Kateterablation av förmaksflimmer bra då läkemedel inte hjälper
Kateterburen ablationsbehandling kan vara ett bra alternativ då läkemedel inte lyckas kuva ett besvärligt förmaksflimmer. Hur effekterna står sig på längre sikt är dock inte klarlagt; metodens kostnadseffektivitet är därför ännu inte fastställd.
Förmaksflimmer är den vanligaste hjärtrytmrubbningen med en prevalens i befolkningen på ca 1,5 procent. Incidensen är starkt åldersberoende; den ökar snabbt från 60 års ålder och är cirka 10 procent bland personer över 80 år. Förmaksflimmer förekommer oftare hos patienter med samtidig kardiovaskulär sjukdom, t ex hjärtsvikt. Cirka 50 procent av patienterna med flimmer har samtidig hypertoni. Flimmer förekommer också vid andra sjukdomstillstånd såsom sömnapnésyndrom, supraventrikulära takykardier och hypertyreos samt efter större kirurgiska ingrepp och vid kraftigare infektionstillstånd.
Fyra grupper av förmaksflimmer
Förmaksflimmer karakteriseras av en till synes kaotisk elektrisk förmaksaktivitet, som leder till förlust av effektiv förmakskontraktion. På EKG ses en oregelbunden och ofta snabb kammarrytm utan synliga P-vågor (Figur 1). Förmaksflimmer kan indelas i fyra grupper:
• Paroxysmalt: självterminerande, övergående spontant inom 7 dygn
• Persisterande: kräver elektrisk eller farmakologisk konvertering för omslag till sinusrytm
• Långvarigt persisterande: som ovan men ihållande flimmer under minst 12 månader
• Permanent: har accepterats som det är eller kan inte konverteras till sinusrytm
Flera studier har visat att lungvenerna som mynnar i vänster förmak och specifikt de muskelbuntar som förbinder förmaksmuskeln med dessa vener har stor betydelse för flimmerstart. Mekanismen är oklar, men det har föreslagits att re-entry (återkoppling) och andra elektriska fenomen i dessa muskelbuntar är orsak till flimmerstart. Även det autonoma nervsystemet kan ha betydelse för flimmeruppkomst med påverkan på den elektriska återhämtningen och impulsledningen i muskelbuntarna till lungvener.
Vad som avgör om en person har paroxysmalt eller persisterande förmaksflimmer är okänt. Man vet dock att förmaksflimmer är ett progressivt tillstånd, och en förklaring kan vara att fibrotisk omvandling och dilatation av vänster förmak ökar risken för att flimret blir persisterande.
Medicinsk behandling grundas på symtom och riskvärdering
Förmaksflimmer kan vara helt asymtomatiskt, men det kan också ge upphov till symtom (bl a hjärtklappning, trötthet och andfåddhet) relaterade till ökad puls och oregelbunden rytm, hemodynamiska konsekvenser och tromboemboliska komplikationer. Faktorer som bidrar till nedsatt hjärtminutvolym vid flimmer inkluderar förlust av effektiv förmakskontraktion samt oregelbunden och snabb kammaraktivitet. Förlust av förmakskontraktion leder också till ökad risk för trombbildning i vänster förmaksöra.
Ett särskilt riskvärderingsschema (CHA2DS2-VASc) har skapats (Tabell I och II) för att uppskatta tromboembolisk risk för varje enskild individ, vilket utgör grund för beslut om antitrombotisk behandling. För samtliga patienter med förmaksflimmer ska behovet av antitrombotisk behandling (företrädelsevis warfarin) kartläggas. I dag är det enbart perorala antikoagulantia (när denna behandling är indicerad) som visat överlevnadsvinster av samtliga befintliga medicinska behandlingsalternativ vid flimmer [1]. Andra preparat, som dronedaron, har dock visat en positiv effekt på kardiovaskulär död men inte total mortalitet i en icke-hierarkisk sekundär analys [2].
För de flesta patienter blir också frekvensreglerande behandling (i första hand betablockad eller kalciumflödeshämmare) aktuell, eftersom AV-noden har begränsad förmåga att reglera kammarfrekvensen vid förmaksflimmer.
