Gå till innehållet
Gå till startsidan

Denna webbplats vänder sig till läkare

Sök

Halsryggsskador fortfarande ett problem trots välkända risker

Läs artikel som PDF

En fraktur i halsryggen är en allvarlig skada. En fördröjd eller missad diagnos kan medföra katastrofala följder för den enskilda patienten med bestående neurologiska bortfall, som ofta också medför en betydande funktionsförlust. Utöver den enskildes lidande är samhällskostnaden för var och en av dessa skadade patienter hög.

Vi har identifierat händelser efter halsryggstrauma som anmälts till Socialstyrelsen under de senaste tolv åren. Syftet har varit att granska och analysera händelseförloppen för att identifiera eventuella gemensamma bakomliggande orsaker till de i flera fall allvarliga vårdskadorna.

Material och metod

I Socialstyrelsens ärendehanteringssystem har vi funnit 34 anmälningar rörande patienter med fördröjd diagnos och behandling av frakturer i halsryggen under åren 2000–2012, varav 30 har anmälts enligt lex Maria. Vi har granskat samtliga dessa ärenden och sammanställt gemensamma särdrag samt de faktorer som bidragit till den fördröjda behandlingen. Vi har också tagit fram årlig nationell statistik över antalet patienter som vårdats på sjukhus för en fraktur i halsryggen samt åldersfördelningen hos dessa patienter.

Resultat

Vid 9 av de anmälda händelserna bedömdes patienten initialt på universitetssjukhus, 20 patienter behandlades på annat sjukhus, 2 patienter sökte på vårdcentral och 3 händelser avser kontakt per telefon med SOS Alarm.

Patienternas medianålder var 63 (17–89) år. De flesta av vårdskadorna drabbade äldre patienter (Figur 1). Nio av patienterna var kvinnor.

I 4 fall hade patienten Bechterews sjukdom, och i 6 fall har man dokumenterat att patienten var etylpåverkad i samband med skadan.

I 14 fall hade patienten skador i de två övre halskotorna (C 1–C 2); 12 patienter hade skador i de två nedre halskotorna (C 6–C 7). De övriga skadorna var lokaliserade till mellanliggande segment. I 1 fall saknas säker nivåangivelse.

I åtminstone 14 fall utvecklade patienterna neurologiska bortfallssymtom efter den initiala läkarbedömningen.

Under tidsperioden 2000–2011 noterades en incidensökning över tiden för patienter som vårdats på sjukhus för en fraktur i halsryggen (Figur 2). Antalet anmälningsärenden till Socialstyrelsen ändrades dock inte signifikant över tiden (n/år = 1, 1, 4, 2, 1, 2, 4, 2, 3, 5, 4, 2, 3).

Fördelningen av dessa patienter i olika åldersklasser uppvisar ett närmast bifasiskt mönster. Det stora flertalet patienter med halsryggsfrakturer som krävt sjukhusvård i Sverige under den aktuella tidsperioden är äldre (Figur 3).

Diskussion

Påvisande och behandling av frakturer i halsryggen har högsta prioritet vid all traumabehandling. I ATLS (advanced trauma life support) hänförs halsryggen till »A«, det vill säga prioriteras tillsammans med säkerställandet av fria luftvägar, eftersom en missad instabil fraktur kan vara direkt livshotande. I en nyligen publicerad nordamerikansk studie av mer än 18 000 traumafall hade 6,7 procent av de skadade en halsryggsfraktur [1]. I en annan studie hade 50 procent av de som avlidit efter trubbigt våld halsryggsskador [2]. Även om dessa traumamaterial sannolikt skiljer sig från ett svenskt, indikerar det tydligt att halsryggsskador är så vanliga och så farliga att de måste beaktas vid alla trauman. Noggrann klinisk undersökning – anamnes och status, kombinerat med DT i tillämpliga fall – påvisar 99,8 procent av alla behandlingskrävande halsryggsskador om patienten medverkar vid undersökningen [3]. Ett problem är dock att allvarliga halsryggsskador kan vara svårdiagnostiserade hos patienter med medvetandesänkning (exempelvis vid skallskada och vid intoxikation), vilket ställer särskilda krav på radiologisk utredning.

