Kolonspiroketos – behandlingsbart och värt att uppmärksamma
Spiroketer utgör en uråldrig fylogenetisk grupp inom släktet bakterier. Även om de ur medicinsk synvinkel är viktiga och hos människan orsakar ett flertal viktiga sjukdomar är vår kunskap om spiroketer jämfört med andra bakterier mycket begränsad.
Mikroskopets uppfinnare, Antonie van Leeuwenhoek, beskrev redan 1681 spiroketliknande bakterier från egna diarréprov. Liknande iakttagelser följde sedan kring sekelskiftet 1800–1900. De första som använde begreppet »intestinal spiroketos« var Harland och Lee 1967 [1]. Duhamel mfl menar att »kolonspiroketos« är en mer korrekt benämning, eftersom spiroketerna inte har hittats i någon annan del av tarmen de senaste 100 åren [2]. Vi har därför valt att använda denna benämning.
Inom veterinärmedicinen är det sedan länge känt att spiroketer kan orsaka inflammation i kolon och diarréer hos apa, hund, svin, höns och gnagare [2]. Hos människan är situationen oklar. Det finns de som menar att spiroketerna är tillfälliga fynd utan patologisk betydelse, medan andra har den uppfattningen att de kan orsaka diarréer, kolit, appendicit, rektala blödningar, tenesmer och ledsmärtor [3-7]. I en aktuell studie från Australien har man funnit statistiskt belägg för sambandet mellan kroniska diarréer och intestinal spiroketos [8]. De flesta beskriver förekomsten av spiroketer utan samtidig inflammation i tarmslemhinnan [4, 5, 9]. Vissa noterar dock bilden av en »mikroskopisk kolit«. De har funnit spiroketer intraepitelialt, i lamina propria, med samtidig ökad förekomst av IgE-producerande plasmaceller och i Schwann-celler [10-13].
Humana spiroketer i tarmen har under åren haft flera olika benämningar: Borrelia, Serpulina och numera Brachyspira. Man känner i dag till minst tre arter av Brachyspira hos människan. De två mest kända är B pilosicoli och B aalborgi, den tredje har ännu inte fått något namn [14]. Human kolonspiroketos finns framför allt beskriven hos vuxna, medan pediatriska artiklar är få [11, 15].
Epidemiologi
Den rapporterade prevalensen av kolonspiroketos varierar mellan 2 och 10 procent i Västeuropa och uppgår till ca 30 procent hos aboriginer i Australien [4, 16]. Bland appendektomerade patienter är förekomsten 2,1–7,8 procent [17]. Hos homosexuella män nämns siffror på upp till 50 procent [18]. B pilosicoli har återfunnits hos människa, apa, pungråtta, hund, svin, fåglar och gnagare och har associerats till diarréer hos alla [2]. B aalborgi har beskrivits hos enbart människa, primater och pungråtta [2]. Fynd av B pilosicoli har rapporterats från hela världen, främst från Asien, Australien och Afrika, medan B aalborgi mest har beskrivits i Västeuropa. Smitta sker sannolikt via förorenat vatten och från djur för B pilosicolis del. För B aalborgi är smittvägen okänd. Ett eventuellt samband med samtidig Helicobacter-infektion har uppmärksammats av Duhamel [19].
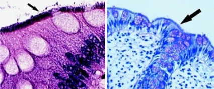
Diagnostik
Diagnostik av kolonspiroketos sker främst genom mikroskopi, där man ser spiroketerna som ett basofilt »borstbräm« ovanpå enterocyternas mikrovilli. Detta är synligt med hematoxylin– eosinfärgning, men är betydligt lättare att se med Giemsa-, Grocott-, Warthin–Starry- eller MacManus-färgning. B aalborgi kan identifieras med hjälp av immunhistokemi med specifika antikroppar [20]. Vid elektronmikroskopi ses spiroketerna som 1,5–4,5 (my)m långa strukturer med en diameter på 0,2 (my)m, oftast fästa vertikalt på enterocytytan. Under de senaste åren har PCR och in situ-hybridiseringsmetoder utvecklats för B aalborgi, och dessa har även framodlats från både kolonslemhinna och feces [9, 14, 20, 21].
Pediatriska erfarenheter
Vi har tidigare rapporterat åtta patienter, som här redovisas med APMIS godkännande [11]. Till dessa har tillkommit åtta nya fall. Insamling av data har skett genom personlig förfrågan bland kolleger och har inte varit upplagd som en klinisk studie. Klinik, histologi och behandling återges i Tabell I och mikroskopiska bilder i Figur 1. Av 16 patienter behandlades sju framgångsrikt med antibiotika, tre med vissa förbättringar, men inte total besvärsfrihet, och hos tre noterades ingen skillnad. Tre patienter fick ingen behandling.
