Bisfosfonater kan ge käkbensnekros
Lorinser rapporterade redan år 1845 om några patienter som utvecklat käkbensnekros utan känd anledning [1]. Det var oftast unga, i övrigt friska män som drabbades. Med tiden framkom att dessa patienter hade arbetat med tändstickstillverkning och att höga halter av fosfor i arbetsmiljön orsakat fosfornekros i käkarna eller »phossy jaw«. Mortaliteten var ca 20 procent på grund av sekundära infektioner [2]. Med förbättrad arbetsmiljö och modernare ventilation försvann denna sjukdom.
Frågan är om vi nu håller på att bevittna en ny epidemi av käkbensnekroser på grund av bisfosfonatbehandling; »bis phossy jaw« [3].
Bisfosfonater i cancerbehandling
Bisfosfonater är icke-metaboliserbara analoger till pyrofosfat. Bisfosfonater elimineras snabbt från plasma via njurarna, men 20–60 procent binds i benvävnad [4] och hämmar där osteoklastaktiviteten [5-8]. Hur detta fungerar på cellulär och molekylärnivå är endast delvis känt, men flera mekanismer tros vara involverade. Exempel på detta är hämmad osteoklastrekrytering [9], förkortad osteoklastlivslängd [10] och hämmad osteoklastaktivitet på benytan [11]. Bisfosfonater hämmar även angiogenesen, som utnyttjas vid cancerbehandling [12].
Bisfosfonater används kliniskt för att hämma bennedbrytning hos patienter med skelettmetastaser, som ger symtom i form av smärta, frakturer, kotkompression och hyperkalcemi [13]. Bisfosfonater är också en mycket viktig del i behandlingen av multipelt myelom [14]. Andra indikationer är tumörinducerad hyperkalcemi, osteogenesis imperfecta, Pagets sjukdom och svår osteoporos. Det finns skillnader mellan olika bisfosfonater i deras olika förmåga att hämma benresorption. Styrkan i denna aktivitet kan variera med en faktor 1:10000.
Bisfosfonater kan ges oralt eller intravenöst. Halveringstiden i benvävnad är mycket lång, och zoledronat har visats ha en benresorptionshämmande effekt i tolv månader hos patienter med osteoporos efter en intravenös engångsdos [15].
Tandextraktion vanligen utlösande faktor
Marx [16] rapporterade 36 fall av käkbensnekros. De upptäcktes hos patienter som behandlades med bisfosfonat som en del av cancerterapin. Majoriteten (78 procent) av dessa nekroser uppstod i samband med en tandextraktion, medan 22 procent av allt att döma uppstod spontant. Ett direkt orsakssamband mellan bisfosfonater och osteonekros är naturligtvis svårt att påvisa i en komplex grupp av cancerpatienter med flera andra pågående medicineringar, exempelvis cytostatika och kortison.
Ruggiero beskrev 63 fall av käkbensnekros [17], och 56 av dessa hade fått intravenös bisfosfonatbehandling i åtminstone sex månader på grund av cancer. De andra sju patienterna hade behandlats med orala bisfosfonater för osteoporos. Nekroserna var även i denna studie vanligast efter tandextraktion, men spontana fall förekom. Skadorna drabbade både maxilla och mandibel, och vissa av fallen resulterade i patologiska frakturer och stora bensekvestrar. Samma grupp uppdaterade nyligen sina siffror vid 2005 års möte för American Society of Hematology. 80 procent av dessa patienter hade genomgått ett oralt ingrepp före osteonekrosdebuten.
Omkring 1500 spontana rapporter och publicerade fall av käkbensnekros i samband med zoledronat- och/eller pamidronatbehandling har hitintills rapporterats till hälsomyndigheter världen över. I februari 2005 skickade Novartis Sverige AB ut information till berörda kliniker om en uppdatering av produktresumétexten för Zometa och Aredia.