I en metaanalys publicerad år 2010 visades DT ha en 87-procentig sensitivitet vid halsryggradsfrakturer i de fall den skadade inte kunde värderas säkert kliniskt på grund av medvetanderubbning, sedering eller närliggande, kraftigt smärtande skador [4]. Mer moderna datortomografer minskar betydligt risken för att behandlingskrävande skador i halsryggsregionen missas [5]. Vid trubbigt våld förekommer det också ligamentskador av allvarlig art utan fraktur, vilket innebär att »vanlig« röntgenundersökning kan leda till en falsk trygghet av att halsryggradsskada inte föreligger [6]. Inte heller magnetkameraundersökning kan med säkerhet påvisa alla allvarliga halsryggradsskador, i synnerhet inte hos barn [7]. Det finns också beskrivet fall där DT-undersökning givit misstanke om att det funnits en halsryggradsfraktur, ledande till lång tids halsryggsimmobilisering, men där senare undersökning med DT visat att den första diagnosen varit fel och immobilisering därmed onödig [8]. Konklusionen av detta bör rimligen vara att bilddiagnostik inte är liktydigt med facit, men en viktig del i en samlad klinisk bedömning.

Emellertid finns det nu också belägg för att »trauma-DT«, det vill säga en standardiserad, systematiskt planerad DT-undersökning som i princip undersöker från topp till tå med möjlighet till mera noggrann undersökning och rekonstruktion av utvalda områden som kräver särskild omsorg (exempelvis halsryggen), minskar risken för missade halsryggradsfrakturer. I ett nordamerikanskt material omfattande 26 264 patienter som undersökts med trauma-DT missades endast 4 fall [9].

Under tidsperioden då de redovisade händelserna i denna genomgång inträffade har tillgängligheten och utnyttjandet av DT-teknik ökat på landets sjukhus och ersatt konventionell röntgen vid utredning av halsryggstrauma.

I Sverige, liksom i andra länder, finns riktlinjer för traumaomhändertagandet, i dag vanligen baserade på ATLS. Det räcker emellertid inte att riktlinjerna nedtecknats; de måste också implementeras och upprätthållas [10].

Utöver omhändertagandet av patienter som skadats vid högenergitrauma finns en stor grupp äldre patienter med frakturer i halsryggen [11]. Av de anmälda händelserna framkommer att flera av dessa skador uppkommit vid ett trauma som gett intryck av att ha varit ringa. Detta gäller speciellt vid samtidig förekomst av predisponerande faktorer som Bechterews sjukdom. Dessutom bör noteras att medelåldern i både det studerade materialet och avseende alla patienter vårdade på sjukhus för halsryggradsskada är hög, vilket innebär att halsryggsskador måste beaktas också hos äldre personer. Mot bakgrund av de aktuella anmälningsärendena kan man identifiera flera risksituationer:

Bristfällig initial undersökning. I 6 ärenden bedömdes den initiala kliniska undersökningen vara bristfällig. Då art och grad av patientens trauma inte tydliggjorts har detta i flera fall medfört att ansvarig läkare inte initialt gjort en adekvat klinisk undersökning med inriktning på en eventuell halskotpelarskada. Riskfaktorer som framkommit är annan samtidig sjukdom som kan påverka patientens allmäntillstånd, kommunikationsförmåga eller medvetandegrad vid undersökningstillfället, som etylmissbruk, tidigare stroke eller diabetes mellitus. Detta har i flera fall medverkat till att handläggningen i varierande grad fokuserats på andra sjukdomstillstånd än det trauma patienten varit utsatt för. En lärdom är att patienter med oklar traumaanamnes och/eller svårigheter att beskriva symtom efter ett känt eller misstänkt trauma bör hanteras enligt traumakonceptet med en systematisk och heltäckande fysikalisk undersökning.

