) för kvinnor och 54 (95KI 15–192) för män [7]. Högst risknivå för atypisk femurfraktur efter användning av de orala bisfosfonaterna har noterats för alendronat, som också är det oftast använda preparatet. Risken för infusionspreparatet zoledronat är ännu oklar. Användning av orala bisfosfonater i 4–5 år ger en relativ risk på 126 (95KI 55–288) och en absolut risk på 11 per 10 000 personår [8]. Kvinnor har tre gånger högre absolut risk än män. 

Genomsnittsålder för atypisk femurfraktur är 75 år bland bisfosfonatanvändare [7]. Till skillnad från vanliga fragilitetsfrakturer hos äldre är atypisk femur­fraktur inte kopplad till ökad dödlighet [9].

Möjlig mekanism

Det finns flera teorier om uppkomstmekanismen bakom atypisk femurfraktur. Teorin om översuppression av benets remodellering är den äldsta [3] och den som haft störst spridning. Det har länge varit känt att behandling med bisfosfonater leder till en hämning av benresorptionen [10], och till viss grad är hämning av benomsättningen önskvärd för att bibehålla benvolym. Det finns dock en gräns där en för kraftig hämning av benomsättningen kan tippa vågskålen mot icke önskvärda bieffekter.

Ökad bentäthet är inte att likställa med bättre benkvalitet. I bisfosfonatbehandlat ben som utsätts för normal belastning uppträder mikroskador lättare än i obehandlat ben. Det är via djurstudier visat att en hämmad benomsättning med bisfosfosfonater möjliggör ackumulation av mikrosprickor i benet [11, 12]. I studier utförda på hundar har man vid behandling med bisfosfonater exempelvis noterat tre gånger ökad ackumulation av mikroskador när benomsättningen reducerats med 40 procent [13]. Mikroskador stimulerar till att aktivera benremodellering via apoptos av osteocyter – så kallad riktad remodellering [14]. Ökad mängd mikroskador förekommer hos bisfosfonatbehandlade patienter sannolikt genom hämning av denna remodelleringsprocess. 

På senare år har material insamlat från individer drabbade av atypisk femurfraktur också kunnat bekräfta att det föreligger ackumulation av mikrosprickor inom den benvävnad som finns i anslutning till den atypiska frakturen [15, 16]. Histologisk analys av själva frakturen har visat på innehåll av amorft material och avsaknad av levande celler, men i benet som omger frakturen finns ökad remodelleringsaktivitet med omoget, nybildat ben, som kan ses som ett försök att läka frakturen [17]. 

Revben från hundar som erhållit hög dosering av alendronat hade en tydligt reducerad kapacitet till motstånd vid cyklisk belastning jämfört med obehandlade djur [18]. Histologisk undersökning visade på strukturella förändringar i både osteonstorlek och antal osteocyter. Försämring av mekaniska egenskaper i ben har också observerats hos gnagare efter endast två dygn av systemisk tillförsel av bisfosfonat eller vid lokal applicering över det aktuella benet [19].

Indikationer på försämring av mekaniska benegenskaper efter bisfosfonatbehandling har även bekräftats hos människor. Ben från individer behandlade med bisfosfonater som ådragit sig höftfraktur jämfördes med en kontrollgrupp med höftfraktur utan tidigare behandling med bisfosfonater samt med benvävnad från avlidna individer utan fraktur [20]. Bisfosfonatbehandlad vävnad hade 28 procent lägre styrka jämfört med vävnad från frakturgruppen utan bisfosfonater och 48 procent lägre styrka jämfört med vävnad från avlidna individer. Utöver detta noterades att vävnad behandlad med bisfosfonat hade 24 respektive 51 procent högre förekomst av mikrosprickor jämfört med dessa kontroller. 

Sammanfattningsvis utgör ökad förekomst av mikrosprickor i kombination med nedsatta biomekaniska egenskaper av benvävnaden kärnan i teorin om reducerad benomsättning och en möjlig patogenetisk mekanism för uppkomst av atypisk femurfraktur.

Etnicitet och benets geometri som möjliga riskfaktorer

Atypisk femurfraktur engagerar alltid laterala kortex i femur, där dragkrafterna är som störst. Stresskoncent­rationens lokalisation och storlek i femur är beroende av hela den nedre extremitetens geometri. En ökad kurvatur i femur, både lateralt och anteriort, har visat sig öka risken för atypisk femurfraktur [21-24], liksom en mindre diafysär diameter, vilket oftast förekommer hos kvinnor. Ökad varusvinkel mellan lårbenshalsen och lårbensskaftet, inklusive ett ökat avstånd av trochanter major från rotationscentrum i höftleden (offset), är också förknippad med högre risk [25]. Eftersom dessa normalvariationer oftare förekommer i den asiatiska befolkningen förefaller denna etniska grupp vara predisponerad att drabbas av atypisk femurfraktur [26].

