Cystisk ekinokockos
Echinococcus granulosus-infektion (cystisk ekinokockos) är en infektion med en dvärgbandmask, där hundar är den vanligaste smittkällan. Människan drabbas av sakta växande cystor i olika organ, särskilt i levern. I takt med det ökande antalet invandrare från områden med endemisk förekomst har sjukdomen blivit allt vanligare i Sverige. Här ges en översikt utifrån två fallbeskrivningar. Echinococcus multilocularis, som ger upphov till alveolär ekinokockos, är en liknande dvärgbandmask där räv, är den vanligaste definitiva värden. Parasiten har nyligen även hittats hos svenska rävar. Humanfall har emellertid aldrig rapporterats i Sverige, varför sjukdomen inte inkluderats i denna översikt.
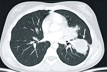
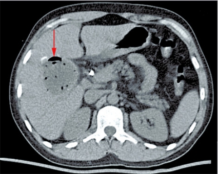
Fall 1. En 11-årig svenskfödd flicka insjuknade våren 2004 med intermittent hosta och blodtillblandat expektorat. Under sommaren utfördes en datortomografi (DT) av lungorna i Turkiet. Antibiotika gavs och föräldrarna informerades om att hon hade ekinokockos. DT på Karolinska universitetssjukhuset i Huddinge visade en oval cystisk struktur, 3,5 cm i diameter, i vänster lungas lingula. En liknande struktur påvisades i vänster underlob. I levern fanns en 5 cm stor cysta (Figur 1). Serologi var positiv avseende ekinokockos. Flickan vistades vartannat år en längre tid hos sin farfar i en by i centrala Turkiet. Detta är ett område med högendemisk förekomst av Echinococcus granulosus. Farfar är fårfarmare som slaktar hemma och ger sina hundar slaktavfall. I november 2004 fick flickan albendazol (Zentel) motsvarande 14 mg/kg/dag uppdelat på två doser. Ny DT efter fyra månader visade att cystorna i lungan minskat kraftigt i storlek. Efter ett års behandling hade de nästan helt försvunnit. Albendazol gavs i 18 månader. Ultraljud fyra år senare visade att cystan i levern minskat till 2,7 cm, och den bedömdes som inaktiv (CE4).
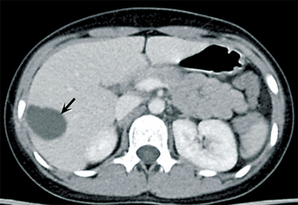
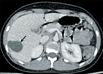
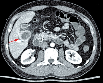
Fall 2. En 34-årig man från Tunisien sökte vård för buksmärta och hög feber. Patienten var ikterisk och visade tecken till gallstas. Antibiotikabehandling inleddes då den kliniska bilden talade för kolangit. Utredning med ultraljud och DT påvisade två cystiska förändringar i levern (5 respektive 6 cm stora), båda såg ut som ekinokockcystor. Blodprov visade stegrat CRP och eosinofili. Serologisk diagnostik bekräftade diagnosen. Gallvägarna avlastades med stentning via endoskopisk retrograd kolangiopankreatografi (ERCP) på grund av en intrahepatisk striktur (Figur 2). Behandlingen förbättrade initialt kolangiten, men patienten fick flera recidiv.
Tre månader efter insjuknandet opererades mannen med subtotal pericystektomi. Vid operationen kunde båda cystorna resekeras. Peroperativt diagnostiserades kommunikation mellan den ena cystan och gallträdet, vilket åtgärdades. Det postoperativa förloppet komplicerades av galläckage. Tre veckor efter operationen kunde patienten skrivas ut. Han behandlades tre månader med albendazol och prazikvantel före operationen och postoperativt med enbart albendazol. Fem år efter operationen fanns inga tecken till recidiv.
Livscykeln för Echinococcus granulosus
Den vuxna masken lever i hundens, den definitiva värdens, mag–tarmkanal. Det är en 3–6 mm lång, icke-invasiv bandmask. Den lägger ägg som lämnar tarmen med avföringen. Om ett får som betar får i sig ägg kläcks dessa i tarmen, och larverna tar sig via blodet till levern. I levern utvecklas en eller flera cystor. När fåret (mellanvärden) slaktas är levern otjänlig som människoföda men välsmakande för en hungrig hund. Hunden får i sig infektiösa protoscolices från cystan som utvecklas till vuxna maskar (Figur 3). Om en människa (alternativ mellanvärd) får i sig ägg kläcks dessa i tunntarmen och tar sig som en liten onkosfär genom tarmväggen via venvägen till levern och eventuellt till andra organ, främst lungorna. I dessa organ utvecklas cystor som vanligen växer mycket långsamt (Figur 4). De som smittas är huvudsakligen små barn som är i nära kontakt med hundar, som slickat på eller svalt föremål kontaminerade med avföring från hund. Med restriktioner för hantering av slakteriavfall från får samt periodisk avmaskning av hundar är parasitens livscykel relativt lätt att bryta.