Avsaknad av riktad diagnostisk utredning. I drygt en fjärdedel av fallen (9 ärenden) har den kliniska undersökningen inte medfört någon initial radiologisk utredning med frågeställning halskotpelarskada, trots att flera av de berörda patienterna hade nytillkomna smärtor i halsryggen med rörlighetsinskränkning och i en del fall även neurologiska symtom. En felaktig bedömning av patienten i detta avseende har ofta skett antingen då lokala symtom från nacken inte uppmärksammats, eller då lokala symtom från nacken har tolkats som muskulärt betingade eller orsakade av nackbesvär sedan tidigare. En lärdom av detta är att man inte bör avskriva misstanken om en halsryggsskada och välja en mindre allvarlig orsak utan välgrundade överväganden om man väljer att avstå från en radiologisk utredning. Kliniska undersökningsalgoritmer, som NEXUS (National emergency X-radiography utilization study) och Canadian C-spine rule [12-15], har utvecklats och studerats för förbättrad identifikation av de patienter som ska utredas radiologiskt efter ett trauma som omfattar halsryggen. Huruvida ett sådant förhållningssätt hade säkerställt att en radiologisk undersökning hade kommit till stånd i de aktuella fallen går inte att analysera till följd av otillräcklig dokumentation vid vårdtillfällena.

Bristande information till ansvarig radiolog. Det finns flera faktorer som kan bidra till att den kliniska bedömningen av dessa patienter blir bristfällig. Det är dock inte rimligt att man som ansvarig kliniker förlitar sig på att den radiologiska utredningen är ett överlägset »facit« och att en klinisk undersökning därför inte skulle medföra en ökad diagnostisk säkerhet. Om moderna radiologiska undersökningsmetoder okritiskt tillåts ersätta kliniska undersökningar utan att metodernas begränsningar är tydliggjorda och beaktade uppstår uppenbara patientsäkerhetsrisker. I flera av fallen undersöktes patienten av läkare utan att ryggstatus dokumenterades. Flera patienter remitterades för olika radiologiska undersökningar utan att remitterande läkare tydligt angav vilka omständigheter och undersökningsfynd som låg till grund för de begärda undersökningarna. Det kan finnas en risk att radiologen tolkar en sådan remiss som att patienten vid den kliniska undersökningen saknade signifikanta symtom, vilket i sin tur kan ha en negativ effekt på graden av noggrannhet vid bildgranskningen. Klinikern kan i nästa skede få uppfattningen att ett röntgenutlåtande som anger att det inte syns någon skada helt säkert innebär att det inte föreligger någon skada (falsk säkerhet).

Missvisande radiologiskt utlåtande. Radiologens granskning och utlåtande uppdagades vara missvisande/felaktigt vid eftergranskning av det ursprungliga bildmaterialet i åtminstone 13 ärenden. Ett av de mest frekvent missade tillstånden vid radiologiska undersökningar är frakturer i halsryggen [16]. Vi kan mot bakgrund av de aktuella fallen konstatera att ett stort bildmaterial i kombination med dålig arbetsmiljö eller resursbrist kan öka risken för perceptionsmisstag. Dessutom kan skador inom vissa anatomiska områden vara svåra att upptäcka och det kan föreligga svårigheter att upptäcka en skada vid hypertrofisk benbildning, som vid Bechterews sjukdom. Det är grundläggande för patientsäkerheten att radiologen vid minsta tveksamhet avseende den tekniska kvaliteten eller omfattningen av undersökningen tydligt anger detta i sitt utlåtande. Den låga frekvensen synliga skador bland den stora mängd bilder som tas vid utredning av halsryggstrauma kan medverka till felbedömningar. För patienter med multitrauma kan fokus läggas på andra delar av bildmaterialet om inte informationen från ansvarig kliniker (remissen) speciellt utpekar halsryggen. Ett alltför okritiskt utnyttjande av radiologiska undersökningar skulle därmed kunna ha en paradoxal negativ effekt på patientsäkerheten genom att det kan öka risken för felbedömningar vid bildgranskning.

