Gå till innehållet
Gå till startsidan

Denna webbplats vänder sig till läkare

Sök

Bröstsvullnad och förhårdnad efter implantation kan vara BIA-ALCL

Läs artikel som PDF

Nyligen definierades bröstimplantatassocierat anaplastiskt storcellslymfom (BIA-ALCL) som en egen sjukdomsentitet av WHO [1]. National Comprehensive Cancer Network i USA har publicerat konsensusriktlinjer för utredning och behandling [2]. Även i Frankrike och Danmark har det publicerats sammanställningar av hittills kända fakta samt rekommendationer för utredning och behandling [3, 4]. BIA-ALCL är en mycket ovanlig tumörform med malignt transformerade T-celler, med hittills 359 kända patienter (varav 9 dödsfall) enligt Food and Drug Administration i USA [5]. Från Australien och Nya Zeeland har 61 patienter rapporterats och från Asien en patient. Patienter med BIA-ALCL registreras i det internationella PROFIL-registret (www.thepsf.org/profile) [2].

I Sverige beräknas årligen 8 000 kvinnor genomgå bröstimplantatkirurgi. Fördelningen kosmetisk indikation och konstruktiv åtgärd efter bröstcancer är cirka 80/20. I Sverige får 8 500 kvinnor bröstcancer varje år och uppskattningsvis 20 procent av dessa får bröst­implantat. I samråd mellan Svensk förening för estetisk plastikkirurgi, Svensk plastikkirurgisk förening och Bröstcancerföreningen har svenska rekommendationer för utredning och behandling av BIA-ALCL tagits fram.

Epidemiologi

Tillståndet beskrevs först 1997 [6], men på grund av dess relativa sällsynthet och brist på säkra data i många länder beträffande antalet och vilken typ av bröst­implantat som satts in, är det fortfarande svårt att fastslå global incidens och prevalens [7]. Nyligen publicerade data över patienter med BIA-ALCL i USA angav livstidsprevalensen till 33/1 000 000 för patienter med texturerade implantat [8]. Enligt australiska data uppskattas risken för kvinnor med texturerade implantat att drabbas av BIA-ALCL till någonstans mellan 1/1 000 och 1/10 000 [9]. Tillståndet kan även vara underrapporterat. I Sverige är 6 fall av BIA-ALCL kända. 

Etiologi

Det finns fyra hypoteser bakom utveckling av ALCL,  även om etiologin inte är säkerställd [9, 10]:

1) Pågående studier undersöker en genmutation som en möjlig bidragande etiologisk faktor. Det är troligt att speciella genetiska förutsättningar krävs för att en individ ska kunna utveckla denna form av lymfom [10]. Detta kan också förklara den stora variabilitet i incidens som har setts i olika delar av världen, som exempelvis den höga frekvensen i Australien [9].

2) Mekaniskt utlöst kronisk inflammation på grund av implantatens ytstruktur [10]. Alla hitintills rapporterade patienter som drabbats av BIA-ALCL har haft texturerade (knottriga) implantat. De enstaka patienter som har haft släta implantat har tidigare haft texturerade implantat inopererade. Det existerar många olika typer av texturerade implantat, och ännu finns ingen säkerställd koppling till en speciell typ av texturering, även om aktuella data tyder på att mer grovtexturerade ytor utgör en högre risk. Enligt det svenska bröstimplantatregistret (BRIMP) är texturerade implantat betydligt vanligare än släta, men andelen har minskat under senaste år (98 procent 2014, 91 procent 2016 och 80 procent hittills under 2018).

3) Bakteriell biofilm som skapar en kronisk inflammation med T-lymfocytaktivering [10-13]. Variationer i kirurgisk teknik och möjligen också vilken antibakteriell strategi som används perioperativt skulle kunna bidra till de skiftande uppgifterna om hur vanligt tillståndet är i olika länder och vid olika centrum [3-5]. De mycket större ytorna på texturerade jämfört med släta implantat anses också kunna ge bakterier större möjlighet att etablera sig.

4) Duration från initial operation till uppkomst av ALCL. Den genomsnittliga tiden är 8 år [2]. Aktuella data tyder således på att kvinnor med en viss genetisk predisposition kan utveckla ALCL över tid vid exponering för texturerade implantat. En kronisk inflammation med utveckling av biofilm i kontakt med det texturerade implantatet kan i dessa fall vara motorn till T-cellstransformation och BIA-ALCL. Kvinnor utan genetisk predisposition utvecklar kapselbildning eller benigna serom. Det finns ingen korrelation mellan BIA-ALCL och implantatets innehåll (silikon eller koksalt). 

