Gå till innehållet
Gå till startsidan

Denna webbplats vänder sig till läkare

Sök

Handläggning av malaria – ur ett svenskt perspektiv

Läs artikel som PDF

Malaria är en potentiellt allvarlig infektion där tid till rätt behandling kan vara avgörande för utfallet. Denna översikt fokuserar på den akuta handläggningen av malaria ur ett svenskt perspektiv. 

Epidemiologi

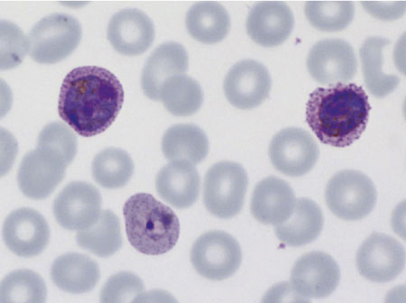
Malaria sprids fortsatt i stora delar av tropiska och subtropiska områden, framför allt i Afrika söder om Sahara men även i Asien, Oceanien och Sydamerika [1]. De Plasmodium-arter som orsakar malaria hos människor är P falciparum, P vivax, P ovale, P malariae och P knowlesi (Figur 1). P knowlesi har makaker som naturliga värdar och överförs till människor främst i anslutning till skogsområden i Sydostasien. Även andra arter som infekterar apor kan ibland spridas till människor, såsom nyligen i ett utbrott av P simium i Brasilien [2].

Under det senaste decenniet har det globalt skett en påtaglig minskning av antalet malariafall tack vare bland annat omfattande utdelning av myggnät [3]. Minskningen verkar dock ha avstannat och WHO uppskattar att 219 miljoner malariafall och 435 000 dödsfall inträffade under 2017. Merparten av dödsfallen beror på P falciparum och drabbar barn under 5 år boende i Afrika söder om Sahara [3]. 

I Sverige är malaria en sällsynt sjukdom, och under 2017 anmäldes 150 fall [4]. Antalet malariafall har dock varierat över tid (mellan 85 och 354 fall per år under 2010–2017). Både svenska resenärer och personer med ursprung i malariaområden drabbas. Överlag är P falciparum den vanligaste arten, och de flesta har smittats i Afrika [5]. Under 2014 och 2015 ökade antalet malariafall kraftigt med ett stort antal P vivax-fall hos nyanlända eritreaner [6, 7].  

Handläggning

Vid feber efter vistelse i tropiska områden bör malaria alltid misstänkas och handläggas akut (Fakta 1). Malaria har visats vara en av de vanligaste orsakerna till feber efter resa till något endemiskt land, men febern kan bero på ett stort antal andra agens med olika allvarlighetsgrad, smittsamhet och geografisk utbredning [8]. Tropisk feber handläggs därför företrädesvis av eller i nära samråd med infektionsläkare. 

Misstänkt malaria bör inte handläggas inom primärvården på grund av risk för fördröjd diagnos som kan leda till utveckling av allvarlig malaria [9]. I ett stort svenskt material från 1995–2015 med 2 653 fall uppgick andelen med diagnos försenad ett dygn eller mer till 19 procent och var särskilt hög hos barn i åldrarna 0–5 år, där andelen uppgick till 37 procent [44]. I en stor genomgång av malaria diagnostiserad i Storbritannien sågs en högre mortalitet bland fall handlagda i regioner där malaria sällan handläggs [9]. 

Anamnes

Patienter med feber ska tillfrågas om eventuell utlandsvistelse och särskilt om vistelse i länder där malaria kan finnas. Inkubationstiden är minst 7 dagar och oftast ca 2 veckor, men kan vara längre; i mer sällsynta fall har inkubationstider på månader och upp till flera år beskrivits [10, 11]. Rekommendationen är att malaria ska uteslutas vid feber som uppstår inom 3 månader efter hemkomst från ett malariaområde, men även efter längre tidsintervall bör malariadiagnostik övervägas i en feberutredning; oftast rör det sig då om icke allvarliga former. 

