Intrakardiell leiomyomatos – benign tumör som kan ge dödligt förlopp
Intravenös leiomyomatos karakteriseras histologiskt av att nodulära massor av glatt muskulatur uppstår i den uterina venösa väggen och/eller att ett uterint myom infiltrerar vensystemet och sprider sig vidare i den venösa kaviteten [1]. Även om tumören i sig är benign kan den progrediera till vena cava inferior och även till högerhjärtats hålrum och benämns då intrakardiell leiomyomatos.
Tumören anses som sällsynt, och mellan 1980 och 2003 har omkring 200 fall av intravenös leiomyomatos beskrivits i den engelskspråkiga litteraturen, varav en tredjedel var intrakardiella.
Alla patienter med sjukdomen är givetvis kvinnor, företrädesvis strax före menopaus. Över 50 procent av patienterna har tidigare genomgått hysterektomi [2]. Mediantiden mellan hysterektomi och diagnostik av intrakardiell leiomyomatos är fyra år men kan i extremfall vara upp till 47 år [3].
Möjligen är sjukdomen vanligare än vad man tidigare trott. Av de totalt 113 fall av intrakardiell leiomyomatos som beskrivits mellan 1900 och 2005 har 16 procent påvisats under de senaste två åren [4].
Obehandlad är sjukdomen inte ofarlig. Tre fall med dödlig utgång innan kirurgisk behandling hunnit ske har rapporterats [4, 5].
Vi beskriver ett fall av intravenös leiomyomatos med intrakardiell utsträckning, där patienten genomgick ettstegsopereration med extrakorporeal cirkulation, hypotermi och partiell cirkulatorisk arrest.
Fallbeskrivning
Kliniska symtom. En 53-årig kvinna fick plötslig svullnad i benen, vilken efter hand gick i nästan total regress. Nästan ett år senare sökte patienten akut på grund av successivt tilltagande nedsättning av den fysiska prestationsförmågan med andfåddhet samt buksymtom med distension, smärta och illamående. Datortomografi visade misstänkt trombotisering av vena cava inferior, och antikoagulansbehandling sattes in.
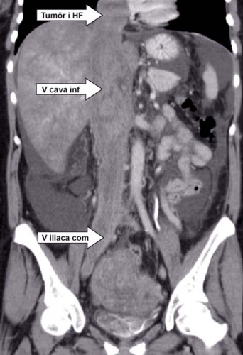
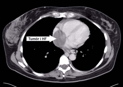
Patienten försämrades dock med tilltagande kraftig leversvikt; ny datortomografi verifierade leverstas och ascites. Det som tidigare uppfattats som en vena cava-trombos bedömdes nu som en heterogen tumörmassa (Figur 1), vilken också omfattade uterusområdet. Den tumörsuspekta tromben fyllde ut hela vena cava inferior och sträckte sig in i höger förmak (Figur 2).
Fynden föranledde hysterektomi och bilateral salpingooforektomi. Vena uterina noterades dilaterad med misstänkt tumörinnehåll, men det var först postoperativt som histopatologi gav diagnosen intravenös leiomyomatos.
Postoperativt gick leversvikten delvis i regress, men patienten återhämtade sig inte helt efter det operativa ingreppet, och hon hade fortfarande vid tiden för den aktuella operationen en fysisk prestationsförmåga motsvarande NYHA-funktionsklass III (NYHA = New York Heart Association), dvs hon kunde endast med stor svårighet gå en trappa.
Patienten planerades för resektion av tumören med ettstegsoperation med hjälp av extrakorporeal cirkulation i hjärt–lungmaskin. Operationen utfördes drygt två månader efter det gynekologiska ingreppet.
Operativ metod. Kirurgisk access erhölls genom median sternotomi och laparotomi. Efter heparinisering placerades artärkanyl i aorta ascendens och venkanyler direkt i såväl vena cava superior som båda femoralvenerna, och extrakorporeal cirkulation inleddes. Kärlklämmare sattes på aorta ascendens, och hjärtat stannades.
I höger förmak, som därefter öppnades, fann man att tumören till stora delar var adherent mot förmaksväggen, och den fick lösas genom skarp dissektion. Tumören var slät och liknade i sin konsistens hårt gummi, och risken för embolisering/ metastasering av tumörfragment via hjärt–lungmaskinen bedömdes som mycket ringa. Vena cava inferior inciderades genom ett längssnitt kaudalt om vänster njurven.
På grund av kraftig blödning ur vena cava kyldes patienten, och cirkulationen nedom diafragma reducerades genom att man satte tång på aorta descendens just ovan diafragma, varefter skarpa trådlika adherenser mellan tumör och vena cava-vägg delades.
Efter det att tumören delats nedom njurvenerna och i förmaksdelens övergång till vena cava kunde tumören i det mellanliggande området dissekeras fri med bimanuell digital teknik och mobiliseras ut ur vena cava. Resterande tumör avlägsnades genom att incisionen i vena cava förlängdes distalt till avgången av vena iliaca interna (Figur 3). Ingen fridissektion av vena iliaca interna gjordes på grund av adherenser i området, utan tumören delades inne i venen.
Vena cava suturerades och täcktes med en kollagensvamp innehållande fibrinogen och trombin, likaså förmaksväggen. Den extrakorporeala cirkulationen avvecklades komplikationsfritt.