Epidemiologi
Echinococcus granulosus-infektion förekommer framför allt som human smitta i områden där man bedriver fårskötsel, slaktar hemma och ger hundar slakteriavfall. Sjukdomen har hög prevalens i stora delar av Mellanöstern inklusive Turkiet och Irak. Den är också relativt vanlig på Balkanhalvön, i delar av Grekland samt i södra delarna av Sydamerika. I tropiska Afrika saknas den eller är ovanlig, förutom i norra Kenya och i södra Sudan. Nordafrika utom Egypten, vissa länder i Centralasien samt nordvästra Kina är andra områden där sjukdomen förekommer. Mellanvärdar som har mindre epidemiologisk betydelse för humaninfektion är get, gris, ko, buffel, kamel och häst. Vi hade enstaka fall av inhemsk sjukdom i Sverige fram till på 1960-talet med renar som mellanvärd.
Ekinokockos är sedan 2004 en anmälningspliktig men troligen underrapporterad sjukdom. Perioden 2004–2009 rapporterades 79 fall av E granulosus i Sverige (13/år), under 2010 var det 30 fall. Sannolikt smittland har angetts i 86 procent av fallen. Det vanligaste smittlandet var Irak (24 procent), följt av Turkiet (21 procent) och före detta Jugoslavien (17 procent).
Patogenes och cystlokalisation
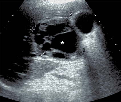
Hos människa orsakar E granulososus-infektion långsamt växande, icke invasiva cystor. Den vanligaste lokalisationen är levern (60–80 procent), följt av lunga (15–20 procent), mjälte (5 procent), skelett/muskulatur (4 procent) och övriga organ (2–5 procent) [1-3]. De som har cystor i lungan har ofta även cystor i levern. Vanligast är dock en enda solitär cysta i levern. Cystorna växer 1–10 (50) mm/år, och det finns en stor tendens till spontanläkning som ökar med tiden. Levercystor verkar växa långsammare än lungcystor [1]. Aktiva cystor innehåller vanligen dottercystor (Figur 4) och ett stort antal några tiondelar av en millimeter stora protoscolices. När cystan degenererar försvinner dottercystorna, innehållet blir homogent och väggen förkalkas. Ekinokockcystor i lungan kan inte förkalkas. Cystornas aktivitet kan klassificeras enligt ett modifierat WHO-schema baserat på ultraljudsundersökning [2, 3]. De orsakar en inflammatorisk reaktion i den omgivande vävnaden, vilket leder till bildning av en fibrotisk kapsel av varierande tjocklek utanför själva cystmembranet och ibland till uppkomst av fistlar till omgivande strukturer, framför allt gallgångar.
Symtomatologi och laboratorieförändringar
De flesta som diagnostiseras med ekinokockcystor är asymtomatiska, och hos en stor del är cystorna inaktiva. När man som patient fått veta att det finns en parasit i levern leder detta lätt till att man känner efter lite extra och kan uppleva nya symtom. Det är därför viktigt att bedöma om dessa fanns redan innan sjukdomen diagnostiserades. Symtomen beror på cystornas lokalisation, storlek, tryck på omgivande strukturer, eventuell fistelbildning eller ruptur.
De flesta små (< 5 cm) ekinokockcystor i levern är asymtomatiska och upptäcks av en tillfällighet. Patienter med stora cystor rapporterar ibland smärta och obehag under höger revbensbåge eller i epigastriet. Det rör sig om långvariga besvär av lindrig karaktär. Levertransaminaser är normala, men ALP kan vara lätt förhöjt. Akut intensiv smärta signalerar att någon typ av komplikation till cystan har inträffat. Fistulering till gallvägarna uppkommer hos cirka 25 procent av patienterna (vanligare vid stora cystor) och kan leda till kolangit med akut smärta. Bakteriell sekundärinfektion med utveckling av leverabscess och sepsis förekommer. Betydligt mer ovanlig är spontan cystruptur till bukhålan med påföljande peritonit och eventuell anafylaktisk reaktion. Cystorna kan med tiden bli mycket stora och leda till kompression av centrala gallvägar, portvenen eller levervener/vena cava, vilket kan orsaka ikterus, portal hypertension respektive Budd–Chiaris syndrom.
