Frontotemporal demens heterogen sjukdomsgrupp
Frontotemporal demens är en kliniskt heterogen grupp av demenssjukdomar som drabbar den främre delen av hjärnan. Det finns i nuläget ingen specifik behandling för frontotemporal demens, däremot har olika symtomatiska behandlingar prövats.
Sambandet mellan fokal atrofi av temporalloberna och demens med afasi beskrevs redan 1892 av psykiatern Arnold Pick. Några år senare beskrev Pick även ett fall med kraftig atrofi i båda frontalloberna (1906). Alois Alzheimer (1911) var den förste som histopatologiskt beskrev denna demenssjukdom med grav frontallobsatrofi, som kom att kallas för Picks sjukdom [1]. Picks sjukdom kom senare att begränsat definiera en specifik histopatologisk bild med neuronala inklusionskroppar och cellförändringar (Pickkroppar och Pickceller). Picks sjukdom är ovanlig och representerar en minoritet av patienterna med frontotemporal demens (FTD). På 1980-talet beskrev forskargrupper i Lund och Manchester demenspatienter som vid neuropatologisk undersökning uppvisade frontotemporal degeneration utan de typiska kännetecknen för Picks sjukdom (frontallobsdegeneration av icke-alzheimertyp) [2, 3], vilket blev upptakten till de senaste decenniernas intensiva forskning kring frontotemporala demenssjukdomar.
Frontotemporal demens är en kliniskt heterogen grupp av demenssjukdomar som drabbar den främre delen av hjärnan, det vill säga pannlober och främre tinninglober. FTD är mindre vanlig än Alzheimers sjukdom (AD) och vaskulär demens (VaD) och står enligt neuropatologiska studier för cirka 4–10 procent av samtliga demenser [4, 5]. Bland demenser med debut före 65 år är siffran betydligt högre, drygt 20 procent [6, 7]. Hereditet för liknande demenssjukdom förekommer hos cirka 40 procent av de patienter som insjuknar [8, 9], och ett antal bakomliggande genetiska mutationer har beskrivits [10].
Nomenklaturen och indelningen av de frontotemporala demenserna är snårig, och flera försök till undergruppering och nya benämningar har gjorts. 1994 publicerades ett första kliniskt och neuropatologiskt konsensusdokument [11], där det kliniska syndromet frontotemporal demens delades in i tre undergrupper av specifika neuropatologiska typer: frontallobsdegeneration, Picks sjukdom och frontallobsdegeneration med motorneuronsjukdom. 1998 presenterades en vidarebearbetad version av de kliniska kriterierna [12], där det kliniska syndromet frontotemporal lobär degeneration (FTLD) introducerades och delades in i FTD, progressiv icke-flytande afasi (PNFA) och semantisk demens (SD). Även dessa kriterier är nu på väg att revideras.
Beteckningen FTD används i Sverige vanligen som benämning både för det kliniska syndromet frontotemporal demens och för sjukdomens neuropatologiska korrelat. I engelskspråkig litteratur används ofta beteckningen FTLD som synonym till den kliniska övergripande termen FTD. Nya forskningsfynd inom området gör att ytterligare ett par diagnoser, kortikobasal degeneration (CBD) och ofta även progressiv supranukleär paralys (PSP), numera vanligtvis räknas in i FTD-komplexet [13, 14]. Många väljer emellertid att se CBD och PSP som angränsande syndrom. Som kontrast till sjukdomstyperna med dominerande språklig eller motorisk-neurologisk störning har FTD på senare tid specificerats som FTD-beteendevariant (FTD-bv) [15].
