Gå till innehållet
Gå till startsidan

Denna webbplats vänder sig till läkare

Sök

Endoskopisk sleeve-gastroplastik behandlingsalternativ vid obesitas

Läs artikel som PDF

Enligt Världshälsorganisationen, WHO, dör fler människor på grund av fetma än av svält och undernäring [1]. Fetma definieras som ett BMI högre än 30. Drygt 700 miljoner människor i världen lider av fetma, och problemet ökar både globalt och i Sverige. Ungefär 800 000 (15 procent) svenskar i åldern 16–84 år lider av fetma [2]. I kölvattnet av fetma ökar prevalensen av diabetes, hypertension, hjärt–kärlsjukdomar, sömn­apnésyndrom, artros, leversjukdomar och cancer [2]. Detta är anledningen till att fetma räknas som en sjukdom enligt WHO och utgör ett samhällsproblem.

En studie har visat att högt BMI är en av de främs­ta orsakerna till förlorade friska levnadsår och förtida död i Sverige [3]. Den årliga kostnaden för fetma­relaterad ohälsa har skattats till 25–70 miljarder kronor i Sverige [2, 3]. Ungefär 20 procent av kostnaderna för obesitas belastar sjukvården. Fetma utgör ett globalt hot mot folkhälsan och riskerar att överbelasta och tömma ut hälso- och sjukvårdsresurserna i den utvecklade världen. 

Befintlig behandling av fetma är begränsad till livsstilsförändringar, beteendeterapi, läkemedel och bariatrisk kirurgi. Försök att påverka livsstil har en mycket begränsad och tillfällig effekt [4]. 

Bariatrisk kirurgi, inkluderande Roux-en-Y-bypass (gastrisk bypass) och sleeve-gastrektomi, är den mest effektiva behandlingen av fetma [5-7], men färre än 2 procent av alla patienter med indikation genomgår bariatrisk kirurgi [8, 9]. Indikationen för bariatrisk kirurgi är vanligtvis BMI över 35 med krav på att patienten förstår betydelsen av ingreppet med avseende på kostvanor, vitamin och mineralsubstitution [10]. Orsaken till den låga andelen opererade är multi­faktoriell, bland annat begränsad tillgänglighet och patientpreferenser. Även om mortaliteten vid bariatrisk kirurgi minskat och nu ligger i paritet med den vid kolecystektomi, kvarstår risken för tidiga och sena komplikationer på en relativt hög nivå (5–17 procent) [11-13]. Således finns det ett tomrum i behandlingen mellan de få som lyckas med livsstilsförändringar och det begränsade antal som genomgår bariatrisk kirurgi. 

Det finns ett behov av nya minimalinvasiva metoder att behandla patienter med fetma. Endoskopisk bariatrisk terapi skulle kunna fylla ett sådant tomrum och erbjuda fler patienter behandling. 

Den här artikeln beskriver aktuellt kunskapsläge inom endoskopisk bariatrisk terapi med fokus på endoskopisk sleeve-gastroplastik (ESG) som behandling av obesitas. 

Endoskopisk bariatrisk terapi

Kunskaperna om hur bariatrisk kirurgi fungerar har utvecklats från att vara begränsade till mekanisk re­striktion och malabsorption. Data har visat att kirurgisk manipulation av anatomin i gastrointestinalkanalen också medför fysiologiska förändringar av neuroendokrin signalering, motilitet, autonoma nervsy­stemets funktion, gallsyraproduktion och absorption samt tarmens mikroflora, vilka alla bidrar till viktminskning och förbättring av diabetes [14-16]. Syftet med endoskopiska metoder är att efterlikna de effektiva kirurgiska metoderna för att uppnå viktminskning. 

Potentiella fördelar med endoskopisk bariatrisk terapi skulle kunna vara att reducera komplikationsrisken och att behandlingen kan upprepas. 

De endoskopiska metoderna som används i större omfattning inkluderar intragastriska ballonger, aspirationsmetoder och suturplikationer. Den första ballongen introducerades redan 1985 i USA men drogs sedan tillbaka på grund av komplikationer. Dagens ballonger (Obera, ReShape Duo och Obalon) är säkrare, med en risk för perforation och obstruktion lägre än 0,3 procent [17], medan övergående illamående och smärta är vanligt (29–34 procent) [18]. Indikationen för ballonger är utebliven effekt av livstilsförändringar och läkemedelsbehandling hos patienter med ett BMI mellan 30 och 40 [19]. Oftast placeras ballongerna under endoskopisk kontroll i ventrikeln och tas sedan bort endoskopiskt efter 6–12 månader, beroende på utvecklingen. Ballongerna fylls med koksalt (500–900 ml), och ibland tillsätts metylenblått för att indikera läckage. Studier har visat att intragastriska ballonger kan reducera vikten hos överviktiga och personer med obesitas upp till 12 månader (6 månader efter borttagan­det), men långtidseffekten på kroppsvikten är tveksam och dåligt redovisad i litteraturen [17]. 