Sjukdomsbilden liknar vanligen ett viralt insjuknande med muskelvärk, illamående och huvudvärk. Symtomen kan dock vara vilseledande med exempelvis luftvägsbesvär, hosta, halsont, buksmärtor och diarréer [12]. Framför allt hos barn kan detta leda till fördröjd diagnos [13]. Periodisk feber och frossa med 2–3 dagars intervall förekommer, men febern är ofta mer oregelbunden [12]. 

Epidemiologisk anamnes är viktig för att optimera behandlingen och ska innefatta geografisk vistelseort, hur länge och när patienten vistats i området och under vilka former. Uppgifter om malariaprofylax ska efterfrågas, men intag av profylaktiska läkemedel utesluter inte malaria [12]. Dessutom kan, trots fullgod profylax, infektioner orsakade av P vivax och P ovale uppkomma flera månader efter exponering då samtliga nuvarande profylaxregimer saknar effekt på kvarvarande malariaparasiter, hypnozoiter, i levern [14]. 

Allvarlig malaria drabbar främst icke-immuna individer såsom små barn och resenärer till malariaområden, men även gravida och splenektomerade. Bland vuxna resenärer från icke-endemiska länder är förekomsten av allvarlig malaria och mortaliteten högst hos personer över 65 år [15]. I det svenska materialet från 1995–2015 var andelen P falciparum-fall med allvarlig malaria 9 procent och högst hos barn ≤ 5 år (20 procent) samt äldre ≥ 60 år (26 procent) [44].

Vidare bör kroniska sjukdomar efterfrågas. I en nyligen publicerad svensk studie visade sig underliggande sjukdomar, främst hiv, diabetes och fetma, ge en ökad risk för allvarlig malaria [16].

Dödligheten i malaria är låg i Sverige. I det svenska materialet förekommer 4 dödsfall hos de 2 653 diagnostiserade fallen som ingick i studien; troligen finns det några fler icke rapporterade dödsfall. Samtliga dödsfall orsakades av P falciparum. 

Uppgifter om födelseland och eventuell tidigare genomgången malaria är av visst värde, men det går inte att avgöra hur immun en patient är. Hos personer som bor i endemiska områden förvärvas immuniteten gradvis efter upprepad exponering och ger lindrigare sjukdomsförlopp. Immuniteten avtar dock relativt fort om individen flyttar från det endemiska området, vilket medför att personer som besöker det forna hemlandet eller andra malariaområden har en hög risk för malariainfektion, inte minst på grund av låg användning av profylax [12]. Dessutom verkar risken för allvarlig malaria öka efter många års boende i ett malariafritt område som Sverige [17]. Individer från högendemiska områden kan även vara bärare med låggradig parasitemi utan uppenbara symtom [18]. 

Status

Några särskilda fynd i status som talar för malaria finns inte. Förhöjd temperatur förekommer inte alltid vid undersökningen; endast hos ca 70 procent i det svenska materialet konstaterades feber på akutmottagningen. Medvetandepåverkan, kramper, koagulationsrubbning med blödningar, organpåverkan som ikterus eller njursvikt samt cirkulationssvikt är viktiga fynd som talar för allvarlig malariainfektion. Allvarlig malaria klassificeras enligt WHO (Fakta 1). Sekundär bakteriemi och sepsis kan förekomma, men är ovanligt i Sverige hos resenärer [19]. 

Allvarlig malaria orsakas främst av P falciparum men kan även förekomma vid infektion med de andra arterna [10]. En stor andel allvarlig malaria orsakad av P vivax sågs bland nyanlända migranter 2014–2015 [7]. Vad gäller P falciparum förklaras de allvarliga symtomen till stor del av att parasiten infekterar erytrocyter oavsett mognadsgrad, vilket leder till höga parasitnivåer. En annan viktig virulensfaktor är P falciparum-parasitens förmåga att vidhäfta den infekterade erytrocyten till endotel i kapillärer, så kallad sekvestrering, och även till icke-infekterade erytrocyter, så kallad rosettering [20]. Dessa mekanismer ger försämrat blodflöde i små blodkärl med acidos och organpåverkan som följd.

