»Brustet hjärta« eller takotsubo-kardiomyopati drabbar kvinnor i postmenopaus
Kvällspressen slog nyligen upp braskande rubriker om att emotionell stress kan utlösa hjärtchock, som i vissa fall kan leda till döden [1]. Bakom dessa alarmerande rubriker döljer sig ett tillstånd som karakteriseras av akut debuterande (ofta stressutlöst) bröstsmärta och/eller andningssvårigheter, förändringar av EKG, stegring av hjärtskademarkörer i blodet och uttalad nedsättning av den systoliska funktionen i vänster kammares apikala och mellersta delar. Den kliniska bilden är således snarlik akut hjärtinfarkt. Till skillnad från den typiska hjärtinfarkten finner man dock inga signifikanta kranskärlsförändringar vid koronar angiografi, och väggrörelsestörningen i vänster kammare griper över perfusionsområden för flera av kranskärlens huvudgrenar. Dessutom återhämtar sig vänster kammares funktion anmärkningsvärt snabbt hos flertalet patienter.
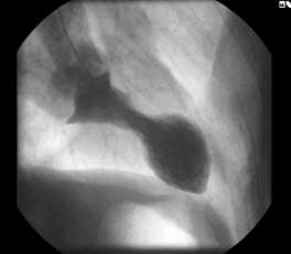
Man får gå tillbaka till 1990 för att finna den ursprungliga beskrivningen av denna variant av kardiomyopati. Sato och medarbetare i Hiroshima i Japan beskrev då ett tillstånd som innefattade ett insjuknande som vid akut hjärtinfarkt, systolisk vänsterkammardysfunktion (vanligen drabbande apikala halvan av vänster kammare) och frånvaro av förträngningar i kranskärlen [2]. Man noterade också att majoriteten av patienterna var kvinnor och att insjuknandet sammanföll med att de varit utsatta för emotionell stress. Vid ventrikulografi liknar den apikalt dilaterade vänsterkammaren en takotsubo, bläckfiskfälla (Figur 1), som därför fick ge namn åt denna variant av kardiomyopati. I litteraturen förekommer andra benämningar, såsom »apikal ballonering av vänster kammare« [3] och »ampullakardiomyopati« [4]. Kopplingen till emotionell stress har också resulterat i termer som »stresskardiomyopati« [5] eller »det brustna hjärtat« [6]. Västvärldens uppmärksamhet kring detta tillstånd väcktes efter en artikel publicerad 2005 i New England Journal of Medicine, där Wittstein och medarbetare rapporterade en studie på 19 sjukhusvårdade patienter med stressutlöst, reversibel vänsterkammardysfunktion [5]. Hos dessa patienter uppmättes vid ankomsten 2–3 gånger högre nivåer av katekolaminer i plasma än hos ålders- och könsmatchade patienter med akut hjärtinfarkt. Författarna konkluderade att katekolaminer tycks vara centrala i den bakomliggande patofysiologin vid stressutlöst, reversibel vänsterkammardysfunktion. Med följande fallbeskrivningar vill vi uppmärksamma takotsubo-kardiomyopati som en möjlig differentialdiagnos till akut hjärtinfarkt.
Fallen
På länssjukhusen i Västerås och Kalmar har vi under senare år haft flera patienter med en klinisk bild överensstämmande med takotsubo-kardiomyopati. Vi presenterar här två av dessa.
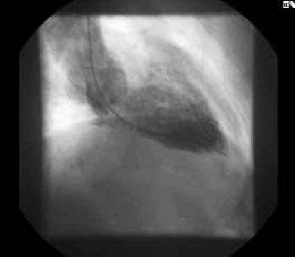
Fall 1 rör en 78-årig man, rökare med avancerad kroniskt obstruktiv lungsjukdom, som med hjälp av hemtjänsten inkom på grund av tilltagande andfåddhet. Vid ankomsten noterades en syrgassaturation på 67 procent. Patienten förbättrades efter inhalationsbehandling och steroider. EKG visade påtagliga ST-höjningar (Figur 2) och bedömdes som pågående akut hjärtinfarkt trots avsaknad av centrala bröstsmärtor. Akut koronarangiografi visade väsentligen normala kranskärl. Angiografi av vänster kammare visade dock betydande nedsättning av vänsterkammarfunktionen med akinesi/dyskinesi antero- och inferoapikalt samt hyperkinesi inom basala segment (Figur 3 A–B). Därutöver sågs ett betydande läckage i mitralisklaffen.
