Initial handläggning avgörande vid svår bäckenskada
En bäckenskada kan vara direkt livshotande. Redan på olycksplatsen är det därför viktigt att en patient med misstänkt bäckenskada tas om hand korrekt för att minska blodförlust och ytterligare skada. På sjukhuset krävs multiprofessionell vård.
Att upptäcka bäckenfrakturer är mycket viktigt vid en första undersökning av en traumapatient [1]. Vid stort trauma har ca 20 procent en bäckenfraktur. Från Tyskland rapporteras att bäckenfrakturer är den tredje vanligaste bidragande orsaken till död vid trafikolyckor. Att tidigt misstänka och korrekt handlägga en bäckenskada är viktigt för att minska blodförlusten – och det kan vara livräddande.
Prehospitalt omhändertagande
Klinisk bild (anamnes och symtom). Viktigast i inledningsskedet är att bedöma skademekanismen. Kollisioner i trafiken utgör den vanligaste orsaken till högenergetiska bäckenskador. Gångtrafikanter som blir påkörda eller motorcykel-/mopedkollisioner är också frekventa skadeorsaker. Fall från hög höjd i samband med arbete eller suicidförsök förekommer.
Lokal smärta och deformitet kan föreligga. Om patienten är vaken, orienterad och inte uppvisar några andra distraherande skador, fråga henne/honom om lokala smärtor i bäckenet/nedre delen av ryggen, ljumskar och höfter. Hudskador eller svullnad över bäckenet kan noteras. Öppen blödning eller blod från urinrör, vagina eller rektum kan indikera öppen bäckenskada (patienten bör dock inte kläs av på skadeplatsen för denna inspektion). Nedsatt cirkulation, känselstörning och/eller motorisk nedsättning kan förekomma.
Undersökningar. Efter att ha säkrat olycksplatsen ska omhändertagandet följa ABCDE-principen [2]. Om patienten är kritiskt skadad prioriteras transport. Man bör inte stabilitetspröva bäckenet prehospitalt, eftersom det kliniska värdet av denna undersökning är tveksamt; undersökningen i sig kan också medföra okontrollerad blödning på skadeplatsen. Försiktig palpation av bäckenet är acceptabel men ska utföras endast en gång.
Behandling och primära åtgärder. Om patienten har smärtor i bäcken eller ljumskar immobiliseras bäckenet [3]. Det är viktigt att förhindra att okontrollerad blödning uppkommer. Det anses vara en fördel att stabilisera en bäckenskada så tidigt som möjligt medan koagulationsförmågan är intakt. I en akut situation inleds detta med att inåtrotera och föra ihop benen, vilket minskar volymen i lilla bäckenet. Sedan appliceras en gördel runt trokanterpartiet eller en vakuummadrass som stabiliserar bäckenet på ett snabbt och säkert sätt för immobilisering och transport. Om patienten är hemodynamiskt instabil efter högenergetiskt våld, bör man följa »lasta och åk«-konceptet, dvs inga fördröjande åtgärder utan snabb avtransport.
Gördeln kan utgöras av lakan, bälte eller slynga av tygstycke, som räcker runt patientens bäcken. Med slyngan runt bäckenet antar man att de venösa blödningarna minskar och frakturen fixeras temporärt, vilket även bidrar till att blödning minskar [4]. Vid samtidig arteriell blödning kan hypotoni uppstå, vilket kräver akuta interventioner på sjukhus.
Övervakning. På olycksplats och under transport monitoreras patientens andning, puls och blodtryck var femte minut. Under transport kan perifer cirkulation kontrolleras.
handläggning På sjukhus
Vid ankomsten till sjukhus sker handläggningen enligt ABCDE- [5] och skadekontrollprinciperna [6]. Bedömning och behandling sker ofta parallellt och i samverkan mellan flera discipliner för att snabba adekvata åtgärder ska kunna utföras för att rädda livet på den svårt skadade patienten [7].
Initial handläggning
Blödning från bäckenet är ofta en uteslutningsdiagnos efter det att blödning från torax och abdomen är uteslutna/behandlade. En frontal bäckenröntgen ger tillräcklig första information, dvs om patienten har en fraktur eller inte [8]. Vid bäckenskada sker blödningarna ofta utanför retroperitonealrummet (retro- eller extraperitonealt) och kan därför inte identifieras vid FAST (traumaultraljud; focused assessment with sonography for trauma) eller diagnostiskt peritoneallavage (som finner intraperitoneala blödningar). I akutfasen förekommer sällan yttre tecken som hjälp vid diagnostik av bäckenblödning, t ex kan hematom i flank och genitalier ses först flera dagar efter den akuta fasen. Eftersom det är svårt att snabbt och korrekt påvisa blödningskälla vid svåra skador, bör alla patienter med bäckenfraktur eller bäckenligamentskada efter högenergetiskt våld misstänkas ha bäckenblödning till dess motsatsen är bevisad. Vid akut laparotomi på indikationen abdominella blödningar kan paravertebrala hematom tyda på omfattande blödning från bäckenet.