Bristfällig sammanvägd bedömning. Ansvarig klinikers sammanvägda bedömning av sjukdomstillståndet har i olika hög grad varit bristfällig i flera av de aktuella ärendena. För att kunna upprätthålla en hög patientsäkerhet bör man, i det fall det föreligger en diskrepans mellan sjukdomsbild och uppgivna röntgenologiska fynd, alltid eftersträva en direkt kontakt mellan patientansvarig kliniker och röntgenläkare. Detta för att i samråd besluta om eftergranskning eller eventuell komplettering av befintligt bildmaterial liksom lämpliga utvidgade undersökningar. En frikännande röntgenbild är endast en del i bedömningen av dessa patienter [8, 17]. Det är också väsentligt att patienter, speciellt efter högenergitrauma, genomgår förnyade undersökningar där den kliniska bilden värderas mot genomförda undersökningar, eftersom det inte är ovanligt att skador som förbisetts initialt upptäcks senare i sjukdomsförloppet. Man bör också ha en hög grad av misstanke om en fraktur i halsryggen hos en äldre patient med nytillkomna symtom, även efter ett till synes beskedligt trauma.

De analyserade vårdskadorna utgör det minimala antalet händelser av det aktuella slaget. Det kan under tidsperioden finnas flera likartade händelser som anmälts till Socialstyrelsen och det kan ha inträffat flera händelser som inte anmälts till myndigheten.

Fallbeskrivningar

I följande fallbeskrivningar anges Socialstyrelsens diarienummer inom parentes.

En 70-årig man med Bechterews sjukdom, som tidigare haft en stroke med högersidiga hemisymtom, skadade sig vid ett fall och klagade på smärtor och ömhet i halsryggen. En konventionell röntgenundersökning visade en uttalad förbening med ett kort avbrott i förbeningen i höjd med C 5, men »ingen säker färsk fraktur«. Patienten mobiliserades inneliggande i mjuk halskrage utan några restriktioner. Nästföljande dag tillkom en svaghet i vänster hand och urinretention, vilket tolkades bero på en ny stroke. Patienten blev då skickad på DT-undersökning av skallen, som dock inte visade några aktuella förändringar. Symtomen tilltog och patienten utvecklade en tetraplegi. En ny DT-undersökning, denna gång av halsryggen, påvisade en fraktur med kompression på C 5-nivå. (LM6988/2001)

Kommentar: Ett kort avbrott i förbeningen vid konventionell röntgenundersökning är lika med en fraktur hos en patient med denna sjukdom och anamnes. Initial felbedömning av röntgenundersökningen sker troligen på grund av bristande kunskap om hur fynden ska tolkas.

En patient med Bechterews sjukdom som klagar över nacksmärta, även efter lindrigt trauma, har en fraktur tills motsatsen bevisats. Dessa frakturer, om de är odislokerade, kan för den ovane vara svåra att se även vid DT-undersökning. MR-undersökning kan krävas för att avslöja frakturen. 

En 17-årig pojke som skadat sig under lek på en s k hoppkudde upplevde smärta från halsryggen. Vid ett läkarbesök gjordes en konventionell röntgenundersökning som inte visade något onormalt. Fyra veckor gick och smärtorna var kvar. Vid ett förnyat läkarbesök gjordes en ny slätröntgen som visade en väl synlig fraktur med dislokation C 1–C 2. Vid eftergranskning av bilderna från den första undersökningen, vilka var av god kvalitet, var det inte möjligt att upptäcka frakturen. (AE6642/2002)

Kommentar: Konventionell röntgen har problem att påvisa frakturer i övre och nedre halsryggen. Av den orsaken rekommenderas i dag DT-undersökning vid halsryggstrauma.