Såväl ärftlighet som insjuknandeålder och sjukdomsduration skiljer sig sannolikt åt mellan olika subgrupper av FTD, även om detta fortfarande är otillräckligt undersökt. Demografiska data skiljer sig åt mellan olika studier, men medeldebutåldern ligger oftast mellan 50 och 60 år. Patienter med FTD-beteendevariant tenderar att vara något yngre än patienter med primär progressiv afasi (PPA), som är ett samlingsbegrepp för progressiv icke-flytande afasi och semantisk demens. Åldersspridningen är dock stor, och debutåldern kan variera från 30 till 84 år [16]. Hög ålder utesluter således inte FTD. Kanske är det till och med så att det föreligger en underdiagnostik i högre åldrar då symtombilden ofta är diffus och ibland misstolkas som vaskulär demens eller Alzheimers sjukdom. Även durationen varierar, från ett par år upp till 25 år [16]. Än så länge vet vi endast lite om prognostiska faktorer, men fokala neurologiska symtom vid sjukdomsdebuten talar för ett snabbare förlopp [17].
Gemensamt för sjukdomarna inom FTD-komplexet är en progressiv neurodegenerativ process som kliniskt karaktäriseras av personlighetsförändring, beteendesymtom och kognitiv dysfunktion. Språkstörning och motoriska symtom är också vanligt förekommande. Det finns en betydande överlappning mellan de olika undergrupperna, både kliniskt och neuropatologiskt. Det är därför viktigt att tydligt ange huruvida det är ett kliniskt syndrom, den neuropatologiska bilden eller den associerade molekylärgenetiska defekten som avses. Vi kommer att presentera de olika kliniska varianter som ses, därefter den neuropatologiska bilden med molekylärgenetiska aspekter och slutligen diskutera behandling något.
FTD-beteendevariant, klassisk pannlobsdemens
På ett tidigt stadium domineras sjukdomsbilden av förändringar kopplade till frontallobernas funktioner. Karaktäristiska drag är dels en smygande och långsamt progredierande personlighetsförändring med tidig förlust av sociala relationer, dels försämrad kontroll av personligt uppträdande, emotionell avtrubbning och insiktsförlust. Vanligt förekommande symtom är också försämrad personlig hygien, bristande flexibilitet, distraherbarhet, förändrat matbeteende, perseverativt och stereotypt beteende samt ett så kallat användarbeteende. Till detta kommer ofta ett ospontant och stereotypt tal (samma ord och meningar upprepas) (Fakta 1). Neurologiska fynd kan bland annat vara förekomst av primitiva reflexer (till exempel grip-, sug-, trut- och palmomentalreflexer), se stödjande kriterier i fakta 1 [3, 12].
Symtombilden är ofta av sådan karaktär att den initialt inte självklart relateras till sjukdom. Anhöriga försöker ibland finna andra förklaringar till personlighetsförändringen. När patienterna väl kommer i kontakt med sjukvården möter de ofta företagshälsovården, primärvården eller psykiatrin. I tidigt skede feldiagnostiseras många patienter och bedöms ofta ha mani/depression eller psykos [16].
Primär progressiv afasi
Vid primär progressiv afasi är de tidiga och dominerande symtomen en progressiv förändring i språklig funktion, medan beteendesymtom debuterar senare. Språksvårigheter ska ha varit dominerande under cirka två år [18]. Man skiljer på två varianter av progressiv språkstörning: semantisk demens och progressiv icke-flytande afasi. Dessa patienter söker inte alltid primärt på minnesmottagningar utan kanske hos logoped eller neurolog. Det är viktigt att poängtera att språkstörningar inte sällan uppträder även vid andra neurodegenerativa tillstånd, inte minst Alzheimers sjukdom [19].
Patienter med semantisk demens har länge ett flytande och grammatiskt korrekt språk. De förlorar dock tidigt och gradvis förmågan både att benämna och att förstå innebörden av enskilda ord. Senare i förloppet tillkommer en beteendeförändring (Fakta 2) [20]. Känneteckande för progressiv icke-flytande afasi är att patienterna gör fonologiska och grammatiska fel. Språket är trögt och mödosamt (Fakta 3).
