Eruptiva nevi efter injektion av preparat marknadsfört som melanotan II
Strävan hos många efter att bli brun utan UV-strålning har under de senaste åren innefattat användning av de oreglerade preparat som marknadsförs som melanotan I och II, analoger till alfa-MSH (alfa-melanocytstimulerande hormon). Melanotan II ökar hudpigmenteringen och anses dessutom öka libido och ge viktminskning. Det har därför kallats »Barbiedrogen« [1].
Flera varningar utfärdade
Omfattningen av melanotan II-användning är i dag okänd. Preparatet säljs på Internet [2] i form av ett pulver som blandas, doseras och injiceras subkutant [3]. Flera varningar för denna illegala försäljning och användning har utfärdats av både amerikanska och europeiska läkemedelsmyndigheter [2]. Produkten är inte godkänd av någon myndighet i världen [3], och därmed är all försäljning i Sverige olaglig [4]. Varningarna har rört de oreglerade källornas potentiella kemiska orenhet [1]. Läkemedelsverket har påpekat risken för feldosering och att injektion kan leda till bakterieinfektioner och blodförgiftning [4]. Nyligen publicerades tre skandinaviska fall av överdosering av melanotan, resulterande i oro, ångest och förvirring [5]. Flera nya studier rapporterar om snabb pigmentering av preexisterande nevi och utveckling av nya nevi efter användning av melanotan I och II [6-11].
Vi presenterar de två första svenska fallen av multipla eruptiva nevi efter användning av preparat distribuerade som melanotan II; några av dessa nevi visade atypiskt pigmentnätverk vid dermatoskopisk undersökning.
Fall 1
Fallet rör en 36-årig man (hudtyp III, dvs bränner sig sällan och blir oftast brun) med långvarig och regelbunden UV-exponering och utan tidigare anamnes på dysplastiska nevi, som remitterades till hudmottagningen i november 2011 för bedömning av multipla nevi. Ingen känd förekomst av hudcancer eller melanom i släkten uppgavs. Patienten angav att han under drygt ett år hade injicerat ett preparat han beställt via Internet, marknadsfört som melanotan II, och samtidigt solat i solarium två gånger/vecka. Vid fyra tillfällen påbörjade han intensiva kurer med daglig injektion av 0,5 mg under två veckors tid. Däremellan underhöll han det med 1–2 injektioner/vecka. Redan efter en veckas bruk noterade mannen uppkomst av flera nya svarta nevi. Det var viktigt för honom att vara brun, och därför fortsatte han med användningen, trots uppkomst av nya nevi. Patienten uppgav att han inte haft liknande nevi före melanotan II-behandlingen. Den sista intensiva kuren togs två månader före sjukhusbesöket.
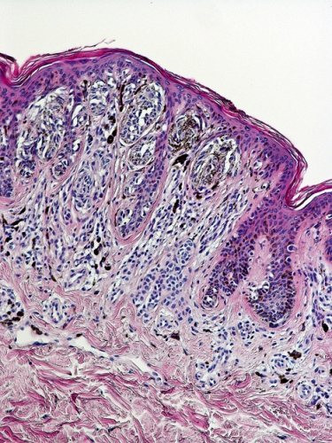
Vid besöket var patienten onaturligt brun för årstiden. Multipla, svarta, välavgränsade nevi, distribuerade över hela kroppen men framför allt i ansikte, hårbotten, bål och övre extremiteter, noterades (Figur 1). Det största och mest aktiva, förmodligen nyuppkommet, på ryggen opererades bort. Mikroskopi avslöjade ett dysplastiskt nevus (Figur 2). Efter läkarbesöket upphörde patienten med injektionerna. Vid kontroll i mars 2012 hade samtliga nevi bleknat och visade benign karaktär vid dermatoskopi.