Efter undersökningen var patienten relativt välmående. Man fortsatte med andningsvård, inhalationer och startade behandling med ACE-hämmare i låg dos. Plasmavärdet av troponin I nådde som mest 3,0 (my)g/l (referensvärde 0,1 (my)g/l), medan CK-MB nådde 22 mg/l (referensvärde 4,0 (my)g/l). Dag 2 förflyttades patienten till hemortslasarettet och kunde så småningom skrivas ut.
Angiografisk kontroll ca 3 månader senare visade normaliserad vänsterkammarfunktion (Figur 3 C–D) med regress av både den apikala dyskinesin och mitralklaffläckaget. EKG i samband med kontrollangiografin visade regress av ST-höjningarna, normalisering av R-vågsprogressionen och tillkomst av T-vågsinversion (Figur 2).
Fall 2 rör en 77-årig kvinna som vid ankomsten hade central bröstsmärta som debuterat i samband med att hon misshandlats av sin drogpåverkade son. Hon var väsentligen frisk, förutom att hon hade medicinering med protonpumpshämmare mot epigastralgier vid behov. På EKG noterades ST-höjningar i avledningarna V2–V4 vid ankomsten och påföljande dag tillkomst av T-invertering i flertalet avledningar (Figur 4).
Initiala respektive maximala troponin I-värden uppmättes till 0,79 respektive 3,21 (my)g/l. Koronarangiografi utfördes akut och visade friska kranskärl utan ateromatos. Ekokardiografi samma dag visade akinesi och vidgning av vänster kammares apikala halva, medan de basala segmenten var hyperkontraktila (Figur 5 A). Ejektionsfraktionen skattades till 35–40 procent. Patienten skrevs ut i gott skick efter sex dagars vårdtid.
Vid kontroll fyra veckor efter hemgång var vänsterkammarfunktionen helt återställd utan påvisbara hypokinesier och med en ejektionsfraktion på >55 procent (Figur 5 B). På EKG noterades uttalade T-inverteringar i flertalet avledningar, vilka dock efter ny kontroll åtta månader senare gått i regress (Figur 4). Under de två år som passerat efter insjuknandet har patienten varit besvärsfri.
DISKUSSION
Sedan 1990 har det presenterats ett antal rapporter avseende takotsubo-kardiomyopati, initialt från Japan men senare även från Europa och USA. Flertalet publikationer är enstaka fallbeskrivningar, men det finns också en hel del patientserier rapporterade [2-5, 7-14]. Det finns även ett par utmärkta översiktsartiklar som kan rekommenderas [15, 16].
Demografi och klinik
Kvinnor drabbas betydligt oftare av tillståndet. I flertalet patientserier rapporteras andelen kvinnor till 80–100 procent, och majoriteten av patienterna är i åldern 50–80 år [15]. Uppgifter avseende incidens är sparsamma. Hos patienter som koronarangiograferades på grund av bröstsmärta och nytillkommen ST-höjning rapporterade en italiensk grupp en total incidens av takotsubo-kardiomyopati på 2 procent [13]. Bland kvinnorna i den studien var incidensen hela 12 procent.
I en japansk studie fann man att 1,5 procent uppfyllde kriterierna för takotsubo-kardiomyopati bland koronarangiograferade patienter [7]. Central bröstsmärta och/eller dyspné är de vanligaste debutsymtomen. Enstaka patienter med lungödem, kardiogen chock, synkope eller hjärtstillestånd som debutsymtom finns beskrivna [5, 11, 15].
Tillståndet är starkt relaterat till emotionell eller fysiologisk stress. I tio publicerade patientserier kunde en stressrelaterad händelse i nära anslutning till insjuknandet identifieras hos 33–100 procent av patienterna (median 72 procent) [2, 3, 7-14]. Emotionell stress, där närståendes dödsfall är det vanligast exemplet, angavs vara utlösande faktor hos 18– 86 procent av patienterna och fysiologisk stress, tex icke-kardiell akut medicinsk sjukdom eller kirurgi, hos 14–77 procent. I en tysk studie omfattande 32 takotsubo-patienter rapporterades en förvånansvärt hög prevalens (44 procent) av kroniskt obstruktiv lungsjukdom (vilket också exemplifieras av vårt patientfall nr 1) [14]. Författarna i den studien spekulerar bland annat över om medicinering med beta-2-stimulerare kan vara en bidragande faktor till takotsubo-kardiomyopatin.