En 50-årig man träffades i huvudet av en fallande trädgren och fick en blödande sårskada. Han fördes till sjukhus med ambulans där sårskadan i skalpen suturerades. Patienten klagade även över kraftig ömhet i nacken, men ansvarig läkare bedömde att det rörde sig om tortikollis. Ingen röntgenundersökning genomfördes utan mannen skickades hem. Fem dagar senare återkom patienten med svåra smärtor i huvud och nacke. Vid röntgenundersökning påvisades en dislokerad C 1-fraktur. (LM8055/2002)

Kommentar: Axiellt trauma är en klassisk orsak till Jefferson-fraktur av C 1. Anamnesen talar för att det finns en risk för att halskotpelarskada föreligger.

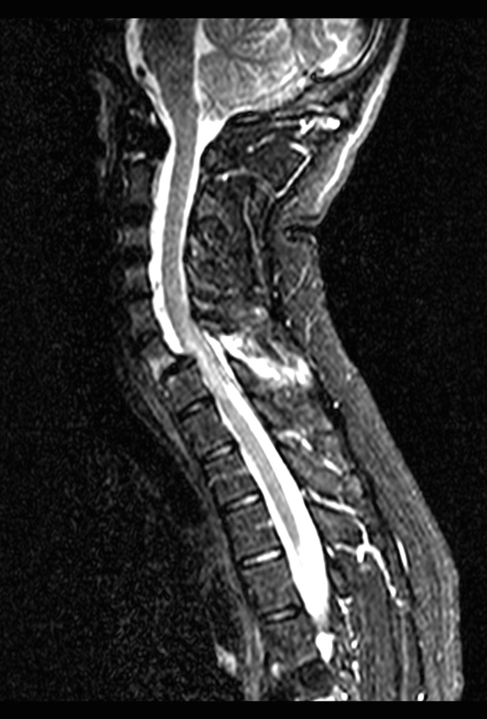
En 19-årig man ankom till sjukhus med multitrauma efter en trafikolycka. Trauma-DT av skalle, halsrygg, kotpelare, torax inklusive klavikel, buk och bäcken begärdes. Ingen fysikalisk undersökning av ryggen dokumenterades. I utlåtandet från DT-undersökning av halsryggen angavs »normalfynd« efter att bildmaterialet hade dubbelgranskats av underläkare och neuroradiolog, båda erfarna. Dagen därpå förelåg ett uttalat nackstatus med rejäl ömhet, men eftersom resultatet av DT-undersökningen hade varit normalt ordinerades fri mobilisering. Patienten genomgick därefter vid två tillfällen kirurgi i extremiteterna under intubationsnarkos!

Efterföljande veckor uppvisade patienten progredierande neurologiska symtom i båda armarna som bedömdes vara orsakade av skador på plexus brachialis. Vid en EMG-undersökning kunde man se tecken på såväl nervrot- som plexusskada. Patientens besvär avtog inte. Två månader senare genomfördes en omfattande undersökning med MR, DT och slätröntgen. Då uppdagades en kraftig dislokation C 6–C 7 (Figur 4). När man sedan gjorde en eftergranskning av materialet från den första DT-undersökningen förelåg en synlig subluxation i en (1) facettled C 6–C 7. (LM10647/2004)

Kommentar: Om man tolkat initialbilderna rätt från början borde patienten genomgått MR-undersökning av halsryggen för kartläggning av skadan inför fortsatt omhändertagande. Initial MR-undersökning hade sannolikt avslöjat ligamentskador talande för instabil skada i halsryggen som krävt stabiliserande operation.