Vid symtomgivande paroxysmalt eller persisterande förmaksflimmer, trots frekvensreglerande läkemedelsbehandling, bör antiarytmisk läkemedelsbehandling övervägas i syftet att eftersträva sinusrytm. Läkemedel som rekommenderas för detta ändamål sammanfattas i Figur 2. Dessa antiarytmika motverkar flimmeruppkomst genom påverkan på ledningshastighet och elektrisk återhämtning i förmaksmuskulaturen. Användningen av antiarytmika begränsas av deras måttligt goda effekt och risken för biverkningar, inklusive proarytmi med plötslig död.
Tekniker för ablation av förmaksflimmer
Om utprövad läkemedelsbehandling av patienter med uttalade besvär av förmaksflimmer inte har avsedd effekt, kan kateterburen ablationsbehandling med lungvensisolering bli aktuell.
Kateterburen ablationsbehandling av förmaksflimmer beskrevs första gången under senare delen av 1990-talet sedan man visat att spontant uppträdande elektrisk aktivitet från områden i hjärtats lungvener kan leda till förmaksflimmer.
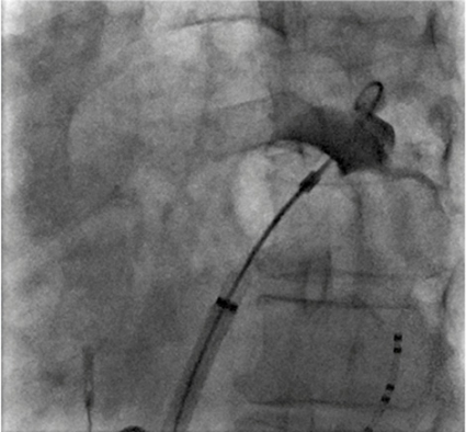
Initialt användes värmeenergi (radiofrekvensablation) punktvis via en kateter mot områden runt lungvenerna för att avlägsna därifrån kommande spontant uppträdande elektrisk aktivitet och därigenom förebygga anfallsvis uppträdande förmaksflimmer [3]. Metoden innefattar punktion av förmaksseptum, s k transseptal punktion. Konventionell röntgengenomlysning i olika projektioner krävs för anatomisk vägledning vid placering av katetrar.
Studier har sedermera visat att elektrisk isolering av samtliga lungvener, lungvensisolering (Figur 3), krävs för att uppnå bästa resultat, vilket i dag är den standardteknik som rekommenderas vid ablation av förmaksflimmer [4]. Vanligen används radiofrekvensenergi, och flera nya katetermodeller har utvecklats och anpassats till lungvenernas anatomi (Figur 3). För att förenkla ingreppet och minska risken för komplikationer har även frysning (kryoablation) med s k kryoballonger utprövats [5].
I vissa fall kombineras lungvensisolering med ablation av s k fraktionerade potentialer (områden i förmaken som man tror elektriskt kan underhålla förmaksflimmer) eller med förutbestämda, elektriskt isolerande linjer mellan lungvensparen mot mitralisklaffen eller inuti sinus coronarius. En nackdel med dessa linjer är ökad risk för regelbundna snabba rytmrubbningar runt områden i vänster förmak där isoleringen är ofullständig.
Andra tekniker har utvecklats, t ex speciella tredimensionella mappningssystem som kan återge en elektrisk och anatomisk bild av vänster förmak och som kan integreras med datortomigrafibilder (Figur 3). Ett alternativ eller komplement till dessa mappningssystem är användning av intrakardiellt ultraljud, som dock kräver mer personal.
Kateterablation kan även ske på distans med hjälp av robotsystem som via t ex kraftiga externa magnetfält styr magnetförsedda katetrar i hjärtat. Metoden, som introducerades för cirka tio år sedan, är mycket kostsam och dessutom ofullständigt utvärderad.
För att förebygga tromboemboliska komplikationer behandlas samtliga patienter med blodförtunnande läkemedel (warfarin) under minst 3 veckor före och varierande tid efter ingreppet. Transesofagealt ultraljud utförs dagen före ingreppet för att utesluta förekomst av blodpropp i vänster förmak. Patienten (som oftast är vaken under ingreppet) behöver vanligen lätt lugnande och smärtlindrande medicinering, eftersom värme- eller frysenergi för ablation oftast ger en viss smärtupplevelse. Tidsåtgången för ett ingrepp varierar mellan 2 och 4 timmar, varav röntgengenomlysning pågår mellan 20 och 100 minuter, beroende på teknik och erfarenhet. Vårdtiden i anslutning till ingreppet är ca 3 dagar.
