Gå till innehållet
Gå till startsidan

Denna webbplats vänder sig till läkare

Sök

Bilateralt bortfall av horisontell vestibulo-okulär reflex

Läs artikel som PDF

Wernickes encefalopati är ett potentiellt reversibelt förvirringstillstånd karaktäriserat av konfusion, ataxi och ögonmotorikrubbningar [1]. Orsaken är brist på vitamin B1 (tiamin) på grund av malnutrition. Neuro­patologiskt föreligger skador i bl a talamus, mamillarkroppar, kranialnervskärnor och cerebellum [2]. Ett flertal riskfaktorer finns beskrivna, t ex alkoholmissbruk, gastrisk bypass och hyperemesis gravidarum, samtliga med malnutrition som gemensam nämnare [3]. 

Även om en patient med klassisk Wernickes encefalopati ofta uppvisar alla symtom förenliga med dia­gnosen, förekommer förstadier och delvis utvecklade tillstånd. Man har på senare tid intresserat sig allt mer för ögonmotorikavvikelserna i tidig fas av sjukdomen, och flera fallrapporter beskriver patienter som saknar ataxi och konfusion men företer ögonmotorikstörningar, har låga tiaminnivåer i blod och riskfaktorer för tiaminbrist och som svarar prompt på tiaminbehandling [4]. 

Vi beskriver här två män med mer fulminant utvecklad Wernickes encefalopati med detaljerade data från upprepade ögonmotorikundersökningar. Fallen illustrerar att noggrann kartläggning av den vestibulo-­okulära reflexen med kvantitativ testning av alla sex båggångar kan ge tidigt stöd för diagnosen.

Den vestibulo-okulära reflexen

Det vestibulära impulstestet (head impulse test; HIT) beskrevs redan 1988 [5]. Om man passivt med hög acceleration vrider en persons huvud och samtidigt ber personen fixera ett föremål med blicken kommer den vestibulo-okulära reflexen att vrida ögonen åt motsatt håll och personen släpper inte föremålet med blicken. Om man gör detsamma med en person med kraftigt nedsatt vestibulär funktion finns det ingen vestibulo-okulär reflex som kan vrida ögonen. I stället följer personens ögon med huvudets vridning, och efter ca 150–200 millisekunder gör personen en återställningssackad för att på nytt fixera föremålet. Denna återställningssackad kan undersökaren upptäcka, och den utgör då ett indirekt kliniskt tecken på nedsatt vestibulo-okulär reflex.

Med modern digital kamerateknik kan huvudets och ögonens rörelser under själva huvudvridningen spelas in, analyseras och kvantifieras [6]. Vid en perfekt fungerande vestibulo-okulär reflex rör sig huvudet och ögonen med samma hastighet men åt motsatta håll. Reflexens funktionsnivå bestäms som en förstärkningskvot (gain), vilken är ögonens rörelsehastighet delad med huvudets rörelsehastighet. Förstärkningskvoten är 1,0 vid en perfekt fungerande reflex. Vid en icke-fungerande vestibulo-okulär reflex rör sig ögonen långsammare eller inte alls i förhållande till huvudet under huvudvridningen. Förstärkningskvoten blir då lägre än 1,0, vanligen lägre än ca 0,7 för att betecknas som patologisk.

Den vestibulo-okulära reflexen går från innerörats båggångar via balansnerven till vestibulariskärnorna i hjärnstammen. Där omkopplas den till ögonmotorikkärnorna högre upp i mellanhjärnan och från dem till ögonmusklerna. De horisontella båggångarna känner av acceleration (rotation) i det horisontella planet, medan de två vertikala båggångarna är känsliga för rotation i planen mittemellan sagittal- och frontalplanen. Horisontell vestibulo-okulär reflex omkopplas i de media­la vestibulariskärnorna, medan vertikal ­vestibulo-okulär reflex kopplas om i de laterala. 

Detta ger anatomiska förutsättningar för att horisontell och vertikal reflex kan påverkas olika vid tiaminbrist. Enligt neuropatologiska djurstudier är de media­la vesti­bulariskärnorna, med sitt ytliga läge i relation till likvorrummet, mer sårbara för tiaminbrist än andra delar av balanssystemet [7, 8].