Lungcystor har vanligen en tunn vägg och kan rupturera till bronker eller pleura. Om detta inträffar får patienten ofta akuta symtom med hosta (eventuellt med delar av cystvägg eller dottercystor i upphostningarna), feber och ibland akut allergisk rektion med bronkobstruktion och urtikaria. Hemoptyser ses i bland och pleurit förekommer vid ruptur in i pleura. En cysta som rupturerat blir ofta sekundärinfekterad med upprepad bakteriell lunginflammation som följd. För cystor utanför lever och lunga är symtomatologin mycket varierad, men även dessa upptäcks vanligen av en tillfällighet.
En ekinokockcysta som rupturerar brukar med någon dags fördröjning orsaka en kraftig stegring av antalet eosinofila granulocyter i blodet. Intakta cystor ger dock sällan upphov till eosinofili eller systemisk inflammatorisk reaktion.
Mikrobiologisk diagnostik
Diagnostiken baseras på mikroskopiska och serologiska metoder. Fynd av intakta eller nedbrutna larver (protoscolices eller hakar) och laminerade membran i cystvätska eller biopsimaterial har högst diagnostisk specificitet. Provtagning för mikroskopi är dock en invasiv procedur som kan medföra läckage av cystvätska med risk för anafylaxi och spridning av parasiten. Undersökning av antikroppar är därför ett ofarligare diagnostiskt alternativ.
Serologiska metoder baseras vanligtvis på detektion av total-Ig eller IgG-antikroppar med IHA (indirekt hemaglutination), ELISA (enzyme linked immunosorbent assay) eller immunoblot. Den diagnostiska sensitiviteten beror på vilken metod och vilket antigen som använts och varierar mellan 71 och 99 procent. Vid levercystor är sensitiviteten högre än vid lungcystor, som relativt ofta har falskt negativ serologi. Specificiteten varierar mellan 62 och >98 procent. Ju renare antigen, desto högre specificitet, dock sker detta på bekostnad av sensitiviteten [1]. Detta problem kan kringgås med immunoblot och en kvalitativ bedömning av specifika versus ospecifika antikroppsreaktioner. Studier har visat att detektion av IgG-subtyper eller andra specifika immunglobuliner som till exempel IgE inte ger tillräcklig sensitivitet [4, 5] .
Vissa patienter med aktiva ekinockockcystor är serologiskt negativa då cystan verkar vara immunologiskt »gömd«. Detta är vanligare vid extrahepatiska cystor. Ibland ses serokonversion efter påbörjad medicinsk behandling eller efter kirurgiskt ingrepp, sannolikt på grund av ökad utsöndring av cystantigen. Antikroppstitrar kvarstår under flera år även efter lyckad behandling [6]. Vid utläkt sjukdom (helt inaktiva, förkalkade cystor) blir ELISA ibland negativ. Dessa patienter brukar fortfarande ha enstaka positiva band i immunoblot.
Radiologisk diagnostik
Radiologisk utredning av ekinokockcystor har flera målsättningar. Den ska bidra till diagnostiken och till en anatomisk kartläggning av utbredning och eventuella komplikationer, bedöma cystans viabilitet och underlätta preoperativ planering. Den radiologiska diagnostiken av ekinokockcystor i levern har centrerats runt ultraljud men har på senare tid ofta ersatts med DT och MR. Radiologiska fynd som talar för ekinokockcysta utgörs framför allt av cystvägg med dubbelkontur, multivesikulärt utseende och väggförkalkningar (talar för inaktiv cysta). Viktigt att komma ihåg är att kalcifiering av väggen förekommer inte bara vid inaktiva (CE4 och CE5) cystor utan även i upp till 50 procent vid alla stadier [7]. WHO-klassifikationen av ekinokockcystor grundas på ultraljudsundersökning men kan överföras till antingen DT eller MR [2, 3]. Cystans relation till gallvägar, kärl och extrahepatisk vävnad bedöms enklast med DT eller MR. Om fistulering till gallvägar misstänks kan MR med kolangiopankreatikografisekvenser och i vissa fall endoskopisk retrograd kolangiopankreatikografi (ERCP) bidra till noggrann anatomisk kartläggning inför planerad resektion [8].