Kateterablation ger bättre effekt än läkemedel
I åtta randomiserade kontrollerade studier har kateterburen ablationsbehandling jämförts med rytmreglerande läkemedelsbehandling (Figur 4). De flesta studier har inkluderat patienter med enbart paroxysmalt förmaksflimmer [6-9], en studie omfattade enbart patienter med persisterande förmaksflimmer [10], medan övriga tre omfattade båda typerna av förmaksflimmer [11-13].
Indikation för ingreppet har i sju av dessa studier varit att 1–2 antiarytmiska läkemedel inte haft avsedd effekt mot symtomgivande förmaksflimmer. I samtliga studier var behandling med lungvensisolering, med eller utan extra linjära lesioner, bättre än läkemedel som skydd mot återkommande förmaksflimmer, och en del studier påvisade även förbättrad livskvalitet vid en uppföljningstid på 9–12 månader. I mer än hälften av studierna krävdes mer än ett behandlingstillfälle, men i flertalet studier uppnåddes resultaten utan behov av fortsatt farmakologisk behandling i ablationsgruppen.
Den relativt stora variationen i behandlingseffekt (37–70 procent) kan tillskrivas typ av förmaksflimmer, skillnader i patienturval, val av läkemedelsstrategi i kontrollgruppen, behandlingsteknik, kateteriseringserfarenhet och kriterier för behandlingseffekt. Studier som inkluderat patienter med ihållande förmaksflimmer rapporterade sämre behandlingsresultat än de som studerat patienter med anfallsvis uppträdande förmaksflimmer.
Det finns ett flertal metaanalyser av studier som jämfört förmaksflimmerablation med rytmreglerande läkemedelsbehandling [14]. Sex av dem, som baseras på randomiserade studier, bekräftar att radiofrekvensablation mot förmaksflimmer är mer effektivt än rytmreglerande läkemedelsbehandling för att uppnå flimmerfrihet, minskade symtom och färre sjukhusvistelser efter cirka 1 års uppföljning.
Risk för återfall efter ablation
Vald uppföljningsstrategi för detektion av återfall i förmaksflimmer är avgörande för utfallet [15]. Månatliga bandspelar-EKG under 7 dygn eller daglig inklusive symtomaktiverad telefonöverförd rytmregistrering kan detektera endast 70 procent av återfallen i paroxysmalt förmaksflimmer under 1 år [16].
Patienter med klaffsjukdom eller mekaniska klaffproteser som tidigare genomgått öppen hjärtkirurgi, är över 70–75 år, har permanent förmaksflimmer, nedsatt vänsterkammarfunktion (ejektionsfraktion under 35 procent) eller hjärtsvikt (NYHA III–IV [New York Heart Association]) eller förstorat vänsterförmak har i de flesta ablationsstudier exkluderats, varför det är svårt att avgöra om behandlingsresultaten gäller även för dessa patientgrupper. Generellt sett har indikationerna breddats i takt med att behandlingsresultaten förbättrats.
Återfallsrisken vid upp till 5 års uppföljning efter ablation har studerats i ett fåtal icke-randomiserade studier. Patienter med paroxysmalt eller ihållande förmaksflimmer som framgångsrikt behandlats med radiofrekvensablation och som vid 12 månaders uppföljning var besvärsfria, var fria från återfall i 58,2 procent efter en uppföljningstid på 49,7 månader [17]. Återfallsfrekvensen i förmaksflimmer ökade därefter kontinuerligt, från 13,0 procent vid 2 år till 54,6 procent vid 6 år, oavsett typ av förmaksflimmer [17]. Andra studier har rapporterat liknande observationer.
Hälsoekonomiska analyser tyder på att kateterburen ablation kan vara en kostnadseffektiv behandlingsmetod för patienter där tidigare behandling med antiarytmiska läkemedel inte givit önskad effekt. Det finns dock en viss osäkerhet om huruvida effekterna på patientens livskvalitet består på längre sikt.
Allvarliga komplikationer hos 4–5 procent
Prevalensen av allvarliga komplikationer efter lungvensisolering uppskattas till cirka 4–5 procent. Dessa är hjärttamponad, dvs blodutgjutning i hjärtsäcken (1 procent), vaskulära komplikationer (1–2 procent), embolier/stroke (1–1,5 procent), förlamning av mellangärdesnerven (1–5 procent) och lungvensförträngning (1–1,5 procent). Lungvensstenos efter radiofrekvensablation kan progrediera och ge symtom sent (3 månader efter behandlingen) men är ofta asymtomatisk. Symtom som bör föranleda utredning är övre luftvägsbesvär med hosta och särskilt hemoptys. Ocklusion av lungven kan ge svårtolkade symtom med debut från 1 vecka upp till 6 månader efter ett ingrepp och behandlas med dilatation och inläggning av stent. Tyst cerebral mikroembolisering i nära anslutning till lungvensisolering med radiofrekvensablation har rapporterats, och permanenta kognitiva störningar som följd har beskrivits.