Fallbeskrivningar

Fall 1. En 48 år gammal man med alkoholöverkonsumtion inkom till akutmottagningen efter 3 veckors avhållsamhet från alkohol. Fem dagar tidigare hade balansnedsättning och diffus synpåverkan debuterat. I status på akutmottagningen företedde mannen bilateral abducenspares samt uttalad balansnedsättning som omöjliggjorde testning i stående. Mannen lades in på grund av misstanke om Wernickes encefalopati och erhöll intravenös tiaminbehandling 500 mg × 3 i 2 dygn, därefter 250 mg × 3 i 4 dygn innan man övergick till oral behandling. 

En MR-undersökning med kontrast av hjärnan visade på FLAIR (fluid attenuated inversion recovery)-­sekvensbilder patologiskt hög signal subependymalt inferiort i tredje ventrikeln, i akvedukten och i mediala hypotalamus bilateralt (Figur 1). Vestibulärt impuls­test med videoinspelning (vHIT) (Synapsys, Marseille) dagen efter inläggning visade selektivt bilateralt bortfall av horisontell vestibulo-okulär reflex (Figur 2). 

Videoinspelning av ögonmotorikundersökning visade kraftig riktningsväxlande blickriktningsutlöst horisontell och uppåt­slående nystagmus och en perverterad huvudskakningsnystagmus, som slog i vertikal riktning efter horisontell huvudskakning
(https://youtu.be/qkTzkiTVmTE). Minnesfunktionerna bedömdes som normala. 

Vid klinisk uppföljning 7 veckor senare var balansbesvären tydligt förbättrade och mannen gick utan problem längre sträckor på plan mark. Mannens nystagmus hade minskat i intensitet. Det selektiva bortfallet av de laterala båggångarnas vestibulo-okulära reflex kvarstod, men mindre uttalat.

Fall 2. En 54-årig man sökte via akutmottagningen vård på grund av nedsatt balans, dubbelseende och generellt nedsatt finmotorik. Anamnesen var något svårfångad, men debuten av symtomen låg sannolikt några månader tillbaka i tiden, och det verkade troligt att han erfarit en successiv försämring sedan dess. Om man såg tillbaka i journalen hade han också tappat ca 20 kg i vikt de senaste 2 åren.

I bakgrunden hade mannen alkoholöverkonsumtion, hypertoni, hyperlipidemi och TIA samt upprepade trauman med instabila halsryggsfrakturer och hjärnskakningar.

På akutmottagningen gav mannen ett förvirrat intryck och hade svårt att redogöra för sina symtom. I neurologiskt status förelåg bilateral abducenspares samt subjektivt dubbelseende i alla ­blickriktningar. Vid finger–näs-test hade han stora svårigheter att träffa nästippen bilateralt. 

Mannen lades in med intravenös tiaminbehandling på grund av misstanke om Wernickes encefalopati (han uppfyllde samtliga 4 kriterier enligt European ­Federation of Neurological Societies [EFNS], Fakta 1). 

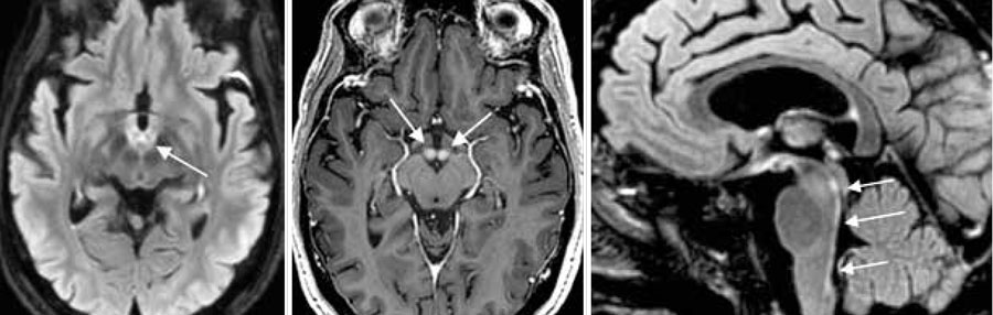
MR-undersökning av hjärnan visade kontrastuppladdning i mamillarkropparna bilateralt samt ett flertal andra för tillståndet typiska fynd, vilka kunde anses bekräfta diagnosen (Figur 3).