I litteraturen har främst metronidazol använts med påvisad eradikering av spiroketerna. Våra patienter behandlades lika ofta med klarytromycin. Brachyspira isolerade från människa är mycket svårodlade, och in vitro-försök med antibiotika finns endast utförda mot B pilosicoli [22]. Man kunde påvisa känslighet för metronidazol, medan klarytromycin inte ingick i testen. På elva av 16 kolonbiopsier utfördes immunhistokemisk färgning, och i samtliga dessa fall kunde Brachyspira aalborgi påvisas med specifika antikroppar.
En av dessa elva patienter (nr 5, Tabell I) genomgick på grund av förhöjt (alfa)-fetoprotein även en leverbiopsi, där histologin var normal, men spiroketer påvisades vid elektronmikroskopi inne i levercellerna. I kolonepitelet hittades spiroketer inte enbart på ytan utan även inne i cytoplasmat. Denne pojke hade dock kraftigt förhöjd Borreliaserologi av både IgM- och IgG-typ vid upprepade blodprovstagningar. I likvor var cytologi och serologi negativa. Tyvärr fanns inget leverbiopsimaterial kvar från patienten för närmare artbestämning.
Humanpatogen eller inte?
Tio av 13 patienter förbättrades efter behandling med antibiotika, vilket inte bevisar men ger stöd för hypotesen att Brachyspira aalborgi kan vara humanpatogena. Intestinala spiroketer i levern har tidigare beskrivits i en fallrapport hos en aidspatient [23]. Vår patient (nr 5) liksom de övriga 15 hade ingen påvisad immundefekt. Han var dock den ende där spiroketer kunde påvisas inne i enterocyternas cytoplasma. Hepatit orsakad av Borrelia finns beskriven, och detta är också en möjlig förklaring till vårt fynd [24].
Man kan tänka sig flera olika mekanismer som förklaring till den divergerande uppfattningen om spiroketer är patogena eller inte. Det kan röra sig om olika typer av spiroketer. Först på senare tid har man kunnat skilja på B pilosicoli och B aalborgi, och flera olika stammar av B aalborgi har beskrivits [25]. Spiroketer behöver inte vara obligat men kan vara potentiellt patogena, såsom exempelvis streptokocker och Helicobacter pylori, som kan förekomma utan att framkalla sjukdom men också är kända orsaker till tonsillit respektive magsår.
Det är inte mer än drygt 20 år sedan som H pylori beskrevs som tillfälliga fynd i ventrikeln utan patologisk betydelse, en uppfattning som 2005 års Nobelpristagare, Warren och Marshall, ändrade på.
Mängden av spiroketer och deras utbredning kan vara avgörande. Tänkbara sjukdomsframkallande mekanismer är att spiroketerna fungerar som en barriär och orsakar störningar i tjocktarmens resorption av vätska [26]. Vissa Brachyspira kan vara mer invasiva och en möjlighet är att infektionen genom invasion av Schwann-celler påverkar tarmmotiliteten [13].
Även om spiroketer har hittats hos patienter med samtidig inflammatorisk tarmsjukdom och isolerade tarmpolyper betyder det inte nödvändigtvis att dessa är tillfälliga fynd. Det finns stöd för att bakterieepitoper kan starta och/eller aggravera immunologiska processer [27, 28]. Streptokocker kan exempelvis indirekt orsaka reaktiv artrit eller glomerulonefrit.
Det individuella svaret mot spiroketer kan också vara avgörande. Studier av Borrelia burgdorferi-infektioner hos asymtomatiska individer talar för att ett kraftigt Th 1-svar utrotar spiroketerna och att ett avvikande immunsvar kan förklara varför bara vissa utvecklar sjukdom [29]. Även om detta inte har studerats vid Brachyspira-infektioner kan liknande mekanismer vara möjliga.
Konklusion
Vår fallpresentation kan inte visa om Brachyspira aalborgi utgör en humanpatogen eller om »human kolonspiroketos« är ett sjukdomstillstånd. För det krävs bättre och enklare diagnostiska metoder men framför allt större prospektiva epidemiologiska studier. Syftet med denna artikel är först och främst att informera om förekomsten av intestinala spiroketer. I dag känner många läkare inte till Brachyspira-infektioner och deras eventuella betydelse, och många patologer noterar inte fyndet av spiroketer på kolonslemhinnan. Även i vårt material finns exempel på att förekomst av spiroketer inte har beaktats.
För att öka klinikers och patologers kunskap om deras förekomst och betydelse föreslår vi därför att man vid rekto-/koloskopi frågar efter förekomst av spiroketer.
*
Potentiella bindningar eller jävsförhållanden: Inga uppgivna.