Behandlingstid med bisfosfonater

Under de första behandlingsåren finns en tydlig positiv frakturskyddande effekt av orala bisfosfonater, framför allt hos kvinnor under 80 år med osteoporos. Generaliserbarheten av effekten kan dock delvis ifrågasättas eftersom studierna inte har genomförts på samma rigorösa sätt som i moderna randomiserade kontrollerade studier (i flera fall oklarheter om blindning, detektionsbias och så kallad bortfallsbias), dels för att de genomförts i kraftigt selekterade delar av befolkningen [27], dels för att uppföljningstiden med bibehållen ursprunglig randomisering varit begränsad [28]. För det viktigaste utfallet, höftfraktur, är den relativa riskreduktionen 32 procent, men den totala absoluta riskskillnaden är 0,57 procent mellan de bisfosfonat- och de placebobehandlade deltagarna efter tre års intervention när alla 24 randomiserade bisfosfonatstudier beaktas [28]. Detta motsvarar i genomsnitt 19 förebyggda höftfrakturer per 10 000 personårs behandling med bisfosfonater. Notera att biverkningsfrekvensen med atypiska frakturer stegras exponentiellt först efter 2–3 års behandling [8, 26, 29, 30]. Således är behandlingens duration en viktig faktor för prevention av atypisk femurfraktur, men även vid prevention av frakturer relaterade till benskörhet. Det pågår en debatt vad gäller optimal behandlingstid för att balansera nytta mot risker, och debatten har intensifierats tydligt efter att biverkningar som atypisk femurfraktur och käkbensnekros blivit allmänt kända. Frågan om uppehåll av behandling med bisfosfonater har också i hög grad påverkats av publikationer baserade på data från två omfattande extensionsstudier av randomiserade kontrollerade studier, en för alendronat [31] och en annan för zoledronat [32]. 

I alendronatstudien [31] erhöll postmenopausala kvinnor medicinering med alendronat under fem års tid. Deltagarna i den aktiva alendronatarmen randomiserades därefter till två nya behandlingar: en med fortsatt medicinering med alendronat i ytterligare fem år och en med placebo under lika lång tid. Hos kvinnor med avslutad behandling efter fem år noterades en måttlig minskning av bentäthet samt gradvis ökning av biomarkörer. Jämfört med placebo noterades i den fortsatt aktiva gruppen ingen reduktion av risk för frakturer, med undantag för frakturer i ryggkotor. Slutsatsen, även om den är osäker, var att upp till fem års bisfosfonatbehandling kan räcka för många kvinnor, förutom individer med förhöjd risk för kotkroppskompressioner där behandling bortom fem år bör övervägas.

I zoledronatstudien [32] erhöll deltagarna årlig medi­cinering med zoledronsyra under sex år. Deltagarna i den aktiva armen randomiserades därefter till två nya behandlingsgrupper: en med fortsatt medicinering med zoledronsyra i ytterligare tre år och en med placebo under lika lång tid. Förekomst av frakturer var låg och utan signifikant skillnad mellan de två grupperna. Dessutom konstaterades inga tydliga skillnader i bentäthet eller benmarkörer. Slutsatsen var att det inte fanns någon uppenbar fördel med fortsatt zoledronatbehandling i ytterligare tre år. Det bör dock betonas att zoledronsyra, till skillnad från orala bisfosfonater och denosumab, nyligen visats ge en tydlig nettonytta för frakturprevention på upp till sex år för kvinnor (< 80 år) med osteopeni och inte bara för dem med osteoporos [33]. Infusionssubstansen zoledronat kan ha en mer fördelaktig indikationsprofil [34] än orala bisfosfonater [1, 35, 36] och denosumab [37]. 

Genom resultaten från de två ovannämnda extensionsstudierna [31, 32] bör vi kunna dra slutsatsen att patienter som erhållit behandling under fem till sex år och därefter gjort behandlingsuppehåll kan räkna med att bibehålla bisfosfonatens fördelar under de närmaste åren [33]. Efter peroral behandling kan vi också räkna med en relativ riskreduktion för atypisk femurfraktur motsvarande 70 procent per år räknat från sista intag [8]. 

Prevention av manifest atypisk femurfraktur

Vid antingen bekräftad eller misstänkt inkomplett atypisk femurfraktur ökar sannolikheten för progression till en komplett atypisk femurfraktur. I litteraturen delas de sena preventiva åtgärderna ofta in i konservativa eller invasiva.