Mortaliteten vid förmaksflimmerablation uppskattas till 0,1–0,2 procent, med tamponad som vanligaste orsak följd av fistel i matstrupen och slaganfall [18, 19].
Eftersom flertalet publicerade studier kommer från ett begränsat antal centra med höga volymer av ingrepp, är det inte givet att resultat och komplikationer från mindre centra ligger på samma nivå. Förmaksflimmerablation är ett komplicerat ingrepp, som kräver mångårig kateteriseringserfarenhet och elektrofysiologiskt kunnande.
Även om betydande framsteg har gjorts för att förstå orsaken till förmaksflimmer och hur detta tillstånd kan behandlas kvarstår flera obesvarade frågor. Metodiken vid förmaksflimmerablation är ännu inte utvecklad för att uppnå bästa resultat och lägsta risk för komplikationer vid olika typer av förmaksflimmer.
Indikation – vinst måste vägas mot risk
Kateterablation vid förmaksflimmer ska vara reserverad för de patienter som har kvarstående betydande symtom av flimret trots adekvat frekvens- och rytmreglering. Med adekvat rytmreglering menas att man ska ha prövat minst ett antiarytmiskt läkemedel i adekvat dos och tid (cirka 3 månader). Om läkemedlet givit upphov till preparatspecifika biverkningar som lett till utsättning kan det vara rimligt att pröva ytterligare ett läkemedel. Man ska också i möjligaste mån förvissa sig om att patientens symtom beror på förmaksflimret och inte på annan patologi, t ex nedsatt lungfunktion, ischemisk hjärtsjukdom, övervikt eller nedsatt vänsterkammarfunktion som inte orsakats av dålig kammarfrekvensreglering vid flimmer.
Inför valet att genomföra ett kateterburet ingrepp ska följande beaktas:
• grad av patologi i vänster förmak (flimmertyp, förmaksstorlek) som kan ge sämre resultat
• förekomst och allvarlighetsgrad av associerad kardiovaskulär sjukdom som kan öka risken vid ingreppet och även ge sämre resultat
• möjliga behandlingsalternativ (frekvens- och rytmreglering, pacemakerimplantation följd av His-ablation, kirurgisk ablation)
• patientens egna önskemål och preferenser.
För varje flimmerpatient måste vinsterna av ett ingrepp överväga de potentiellt allvarliga komplikationer ingreppet kan medföra. Det är därför rimligt att en elektrofysiolog tar ställning till dessa komplexa frågeställningar vid ett förberedande mottagningsbesök. Andra faktorer av betydelse är operatörens erfarenhet och aktuella komplikationssiffror för respektive elektrofysiologiskt centrum.
Det finns ingen absolut åldersgräns för när flimmerablation inte kan genomföras. Eftersom risken för komplikationer ökar med åldern, har metoden hittills bedömts vara aktuell i första hand för personer upp till 70 år. Kraftig övervikt (BMI >35) medför generellt ökad komplikationsrisk och utgör därför en relativ kontraindikation för ingreppet.
Alternativa icke-farmakologiska metoder
Ett alternativ till flimmerablation är pacemakerimplantation följd av His-ablation, en metod som syftar till att åstadkomma ett totalt block i AV-knutan, varefter pacemakern styr kammarfrekvensen. Metoden används i frekvensreglerande syfte vid framför allt ihållande förmaksflimmer, men förmaksflimret eller risken för blodproppsbildning elimineras inte. Pacemakerimplantation har i studier visats vara säker och leder i många fall till symtomförbättring. Eftersom patienterna blir pacemakerberoende, är metoden förbehållen företrädelsevis äldre och patienter som inte lämpar sig för förmaksflimmerablation och där tidigare läkemedelsbehandling för frekvens- och rytmkontroll inte givit avsedd effekt eller medfört intolerabla biverkningar.