En annan metod är applikation av en perkutan gastrostomi (Aspire-metoden), vilken fungerar ungefär som en omvänd PEG (»tömningsknapp«). 20 minuter efter intagen måltid spolas ventrikeln med vatten under 5–10 minuter, och därigenom kan upp till 30 procent av en intagen måltid tömmas ut. Metoden har visat sig leda till långvarig viktnedgång hos patienter med BMI mellan 35 och 65 [20]. En svensk studie har visat att Aspire-metoden kan minska kroppsvikten med 19 procent upp till 48 månader efter insättning [21]. Dock är uppföljningen av dessa patienter komplicerad och omfattande, vilket delvis kan förklara varför metoden fått mycket begränsad användning. 

Endoskopisk sleeve-gastroplastik

Endoskopisk sleeve-gastroplastik är en transoral metod för att reducera ventrikelvolymen genom att skapa en sleeve liknande den som åstadkoms med en kirurgisk sleeve-gastrektomi. Proceduren genomfördes för första gången 2012 i Indien [22]. Viktminskning uppnås genom att volymen på måltiderna reduceras i kombination med förlångsammad ventrikeltömning, vilket förstärker patienternas mättnadskänsla [23].

Indikation. Den föreslagna indikationen för endoskopisk sleeve-gastroplastik är obesitasrelaterad komorbiditet där livsstilsförändringar inte lett till önskad viktreduktion eller om patienten inte kvalificerar till eller inte vill genomgå obesitaskirurgi. Kontraindikationer inkluderar ventrikelsår, hiatusbråck >5 cm och förekomst av adenom/cancer. 

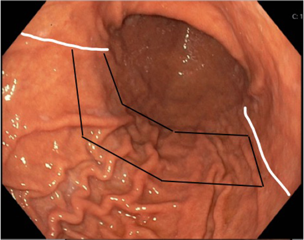
Teknik. Volymreduktionen uppnås genom placering av multipla fullväggssuturer från incisura angularis (angulusvecket) upp till fundus eller hela vägen till gastroesofageala övergången (Figur 1). Det finns olika sutureringsstrategier, och tekniken är under utveckling. Vanligast är att låta fundus vara orörd på grund av högre risk för komplikationer vid fullväggssuturering i den här delen av ventrikeln och att patienterna kan äta mer vanliga måltider med intakt fundus. I princip appliceras 6–8 suturer med 4–8 fullväggstag. Suturerna appliceras triangulärt och utövar en koncentrisk kompression i ventrikeln. Suturerna kan placeras på olika sätt: En vanlig metod är att suturera främre ventrikelväggen, sedan curvatura major följt av bakre ventrikelväggen, varefter suturen vänds tillbaka den andra vägen, en så kallad »U-sutur« (Figur 1). Endoskopisk sleeve-gastroplastik minskar ventrikelns volym längs curvatura major och leder till en kraftig reduktion av den totala ventrikelvolymen (Figur 2). 

Metoden kräver tillgång till ett endoskopiskt fullväggssutureringsinstrument kallat Overstitch, som beskrivs i annan artikel i detta nummer av Läkartidningen. Proceduren genomförs i generell anestesi med intubation och tar drygt en timme att slutföra (Tabell 1) [23-37]. 

Efter ingreppet går de flesta patienter hem samma dag. Vanligtvis intar patienten klara drycker första dygnet och flytande föda under 1–2 veckor. Därefter övergår patienten till intag av normal föda under ytterligare 2–3 veckor [22, 23, 30].

Noterbart är att endoskopisk sleeve-gastroplastik i analogi med bariatrisk kirurgi uppvisar en minskning av mättnadshormonet ghrelin (29 procents minskning efter 3 månader) och ökning av insulinkänslighet och mättnadskänsla, vilket styrker tanken att endoskopisk sleeve-gastroplastik imiterar en kirurgisk sleeve-gastrektomi [23]. 

Flera studier av inlärningskurvan har gjorts. En studie från 2017 visade att en expertendoskopist med erfarenhet av Overstitch-instrumentet för andra typer av suturer kunde göra endoskopisk sleeve-gastropla­stik effektivt efter 35 ingrepp [28). En annan studie från 2018 som fokuserade på tidsaspekten rapporterade att 30–40 ingrepp behövs för att utföra endoskopisk sleeve-gastroplastik på ett effektivt sätt [26]. Precis som vid bariatrisk kirurgi är patientselektion av yttersta vikt, och därtill ska endoskopisten vara van vid Overstitch-instrumentet och utföra de första ingreppen tillsammans med en erfaren handledare.

Kliniska resultat. Studier har visat att endoskopisk sleeve-gastroplastik effektivt minskar kroppsvikten hos personer med obesitas. Tabell 1 sammanfattar majoriteten av de publicerade studierna och visar att endoskopisk sleeve-gastroplastik minskar kroppsvikten med 15–20 procent redan efter 6 månader, och den effekten håller i sig upp till två år efter ingreppet. Dessa resultat indikerar att endoskopisk sleeve-gastroplastik kan vara ett nytt sätt att uppnå en signifikant viktminskning hos personer med obesitas. Tyvärr saknas fortfarande långtidsdata, men det är intressant att nya data redovisade på Digestive Disease Week 2019 antyder att metoden också kan vara effektiv för viktminskning upp till fem år efter ingreppet [38]. En observation är att patienter som inte uppnår viktminskning 3 månader efter ingreppet är det sannolikt att de inte uppnår adekvat viktminskning på sikt, och dessa patienter kan behandlas med kompletterande suturer eller byta behandlingsstrategi. 