Det är väldokumenterat att atypisk femurfraktur ofta föregås av lårsmärta [4]. Symtomen tenderar att förvärras vid direkt belastning och över tid [38]. Dessa prodromala symtom föregår minst 70 procent av alla fall av atypisk femurfraktur och återspeglar sannolikt den period där den inkompletta atypiska frakturen uppstår som en insufficiensfraktur [4, 38]. Oftast debuterar symtomen veckor eller månader innan den kompletta atypiska frakturen uppstår [38].

Patienter med bisfosfonatmedicinering och med ovannämnda symtom bör röntgas. Slätröntgen är förs­tahandsvalet, men kan vid behov kompletteras med magnetkameraundersökning för tidig detektion av en stressreaktion i benet [39, 40]. Magnetkameraundersökning kan exempelvis vara indicerad om patienten har förvärrade besvär från lårbenet och slätröntgen inte gett definitiva fynd. Initiala tecken på en stressreaktion som kan detekteras på röntgen kan inkludera kortikal pålagring (periosteal och endosteal pålagring) eller benödem [4, 41, 42]. Vid normalt radiologiskt status rekommenderas exspektans och ny utvärdering efter två till tre månader. Vid bekräftade radiologiska fynd bör bisfosfonatbehandlingen avslutas och eventuell behandling med parathormon övervägas [40].

Patienter med inkomplett fraktur (Figur 2) och symtom bör rekommenderas märgspikning, annars är risken för en genomgående fraktur 50–83 procent inom ett år [43]. Efter märgspikning läker 97 procent av inkompletta frakturer [44]. Om patienten inte har ont men det finns en inkomplett fraktur bör bisfosfonaten seponeras med ny utvärdering efter två till tre månader.

Sammanfattningsvis bör man vara observant på lår- eller ljumsksmärta hos bisfosfonatbehandlade patienter. Vid detektion av en inkomplett fraktur bör remiss skickas till ortopedklinik för bedömning. Inkomplett fraktur lokaliserad i den övre delen av lårbenet kan också screeningupptäckas i samband med bentäthetsmätning (DXA, röntgenabsorptiometri). Vid all radiologisk utredning av atypisk femurfraktur bör undersökning genomföras bilateralt då över hälften av undersökta patienter också har en insufficiensfraktur i det kontralaterala lårbenet [45].

Behandling av bisfosfonatassocierade femurfrakturer

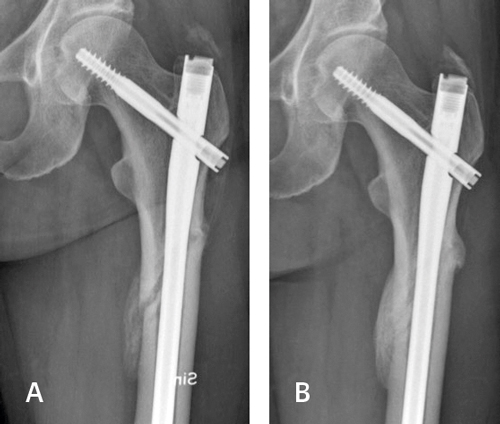
Kompletta atypiska femurfrakturer är bäst att märgspika med ett implant som samtidigt skyddar lårbenshalsen från framtida brott (Figur 3A och 3B). Läkningstiden är cirka 7 månader, och 10 procent av patienterna behöver revisionskirurgi för ofullständig läkning eller implantatkomplikationer [44].

Framtida forskning

Intressant nog finns det från 1995 (när alendronat lanserades) fram till 2005 endast ett fåtal studier om bisfosfonaters påverkan på benets mekaniska egenskaper. Efter den första beskrivningen av atypisk femur­fraktur i litteraturen (2005) har det skett en signifikant ökning av antalet publikationer. Således har biverkningen medfört ökad kunskap av läkemedelsgruppens mekanism i målvävnaden.

Tidigare studier om bisfosfonaters egenskaper har i hög utsträckning varit baserade på djurstudier utförda på mindre gnagare som saknar intrakortikal remodellering. Atypisk femurfraktur engagerar alltid det kortikala benet och således är smådjursmodellens resultat inte överförbara till människa. Framöver förväntas en ökad insikt om påverkan på kortikala benet då allt fler djurstudier numera använder sig av större djur än gnagare.

Ett genombrott för kunskapsläget om mekanismerna för atypisk femurfraktur har varit analys av de benbiopsier som tagits i samband med kirurgisk åtgärd av frakturen [15-17]. Fortsatt utveckling av studier genomförda på individer drabbade av atypisk femurfraktur bör kunna bidra med flera pusselbitar än om forskningen begränsas till djurstudier. 