På avdelningen upprepades dagen efter inläggning (ca 15 timmar efter administration av den förs­ta tiamindosen) ögonmotorikundersökningen med video­frenzelinspelning ­­(https://youtu.be/KN5C-8WqIE0) samt vHIT. En riktningsväxlande blickriktningsutlöst horisontell nystagmus utan tydligt vertikalt inslag förelåg. Abducenspareserna hade försvunnit. vHIT kunde inte utföras med tillräckligt antal impulser för de horisontella båggångarna och inte alls för de vertikala båggångarna, med anledning av den tidigare beskrivna nackproblematiken. De fåtal impulser som lyckades genomföras visade att den vestibulo-okulära reflexen var helt utslagen för de bägge horisontella båggångarna med korrigerande sackad ­(https://youtu.be/KN5C-8WqIE0). Malignitetsscreening utföll ­negativ.

Mannen fortsatte erhålla tiamin intravenöst i dosen 200 mg × 3 intravenöst i ca 1 vecka, därefter 100 mg × 2 intravenöst i några dagar innan man övergick till peroral substitutionsbehandling. 

Ögonmotorik­avvikelserna och ataxin försvann helt efter ca 1 veckas inneliggande vård. Mini-mental test (MMT) utfördes 2 gånger på avdelningen, med resultatet 20/30 och 21/30; särskilt tidsorientering och fördröjd återgivning gav avdrag. Ingen förbättring av minnesfunktionerna sågs under den månad patienten låg inlagd. Sannolikt förelåg ett mer kroniskt demenstillstånd, möjligen Korsakovs demens som resttillstånd efter Wernickes encefalopati. 

Mannen skrevs så småningom ut till ett behandlingshem för fortsatt vård för sitt alkoholmissbruk.

Diskussion

En nyligen publicerad samling av fallbeskrivningar går igenom detaljerade data om ögonmotorikstörningar vid Wernickes encefalopati. I denna framgår att alla 17 rapporterade fall hade spontan- eller blickriktningsutlöst nystagmus. Bland de patienter som testats med kvantitativa test av vestibulo-okulär reflex (14 av 17) hade samtliga selektivt bortfall av horisontell vesti­bulo-okulär reflex [8]. Nytillkommet bilateralt bortfall av horisontell vesti­bulo-okulär reflex utan hörselpåverkan är mycket ovanligt och ses, förutom vid Wernickes encefalopati, i princip bara som resultat av ototoxicitet efter aminoglykosidbehandling med t ex gentamicin [4]. 

I ett av de beskrivna fallen liknade det kliniska insjuknandet akut vestibulärt syndrom med akut påkommen yrsel, kräkningar och gångsvårigheter samt ögonmotorikstörningar (fall 2 i referens 2) [8]. Provtagning bekräftade låga tiaminnivåer – kvinnan led av malnutrition – och symtomen och fynden (inklusive det bilaterala bortfallet av horisontell vestibulo-okulär reflex) gick i regress efter inledd tiaminbehandling.

Metodens plats i diagnostiken

Undersökning av horisontell vestibulo-okulär reflex kan bidra till tidigare diagnos vid Wernickes encefalopati. Även om tillståndet fullt utvecklat är mycket karaktäristiskt (Fakta 1), finns det sannolikt för­stadier där den kliniska bilden inte är lika tydlig. Detta illu­streras av vårt fall 1, där minnesstörning saknades, och av fallbeskrivningen i litteraturen där den kliniska bilden liknade akut vestibulärt syndrom [8]. 

Metoden är lättillgänglig och enkel att utföra, varför den sannolikt bör ha en mer framträdande plats i dia­gnostiken av Wernickes encefalopati. Det saknas dock prospektiva studier som utvärderar metodens värde i tillägg till nuvarande diagnoskriterier (Fakta 1).