Symtom, undersökningsfynd och sjukdomsförlopp

Symtom. BIA-ALCL kan uppstå efter såväl kosmetisk som rekonstruktiv bröstimplantation efter bröstcancer. Det vanligaste symtomet är en påtaglig bröstsvullnad på grund av serombildning hos en patient som tidigare fått ett texturerat implantat.

Svullnaden uppstår vanligen spontant utan samband med trauma eller klinisk infektion [2, 8]. I sällsynta fall har även rodnad av bröstets hud förekommit. Andra mindre vanliga symtom är kapselkontraktur och förtjockningar eller avgränsade tumörer vid kapseln runt implantaten. BIA-ALCL kan uppkomma tidigt eller sent efter primäroperationen (2,5–25 år, genomsnitt 8 år) [10]. Det antas att sjukdomen åtminstone hos vissa patienter kan progrediera från ett tillstånd med seromvätska och förtjockning av implantatkapseln, till penetration av kapseln och tumörspridning på ett sätt som mera liknar förloppet hos en malign solid tumör än det vid andra typer av lymfom [14]. Om sjukdomen är begränsad till seromet är pro­gnosen god [14, 15]. Detta förutsätter dock att implantaten (bilateralt) inklusive omgivande kapsel avlägsnas komplett. Om infiltrativ sjukdom föreligger är pro­gnosen sämre.

Det är alltså av vikt att patienter som får sena serom, över 1 år efter insättning av bröstimplantat, utreds för att utesluta BIA-ALCL [14-17].

Rekommenderad utredning. Vid bröstsvullnad minst ett år efter insättandet av implantat ska detta undersökas med högupplöst ultraljud. Föreligger tydligt serom ska punktion göras och seromvätskan avlägsnas. Infektion och trauma som orsak till seromet ska också uteslutas. Minst 20 ml aspirat ska skickas till patologiskt laboratorium med adekvat erfarenhet. Det är viktigt att skicka hela punktatet. Frågeställningen ska vara BIA-ALCL och flödescytofotometrisk analys med immunhistokemi avseende CD30, och ALK ska begäras. Provet behöver inte skickas akut. Om denna undersökning visar en konfluerande CD30-positiv och ALK-negativ cellpopulation är diagnosen BIA-ALCL klar. Internationellt rekommenderas oftast preoperativ utredning med PET/DT för att utesluta spridd sjukdom, men det finns ännu ingen svensk konsensus om detta. Det bör noteras att normal icke-malign seromvätska ofta har enstaka CD30-positiva celler. Vid recidiverande benigna serom bör man överväga att byta till ett implantat med annan ytstruktur.

I fall där tumör palperas eller misstänks i bröstet ska patienten utredas via bröstcentrum för att primärt utesluta bröstcancer. 

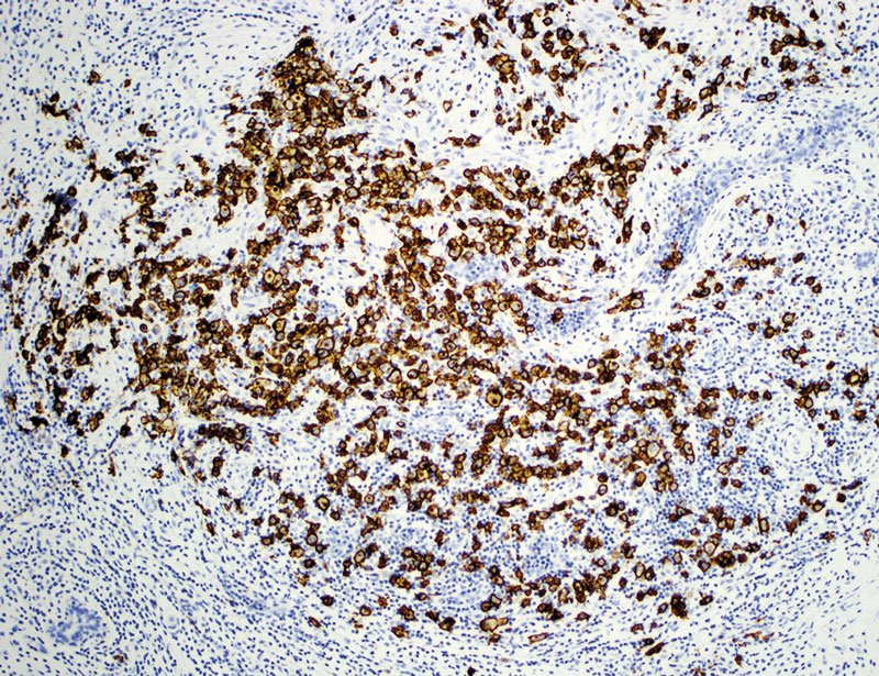
Kirurgisk behandling. Vid konfirmerat BIA-ALCL bör ingreppet utföras av onkologiskt erfaren bröstkirurg. Finns resurser tillgängliga är samoperation av onkologisk erfaren bröstkirurg och plastikkirurg av värde. Implantatet tas bort och en total kapsulektomi (en bloc), inklusive den torakala delen av kapseln, utförs (Figur 1). Något nytt texturerat implantat sätts inte in. Diskussion pågår om när ett slätt implantat kan sättas in, men konsensus avseende detta finns ännu inte. Även kapselvävnad och serom ska undersökas avseende förekomst av CD30 och ALK, och en bit kapsel samt ett 2 × 2 cm stort område från implantatytan ska sparas separat i formalinlösning för analys (Figur 2 och 3). Vill man studera biofilm på implantat måste proven tas sterilt. BIA-ALCL är i de flesta fall en relativt beskedlig tumörform, och enbart borttagande av implantat och total kapsulektomi är en kurativ åtgärd, förutsatt att ingen tumörvävnad utanför kapseln föreligger. Om patienten har bilaterala implantat och unilateralt BIA-ALCL har uppkommit, rekommenderas dock total kapsulektomi och uttag av implantatet även i det friska bröstet, då 4,6 procent av patienterna har ALCL även i det kontralaterala bröstet [14]. Normalt sett sker ingen invasion av lymfomceller in i själva bröstparenkymet. Vid förstorade lymfkörtlar rekommenderas excision och cytologisk undersökning. I det sällsynta fallet att en patient anger ett lymfom i anamnes avrådes generellt från användande av texturerade implantat.