En 65-årig man med Bechterews sjukdom gick upp på natten och ramlade mot ett garderobshörn, dock utan att falla ned på golvet. Han kunde själv förflytta sig till sängen och vaknade sedan på morgonen med smärta i ryggen och »pirrningar« i händer och fötter. Vid ankomsten till sjukhuset gjordes ingen adekvat klinisk undersökning men patienten lades in för observation. En röntgenundersökning av bröst- och ländrygg gjordes utan påvisbara skador. Patienten utvecklade en paraplegi. Han undersöktes då akut med DT av halsryggen. Undersökningen påvisade en ankylos med en odislokerad, instabil C 7-fraktur. (LM4269/2005)

Kommentar: Symtom hos patienter med ankylotisk halsrygg/ankylotisk rygg är lömska, då lindrigt trauma kan ge uttalat instabila skador i kotpelaren. Inte sällan förkommer skador både i halsrygg och i bröst- eller ländrygg. Epidurala hematom på grund av frakturblödning även vid odislokerade skador kan förekomma hos dessa patienter och ge ryggmärgspåverkan. Epidurala hematom avslöjas med MR-undersökning.

En 63-årig kvinna föll i en trappa under kraftig berusning (senare uppmättes 2 promille alkohol i blodet). Ingen adekvat klinisk undersökning gjordes vid ankomsten till sjukhus utan patienten skickades direkt till röntgen. Begärd slätröntgen ändrades till DT-undersökning av ansvarig röntgenolog på grund av patientens »förvirring och oro«. DT-utlåtandet beskrev »normalfynd«. Patienten lades in utan mobiliseringsrestriktioner. 12–15 timmar senare uppvisade hon en tetrapares. En akut MR-undersökning påvisade en luxationsfraktur C 6–C 7 med kraftig dislokation. Vid en eftergranskning av DT-bilderna framträdde starkt misstänkta frakturer med några millimeters dislokation av C 6–C 7. Den ursprungliga granskningen av detta bildmaterial, som var mycket omfattande, hade skett under hög arbetsbelastning under en lunchavlösning. (LM6379/2005)

Kommentar: Risken för felbedömning ökar hos intoxikerade individer på grund av svårigheter att få korrekt anamnes och adekvat status. Neurologiska symtom som inte kan förklaras av gjord undersökning, i detta fall DT, ska utredas med MR-undersökning (vilket gjordes) för att utesluta t ex traumatiska diskbråck, instabila ledbandsskador, epiduralt hematom eller ryggmärgskontusion.

En 80-årig man, sedan tidigare stelopererad i halskotpelaren, ankom till akutmottagning efter ett trauma mot pannan med hyperextensionsvåld i halsryggen. Vid undersökning med slätröntgen och DT noterades ingen skelettskada. Han lades in för mobilisering men var under den nio dygn långa vårdtiden svårmobiliserad på grund av nacksmärtor. Han återgick till hemmet och fick återbesök för en provokationsröntgen efter två veckor. När denna röntgenundersökning skulle utföras hade patienten utvecklat en tetrapares. Vid eftergranskning av DT-undersökningen i samband med skadan konstaterades att det förelåg en synlig luxationsfraktur i halsryggen redan då. Patienten opererades men avled cirka två veckor därefter. (LM31667/2010)

Kommentar: I detta fall var patienten stelopererad i halsryggen, vilket ger en förändrad biomekanik med större hävstångseffekt än i en normal halsrygg. Större skaderisk föreligger i området under fusionen.

En 52-årig etylpåverkad man hade upphittats invid ett staket som han hade fallit över. Han uppgav att han slagit i huvudet och upplevde hur något »knäckte till« i nacken. Han hade blivit liggande hela natten då han var oförmögen att röra sig. Vid ankomsten till akutmottagningen misstänktes en halskotpelarskada då patienten inte kunde lyfta någon av extremiteterna från underlaget. Vid en akut DT-undersökning kunde man inte påvisa någon skelettskada, och den temporära immobiliseringen med halskrage avvecklades. Cirka sex timmar senare noterades parestesier och svaghet i båda armarna. En neurokirurg kontaktades. Denne konstaterade en uttalad tetrapares som enligt patienten varit bestående sedan olyckan. Vid en kompletterande MR-undersökning påvisades en kontusion med svullnad av medullan på nivåerna C 3–C 6. Patienten opererades med laminektomi och bakre fusion. Han överflyttades senare till rehabiliteringsklinik för fortsatt vård och behandling. (LM43277/2011)