Postoperativt förlopp och uppföljning. Patienten reopererades med utrymning av ett hematom runt höger förmak. Därefter var patienten cirkulatoriskt och respiratoriskt stabil och utan några neurologiska sequelae men utvecklade akut njursvikt, och dialys inleddes redan under första postoperativa dygnet.
Patienten vårdades på intensivvårdsavdelning i 12 dagar och därefter på kirurgisk avdelning, och hon kunde skrivas ut till hemmet efter en total postoperativ vårdtid på 37 dagar. Hon var i gott allmäntillstånd och hade då slutat med hemodialys sedan 10 dagar. Njurfunktionen liksom leverfunktionen var nästan helt normaliserad och dyspnén vid ansträngning kraftigt reducerad.
Ultraljud av vena cava inferior och bägge iliaca communis- och externa-venerna hade under vårdtiden visat flöden utan morfologiska förändringar i venväggen, och magnetresonansangiografi hade visat att den kvarvarande tumören i vena iliaca interna hade skrumpnat och retraherat sig in i venen.
Eftersom tumören hade visat sig ha starkt positiva östrogenreceptorer, ER3+ och PR3+, avfärdades alternativet att via en tredje laparotomi skapa radikalitet.
Vid kontroll tre månader postoperativt var njurfunktionen helt återställd. Vid sexmånaderskontrollen var leverenzymerna fortsatt lätt förhöjda, men datortomografi visade varken leverförändringar eller tumörrecidiv. Patientens fysiska kondition hade förbättrats betydligt.
Långtidskontroller är tänkta att ske med ultraljud och/eller datortomografi.
Diskussion
Det är sannolikt att antalet fall av intrakardiell leiomyomatos är underskattat, särskilt i sjukdomens tidiga skede när tumören är lokaliserad till de små kärlen i myometriet och omöjlig att upptäcka med preoperativ diagnostik. Korrekt diagnos bygger på medvetenhet om sjukdomen, och den bör misstänkas när extrauterina tumörer observeras i form av masklika eller nodulära pluggar i bäckenvenerna.
Vid kliniska hållpunkter för djup ventrombos bör kartläggning av bäckenvenerna övervägas. Tumören växer tyst och långsamt, och diagnosen kan oftast ställas först då tumören nått sådan storlek i hjärtat att den skapar signifikant venös obstruktion eller påverkar trikuspidalklaffarna.
En därav påkommen hjärtsvikt är det vanligaste kliniska symtomet tillsammans med venösa obstruktionssymtom som hepatomegali, ascites, Budd–Chiaris syndrom och ödem i nedre extremiteterna. Påtagliga symtom, möjlighet till resektion av hela tumören och risk för plötslig hjärtdöd stärker var för sig indikationen för kirurgi.
Operation i ett eller två steg – i normo- eller hypotermi
Ingreppet kan utföras antingen som tvåstegs- eller ettstegsoperation. Den förstnämnda innefattar initial resektion av den intratorakala komponenten följd av avlägsnande av den abdomino-pelvina tumördelen genom laparotomi inom ett kort tidsintervall.
Vi valde ettstegsförfarandet, och eftersom tumören ställvis var fast adherent mot vena cava-väggen var möjligheten att arbeta bimanuellt värdefull. Dessutom kunde risken för tumörembolisering till lungartären elimineras.
Även om operationer har utförts i normotermi, med eller utan avstängning av aorta, är djup hypotermi med total cirkulatorisk arrest den vanligast förekommande metoden. Fördelen är att kunna arbeta i ett relativt blodtomt arbetsfält med större möjligheter att öppna kärllumen och resekera tumören under direkt inspektion samt bättre kunna förhindra okontrollerbara blödningar.
Fördelen med partiell (jämfört med total) cirkulatorisk arrest med bibehållen cirkulation i övre kroppshalvan är minskad risk för cerebrala ischemiska skador, mindre tidspress samt möjlighet att kyla mindre, vilket ger kortare tid med extrakorporeal cirkulation och därmed mindre påverkan på bla koagulationen.
Hysterektomi och salpingooforektomi obligatoriskt
Lyckad kirurgi anses vara avhängig av total kirurgisk resektion av tumören. Inkomplett resektion kan ge upphov till recidiv upp till 17 år efter den primära operationen [6]. I de fall komplett resektion inte är möjlig, oftast till följd av adherensbildning efter tidigare hysterektomi, föreslås att kvarvarande tumör isoleras genom ligering av vena iliaca interna [7].
I vårt fall valde vi att inte fridissekera vena iliaca interna till följd av adherenser efter tidigare gynekologisk operation. En dissektion skulle ha medfört ökade blödningsrisker. Vid säkerställd diagnos skulle kanske hysterektomi och tumörresektion utförd i samma seans ha kunnat underlätta möjligheterna att nå total radikalitet. Detta måste dock ställas mot att ingreppet då hade blivit ännu större.
Vid icke-radikal kirurgi kan medicinsk långtidsbehandling med tamoxifen eller GnRH-agonister (GnRH = gonadotropinfrisättande hormon) såsom leuprorelin övervägas, men detta måste ställas mot kända biverkningar [5].
Långtidsuppföljning rekommenderas regelbundet vid icke-radikal kirurgi, men det är inte beskrivet att recidiv är obligata efter hysterosalpingooforektomi, trots kvarvarande tumör. Med hänsyn till att östrogen aktivt stimulerar proliferation av tumören får hysterektomi och bilateral salpingooforektomi anses vara obligatoriskt.
* Potentiella bindningar eller jävsförhållanden: Inga uppgivna.