Fall 2
Fallet rör en 29-årig kvinna (hudtyp III) med långvarig och regelbunden UV-exponering som remitterades till hudkliniken i januari 2012 på grund av ett snabbt ökande antal svarta, atypiska nevi. Ingen känd förekomst av hudcancer eller melanom i släkten uppgavs. År 2006 opererades hon för ett dysplastiskt nevus, men inga suspekta nevi noterades vid kontroll på hudmottagningen 2007. Under perioden oktober–november 2011 tog patienten två kurer av ett preparat som hon uppgav var melanotan II (under 3–4 dagar med injektion av 0,5 mg dagligen). På grund av otillräcklig pigmenteringseffekt solade hon vid ett tillfälle i solarium. I anslutning till novemberkuren noterade hon, närmast över en natt, uppkomsten av flera nya svarta nevi, först i ansiktet och därefter successivt över resten av kroppen. Preexisterande nevi blev större och mörkare. Hon upphörde med injektionerna på grund av illamående och huvudvärk.
Även denna patient var för årstiden onaturligt brun. Vid läkarbesöket noterades multipla, svarta, välavgränsade nevi över hela kroppen med liknande distribution som hos patienten i Fall 1. Ett gammalt nevus på kvinnans bröst som vuxit och ändrat karaktär efter dessa injektioner opererades bort. Vid jämförelse av dermatoskopibilder på detta nevus från 2007 respektive 2012 (Figur 3) kunde en kraftig pigmentökning noteras. Histologi visade dysplastiskt nevus (Figur 4). Vid kontroll i mars 2012 noterades dermatoskopiskt en lätt pigmentavblekning av de flesta nevi. Ett visade dock inga tecken på minskad aktivitet, och man beslutade om operation. Histologi bekräftade dysplasi (Figur 5).
Diskussion
Samtliga nevi hos båda våra patienter bedömdes som onaturligt mörka och pigmentladdade vid första konsultationen. De flesta nevi var av benign karaktär med ett tjockt, brunsvart, homogent, centralt pigmentnät och skarpt avgränsade kanter. Några hade däremot dysplastisk karaktär med ett tjockt, ojämnt pigmentnätverk med antingen brunsvarta ojämnt spridda globuli och/eller s k streaks i periferin.
Liknande fall av eruptiva nevi
Den första beskrivningen av förändringar av preexisterande nevi efter självadministration av melanotan I och II publicerades år 2009 [6]. Det finns i dag ytterligare några fallbeskrivningar av eruptiva nevi, med eller utan atypi [7-11].
En av dessa rapporterar uppkomst av melanom hos en patient som använt melanotan [11]. Man har dock inte kunnat påvisa karcinogen effekt av alfa-MSH-analoger i vare sig in vitro- eller in vivo-studier [1]. Författarna menar emellertid att den snabba förändringen av ett dokumenterat preexisterande nevus efter melanotaninjektioner antyder att det kan finnas en koppling mellan injektionerna och utvecklingen av melanom [11].
Alfa-MSH-analogers verkningsmekanismer
Det är känt att alfa-MSH har en nyckelroll i pigmenteringen av huden [12]. UV-strålning tros aktivera keratinocyter till ökad alfa-MSH-syntes, varefter alfa-MSH binder till melanokortinreceptor 1 på närliggande melanocyter [1]. Melanotan I och II tros imitera alfa-MSH på melanokortinreceptor 1, vilket resulterar i ökad produktion av eumelanin och därmed i ökad hudpigmentering [2].
Den första alfa-MSH-analogen, [Nle4, D-Phe7]-alfa-MSH [12], är ett superpotent melanokortin [1] som syntetiserades i början av 1980-talet. Den har senare kommit att kallas för melanotan I [12]. Studier har bekräftat att denna analog inducerar pigmentering i både närvaro och frånvaro av UV-ljus. Solljus eller UVB har dock visats ge en synergistisk effekt [1].
En kortare cyklisk variant av analogen, kallad melanotan II, har visats öka hudpigmenteringen vid lägre kumulativ dos [12]. I kliniska studier har dock flera bieffekter observerats, såsom illamående och erektion. Dessa antas vara associerade med den ospecifika bindningen till flera olika subtyper av melanokortinreceptorer. Bindning till melanokortinreceptor 2 i mag–tarmkanalen tros orsaka illamående, medan bindning till melanokortinreceptor 3 i hjärnan resulterar i erektion [1].