Det är viktigt att framtida forskning kan identifiera patientrelaterade faktorer som kan predicera vilka patienter som svarar bäst på behandling med endoskopisk sleeve-gastroplastik. 

Tabell 1 visar också att allvarliga komplikationer (Clavien–Dindo grad III) är sällsynta (1 procent), me­dan det däremot är mycket vanligt med övergående illamående och måttlig smärta [28, 29]. Patienter får ofta antiemetika och analgetika i samband med endoskopisk sleeve-gastroplastik. Eventuell Helicobacter pylori eradikeras före endoskopisk sleeve-gastroplastik. Protonpumpshämmare ges regelmässigt en vecka före och upp till 2 veckor efter ingreppet för att minska risken för skada på magslemhinnan. Kontrast­röntgen av ventrikeln görs ibland inom en vecka för att utesluta läckage. 

Det är viktigt att patienter som genomgår endoskopisk sleeve-gastroplastik ingår i en multidisciplinär uppföljning inkluderande regelbunden kontakt med dietist, psykolog och läkare under det första året och sedan glesare. Det är väl känt att gastroesofageal refluxsjukdom är ett problem associerat med kirurgisk sleeve-gastrektomi [39]. I en ny studie fann man att nyinsjuknande i refluxsjukdom var påtagligt vanligare efter kirurgisk sleeve-gastrektomi (15 procent) än efter endoskopisk sleeve-gastroplastik (2 procent), vilket måste tas med i valet av behandlingsstrategi [34]. 

Endoskopisk sleeve-gastroplastik är en metod under utveckling, och nya typer av sutureringstekniker utvärderas. Till exempel har en ny studie modifierat sutureringstekniken genom att addera två stycken longi­tudinella suturer för att maximera kompres­sionen av ventrikeln [40]. Man fann att denna nya sutureringsteknik ökade viktminskningen jämfört med traditionell endoskopisk sleeve-gastroplastik-suturering [40], vilket indikerar att utvecklingen är pågående, och framtida forskning får definiera hur man ska uppnå mest effektiv viktminskning med metoden.

Det har också föreslagits att endoskopisk sleeve­gastroplastik kan användas efter kirurgisk sleeve­gastrektomi vid viktrecidiv [41]. Det ska nämnas att endoskopisk sleeve-gastroplastik är ett reversibelt ingrepp, och det finns exempel på att patienter som först genomgått endoskopisk sleeve-gastroplastik senare framgångsrikt konverterats till kirurgisk sleeve­- gastrektomi [42, 43]. 

I framtiden vore det önskvärt med en randomiserad studie som jämför endoskopisk sleeve-gastroplastik och kirurgisk sleeve-gastrektomi. 

Bariatriska metoder ska inte bara värderas efter effekt på kroppsvikt utan också efter sina metabola effekter. Data om effekten av endoskopisk sleeve-gastroplastik på störd metabolism är begränsade.

 En studie har visat att 77 procent av fallen med diabetes gick i remission efter 3 månader, och alla fall med hypertoni samt 56 procent av alla fall med dyslipidemi gick i remission efter 12 månader [36]. En annan studie har rapporterat minskade nivåer av HbA1c, serumtriglycerider och ALAT samt sänkt blodtryck 12 månader efter endoskopisk sleeve-gastroplastik [26]. Just nu pågår en randomiserad kontrollerad multi­centerstudie (MERIT-studien) som avser att undersöka effekten på hypertoni och diabetes [44]. 

Konklusion

Behandling av obesitas är en stor utmaning. I dagsläget finns en lucka i behandlingen mellan livsstilsförändring och läkemedelsbehandling samt kirurgisk behandling. Detta tomrum skulle kunna fyllas med nya minimalinvasiva metoder för att åstadkomma långsiktig viktminskning. Endoskopisk sleeve­- gastroplastik är en sådan endoskopisk metod som kan minska kroppsvikten hos personer med obesitas upp till två år efter ingreppet. Framtida forskning måste utvärdera den långsiktiga viktreducerande effekten samt studera effekter på samsjuklighet och mortalitet hos patienter med fetma.

Läs även:
Endoskopiska suturer ger ­ännu fler kirurgiska möjligheter

Figur 1. Schematisk illustration av en konventionell U-sutur (svart). Anterior och posterior gräns i ventrikeln för suturplikationen visas med vita linjer. I princip appliceras 6–8 suturer med 4–8 fullväggstag.

Figur 2. Illustration av hur ventrikelvolymen reduceras efter ESG.

Tabell 1.

Jobb i fokus

Mer att läsa

Mer att läsa