Traumatiska bäckenblödningar kan av praktiska skäl indelas i fyra olika grupper:
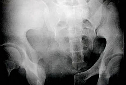
1. Patienter som blött, men slutat blöda vid ankomst till sjukhus. Hos majoriteten av patienten med högenergetiska bäckenskador har blödningen avstannat spontant vid ankomst till sjukhus. Efter adekvat vätsketillförsel eller transfusioner förblir dessa patienter hemodynamiskt stabila och kan följas upp enligt gängse rutiner på avdelning med resurser för intensiv övervakning. Hos en minoritet, ca 3 procent [9], kan blödningen dock kräva ytterligare åtgärder (Figur 1).
2. Patienter som blött och fortsätter blöda »kontrollerat«. Dessa patienter svarar på standardmässig vätsketillförsel, men fortsätter att vara transfusionskrävande med ett behov överskridande 5 enheter erytrocytkoncentrat/24 timmar. I dessa fall bör tidig kontakt tas med traumaansvarig läkare på traumasjukhus för planering av eventuell överflyttning. Följande kan vara aktuellt, beroende på sjukhusets resurser:
• Flera intravenösa infarter sätts, monitorering görs aktivt.
• Blodtrycket hålls vid ca 100 mm Hg för att inte dislokera eventuella koagler och därmed orsaka ytterligare blödning.
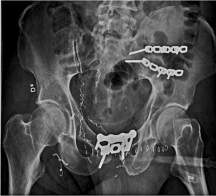
• Bäckengördel appliceras om frakturen är av sådan typ att bäckenet har vidgat sig (en minoritet av frakturerna) (Figur 2). Bäckengördeln bör appliceras lågt över trokanterregionen med patientens underextremiteter inåtroterade för att uppnå bäst volymreducerande effekt i lilla bäckenet [10]. Bäckengördeln ersätter i de flesta fall den tidigare vanliga externa fixationen vid akuta blödningar.
• Angiografiundersökning av bäckenkärlen genomförs om sådan facilitet är tillgänglig (Figur 3) [11]. Det bör observeras att angiografi är ett tidskrävande ingrepp, som bör utföras innan patienten blir hemodynamiskt »för dålig«.
• Bäckenpackning i extraperitonealrummet genomförs om sjukhuset ligger avlägset från större traumacentra och blödningen inte upphör.
3. Patienter som blött och fortsätter att blöda och är hemodynamiskt gravt instabila (in extremis). Dessa patienter kan ha omätbara tryck redan vid ankomsten till sjukhus eller utveckla dem under uppföljning. Dessa patienter bör på grund av blödningen inte undersökas med datortomografi. Följande kan vara aktuellt, beroende på sjukhusets resurser:
• Bäckenet grovreponeras. Om traumat har utåtroterat bäckenet, trycks bäckenet ihop manuellt. Om bäckenhalvan har flyttat sig kraniellt, kan underextremiteten dras axialt.
• Gördel sätts runt trokanterpartierna som mottryck, oavsett frakturtyp.
• Bäckenpackning genomförs. Bäckenblödningar packas extraperitonealt på grund av blödningskällornas extraperitoneala läge [12]. Större blödningar orsakas ofta av skada på iliaca internas arteriella och venösa sidogrenar. Ett medellinjesnitt läggs, där hud och fascia incideras från navel distalt till 5 cm kraniellt om os pubis. Om hudsnittet läggs alltför distalt, kan det vara svårt att få tejpen från förbandet (ofta topikal undertrycksbehandling) att sitta när buken lämnas öppen efter ingreppet. Vid den ofta samtidiga laparotomin lämnas den distala delen av peritoneum intakt. På så sätt förenklas packning av bäckenets retroperitonealrum. Om kompresserna läggs intraperitonealt i bäckenet, blir mottrycket mot iliakakärlen otillräckligt, med risk för fortsatt blödning.
• Bäckenet packas alltid bilateralt oavsett bäckenskada med sikte på att fylla området mellan os pubis och sakroiliakalederna i lilla bäckenet. Minst 3 + 3 stora bukkompresser går åt och bör läggas hårt an mot benet. Vid samtidig öppen skada i perineum kan mottamponering med kompresser utifrån vara aktuell. Då extraperitoneum i bäckenet står i kommunikation med extraperitoneum i buken finns risk för att bäckenblödningen sprids även utanför bäckenet, främst paravertebralt.