FTD med motorneuronsjukdom
Redan runt förra sekelskiftet rapporterades fall av motorneuronsjukdom (MND)/amyotrofisk lateralskleros (ALS) kombinerat med psykiatriska och kognitiva symtom. På senare tid har allt mer uppmärksamhet riktats mot överlappningen mellan motorneuronsjukdom och FTD. Upp emot 50 procent av patienter med ALS drabbas av kognitiv svikt förenlig med frontotemporal dysfunktion, ibland av demensvalör [21]. Det är inte heller ovanligt att FTD-patienter under sjukdomens förlopp utvecklar motorneuronsjukdom, det vill säga tilltagande muskelförtvining och förlamning sekundär till undergång av motoriska ryggmärgsneuron. Förekomst av motorneuronsjukdom vid FTD ger ett snabbare sjukdomsförlopp [22]. I en studie där man gjort EMG på FTD-patienter uppfyllde 3 av 20 kriterierna för definitiv MND, och ytterligare 6 mötte kriterierna för möjlig MND [23]. Enligt vår egen studie ses neuropatologiska MND-drag hos många FTD-patienter utan känd motorneuronsjukdom [Landqvist et al, opubl].
Kortikobasal degeneration
Kortikobasal degeneration (CBD) och progressiv supranukleär pares (PSP) har under senare år kommit att räknas in i FTD-komplexet. Dessa båda sjukdomar ingår också i de så kallade Parkinson plus-sjukdomarna eller atypiska parkinsonistiska syndrom tillsammans med multipel systematrofi (MSA) och Lewykroppsdemens.
Den kliniska presentationen vid CBD varierar, och diagnosen är ofta svår att ställa. Debutsymtom kan vara progressiv asymmetrisk rigiditet (svarar ofta dåligt på L-dopa), apraxi, icke-flytande dysfasi, visuospatiala svårigheter, kortikala sensoriska störningar såväl som beteendesymtom. Ett speciellt, ibland förekommande symtom kallas alien limb (känsla av att till exempel en hand inte är en del av kroppen, ibland med förekomst av ofrivilliga rörelser) [24]. Myokloni och dystoni kan förekomma. Kognitiva symtom varierar från relativt lindriga till uttalad demens med tecken på kortikal och subkortikal påverkan. Det kortikala engagemanget begränsar sig inte till frontotemporala områden utan involverar även andra delar av hjärnan.
Progressiv supranukleär paralys
Näst efter Parkinsons sjukdom är PSP den vanligaste sjukdomen med parkinsonism tidigt i förloppet. Till skillnad från vid Parkinsons sjukdom är parkinsonismen oftare av hypokinetisk/rigid typ, och tremor är ovanligt. Svaret på L-dopa är ofta dåligt eller snabbt övergående.
Neurologiskt karakteriseras PSP av progredierande vertikal blickpares, minskande blinkfrekvens, ögonlocksapraxi, tidiga balansbesvär, axial rigiditet samt tal- och sväljproblem [25]. Ofta ses tidiga kognitiva symtom förenliga med frontal påverkan. I cirka 20 procent av fallen är förändringar i beteende och kognition de första sjukdomssymtomen, först senare utvecklas parkinsonism [26].
Utredning och diagnostik
Det är ofta svårt att ställa korrekt diagnos i ett tidigt skede vid de frontotemporala demenssjukdomarna, särskilt då debuten är smygande och symtomen diffusa. Den kliniska diagnosen baseras i första hand på de symtom som beskrivs. Anamnes från anhöriga är oerhört viktig. Den neuropsykiatriska undersökningen bygger framför allt på en noggrann analys av patientens sjukhistoria och ett psykiatriskt och neurologiskt status. I neurologstatus är det viktigt att bland annat titta efter tecken på parkinsonism, motorneuronsymtom och primitiva reflexer. Ytterligare undersökningar som kan vara till stöd i utredningen bör utföras. Det är inte minst viktigt att utesluta olika differentialdiagnoser, som till exempel frontal hjärntumör, cerebrovaskulära lesioner och andra neurologiska eller psykiska sjukdomar, av vilka flera är bot- eller behandlingsbara. Misstänkt FTD bör i första hand utredas av specialist inom området demenssjukdomar.