Diagnostik

Malariadiagnostik ska utföras skyndsamt och besvaras inom 2 timmar vid feber eller andra misstänkta symtom efter vistelse i malariaendemiskt område, oavsett om patienten fått profylax eller inte [21]. Parasitologisk diagnostik med mikroskopi och snabbtest är de primära metoderna i akutskedet. Mikroskopi av blod ska utföras för att ge konklusiv diagnos och görs på de flesta sjukhus på mikrobiologiskt laboratorium under kontorstid. Under jourtid vilar diagnostiken oftast på infektionsjour. På vissa sjukhus görs diagnostiken helt på infektionsklinik. Förutom påvisande av parasiter och artbestämning görs för P falciparum och P knowlesi parasiträkning som vägledning om allvarlighetsgrad samt för att utvärdera behandlingseffekt. Övriga arter ger i regel inte mer än 1 procents parasitemi (andel infekterade erytrocyter) [22]. Nedre detektionsgränsen för tjock droppe är ca 0,001 procent för en van mikroskopist [23, 24]. Negativt prov kan behöva upprepas om malaria inte kan uteslutas.

Snabbtest som baseras på detektion av parasitantigen i blodet ger ett diagnostiskt stöd där mikroskopi inte är direkt tillgänglig eller som komplement under jourtid. På de flesta sjukhus i Sverige används snabbtest som identifierar såväl P falciparum som andra arter (P vivax, P ovale, P malariae). Sensitiviteten är hög för P falciparum och P vivax men avsevärt lägre för de övriga arterna [25, 26]. Snabbtest är inte kvantitativa och kan inte ge svar om parasitemigrad. Falskt negativa snabbtest kan förekomma vid hög parasitemi (> 5 procent) med P falciparum, där ett överskott av antigen mättar de analytiska antikropparna i testet, så kallad prozoneffekt [27]. Det har även beskrivits en ökad förekomst av P falciparum med avsaknad av genen som kodar för HRP2 (histidine rich protein 2), som ingår i snabbtestet, vilket ytterligare understryker vikten av mikroskopi [28]. 

Positiva snabbtest ska således alltid kompletteras med mikroskopi för att bekräfta diagnos och bedöma parasitemigrad. För patienter som vistats i Afrika i områden med hög risk för malaria, eller vid stark misstanke av andra skäl, ska mikroskopi alltid utföras akut oavsett snabbtestresultat.

PCR används vanligen inte i akutskedet men kan bekräfta artbestämning vid blandinfektioner och låg parasitemi. Karolinska universitetssjukhuset är referenslaboratorium. P knowlesi, som i vissa fall ger upphov till allvarlig malariainfektion, kan morfologiskt inte särskiljas från P malariae, och PCR behövs för att säkerställa diagnosen [29, 30]. PCR kan även skilja mellan olika stammar och parasiter med vissa resistensmutationer, men dessa metoder används ännu inte i kliniken [31]. Både PCR och snabbtest kan ge positivt resultat flera veckor efter framgångsrik behandling [32].

Rekommenderade laboratorieanalyser är blodstatus inklusive differentialräkning, CRP, natrium, kalium, kreatinin, bilirubin, ALAT och B-glukos. Vid allvarlig malaria tillkommer blododling, arteriell blodgas med laktat och prov för disseminerad intravasal koagulation (PK, APTT, fibrinogen, D-dimer) [1, 22]. Trombocytopeni är ett vanligt fynd vid malaria och ses ofta tidigt i förloppet. Laktatprov rekommenderas hos samtliga patienter, både vid tecken på allvarlig malaria och som prognostisk markör hos en annars relativt opåverkad patient. I de svåra fall där bakteriell meningit är en differentialdiagnos ska lumbalpunktion utföras om inte andra kontraindikationer, exempelvis ökad blödningsrisk, föreligger [33].