Onkologisk behandling. I multidisciplinär konferens bestäms onkologisk behandling utifrån patientens TNM-klassifikation [2]. En ny klassifikation från MD Anderson Cancer Center i Texas har introducerats 2017 (Tabell 1) [2]. I flertalet fall utan tumörförekomst (klassifikationerna Lugano IE och MDA IA–IIA) bör den kirurgiska behandlingen vara tillräcklig och patienten behöver enbart följas upp. Om resektionen inte har varit radikal, eller vid generaliserad sjukdom, behöver adjuvant behandling övervägas. Tumörstadier som Lugano II–IV eller MDA IIB–IV kräver ställningstagande till cytostatika eller brentuximab/vedo­tinbehandling [18].

Postoperativ uppföljning och registrering av BIA-ALCL 

Uppföljning bör ske hos onkolog i minst 2 år post­operativt. In situ-former botas i regel helt, och patienter följs med klinisk undersökning, DT och PET-DT 2 gånger per år i minst 2 år. Vid infiltrativt växande ­ALCL-former rekommenderas klinisk uppföljning var 3–6 månad [2]. Det är svårt att uttala sig om prognos vid spridd ALCL, då antalet patienter är lågt. I Sverige har förloppet vid spridd sjukdom varit letalt.

Rapportering av histologiskt säkerställda tumörer

Rapportering av histologiskt säkerställda tumörfall sker till Lymfomregistret, Socialstyrelsen och Läkemedelsverket. Det rekommenderas att även anmäla alla diagnostiserade patienter till det internationella PROFIL-registret.

Läkare med kännedom om patienter med BIA-ALCL uppmanas rapportera dessa till Per Hedén och Birgit Stark. 

Potentiella bindningar eller jävsförhållanden: Per Hedén har haft konsultuppdrag (utbildningar och föreläsningar) för ett flertal implantatföretag: Allergan Co, Establishment Labs, Johnson & Johnson, GC Aesthetics och G&G Medical.

Figur 1. Intraoperativt foto. Resektion av implantat och komplett kapsulektomi inklusive seromvätska av en 4 cm stor tumör i den bakre kapselväggen. Tumören hade invaderat pektoralismuskeln (sedd vid basen). Patienten var en 42-årig kvinna som fick BIA-ALCL 7 år efter kosmetisk mastopexi med bilaterala texturerade implantat (Allergan). (Samtliga bilder och operation: dr Mark Clemens, MD Anderson Cancer Center, Texas, USA).

Figur 2. Serom med ALCL i Wright-Giemsa-färgning, 400 gångers förstoring, som visar stora anaplastiska celler. 

Figur 3. Mikroskopibild av implantatkapsel med CD30-positiv immunhistokemi. Bilden visar ett kluster av celler vilka aggregerar i en massa. 

Tabell 1

Jobb i fokus

Mer att läsa

Mer att läsa