Vid misstanke om FTD-sjukdom ska hjärnavbildande undersökning utföras, i första hand MR. Frontotemporal atrofi kan stödja diagnosen, men avsaknad av atrofitecken på DT och MR utesluter inte FTD. Mätning av hjärnblodflöde och metabolism med SPECT (enfotonstomografi) respektive PET (positronemissionstomografi) kan i vissa fall påvisa frontotemporal patologi innan atrofi i samma område blir uppenbar.
Neuropsykologisk undersökning. Neuropsykologisk utredning bör användas speciellt för tidig diagnostik och för diferentialdiagnostik mot andra demenssjukdomar och psykiska sjukdomar som depression och psykos. Vid FTD-beteendevariant ses först förändringar av personlighet och beteende. En neuropsykologisk utredning visar vanligen en försämrad uppmärksamhet, bristande flexibilitet, svag uthållighet, försämrad planering och försämrad exekutiv förmåga.
I den kliniska kontakten märks avvikelser i uppförande och bristande insikt. Språkliga störningar förekommer; språket blir torftigt med förlust av beskrivande ord/uttryck, och neologismer kan tillkomma [19]. Det märks brister i förståelsen av abstrakta ord/begrepp. Perseverationer och stereotypier är vanliga i tal såväl som i skrift. Orientering och visuospatial förmåga är bättre bevarade, även vid framskriden sjukdom.
Vid testning av inlärnings- och minnesförmåga ses ofta en mycket varierande prestation från gång till gång. Det kan vara lätt att underskatta en patients minneskapacitet beroende på brister i koncentration och/eller motivation.
Vid semantisk demens är det första kliniska symtomet tilltagande svårigheter att benämna föremål och komma på rätt ord [27]. Relativt snart tillkommer sviktande ordförståelse och försämrad begreppsuppfattning. Patienten har ett flytande tal och korrekt meningsbyggnad, vilket gör att bristerna initialt inte alltid märks i dagligt tal. Repetition av ord och meningar, liksom läsning och skrivning, går bra i tidiga stadier.
Språksvårigheterna kommer tydligt fram i standardiserade benämningstest och test på verbalt flöde samt i uppgifter där man ska finna associationer mellan olika föremål. Det självbiografiska minnet är bra, men när minnesförmågan testas kan resultatet vara svagt på grund av de språkliga bristerna. Prosopagnosi (försämrad förmåga till igenkänning av ansikten) kan uppträda tidigt. Orientering och visuospatial förmåga är bättre bevarade.
Vid progressiv icke-flytande afasi framkommer de typiska språksvårigheterna redan i ett vanligt samtal. Talet är trevande med tendens till stamning och innehåller grammatiska fel och problem med ljudstruktur; patienten har svårigheter med meningsbyggnad och kastar om eller byter ut talljud [28]. Vid benämningstest ses nedsatt förmåga, patienten har oftast kunskap om vad som är rätt ord men har svårigheter att få fram det. Språksvårigheterna märks tydligt när patienten ska repetera ord och meningar, liksom vid läsning och skrivning. Förståelsen av ord och begrepp är länge god. Perceptuell och visuospatial förmåga är bäst bevarad.
Blod och neurokemi. Sedvanliga laboratorieprov inklusive bland annat blodstatus, elektrolyter, tyreoideastatus, B12, folat, homocystein, vid misstanke även infektionsprov, (Borrelia, lues, HIV), bör kontrolleras för att utesluta differentialdiagnoser, se ABC-artikel i detta temanummer.