Behandling och vårdnivå

I Sverige rekommenderas i regel att patienter med malaria vårdas inneliggande på specialiserade enheter, vilket i praktiken innebär infektionsklinik eller barnklinik med stöd av infektionsläkare. Påverkade patienter ska bedömas utifrån intensivvårdsbehov. Initialt opåverkade patienter kan försämras trots insatt behandling, varför det är viktigt att säkerställa behandlingseffekten. Vitalparametrar ska kunna följas för att tidigt kunna påvisa en försämring. 

Enligt WHO:s senaste behandlingsriktlinjer rekommenderas främst kombinationsbehandling innehållande artemisinin, ACT (artemisinin-based combination therapy) [21, 34]. 

Icke-allvarlig malaria orsakad av P falciparum och P knowlesi behandlas med ACT, vilket i Sverige består av artemeter/lumefantrin (Riamet) som ges i två doser under tre dagar och ska intas med fet mat eller dryck för att optimera upptaget. Observera förekomsten av potentiella läkemedelsinteraktioner med exempelvis antiretroviral behandling eller neuroleptika [35]. Överväg initial parenteral behandling med artesunat vid kräkning. 

Icke-allvarlig P vivax-, P ovale- och P-malariae-infektion behandlas företrädelsevis med klorokin alternativt ACT. Infektioner från områden med klorokinresistent P vivax, främst Sydostasien och Oceanien, behandlas med ACT. Vid P vivax- och P ovale-malaria kompletteras behandlingen med primakin under 2 veckor för att eradikera hypnozoiter [36]. Före behandlingsstart ska G6PD (glukos-6-fosfatdehydrogenas)-brist uteslutas; prov skickas till Karolinska universitetssjukhuset eller Sahlgrenska universitetssjukhuset för analys. Primakin är även kontraindicerat vid graviditet och amning samt hos barn under 6 månader.

Inom en snar framtid kommer sannolikt tafenoquin att introduceras som ett alternativ till primakin. Detta preparat ges i enkel dos, och även här ska G6PD-brist uteslutas [37].

Allvarlig malaria behandlas med artesunat intravenöst, oavsett art. Artesunat har en snabbare avdödande effekt på parasiterna än kinin, som tidigare ofta användes vid allvarlig malaria [38]. Om inte artesunat finns direkt tillgängligt ges kinin intravenöst. Hög parasitemi är ett enskilt kriterium för allvarlig malaria hos en i övrigt opåverkad patient. Tidigare var 2 procents parasitemi gränsen för icke-immuna individer, men i de senaste kriterierna enligt WHO har gränsen höjts till 10 procent [21]. Vi anser, i likhet med de brittiska rekommendationerna [22], att intravenös artesunatbehandling fortsatt bör övervägas vid > 2 procents parasitemi även hos opåverkade patienter. 

Så snart peroral behandling kan tolereras, dock tidigast efter 24 timmar och senast efter 5 dagars intravenös behandling, ges en full behandling med peroral ACT med artemeter/lumefantrin för att säkerställa komplett behandling med kombinationsmedlet (det vill säga samtliga 6 doser bör tas oavsett antal dagar med artesunat). Vid septiskt påverkad patient och allvarlig malaria bör samtidigt bredspektrumantibiotika ges, men antibiotika behöver inte ges för säkerhets skull till opåverkade patienter [22]. Intravenös vätskebehandling ges med försiktighet på grund av en ökad risk för lungödem och cerebralt ödem [39]. Hemodialys och respiratorvård är viktiga delar av intensivvården vid allvarlig malaria [40]. Monitorering av ökat intrakraniellt tryck kan behövas vid cerebral malaria [41].

Gravida med allvarlig malaria ges artesunat, och vid okomplicerad P falciparum- eller P vivax-malaria från områden med känd klorokinresistens ges behandling med peroralt kinin tillsammans med klindamycin i första trimestern; under andra och tredje trimestern ges artemeter/lumefantrin enligt ovan [21].

Uppföljning

Efter påbörjad behandling vid P falciparum-malaria, oavsett allvarlighetsgrad, ska ny mikroskopi genomföras efter 24 timmar för att följa parasitemigraden och helst upprepas tills resultatet blir negativt för att säkerställa god behandlingseffekt. 

