Gå till innehållet
Gå till startsidan

Denna webbplats vänder sig till läkare

Sök

Huskur mot halsbränna ledde till livshotande ventrikelruptur

Läs artikel som PDF

Bikarbonat, vanligen avsett för bakning, är en välkänd huskur mot sura uppstötningar och halsbränna, men utgör även huvudingrediensen i ett klassiskt läkemedel som Samarin [1-3]. Huskuren kan dock i sällsynta fall vara behäftad med allvarliga komplikationer. 

En kort tid efter midnatt inkom en man i nedre medelåldern till sjukhuset med en dryg halvtimmes anamnes av kraftig buksmärta. Redan vid ankoms­ten hade han generell peritonit och bild som vid sepsis. Han sövdes och intuberades, en snabb datortomo­grafi  genomfördes och inom en timme opererades han för ventrikelruptur (bristning i magsäcken). Förklaringen till det dramatiska förloppet hade sin grund i ett försök att lindra kraftig halsbränna med nämnda huskur. Patienten hade länge besvärats av halsbränna, som han lindrat med bikarbonat upplöst i vatten som enda behandling. I övrigt besvärades han av diabetes typ 2 och hypertoni. 

Fallbeskrivning

Händelseförloppet startade med att patienten avslutade en helgkväll med en påse chips innan han gick och lade sig. Två timmar senare vaknade han med halsbränna och intog då sin vanliga dos, en matsked bikarbonatpulver upplöst i vatten. Några minuter senare blev buken utspänd och intensivt smärtande. Försök att provocera fram kräkningar medförde ­i­n­g­­en lindring. Ambulans tillkallades, och en halvtimme senare inkom han till länsdelssjukhusets akutmottagning. Under transporten gavs 10 mg morfin intravenöst utan större effekt. 

Vid ankomsten till akuten var patienten allmänpåverkad med peritonit, blodtryck 160/83 mm Hg, puls 130, andningsfrekvens 32 samt syremättnad 96 procent.  Kort efter ankomsten sjönk syremättnaden dramatiskt och behov av assisterad ventilation uppkom, varför han intuberades och fördes till Iva.

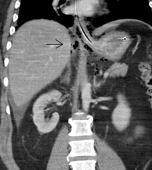
Ventrikel- eller tarmperforation, strangulation­s­ileus eller pankreatit var de differentialdiagnoser som låg närmast till hands. Omedelbar laparotomi övervägdes, men då tillståndet stabiliserades något valde vi, efter diskussion med inringd radiolog, att först utföra datortomografi av buken. Omedelbar tolkning av radiolog gav direkt muntligt besked om smärre mängder fri gas samt spridd gas retroperitonealt bakom pankreas och intill mesenterialroten (Figur 1). I första hand förelåg misstanke om perforerat ulcus duodeni, men bilden bedömdes även kunna stämma med en perforation i gastroesofageala övergången. 

Figur 1. Måttliga mängder fri gas högt i buken.

Efter röntgen fördes patienten direkt till operation. Då buken öppnades fann vi till en början endast lätt grumlig vätska med diskreta fibrinpälsar i anslutning till bursa omentalis. Via ventrikelsond fylldes ventrikeln med luft utan att någon perforation kunde påvisas. Vi gick vidare med gastroskopi och fann rodnad och svullnad högt upp på ventrikelns minorsida och upp mot hiatus. Efter förnyad, ordentlig luftinblåsning via gastroskopet kunde en 3 cm lång ruptur mellan curvatura minor och gastroesofageala övergången påvisas. Rupturen, delvis dold i omentum minus, förslöts och ett dränage anlades.

Efter ett dygn på Iva överfördes patienten till kir­urgisk vårdavdelning. Det postoperativa förloppet komplicerades av lungembolier och mindre abscesser. Tio dagar efter ankomsten kunde patienten skrivas ut till hemmet i gott skick.

Diskussion

I litteraturen dyker det med ojämna mellanrum upp rapporter som liknar ovanstående. Fallbeskrivningarna redogör för hur personer i medelåldern efter intag av 1–2 matskedar bikarbonat plötsligt drabbas av intensiva buksmärtor som för dem till sjukhus. Grav allmänpåverkan, möjligen till följd av tidig medi­astinit, framtvingar snabb laparotomi, då ruptur längs curvatura minor upptäcks hos samtliga [4-6]. Författarna bedömer att bikarbonat har varit orsaken, men oftast i kombination med någon annan faktor, till exempel en stor måltid.

Det är oklart hur omfattande användningen av bikarbonat för lindring av sura uppstötningar är i Sverige, men det rekommenderas av ett flertal hälsoforum på internet [1-3]. Den beskrivna komplikationen med ventrikelruptur får ses som extremt ovanlig. Vi tror på samma sätt som författarna till tidigare fallbeskrivningar att det krävs en kombination av omständigheter för att en ruptur ska inträffa. I en genomgång av 7 tidigare publicerade fall var dosen bikarbonat i allmänhet omkring en matsked, vilket motsvarar cirka 6 påsar Samarin [7]. En hypotes är att det stora intaget av bikarbonat leder till kraftig gasutveckling som, om den förblir i ventrikeln utan att rapas upp eller försvinna nedåt i gastrointestinalkanalen, gör att trycket i ventrikeln kraftigt ökar. I majoriteten av de beskrivna fallen hade patienten intagit ett större mål mat före händelsen. Mekanismen bakom rupturen i vårt fall är sannolikt just sådan gasutveckling och inte kräkningsprovokationen, eftersom smärtan kom före kräkningen. Möjligen kan viss gastropares som led i diabetes ha bidragit. 

Vår patient blev hastigt sämre redan på akutmottagningen, och vi övervägde att gå direkt till operation utan bilddiagnostik. Man kan spekulera om huruvida vi utan datortomografins fynd av fri gas skulle ha nöjt oss med att vi inte kunde påvisa gasutträde till bukhålan via luftinblåsning genom ventrikelsond. Möjligen hade vi då tolkat tillståndet som pankreatit och inte gått vidare med gastroskopi, och därmed faktiskt förbisett rupturen. Snabbt tillgänglig radiologi och bildtolkning kan således ha varit avgörande för det gynnsamma utfallet för patienten.

Konklusion

Vi vill med denna fallbeskrivning uppmärksamma risken för den visserligen sällsynta, men allvarliga biverkan i form av ventrikelruptur efter intag av till synes harmlöst bikarbonat för halsbränna, och utifrån litteraturen poängtera vikten av snabb handläggning av tillståndet. Vi vill även belysa det stora värdet av en närmast omedelbar preoperativ datortomografi, vilket bara möjliggjordes genom direkt kommunikation med fysiskt närvarande radiolog. Det är ett faktum som kan mana till eftertanke avseende akutradiologins organisation nattetid på många sjukhus, där primär­jourhavande radiolog enbart är tillgänglig via länk.

Mer att läsa

Mer att läsa