Potentiell nytta av reglerade alfa-MSH-analoger
Intensiv forskning för att utveckla alfa-MSH-analoger pågår i dag. Kliniska studier har visat att [Nle4, D-Phe7]-alfa-MSH tycks skydda mot solljus. Substansen, döpt till afamelanotid (Scenesse; Clinuvel Pharmaceuticals Ltd, Melbourne, Australien), är alltså ett derivat av melanotan I [12]. Enligt tillverkaren är dess molekylära uppbyggnad förändrad och optimerad jämfört med de oreglerade och illegala melanotanernas. Scenesse verkar specifikt på hudceller och ger därmed varken anorexi eller ökad libido [13].
Afamelanotid utvecklades för behandling av fotodermatoser och repigmentering vid vitiligo [14]. Preparatet administreras som ett riskornstort lösligt implantat under huden. Nyligen har ansökan om godkännande för behandling av erytropoetisk protoporfyri, en genetisk sjukdom som karakteriseras av ljusintolerans, lämnats till European Medicines Agency [15].
Förutom mot hudsjukdomar utvecklas alfa-MSH-analoger med andra indikationer. För närvarande genomgår en melanotan II-metabolit, bremelanotid [2], fas 2-studier mot kvinnlig sexuell dysfunktion. Dessutom utvecklas andra melanokortiner mot fetma och diabetes [16].
Det är sålunda väsentligt att skilja mellan de reglerade preparat som genomgår kliniska studier och de oreglerade och illegalt sålda »melanotanerna« melanotan I och II [12].
Konklusion
Detta är den första fallrapporten om eruptiva nevi i Sverige efter injektion av preparat marknadsförda som melanotan II. Våra två patienter hade vid klinisk och dermatoskopisk undersökning multipla, svarta nevi av framför allt av benign karaktär men några med tecken på dysplasi. Med histologisk diagnostik fastställdes efter operation ett dysplastiskt nevus hos vardera patienten. Vid senare kontroll hade samtliga nevi bleknat hos mannen i Fall 1 men inte lika tydligt hos kvinnan i Fall 2. Ett av hennes nevi visade inga tecken på minskad aktivitet, varför man beslutade om operation. Histologi bekräftade dysplasi.
Artikeln baseras på uppgifter från patienterna samt på klinisk och histopatologisk undersökning. Vi har inte haft möjlighet att kemiskt analysera de preparat som patienterna använt. Patienterna uppgav dock att det preparat de erhållit var melanotan II eftersom det marknadsförts så. Preparatet är oreglerat och olagligt, vilket försvårar insamlingen av information om detaljer kring inköpen.
Oväntad solbrunhet bör väcka misstanke
Läkare bör vara uppmärksamma på användning av självadministrerat och oreglerat melanotan. Användning kan misstänkas vid oväntad solbrunhet med snabb uppkomst av nya pigmentnevi eller mörkare färg i befintliga sådana. Patienterna bör aktivt utfrågas då de kan vara mindre villiga att självmant redogöra för sin melanotananvändning.
Läkare bör vara medvetna om att dessa medel kan komplicera den kliniska bedömningen hos patienter med pigmenterade förändringar. De eruptiva nevi som observerades hos våra patienter var starkt pigmentladdade och kunde lätt misstolkas som atypiska. Man bör vara uppmärksam på att det bland dessa emellertid kan förekomma atypiska nevi, som hos våra två patienter.
Såvitt vi känner till är det oklart om det bland användare av melanotan finns sådana som löper större risk för utveckling av dysplastiska nevi eller rent av malignt melanom. Huruvida de dysplastiska nevi funna hos våra patienter var en konsekvens av deras riskprofil med solningsvanor, är likaså oklart. Man bör avråda från all användning av oreglerade melanotaner, och vid eventuellt bruk av melanotan ska patienten informeras om riskerna.
*
Potentiella bindningar eller jävsförhållanden: Inga uppgivna.