• Vid otillräcklig respons efter packning av buk och bäcken och växande hematom i distala buken retroperitonealt bör man överväga att öppna bukens retroperitoneum och packa även området kring iliakabifurkationen från abdominalsidan med stora kompresser. Kompresserna bör försiktigt avlägsnas inom 2 till 3 dagar. Vid återkommande blödning genomförs bäckenpackning på nytt.
4. Patienter som varit in extremis och behandlats med bäckenpackning men fortsätter att blöda kontrollerat (jämför grupp 2). Angiografiundersökning genomförs; hos 80 procent av dessa patienter finner man positivt fynd [9] tydande på större arteriell skada. Detta innebär att packning kontrollerar i huvudsak större venösa blödningar, medan arteriella blödningar kan minskas men ofta inte helt tamponeras.
Efter den initiala handläggningen vårdas patienten på intensivvårdsavdelning till dess det blir aktuellt att operera patientens bäcken definitivt.
Vidare handläggning
Bedömning subakut. Efter akutfasen och när patienten är cirkulatoriskt och respiratoriskt stabil kommer nästa steg, ibland omedelbart på akuten och ibland först nästa dag på intensivvårdsavdelningen. Först nu bedöms den biomekaniska stabiliteten, dvs bäckenets oförmåga att långsiktigt motstå fysiologiska krafter utan att dislokera, och eventuella neurologiska symtom. I detta skede kan det också undantagsvis passa att använda uttrycket instabil bäckenfraktur: Kommer bäckenet att läka snett, förkortat eller inte alls? Ger detta funktionsnedsättning såsom smärta och hälta?
Radiologi. För mekanisk stabilitetsbedömning av bäckenskadan krävs radiologisk utredning med frontal bäckenbild, »inlet«-bild (strålriktning 60º från huvudet riktat mot bäckenet), »outlet«-bild (strålriktning 45º från fötterna mot symfysen) och lateral projektion alternativt datortomografi, som ger samma upplysning avseende dislokationsgrad [13, 14]. För att bedöma stabiliteten underlättar det att känna till några grundförutsättningar.
Våldet vid bäckenfraktur kan komma från tre huvudriktningar:
• Anteroposteriort genom direkt våld mot bakre spina alternativt os pubis eller genom utåtrotationsvåld via ena eller båda höftlederna, ledande till utåtrotation av bäckenhalvorna, »open book«-skada. Detta ses hos t ex förare av bil vid frontalkollision, hos fotgängare påkörd av bil, vid MC-olycka eller vid ridolycka då ryttare faller baklänges med hästen över sig (Figur 4, överst).
• Den vanligaste frakturtypen är lateralt kompressionsvåld. Skadan uppkommer genom våld utifrån direkt mot ena höftbenet eller via caput femoris, vilket ger upphov till inåtrotationsvåld av bäckenhalvan. Detta ses vid bl a trafikolyckor då patienten i egen bil blir påkörd från sidan. Oftast ses det dock som lågenergitrauma då en äldre patient faller i samma plan mot utsidan av sin höft (Figur 4, mitten).
• Vertikalt våld, vilket ger vertikal fraktur i sakrum, i sakroiliakaled eller ilium och med vertikal dislokation. Skadan uppkommer vanligen vid fall från höjd (Figur 4, underst).
Gemensamt för samtliga är att små dislokationer vanligen är mekaniskt stabila, framför allt när det gäller laterala kompressionsskador, och att ökande dislokationsgrad innebär ökande mekanisk instabilitet.
Stabiliteten i bäckenringen beror huvudsakligen på de bakre bäckenligamenten. Vid stabilitetsbedömningen försöker man bedöma hur skadade dessa ligament är. Då bedömningen görs från slätröntgen och/eller datortomografibilder som inte synliggör ligamentskador får man bedöma efter indirekta tecken, t ex avulsionsfragment och felställning. Gränsdragningen mellan mekaniskt stabil och instabil fraktur kan vara svår. Vid oklarhet om stabilitet kan patienten testas i narkos. För allvarlig bakre ligamentskada indikerande behandlingskrävande biomekanisk instabilitet talar
• symfysvidgning >2,5 cm
• vidgning/dislokation av sakroiliakaleden
• vertikal dislokation >1 cm
• avulsionsfrakturer av spina iliaca, tuber ischiadicum och/eller L 5-kotans transversalutskott.
Således innebär en dubbel fraktur av bäckenringen, t ex bak i sakrum och fram i os pubis, inte med automatik att patienten har en instabil bäckenfraktur med mindre än att även tecknen ovan kan ses. I traumasammanhang torde uttrycket »instabil bäckenfraktur« vara en av de vanligare radiologiska missuppfattningarna, och uttrycket borde enligt vårt sätt att se det inte få användas med mindre än att man specificerar vilken typ av instabilitet man avser. Ibland har uttrycket till och med lett till att patienter med odislokerade fissurer i onödan betraktats som intensivvårdsfall trots normal hemodynamik. En hemodynamiskt instabil patient kan således ha en mekaniskt stabil bäckenfraktur och vice versa.