Andra viktiga frågor är riskfaktorer och prediktion av atypisk femurfraktur. I denna text har enbart etnicitet och benets geometri diskuterats. På senare tid har det föreslagits att genetisk variation skulle kunna ligga bakom en ökad risk för utveckling av atypiska frakturer [46]. Denna möjlighet har inte till fullo utretts. Några mindre studier har identifierat vissa ovanliga genetiska varianter som är vanligare hos patienter som drabbats av denna biverkning, men dessa fynd behöver bekräftas i större material. I en större studie där fokus var vanliga genetiska varianter sågs dock inget samband med genetisk variation och risk för atypiska frakturer [47]. Det kan i dag inte uteslutas att det kan finnas en genetisk predisposition, och ytterligare studier behöver genomföras för att besvara denna fråga. 

Fragilitetsfrakturer hos äldre försämrar livskvaliteten: endast en tredjedel återfår sin tidigare funktion och samhällskostnaderna är enorma [48]. Mortaliteten efter höftfraktur hos äldre män är i paritet med metastaserande cancer. Överdödligheten är dock troligen, speciellt för kvinnor, tidigare ordentligt överskattad enligt en analys vi genomfört bland svenska enäggstvillingar som var diskordanta för höftfraktur [9]. Alltnog, en evidensbaserad prevention av dessa frakturer är givetvis starkt önskvärd och det finns ett tydligt behov av att noggrant jämföra den långsiktiga behandlingsnyttan av benspecifika läkemedel mot biverkningar såsom atypiska frakturer i en populationsbaserad studie med ett oselekterat patientmaterial.

Slutsatser

Atypisk femurfraktur är en allvarlig komplikation med exponentiellt stegrad risk kopplad till behandlingstid med framför allt orala bisfosfonater. Kännedom om denna biverkan bör spridas. Enligt den senaste rekommendationen från American Society of Bone and Mineral Research [49] ska behandlande läkare på nytt utvärdera risken för fragilitetsfraktur efter 5 års behandling med orala bisfosfonater. Vi vill betona att det även vid kortare tids behandling är viktigt att noggrant överväga korrekt indikation för att balansera nytta mot biverkningsrisk.  

Potentiella bindningar eller jävsförhållanden: Inga uppgivna.

Fakta 1. Kriterier för diagnostik av bisfosfonatassocierade atypiska femurfrakturer enligt riktlinjer etablerade av American Association of Bone and Mineral Research 2014 [5]. 

För att definieras som en atypisk femurfraktur måste frakturen vara belägen inom femurdiafysen, i området just under trochanter minor till proximalt om den suprakondylära vidgningen. I tillägg till ovannämnda ska minst fyra av fem av huvudkriterierna nedan vara uppfyllda. Inget av kompletteringskriterierna är ett krav för att diagnos ska kunna ställas, men de har också associerats med frakturtypen.

Huvudkriterier1

  • Frakturen har uppkommit spontant eller efter ringa våld i form av ett fall i samma plan eller lindrigare trauma.
  • Frakturlinjen börjar i femurs laterala kortex med en tydlig transversell riktning. När den progredierar medialt kan den bli sned.
  • Kompletta frakturer inkluderar båda kortex, ibland med en medialt belägen spetsformig frakturutlöpare vinklad mot den tvärgående frakturlinjen. Inkompletta frakturer engagerar endast laterala kortex.
  • Frakturen är inte alls eller minimalt splittrad.
  • Lokal periostal eller endosteal kortikal förtjockning ses i frakturhöjd vid laterala kortex.

Kompletteringskriterier

  • Generell förtjockning av femurdiafysens kortex.
  • Uni- eller bilaterala prodromala symtom som molande värk eller smärta i ljumske eller lår.
  • Bilaterala inkompletta eller kompletta diafysära frakturer i femur.
  • Fördröjd läkning av fraktur.

1Exkluderar frakturer i lårbenshals, pertrokantära frakturer med nedgående subtrokantär extension, periprostetiska frakturer och patologiska frakturer associerade med primär eller metastaserande tumör och andra bensjukdomar (exempelvis Pagets sjukdom och fibrös dysplasi).

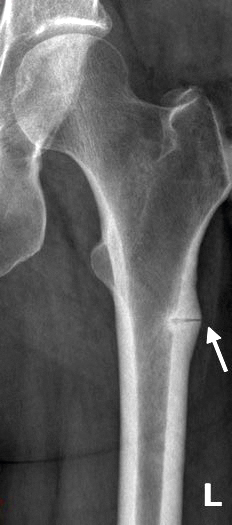
Figur 1. Komplett atypisk femurfraktur med tvärgående frakturspalt (pil) vinkelrätt i förhållande till benets laterala sida. L= lateralt

Figur 2. Inkomplett atypisk femurfraktur där frakturspalten (pil) är begränsad till kortikalt ben lateralt. L= lateralt

Figur 3. Komplett atypisk femurfraktur en månad efter märgspikning (A) och efter fyra månader (B).

Jobb i fokus

Mer att läsa

Mer att läsa