Behandling
Ekinokockos är en ofta komplex, långdragen och i Sverige sällsynt sjukdom som bör behandlas av läkare med erfarenhet av detta tillstånd. Evidensbaserade riktlinjer finns inte. Omhändertagandet får därför i stor utsträckning baseras på erfarenhet och lokal kompetens. Patienter med symtomgivande cystor bör alltid opereras. Den kurativa behandlingen är kirurgi, men vid spridd sjukdom är radikalt avlägsnande ofta inte möjligt, och vid inaktiva asymtomatiska cystor (CE4 och CE5) troligen onödigt. Ett förslag till behandlingsgång baserad på våra erfarenheter och en genomgång av litteraturen ges i Figur 5.
Medicinsk behandling och »watch and wait«. Medicinsk behandling kommer i fråga framför allt hos patienter som inte går att operera och som ett alternativ vid små asymtomatiska cystor med tecken på aktiv sjukdom (CE1–CE3). Det läkemedel som har minst bristfällig dokumentation vid behandling av human ekinokockos är albendazol (Zentel). Trots snart 30 års användning saknas fortfarande kunskap om behandlingseffekten vid olika stadier av E granulosus-infektion, optimal dosering och duration [9]. Generellt är behandlingseffekten bättre vid små cystor med tunn vägg, cystor lokaliserade i lungan och hos unga patienter. Behandlingstiden är vanligen 3–6 månader men upp till flera år vid spridd, allvarlig, inoperabel sjukdom [1]. Albendazol är en bensimidazol som endast kan ges peroralt och som har dålig biotillgänglighet. Upptaget förbättras vid samtidigt intag av föda, helst fet sådan. Leverpåverkan är relativt vanlig (cirka 20 procent). I sällsynta fall ses leukopeni och agranulocytos. [3]. Patienterna måste därför följas noggrant med regelbundna provtagningar.
Albendazol givet före operation minskar antalet viabla cystor. Detta skulle kunna leda till en minskad risk för recidiv av sjukdomen och spridning i samband med operation. Många center har därför rekommenderat albendazol i en månad före och en månad efter operation. I det senaste WHO-dokumentet står att perioperativ albendazolbehandling kan minska risken för sekundär ekinokockos och att behandlingstiden vanligen är mellan en dag före och en månad efter operation [1]. II en annan översikt, delvis av samma författare, framförs att det inte finns någon generell rekommendation och att effekten är okänd, men man rekommenderar att ge albendazol en vecka före operation och att fortsätta upp till tre månader efter [3]. Baserat på detta, och medvetna om den bristfälliga evidensen, tycker vi att det är rimligt och praktiskt att i normalfallet starta albendazolprofylax en vecka före och fortsätta en månad efter operation.
Albendazol har ibland kombinerats med prazikvantel (Biltricide) för att ytterligare minska risken för spridning, samt vid behandling av inoperabel sjukdom. Den eventuella nyttan av prazikvantel behöver dock studeras ytterligare, enligt WHO [1]. På senare år har begreppet »watch and wait« lanserats, och det innebär att man avstår från behandling vid okomplicerade inaktiva cystor (CE4 och CE5) [9].
Kirurgisk behandling av levercystor. Kirurgi är den enda säkert kurativa behandlingen för patienter med ekinokocksjukdom i levern. Operation är dock inte alltid möjlig, i bland inte nödvändig och alltid förknippad med risker.
Små (< 5 cm) asymtomatiska cystor kan behandlas medicinskt i många fall, och kirurgi tillgrips endast vid tillkomst av symtom eller komplikation (Figur 5). Indikationen för kirurgisk behandling stärks om någon typ av komplikation till cystan har tillkommit, vanligen fistulering till gallvägarna med återkommande kolangitepisoder som följd. Andra starka skäl för operativ behandling av cystan är kompression av centrala gallvägar, vena portae eller levervener/vena cava.
Den kirurgiska behandlingen utgörs av antingen öppen kirurgi eller perkutan behandling. Öppen kirurgi innebär antingen konservativ resektion, då den yttersta fibrösa cystkapseln kvarlämnas (subtotal cystektomi), eller radikal kirurgi med resektion av hela cystan inkluderande mer eller mindre av leverparenkymet (pericystektomi eller anatomisk leverresektion). Spill av cystinnehåll måste undvikas för att förhindra recidiv/spridning av sjukdomen. För att minska risken används instillation i cystan av hyperton koksaltlösning. Radikal kirurgi innebär lägre recidivrisk och tillåter betydligt säkrare kontroll av en eventuell gallgångsfistel. Konservativ kirurgi kan vara ett säkrare, och ibland det enda alternativet, vid komplex anatomisk lokalisation, till exempel i leverhilum eller intill levervenerna. Den vanligaste komplikationen efter öppen kirurgi är galläckage, och risken verkar vara ökad efter konservativ resektion. En ovanlig komplikation är gallgångsstrikturer.