Behandling subakut. Efter den urakuta bedömningen, ofta dag två, övervägs avlägsnande av gördel samt mobilisering, anläggande av sträck eller undantagsvis externfixation.
För odislokerade frakturer som slutat blöda och vid små dislokationer kan gördeln raskt avlägsnas och behöver inte ersättas. Detta gäller framför allt vid laterala kompressionsskador, där en gördel endast förmår öka en eventuell felställning och torde vara kontraindicerad (liksom vid acetabularfrakturer, vilka inte berörs närmare här).
Vid större felställning, t ex stor »open book«-skada med avlösning av hemipelvis eller radiologiska tecken på större ligamentskada enligt ovan, kan gördel behållas till påföljande morgon, varefter den kan avlägsnas. Trycksår kan orsakas av gördeln, och det är ytterst sällsynt att en hemodynamiskt stabil patient åter börjar blöda nästa dag för att bäckenet inte längre komprimeras. För dislokerade vertikala skador övervägs även femursträck med hög belastning (minst 15 procent av kroppsvikten).
Definitiv behandling
När? Cirkulatoriskt stabila patienter med odislokerade frakturer eller med skador som bedöms inte vara associerade med större ligamentskador mobiliseras omedelbart. Hos patienter med kirurgiskt krävande bäckenfrakturer genomförs den definitiva behandlingen när patientens tillstånd medger det, vid högenergiskador vanligtvis efter 4–7 dagar. Senare än 3 veckor efter trauma kan kirurgin bli svår att utföra på grund av begynnande felaktig läkning.
Var? Ofta hävdas att bäckenkirurgin ska centraliseras, vilket hyser en stor del av sanning. Det gäller dock inte alla bäckenskador vid alla tillfällen. Den akuta och subakuta handläggningen bör kunna göras vid alla sjukhus med viss traumaerfarenhet. Det är framför allt när inre fixation blir nödvändig, i synnerhet vid dislokerade bakre skador, som patienten bör bedömas tidigt i förloppet och opereras vid regionalt centrum för bäckentraumatologi.
Hur? Odislokerade och lätt dislokerade frakturer är mekaniskt stabila, och patienten kan mobiliseras med full belastning. Motsatt gäller för biomekaniskt instabila frakturer, som i dag i allmänhet behandlas kirurgiskt. I undantagsfall övervägs detta även vid lätt dislokation om mobiliseringen försvåras på grund av svår smärta.
Kirurgin följer två huvudspår:
• Främre tillgång ovan symfys, genom inguinalkanal och/eller över bäckenvingen, varvid man kan nå hela främre delen av bäckenringen till och med sakroiliakaleden (Figur 5). Sakrumfrakturer är inte tillgängliga med dessa snitt.
• Bakre tillgång fås med perkutan osteosyntes eller öppet med dorsal snittföring i medellinjen, vid bakre kristakanten eller höftens baksida.
Vissa gravt dislokerade frakturer kräver ibland en kombination av flera tillgångar.
Multiprofessionell angelägenhet
Det bör betonas att frakturkirurgi endast är en del av behandlingen. Många patienter är multipelt skadade i bäckenregionen. Uretraskador har i olika studier beskrivits hos 3–25 procent av män med bäckenfraktur. Nervskador har beskrivits hos 3–8 procent, framför allt vid laterala kompressionsskador, vid vertikala skador och vid skador på sakrum. Sexuell påverkan med erektil dysfunktion ses hos ca 12 procent av män och dyspareuni hos 2 procent av kvinnor.
Permanent smärta är relativt vanlig vid sakrumfraktur eller från skadad sakroiliakaled. Dessutom ses ibland hud-, nerv-, blås-, tarm- och vaginalskador. Vården av patienten kräver följaktligen helhetssyn med god organisation och tillgång på läkare från ett flertal specialiteter (ortopedi, allmänkirurgi, urologi, radiologi, plastikkirurgi, smärtlindring, andrologi och gynekologi), vilket bör finnas vid varje centrum inriktat på bäckentraumatologi.
Postoperativ vård
Patienter med odislokerade frakturer och bibehållna ligament kan omedelbart belasta fullt (t ex ramusfraktur hos äldre, vilken oftast representerar en odislokerad lateral kompressionsskada). Den bakre skadans instabilitet avgör om benet behöver avlastas. Om tillfredsställande stabilitet efter kirurgi nåtts på den frakturerade sidan ordineras markeringsgång, vanligen i 8–10 veckor.
*
Potentiella bindningar eller jävsförhållanden: Inga uppgivna.