EKG-förändringar
De vanligast förekommande tidiga EKG-förändringarna som beskrivits i rapporterade patientserier är ST-höjningar, främst i prekordialavledningarna. Dessa akuta förändringar kan inte skiljas från dem vid akut anterior hjärtinfarkt [17]. Återkommande i publicerade patientserier är en successiv utveckling av dels T-vågsinvertering i flertalet avledningar, dels förlängning av QT-intervallet. I en belgisk studie noterades normalt ankomst-EKG hos fem av 13 inkluderade patienter [8]. Samtliga patienter utvecklade dock T-vågsinvertering inom ett par dygn. T-vågsförändringarna tycks vanligen kvarstå i veckor eller månader, medan QT-tiden normaliseras efter några dygn [5]. Utveckling av Q-vågor i akutskedet har rapporterats hos enstaka patienter, och i vissa fall har dessa Q-vågor varit övergående [3, 9]. Nytillkommen EKG-förändring (ST-höjning eller T-vågsinvertering) ingår som ett av fyra diagnostiska kriterier som Bybee och medarbetare föreslagit (Fakta 1) [15].
Hjärtskademarkörer
Stegringen av hjärtskademarkörer, såsom CK-MB, troponin T eller troponin I, beskrivs som vanligen lätt till måttlig hos flertalet patienter [15]. Anmärkningsvärt är att stegringen av hjärtskademarkörer inte tycks stå i proportion till den utbredda kontraktionsnedsättningen i vänster kammare. Hos enstaka patienter kan ingen stegring av CK-MB eller troponiner detekteras [3, 8, 11]. I en observationsstudie av 305 konsekutiva kvinnor som genomgick koronarangiografi på grund av misstänkt akut anterior hjärtinfarkt undersöktes karakteristika hos de 36 kvinnor som uppfyllde kriterier för takotsubo-kardiomyopati jämfört med dem som hade signifikant kranskärlssjukdom [13]. Bland ett flertal kliniska och ekokardiografiska variabler var det endast lägre CK-MB-nivå och stressrelaterad händelse i samband med insjuknandet som oberoende var associerat med takotsubo-fallen.
Bild- och funktionsdiagnostik
Koronarangiografi är nödvändig för att säkerställa diagnosen. Det typiska, och ofta överraskande, fyndet vid angiografi är friska kranskärl utan påvisbara stenoser eller ocklusioner.
Ekokardiografiskt ser man typiskt dilatation och utbredd kontraktionsnedsättning i vänster kammares apikala halva (Figur 5 A). Väggrörligheten i den basala kammarhalvan är oftast normal eller hyperkontraktil. Ejektionsfraktionen är vanligen reducerad i det akuta skedet. Hyperkontraktilitet i de basala delarna av vänster kammare kan i vissa fall ge upphov till en subvalvulär obstruktion i vänster kammares utflödesområde [11]. Denna utflödesobstruktion kan förvärras av inotrop behandling och leda till hypotension.
Magnetresonanstomografi, utförd inom fem dagar efter insjuknandet, visade väggrörelseavvikelser i vänster kammare med en utbredning som sträckte sig över fler än ett kranskärlsterritorium hos 95 procent av patienterna i en nordamerikansk studie [11]. Med gadoliniumkontrast sågs »late enhancement«, vilket indikerar infarcerat icke-viabelt myokardium, hos endast en av 22 patienter.
Prognos
Prognosen tycks vara god för flertalet av patienterna trots den i akutskedet utbredda funktionsnedsättningen i vänster kammare. I den största publicerade patientserien (n=88) angavs endast ett dödsfall på sjukhus, vilket var en följd av komplicerande lungembolism [3]. I akutskedet noterades andra komplikationer i form av arytmier hos 27 procent (inkluderande två patienter med ventrikelflimmer), lungödem hos 22 procent och kardiogen chock hos 15 procent av de 88 inkluderade patienterna.
Förbättring av vänsterkammarfunktionen har kunnat påvisas hos flera patienter redan inom några dagar efter ankomsten [2,5], och i två patientserier har en normalisering av kammarfunktionen noterats hos samtliga fall inom tre veckor [5, 9]. Återfall inom ett år efter första insjuknande har beskrivits hos enstaka patienter [3].
Behandling
Specifik behandling som stöds av vetenskapliga studier saknas. Eftersom flertalet patienter, trots frånvaro av påvisbar stenoserande kranskärlssjukdom, uppfyller vedertagna kriterier för hjärtinfarkt torde etablerad farmakologisk hjärtinfarktbehandling kunna motiveras i nuläget. För att modulera effekterna av de höga katekolaminnivåerna hos dessa patienter har särskilt betablockad framförts som en viktig del i behandlingen [5, 15].