På många håll där prevalensen av cystisk ekinokocksjukdom är hög saknas leverkirurgiska resurser. Detta har tvingat fram alternativa minimalinvasiva behandlingsmetoder. PAIR (puncture of the cyst wall, aspiration of cyst content, injection, and reaspiration of a scolicidal agent) lanserades för cirka 25 år sedan. I dag har tusentals patienter behandlats med denna metod. Randomiserade behandlingsstudier saknas. PAIR ska bara användas vid CE1- och CE3a-cystor [1]. Risken för galläckage och recidiv är okänd.
Operationer på Karolinska universitetssjukhuset. Vid Karolinska universitetssjukhuset i Huddinge har vi de senaste fem åren (2006–2010) bedömt 31 patienter för möjligheten till kirurgisk åtgärd. Vi har opererat 25 patienter för ekinokockos, åtta under 2010. Medianåldern för patienterna var vid operation 36 år (16–60 år). Vi har haft komplikationer i form av galläckage (7), lungemboli (2), uretärskada, pleuraempyem och njursvikt. Ytterligare minst två patienter har opererats vid toraxkirurgiska kliniken i Solna för lungcystor.
Uppföljning. Efter operation brukar vi följa patienterna i åtminstone fem år med regelbundna röntgenundersökningar (DT eller ultraljud) varje till vartannat år för att tidigt upptäcka och behandla en spridning alternativt ett lokalrecidiv. Flera av våra patienter som har opererats i Irak har fått recidiv på platsen för operation. Detta har vi hittills inte noterat hos patienter opererade i Huddinge, där albendazol ges som profylax. I litteraturen uppges risken för återfall vara upp till 20 procent efter leverkirurgi och upp till 11 procent efter lungkirurgi [3]. Patienter som inte opereras och inte behandlas med albendazol följs 1–2 gånger årligen, då det finns risk för att en cysta som tidigare klassificerats som sannolik övergångsform kan reaktiveras och börja växa igen. Är man efter en längre tids observation (flera år) säker på att patientens ekinokockos är helt inaktiv (stadium CE4 eller CE5) och asymtomatisk kan man rimligen avsluta kontrollerna, men solida data för detta saknas.
Diskussion och kommentar
I likhet med många andra parasitsjukdomar är ekinokockos en så kallad neglected disease med litet intresse från industrin för att utveckla nya läkemedel. Den evidens som finns för olika behandlingsalternativ är med enstaka undantag av låg kvalitet. Detta beror inte enbart på resursbrist. Effekten av olika behandlingsstrategier är svårstuderad, då det är svårt att klassificera aktiviteten i cystorna. Patienterna har också ofta multipla cystor (ibland i flera organ), och spontan degeneration tillhör normalförloppet. Alla behandlingsstudier kräver dessutom mycket lång uppföljning. Det är hög tid att vi i länder med möjlighet att göra bra studier med långtidsuppföljning utarbetar gemensamma behandlingsprotokoll för att åtminstone besvara frågan om vilka patienter som ska behandlas med albendazol och hur länge.
Sjukdomens komplexitet gör att det är av stor vikt att handläggningen kan diskuteras inom ramen för en multidisciplinär konferens där infektionsläkare, kirurg och radiolog deltar. Då sjukdomen är sällsynt i Sverige bör man överväga att remittera dessa patienter till enheter med större erfarenhet.
Interventionsbehandling av ekinokockcystor kan innebära ett flertal svårigheter. Radikalitet måste vägas mot risker att skada vitala kärl och gallgångar. Spill av viabla scolices kan förvärra situationen. Inarbetade behandlingsrutiner med kirurger som är väl förtrogna med sjukdomen är viktiga förutsättningar för bra resultat. Då morbiditeten efter resektionsingrepp är relativt låg bör resektion vara förstahandsmetod för kirurgisk behandling av ekinokockcystor i levern, särskilt då fistulering till gallvägar misstänks.
Echinococcus granulosus är en relativt vanlig parasit i flera länder i Mellanöstern (Irak, Turkiet) från vilka vi i Sverige har en stor invandring. Många invandrare känner till att de har sjukdomen redan när de kommer till Sverige. Kunskapen om ekinokockos är emellertid mer begränsad i vårt land. Hos alla personer med cystor i levern, men även i andra organ, som kommer från ett område med högendemisk förekomst måste diagnosen misstänkas.
*
Potentiella bindningar eller jävsförhållanden: Inga uppgivna.