I samband med utskrivning ska patienter informeras om att söka akut vid feber som uppstår inom 6 veckor efter avslutad behandling för P falciparum-malaria och under de närmaste månaderna vid infektion med övriga arter. Behandlingssvikt hos icke-immuna med feber och parasiter som återkommit 3–4 veckor efter avslutad behandling med artemeter/lumefantrin har setts i Sverige [42]. Alla patienter bör därför informeras om vikten av att söka akut för förnyad bedömning vid återkomst av feber efter avslutad behandling. 

Återbesök efter 1–2 veckor för klinisk kontroll och provtagning inkluderande malariamikroskopi rekommenderas i de flesta fall för att försäkra sig om att patienten har blivit parasitfri samt för att bedöma blod- och leverstatus [32]. Hemolys kan uppstå > 1 vecka efter avslutad artesunat- men även peroral ACT-behandling [43]. 

Kvarvarande besvär kan förekomma efter malariainfektion. Neurologiska och kognitiva sequelae har beskrivits hos barn och vuxna efter malaria, främst vid allvarlig sjukdomsbild [1]. Förekomst av sequelae och behov av rehabilitering kan därför behöva bedömas.

Patienter som diagnostiserats med malaria bör informeras om vikten av adekvat malariaprofylax vid eventuell ny resa till malariaområden.

Potentiella bindningar eller jävsförhållanden: Inga uppgivna.

Fakta 1. Definition av allvarlig malaria enligt WHO 2015 [21]. Kriterierna översatta och anpassade till svenska förhållanden av artikelförfattarna.

Allvarlig malaria orsakad av P falciparum

Något av nedanstående kriterier med samtidig påvisad malariaparasitemi

  • Medvetandesänkt: < 11 poäng enligt GCS (Glasgow coma scale) alternativt ≥ 3 poäng enligt RLS (Reaction level scale)
  • Uttalad svaghet: generell svaghet där patienten inte kan stå, sitta eller gå utan hjälp
  • Multipla kramper: > 2 episoder inom 24 timmar
  • Acidos: Basöverskott < – 8 alternativt P-bikarbonat < 15 mmol alternativt laktat ≥ 5 mmol/l
  • Hypoglykemi: glukos < 2,2 mmol/l
  • Svår malariaanemi: Hb ≤ 50 g/l, hos barn < 70 g/l; vuxna med samtidig parasitemi > 0,2 procent
  • Njursvikt: kreatinin > 265 µmol/l alternativt urea > 20 mmol/l
  • Ikterus: bilirubin > 50 µmol/l med samtidig parasitemi > 2 procent
  • Respiratorisk påverkan inklusive lungödem: radiologiskt bekräftad alternativt syrgasmättnad < 92 procent med andningsfrekvens > 30/min
  • Ökad blödningsbenägenhet
  • Cirkulatorisk chock: Systoliskt blodtryck < 70 mm Hg hos barn eller < 80 mm Hg hos vuxna
  • Hyperparasitemi: parasitemi > 10 procent (som enskilt kriterium); författarna rekommenderar att parenteral malariabehandling inleds vid parasitemi > 2 procent

Allvarlig malaria orsakad av P vivax, P ovale och P malariae

Definieras enligt ovan förutom vad gäller parasitemigräns för P vivax. P ovale och P malariae nämns inte i WHO-kriterierna (författarnas rekom­mendation).

Allvarlig malaria orsakad av P knowlesi

Definieras som vid P falciparum ovan förutom vad gäller

  • Hyperparasitemi: parasitemi > 2 procent
  • Ikterus: Bilirubin > 50 µmol/l och samtidig parasitemi > 0,4 procent

Figur 1a. De Plasmodium-arter som orsakar malaria hos människor är P falciparum, P vivax, P ovale, P malariae och P knowlesi. Bilden visar P falciparum. Foto: Christine Stenström/Karolinska universitetssjukhuset

Figur 1b. P vivax

Figur 1c. P ovale

Figur 1d. P malariae

Figur 1e. P knowlesi

Figur 2.

Mer att läsa

Mer att läsa