Lumbalpunktion och analys av cerebrospinalvätskan bör ingå vid utredning av misstänkt FTD, inte minst för att utesluta annan behandlingsbar orsak. Hittills har man inte identifierat några FTD-specifika markörer, och likvoranalysens värde i diagnostiken är inte lika påtagligt som vid AD. Ett högt neurofilamentvärde talar för snabb neurodegeneration, till exempel FTD-MND. Normalt neurofilament utesluter där-emot inte FTD-sjukdom. Övriga hjärnskademarkörer är ofta ospecifika, total-tau är normalt eller lätt förhöjt, fosfo-tau är ofta normalt, beta-amyloid normalt eller lätt sänkt [29].
Förloppsaspekten är viktig, och ofta ställs diagnosen inte vid första besöket. Liksom för andra demenssjukdomar kan definitiv diagnos aldrig ställas under livet, utan neuropatologisk undersökning krävs.
Neuropatologi och molekylärgenetiska aspekter
Vid FTD har hjärnan i många fall normal storlek och form trots en uttalad klinisk demensbild. I andra fall syns vidgade fåror mellan avsmalnade vindlingar frontalt, ibland även temporalt (Figur 1). Vaskulära skador är sällsynta.
Mikroskopisk undersökning visar en utbredd men varierande svår nervcellsundergång i hjärnbarken frontalt och temporalt, men inga plack och neurofibrillära nystan av alzheimertypisk form. Vanligen finner man en viss sidoasymmetri i någon region, temporalt eller frontalt. Vitsubstansen är ofta engagerad, i varierande svårighetsgrad och utbredning [30, 31].
Neuropatologiskt delas FTD in i flera grupper som till stor del motsvarar de nämnda kliniska entiteterna, dock inte helt. FTD (FTD-bv) med specialformen Picks sjukdom, FTD-MND, liksom CBD och PSP, uppvisar ofta avgränsande vävnadstypiska särdrag, där den patologiska bilden svarar mot den ställda kliniska diagnosen. Av dessa kan de kliniska diagnoserna FTD-bv, CBD och PSP emellertid svara mot ett flertal patologier (Fakta 4). De afasipräglade sjukdomsformerna PNFA och SD motsvarar neuropatologiskt en rad sjukdomar (Fakta 4) och har alltså inte en given motsvarighet i en viss hjärnpatologi.
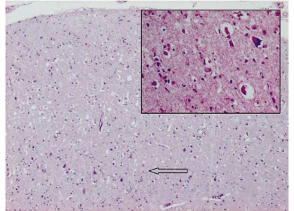
Mikroskopiska fynd. Patologin vid FTD har paradoxalt nog som »karaktäristiskt« drag att vara relativt lindrig och ospecifik, vilket speglas i en diskret nervcellsuttunning i hjärnbarkens yttre tre lager (Figur 2). I vissa fall begränsas degenerationen till frontala områden (lateralt eller på undersidan, frontoorbitalt), i andra fall är den lindriga kortikala skadan utbredd inom stora delar av temporalloberna och når även parietallobernas främre delar. Framträdande är en degeneration inom det limbiska komplexet, speciellt främre cingulum [2, 32].
Man skiljer på de fall som uppvisar patologiskt tau-protein och de som är tau-negativa. Många tau-negativa fall har istället ubikvitininklusioner, men vissa är både tau- och ubikvitin-negativa. I några av de tau-positiva FTD-fallen ses en svår hjärndegeneration, liknande den aggressiva bilden vid Picks sjukdom. Vid den senare framträder en skarpt avgränsad destruktiv hjärndegeneration, med tau-positiva neuronala inklusioner och specifika degenerationsfenomen, så kallade Pickkroppar respektive Pickceller, i en skrumpnad hjärna som i vissa fall har förlorat hälften av sin ursprungliga vikt (ner till cirka 700 gram).
FTD-MND har enligt hittills publicerade studier regelmässigt en tau-negativ bild med ubikvitinpositiva neuronala inklusioner. Nyligen har ett DNA-bindande protein (TDP-43) identifierats som ett nyckelprotein hos ubikvitininklusionerna vid FTD och FTD-MND. Den cerebrala degenerationen är vanligen lindrig och frontal, med tillägg av en sjukdomstypisk degeneration av motoriska framhornsneuron i ryggmärgen och i en del hjärnstamskärnor, bland annat hypoglossuskärnan. Dessa skador svarar mot muskelförtvining, muskelsvaghet och sväljningssvårigheter.