Öppen hjärtkirurgi, s k maze-operation, innebär att man gör transmurala snitt som en labyrint och sedan suturerar hjärtats båda förmak för att skapa elektriska barriärer i syfte att förhindra flimmeruppkomst. Vid detta ingrepp avlägsnar man dessutom förmaksöronen, vilka är källor för tromboemboliskt material. Detta ingrepp är i dag sannolikt det mest effektiva sättet att erhålla flimmerfrihet, och i uppföljning över 5 år rapporteras bibehållen sinusrytm hos cirka 90 procent av patienterna.
Maze-operation kräver tillgång till hjärt–lungmaskin och medför en konvalescenstid motsvarande en kranskärlsoperation. Komplikationsriskerna är högre än vid flimmerablation, och mortalitetsrisken är cirka 1 procent. Av dessa skäl blir få patienter aktuella för maze-operation som enskilt ingrepp. Ingreppet kan övervägas vid långtstående/kroniskt förmaksflimmer och då tidigare flimmerablationsingrepp misslyckats eller inte kunnat genomföras. Vanligare är att patienter erhåller flimmerkirurgi i samband med annan planerad hjärtkirurgi, såsom kranskärls- eller klaffoperation.
En relativt ny teknik, titthålsablation (torakoskopisk teknik) med utifrån anlagda ablationslinjer epikardiellt för lungvensisolering har nyligen introducerats [20] och är under utveckling. I dag kan denna teknik erbjudas patienter som ett alternativ då kateterablation misslyckats eller inte bedöms lämplig.
Uppföljning under 1–2 år
Efter kateterablationen övervakas patienten vanligen 1 dygn på sjukhus för att upptäcka eventuella sena komplikationer såsom perikardutgjutning/-tamponad. Warfarinbehandling bibehålls vanligen minst 3 månader efter ingreppet, därefter styrs den fortsatta behandlingen av patientens tromboembolirisk enligt riskvärderingssystemet CHA2DS2-VASc. Konsensus föreligger om att warfarinbehandling bör fortgå tills vidare oavsett resultatet av ablationsbehandlingen för patienter med ≥2 CHA2DS2-VASc-poäng – med reservation för kvinnligt kön eller ålder 65–74 år.
Vid utskrivning informeras patienten om att vara observant på vissa symtom, t ex feber, dyspné och hosta, och utrustas med kontaktuppgifter till ansvarig operatör eller motsvarande. Vidare informeras om att tidiga flimmerrecidiv är vanliga beroende på retning och inflammation i förmaket och att de inte behöver betyda att ingreppet misslyckats (upp till 60 procent av patienterna med tidiga flimmerrecidiv är flimmerfria vid långtidsuppföljning).
Ett första utvärderande besök bör ske efter cirka 3 månader, eventuellt föregånget av bandspelarregistrering av hjärtrytmen. Om antiarytmika inte satts ut efter ingreppet, bör detta göras vid flimmerfrihet eller om patienten är förbättrad utan säkra symtom. Om patienten har symtom på flimmer som inte registrerats på genomförd bandspelarregistrering, kan patienten utrustas med hjärtmonitor som registrerar vid arytmihändelse. Om patienten har kvarstående symtomatiskt flimmer kan ett nytt ingrepp planeras.
Vid symtomfrihet eller väsentlig förbättring följs patienten var 6:e månad under 1–2 år beroende på resurstillgång. Risk för återfall finns alltid, men det är patientens symtom som ska styra ställningstagande till fortsatt läkemedelsbehandling eller nytt ablationsförsök.
Fortsatt antikoagulationsbehandling efter ablation rekommenderas dels om patienten har riskfaktorer för tromboembolism (se ovan), eftersom man inte med säkerhet kan utesluta återfall av förmaksflimmer, dels om patienten har kvarstående symtom som motiverar ett andra ingrepp. Blodtryck mäts vid samtliga kontroller.
SBU har utvärderat
Behandlingsmetoden är nyligen utvärderad av SBU [21], som konkluderar att kateterburen ablation ger bättre effekt på symtomen än fortsatt läkemedelsbehandling bland patienter som har uttalade symtom på förmaksflimmer och som inte får god effekt av läkemedel. Det vetenskapliga underlaget anses otillräckligt för slutsatser om metodens kostnadseffektivitet på grund av osäkerhet om effekterna på lång sikt.
*
Potentiella bindningar eller jävsförhållanden: Carina Blomström Lundqvist har forskningsstöd från Medtronic, Atricure och CardioNord.