Kommentar: Patienten hade tetrapares efter nackskada, vilket sannolikt inte uppmärksammades korrekt vid den initiala kliniska undersökningen. Om tillståndet inte kan förklaras vid bilddiagnostiken ska MR-undersökning göras av halsryggen. MR-undersökningen ska utföras akut vid neurologiska symtom som kan kräva akut kirurgi. Att avlägsna halskragen på grund av »normal DT« hos en patient med tetrapares efter nackskada är inte korrekt. En helt instabil halsrygg kan föreligga på grund av en genomgående ligamentskada.

Sammanfattande klinisk kommentar

Patientens individuella riskfaktorer, klinikerns erfarenhet och initiala bedömning av patienten samt radiologens erfarenhet av bilddiagnostik av halsryggen utgör tillsammans, men även var för sig, riskfaktorer för vårdmisstag vid omhändertagande av halsryggsskador.

Riskfaktorer hos patienten utgörs bl a av högenergetiskt våld, intoxikation/medvetandepåverkan och sjukdomar som påverkar halsryggen/skelettets biomekanik, t ex ankylos och osteoporos.

Klinikern måste vara medveten om de möjliga riskfaktorerna som finns hos patienterna och i övriga delar av vårdkedjan samt även aktivt delta i bedömningen av patienten. En tydlig kommunikation mellan kliniker och radiolog är viktigt.

Val av bilddiagnostisk metod kan vara en riskfaktor om man inte känner dess svagheter, t ex konventionell röntgens bristande diagnostiska säkerhet i övergångarna mellan skallbas och halsrygg samt mellan hals- och bröstrygg. Konventionell röntgen kan kompletteras med DT-undersökning av övergångsregionerna, alternativt undersöker man hela halsryggen från början med DT. Dagens moderna datortomografer med täta snitt ger mycket stor diagnostisk säkerhet av frakturer och felställningar om radiologen har nödvändig kunskap.

Vid misstanke om ligamentskador fortsätter utredningen med MR-undersökning, vilket ofta kan ske dagtid. Om det föreligger neurologiska bortfall i extremiteter vilka inte förklaras av den initiala undersökningen ska MR oftast utföras akut eftersom behandlingsbart tillstånd i halsryggen kan föreligga.

Kliniska kommentarer av Leif Anderberg, överläkare, neurokirurgiska kliniken, Skånes universitetssjukhus, Lund

Potentiella bindningar eller jävsförhållanden: Inga uppgivna.

Granskade ärenden, Socialstyrelsens diarienummer: 11679/2000, 6988/2001, 3801/2002, 6642/2002, 6925/2002, 8055/2002, 546/2003, 1780/2003, 10647/2004, 4269/2005, 6379/2005, 1633/2006, 2112/2006, 5052/2006, 6035/2006, 859/2007, 986/2007, 5664/2008, 5816/2008, 10714/2008, 377/2009, 2342/2009, 7380/2009, 12883/2009, 13571/2009, 6213/2010, 31667/2010, 37455/2010, 26760/2010, 8748/2011, 43277/2011, 1289/2012, 13775/2012, 26790/2012.

Figur 1. Antal anmälningsärenden 2000–2012 indelat efter patienternas ålder vid skadetillfället.

Figur 2. Antal patienter som sjukhusvårdats för en fraktur i halsryggen under åren 2000–2011.

Figur 3. Antal patienter som vårdats på sjukhus för en fraktur i halsryggen under åren 2000–2011 indelat efter patienternas ålder vid skadetillfället.

Figur 4. MR-undersökning två månader efter skadetillfället påvisade en dislokation med ryggmärgspåverkan på C 6–C 7-nivå.

Jobb i fokus

Mer att läsa

Mer att läsa