Vid CBD är neuropatologin oftast tau-positiv med karaktäristiska trådliknande depositioner i grå och vit substans, liksom nervcellsförlust i kortex, i basala ganglier och i substantia nigra [10, 33]. Vid PSP ses många likheter med CBD, plus tau-positiviteter i neuron, så kallade globoida neurofibrillära nystan. Flera av hjärnstammens neuron är engagerade, liksom basala ganglierna, medan frontal- och temporalkortex drabbas senare i förloppet, i överensstämmelse med kliniska demenssymtom som uppträder efter en tids neurologiskt präglad sjukdom.
PNFA-patienter kan ibland uppvisa tau-positiv patologi och visa sig svara mot Picks sjukdom [34] men kan också visa tecken på CBD [14], medan SD-patienter oftare har tau-negativ patologi och neuropatologiskt visar sig ha FTD. Flera fall, i litteraturen och i vår egen patientbas, har uppfyllt de kliniska kriterierna för FTD-bv, medan neuropatologin sedan visat en frontal AD-bild. Omvänt finns det fallbeskrivningar av progressiv amnesi utan beteendesymtom, där den kliniska dia-gnosen var AD, men där neuropatologin talar för ubikvitin-positiv FTD [35]. Den stora heterogeniteten i den kliniska diagnosen CBD avspeglar sig även i den neuropatologiska bilden. Bland dem som kliniskt fått diagnosen CBD kan man neuropatologiskt utöver klassisk CBD-patologi finna bland annat AD, Picks sjukdom och PSP.
Ett antal genetiska mutationer relaterade till FTD har hittills beskrivits. Den först beskrivna var i MAPT-genen på kromosom 17, ett autosomalt dominant tillstånd, vilket associerades med frontotemporal demens och parkinsonism (FTDP-17). Kliniskt och neuropatologiskt kan FTDP-17 likna främst FTD-bv, men även PSP och CBD. På senare tid har man funnit mutationer i tre olika gener (VCP, CHMP2B och PGRN) som kan orsaka demens med ubikvtinpositiva tau-negativa neuronala inklusioner, det vill säga morfologiskt svarande mot FTD, ett tillstånd som också fått benämningen FTLD-U. Förändringar i dessa gener, där PGRN-mutationer är vanligast, representerar en del av ärftliga FTLD-U [10].
Behandling
Det finns i nuläget ingen specifik behandling för frontotemporal demens. Däremot har olika symtomatiska behandlingar prövats i ett 60-tal mindre studier [36]. Några större randomiserade, kontrollerade studier för behandling av psykiska symtom vid frontotemporal demens har inte utförts. SSRI-preparat kan ha effekt vid humörsvängningar och förändrat mat- och ätbeteende hos vissa patienter [37] (klinisk erfarenhet i Lund), även om en annan studie indikerat negativ effekt på minnet vid SSRI-behandling [38].
Bensodiazepiner kan komma ifråga för behandling av starkt hyperaktivt beteende. Behandling med traditionella neuroleptika fungerar som regel dåligt och med risk för biverkningar. För behandling av de motoriska symtomen vid CBD och PSP brukar L-dopa prövas i första hand, i individuella fall kan amantadin ha viss effekt [39].
Omhändertagandet bör i första hand koncentreras på bemötandet av patienten. Miljön bör anpassas så att patienten kan utnyttja kvarvarande funktioner baserade på individens bakgrund och personlighet. I vården av den drabbade är det viktigt att familjen involveras med kontinuerlig information, tillgång till samtal, avlastning och rådgivning [40].
*
Potentiella bindningar eller jävsförhållanden: Inga uppgivna.