Konklusion

Fallen ovan visar hur man vid misstanke om Wernickes encefalopati kan stärka denna med hjälp av noggrann undersökning av ögonmotorikavvikelser. En bilateralt utslagen horisontell vestibulo-okulär reflex utan påverkan på de vertikala båggångarna tillsammans med klinisk misstanke bör alltid leda till kraftfull tiaminsubstitution medan eventuell utredning för andra potentiella orsaker fortgår.

Potentiella bindningar eller jävsförhållanden: Jonatan Salzer har mottagit forskningsstöd i form av medicinteknisk utrustning för undersökning av ögonmotorik från Synapsys. Mikael Karlberg har erhållit ekonomisk ersättning från AstraZeneca, Oticon, Medical Need och Interacoustics för utbildningar och föreläsningar samt verkat som oavlönad medicinsk rådgivare för Synphora.

Fakta 1. Diagnoskriterier och behandlingsförslag vid Wernickes encefalopati enligt EFNS [3]

Diagnos

Minst två av följande: 

  • nutritionsstörning
  • ögonsymtom (extern oftalmoplegi eller nystagmus)
  • ataxi, balansstörning
  • konfusion/medvetandesänkning eller minnesstörning.

Behandling

Intravenöst tiamin 200 mg ges som långsam infusion × 3 till dess ingen förbättring ses.

Royal College of Physicians i England föreslår intra­venös tiaminbehandling med 500 mg × 3, således en betydligt högre dos, och skriver till och med »Failure to enact this protocol risks litigation if the patient develops WE …« [9].

Profylax

Till alla i riskzonen att utveckla Wernickes encefalopati, dvs alla med misstänkt eller verifierad malnutrition som läggs in på sjukhus, ges intravenöst tiamin 100 mg som långsam infusion × 2 till dess näringsintaget är normalt.

Figur 1. MR-hjärna från mannen i fall 1. Till vänster: FLAIR-sekvens med patologisk signalintensitet subepen­dymalt kring tredje ventrikeln inklusive adhaesio interthalamica. Mitten: FLAIR-sekvens med ett tunt lager högsignalerande vävnad kring akvedukten och fjärde ventrikeln. Till höger: T2-viktad bild med ökad signal­intensitet i den pontomedullära kopplingen, posteriort i hjärnstammen på platsen för de mediala vestibulariskärnorna.

Figur 2. Vestibulärt impulstest med videoinspelning (vHIT) för samtliga 6 båggångar hos en frisk person (överst) och hos mannen i fallbeskrivning 1 (nederst). Testet utförs genom att undersökaren snabbt vrider personens huvud medan denne ombeds att fixera ett föremål med blicken. Den friska försökspersonen behåller fixationen genom hela rörelsen i riktning mot alla sex båggångar. Ögonens (blåa och röda) vinkelhastighetskurvor följer elegant huvudets (gröna) vinkelhastighetskurvor och förstärkningskvoten (gain) är nära 1 för alla båggångarna. Hos mannen med Wernickes encefalopati följer ögonens kurvor inte huvudets för de två horisontella/laterala båggångarna. Detta talar för utslagen eller nedsatt vestibulo-okulär reflex (VOR), och förstärkningskvoten, som ska vara nära 1, är under 0,3 för dessa båggångar. Vestibulo-okulär reflex för de fyra vertikala båggångarna är normal med förstärkningskvot kring 1.

Figur 3. MR-hjärna från mannen i fall 2. Till vänster: FLAIR-sekvens med bilateralt patologisk signalintensitet i mamillarkropparna (minnesstörning). Mitten: T1-viktad bild med kontrast som visar bilateral kraftig kontrastladdning i mamillarkropparna (minnesstörning). Till höger: FLAIR-sekvens med patologisk signalintensitet i bakre kanten av hjärnstammen (nystagmus, abducenspares, bortfall av horisontell vestibulo-okulär reflex).

Mer att läsa

Mer att läsa