Patogenes
Ett antal patofysiologiska mekanismer har föreslagits som bakomliggande orsak till takotsubo-kardiomyopati, men patogenesen är fortfarande okänd.
Förhöjda nivåer av katekolaminer i plasma och sambandet med emotionell stress indikerar att aktivering av sympatiska nervsystemet spelar en central roll. Hur sympatikusaktivering ger upphov till reducerad kontraktil funktion i myokardiet är dock oklart. En tänkbar mekanism skulle kunna vara ischemi orsakad av katekolamininducerad spasm i epikardiella kranskärl. Vid provokation i samband med angiografi har kärlspasm kunnat induceras hos endast en mindre andel av dessa patienter [3, 9]. Dessutom har man noterat en diskrepans mellan kärlområde med inducerad spasm och utbredningen av myokardiets dysfunktion. Spasm i epikardiella kärl tycks således inte vara en viktig etiologisk faktor.
Mikrovaskulär dysfunktion är en annan mekanism som diskuterats. Hos patienter med takotsubo-kardiomyopati har rapporterats förhöjda TIMI-värden i alla kranskärlsgrenar (Thrombolysis In Myocardial Infarction frame counts, vilket anger hur lång tid det tar för kontrasten att nå vissa standardiserade anatomiska landmärken vid koronarangiografi) [18] och reducerad flödesreserv i kranskärlen [19, 20], vilket indikerar att mikrovaskulär dysfunktion är involverad i patofysiologin. Det är dock oklart om det finns ett orsakssamband.
En tredje föreslagen mekanism är en direkt kardiotoxisk effekt av katekolaminer. Det är visat i cellkultur att katekolaminer via cykliskt AMP-medierat inflöde av kalciumjoner kan reducera viabiliteten hos myocyter [21]. Vid infusion av noradrenalin i djurmodell har man noterat en signifikant reduktion av vänster kammares kontraktilitet och histologiskt påvisat koagulativ myocytolys, vilket är en unik form av myocytskada som skiljer sig från den vid infarkt [22]. Några författare har funnit koagulativ myocytolys vid endomyokardiell biopsi hos enstaka patienter med takotsubo-kardiomyopati [2, 5], medan andra inte kunnat påvisa sådana förändringar [9].
Väggrörelsestörningen i vänster kammare, som vanligen drabbar den apikala halvan och griper över flera kranskärlsterritorier, är ett gåtfullt karakteristikum för takotsubo-kardiomyopati. Anatomiska och fysiologiska skillnader mellan kammarens apex och bas har spekulativt föreslagits som orsak till utbredningen av hypokontraktiliteten [3]. I djurmodell har vänster kammares apikala regioner större känslighet för noradrenalin än de basala regionerna [23], vilket kan vara en annan möjlig förklaring till utbredningen av väggrörelsestörningarna. Det bör dock påpekas att det finns enstaka fall med avvikande utbredning av väggrörelsestörningen, exempelvis med hypokinetisk mittportion och hyperkinetiskt apex [24].
Vi har också haft ett patientfall (inget av de ovan beskrivna) som uppfyllde övriga takotsubo-kriterier, men där väggrörelsenedsättningen drabbade stora delar av interventrikulära septums mittportion, medan de apikala och basala segmenten var hyperkontraktila. Det är möjligt att man inte ska betrakta apikal utbredning som patognomon för diagnosen.
Även om stenoser i epikardiella kranskärl inte kan påvisas vid koronarangiografi så kan epikardiell ockluderande kranskärlssjukdom inte helt uteslutas som orsak. I ett litet material omfattande fem patienter med klinisk takotsubo-bild kunde ett rupturerat plack i vänstra nedåtstigande kranskärlsgrenen påvisas med intravaskulärt ultraljud i samtliga fall, trots att man vid angiografi inte påvisat några stenoser [25]. De regionala väggrörelsestörningarna i vänster kammare, som oftast breder ut sig över flera kranskärlsterritorier, är dock ett starkt argument emot epikardiell kranskärlssjukdom som genes.
Slutord
Takotsubo-kardiomyopati är sannolikt vanligare än man tidigare anat. En ökad klinisk uppmärksamhet på detta tillstånd i kombination med en alltmer frekvent angiografisk och ekokardiografisk diagnostik kommer troligen att leda till fler identifierade fall. Ökad kunskap avseende incidens, riskfaktorer och patogenetiska mekanismer är av stort värde för att finna verkningsfulla behandlingsalternativ och förebyggande åtgärder.
Potentiella bindningar eller jävsförhållanden: Inga uppgivna.