Stockholmspatienterna
Vi rapporterar här 28 patientfall med pågående käkbensnekros i samband med bisfosfonatbehandling från de tre käkkirurgiska klinikerna i Stockholm (Tabell 1). Majoriteten (22 patienter) har multipelt myelom, och samtliga har fått zoledronat och/eller pamidronat. En patient med prostatacancer och en med bröstcancer hade också behandlats med zoledronat. Tre patienter med osteoporos och en med reumatoid artrit hade behandlats med peroralt alendronat. Av dessa 28 fall av käkbensnekros hade 18 uppstått efter en tandextraktion och resterande tio av okänd anledning.
År 1999 diagnostiserades käkbensnekros hos en patient, 2002 hos fyra, 2003 hos nio, 2004 hos elva och 2005 hos tre. 13 patienter kunde spåras tillbaka i tiden. De hade behandlats med bisfosfonater i 1–6 år (median 2,5 år) innan käkbensnekros diagnostiserades.
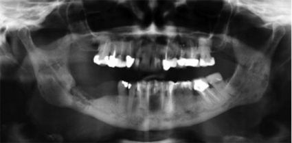
Extraktionsalveol som inte läkt ut
I ca 90 procent av fallen lokaliserades käkbensnekrosen till mandibeln. Den typiska kliniska bilden har varit en extraktionsalveol, som efter tandextraktion inte läkt ut. Med tiden (veckor till månader) exponeras allt mer käkben i anslutning till alveolen. Detta sker ibland symtomfritt, men ofta med smärta och lokal svullnad och ibland pus. Preliminär diagnos har ofta varit en osteomyelit med sekvestrering, som dock inte svarat på antibiotikabehandling. Kliniken liknar i flera avseenden även den man ser vid osteoradionekros (Figur 1 och 2).
Riktlinjer för handläggningen
Rapporter [17-19] och rekommendationer från en expertpanel [20] har till idag förordat följande riktlinjer för prevention och behandling av bisfosfonatrelaterad käkbensnekros. Dessa riktlinjer diskuterades även 2005 vid den 17:e internationella konferensen om oral och maxillofacial kirurgi i Wien [20].
Innan intravenös bisfosfonatbehandling påbörjas gäller följande:
Rutinundersökning av patient skall göras avseende infektionsfokus, som apikal osteit eller parodontal infektion.
Tänder med dålig prognos skall extraheras innan intravenösa bisfosfonater sätts in. Detta gäller även andra nödvändiga käkkirurgiska ingrepp. Man bör då vänta med insättning av bisfosfonater tills läkning skett. Detta görs i samråd mellan tandläkare och onkolog.
Patienten informeras om egenåtgärder för att optimera munhygienen och förebygga tandskador som kan medföra ingrepp efter det att bisfosfonatbehandling påbörjats.
Behandling vid diagnostiserad käkbensnekros
Patienten skall handläggas av käkkirurg och/eller sjukhustandläkare.
Kirurgisk behandling bör undvikas för att förhindra ytterligare benvävnadsskada.
Antibiotika kan användas tillfälligt eller kontinuerligt och kan ha viss effekt vad gäller att minska risken för utveckling av osteomyelit. Bakterieprov skall tas. Antibiotika har troligtvis ingen effekt på nekrosutvecklingen och bör undvikas om tecken till infektion saknas. Förstahandsval är penicillin V (Kåvepenin 1 g 3/dag) och vid penicillinallergi klindamycin (Dalacin 300 mg 3/dag).
Det nekrotiska området rengörs regelbundet med NaCl eller 0,1-procentig klorhexidinsprit. Om möjligt instrueras patienten för egenvård i hemmet.
Kontroll skall ske hos ansvarig käkkirurg eller sjukhustandläkare var tredje månad – oftare vid försämring.
Hyperbar syrgasbehandling har ingen effekt.
Utsättning av bisfosfonater har inte visats ha någon effekt på etablerad nekros. För patienter med omfattande förändringar kan detta dock diskuteras mellan ansvarig onkolog och behandlande tandläkare.
Ökande problem i Stockholmsområdet
Bisfosfonatorsakad käkbensnekros är ett problem som måste uppmärksammas av både förskrivande läkare (onkologer, gynekologer mfl) och allmäntandläkare och käkkirurger.
Antalet fall i Stockholmsområdet verkar ha ökat under senare år. Det kan finnas flera orsaker till detta. Försäljningen av bisfosfonater ökar stadigt i Sverige. År 2000 såldes 1,3 miljoner definierade dygnsdoser (DDD) till patienter inom Stockholms läns landsting, medan motsvarande siffra för 2004 var drygt 3,8 miljoner DDD.
Av denna försäljning dominerar de perorala bisfosfonaterna stort, med alendronat som största preparat, med en försäljning under 2004 på nästan 2,6 miljoner DDD, medan de intravenösa pamidronat och zoledronat tillsammans såldes i ca 6000 DDD. Om man korrigerar för doseringsintervall motsvarar detta drygt 50000 veckors behandling med alendronat och 24000 veckos behandling med intravenösa bisfosfonater.
Bisfosfonaternas potens och käkbensnekros
De flesta fall av käkbensnekros har uppstått i patientgruppen med maligna sjukdomar som fått potenta intravenösa bisfosfonater. Detta gör att det kan finnas ett samband mellan bisfosfonaternas potens och risken för käkbensnekros.
En rapport som nyligen presenterades vid American Society of Hematology stöder denna förklaring. Där rapporterades data om 141 patienter, varav 80 procent fått bisfosfonatbehandling i samband med maligna sjukdomar. Tiden det tog från behandlingsstart till osteonekrosutveckling skilde sig mellan de olika preparaten. Mediantiden för zoledronatbehandlade patienter från behandlingsstart till diagnos var 14 månader, medan tiden för pamidronat var 30 månader och för orala bisfosfonater 54 månader.
Det är också möjligt att de olika bisfosfonaternas farmakokinetiska egenskaper påverkar risken eller att risken är större hos patienter med maligna sjukdomar som samtidigt får annan medikamentell behandling. Andra tänkbara förklaringar är att medvetenheten om diagnosen kan ha ökat inom tandläkarkåren så att fler patienter får rätt diagnos. Överlevnaden bland cancerpatienter med indikation för bisfosfonatbehandling kan också ha ökat, vilket därmed ökat antalet patienter i riskzonen för käkbensnekros. Vår observationella studie kan inte klargöra vilken av dessa möjliga förklaringar som är mest sannolik.
Tandläkarna måste medvetandegöras
Bisfosfonater är för många patienter en värdefull behandling. Risken för skelettkomplikationer orsakade av urkalkning minskar, men många förskrivare är ovetande om riskerna för lokala biverkningar i käkarna. Allmäntandläkare eller käkkirurger är oftast de som initierar utvecklingen av en käkbensnekros genom ett lokalt ingrepp, tex en tandextraktion, och bör därför kontrollera patientens läkemedelsanamnes och göra en riskvärdering innan ingrepp utförs.
Risk och nytta får vägas mot varandra
Det är också viktigt att tandläkarna är medvetna om diagnosen när de möter en patient med käkbensförändringar, så att patienterna handläggs på rätt sätt.
Det är även viktigt att bisfosfonater förskrivs på korrekta indikationer och att en risk–nyttaanalys görs i samråd med patienten och eventuellt med patientens tandläkare innan behandling påbörajs.
Patienter som skall behandlas med intravenösa bisfosfonater bör remitteras till en tandläkare för undersökning och förebyggande sanering av eventuell patologi i käkarna innan behandlingen inleds. Ytterligare studier bör också göras för att värdera eventuella riskskillnader mellan olika bisfosfonater i förhållande till dessas för- och nackdelar från effektsynpunkt.
*
Potentiella bindningar eller jävsförhållanden: Inga uppgivna.
*
Eva Undén, Apoteket, Karolinska Universitetssjukhuset Huddinge, har tagit fram försäljningsstatistiken.


