Kutan leishmaniasis en försummad hudinfektion
Leishmaniasis är en endemisk parasitinfektion som orsakas av minst ett tjugotal olika protozoer av släktet Leishmania. Smittämnet överförs genom bett av sandmyggor i tropiska och subtropiska områden. Leishmaniasis ger upphov till ett brett spektrum av kliniska manifestationer beroende på subtyp av Leishmania och patientens immunstatus.
Sjukdomen uppdelas i huvudformerna visceral, kutan, mukokutan och disseminerad leishmaniasis [1]. Ungefär 90 procent av all kutan leishmaniasis rapporteras från Afghanistan, Brasilien, Iran, Peru, Saudiarabien och Syrien. I Afghanistans huvudstad Kabul rapporteras en kraftig ökning i samband med kriget med upp till 60 000–200 000 nya fall årligen [2].
Globalt uppskattar WHO att ungefär 12 miljoner människor är infekterade med Leishmania spp och att minst 1–2 miljoner nya fall infekteras årligen. Med all sannolikhet finns ett stort mörkertal på grund av kraftig underrapportering. Under det senaste decenniet har leishmaniasis börjat uppmärksammas även i västvärlden. Allt fler resenärer, migranter, volontärer och militärer rör sig i områden med endemisk leishmaniasis [2].
Sedan år 2002 deltar Sverige i den internationella säkerhetsstyrkan (ISAF) i Afghanistan. Flertalet av de 500 svenskarna är stationerade i eller omkring Mazar-e Sharif [3]. Tidigare har man sett enstaka fall bland personal i säkerhetsstyrkan. Under hösten 2010 kom dock rapporter om ökat antal fall av kutan leishmaniasis i denna grupp. Några av dem behandlades på plats i Afghanistan, medan några utreddes och behandlades i Sverige.
fallbeskrivningar
Patient 1
Det första fallet gällde en 29-årig man som under en del av 2010 var stationerad i området kring Mazar-e Sharif i norra Afghanistan. I samband med hemkomsten till Sverige debuterade ett sår på vänster flank. Trots omläggningar och antibiotikabehandling förvärrades såret, och mannen remitterades till infektionsklinik. Med tanke på den kliniska bilden och anamnesen var misstanken om kutan leishmaniasis stark. Hudskrap och hudbiopsi från såret togs enligt gängse rutiner, och samtidigt skickades en licensansökan för natriumstiboglukonat (Pentostam) in.
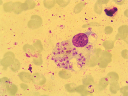
Provsvaret från Smittskyddsinstitutet (SMI) visade amastigoter i direktmikroskopi (Figur 1), och odling och typning visade växt av L major. Cirka 10 dagar efter första kontakten med infektionskliniken påbörjades behandling med intralesionella injektioner av natriumstiboglukonat en gång per vecka. Såret förbättrades och läkte ihop, vilket gjorde att man efter fyra injektioner kunde avsluta behandlingen.
Patienten var aldrig allmänpåverkad, utan sökte vård framför allt eftersom såret vid byxlinningen ömmade, vätskade och successivt blev allt större. I blodproven påvisades ingen leverpåverkan. S-kreatinin, elektrolyter och blodstatus var normala. Även inflammatoriska parametrar var normala. Under pågående terapi var patienten välmående förutom att han i samband med injektionerna kände en brännande smärta, som varade några timmar efter behandlingen. Lokalbedövning användes inte vid injektionerna.
Patient 2
Vår andra patient var en 24-årig kvinna som i samband med tjänstgöring i Afghanistan under sommaren 2010 fick tre insektsbett på framsidan av vänster underben. Dessa utvecklades till svårläkta sår. Militärsjukhuset i Marmal diagnostiserade kutan leishmaniasis och påbörjade behandling med intralesionella injektioner med natriumstiboglukonat. Före hemkomsten till Sverige erhöll hon två injektioner.
Hon tog kontakt med infektionskliniken på sin hemort för fortsatt behandling under 14 dagars permission i Sverige. För att verifiera diagnosen togs hudskrap och stansbiopsi från såret vid första besöket. Leishmania-amastigoter påvisades, och typningen visade efter hand L major. Hon återvände till Afghanistan och fick där ytterligare lokalbehandlingar med natriumstiboglukonat. Ett av såren var svårläkt, och kryobehandling användes dessutom 1 gång/vecka under 2 veckor. Därefter läkte även detta sår.
Sammanfattningsvis gavs 5 veckors behandling med intralesionellt natriumstiboglukonat, med 2 veckors uppehåll då hon var i Sverige, och efterföljande kryobehandlingar på platsen för ett av såren.
Patient 3
Den tredje patienten var en 20-årig man som var stationerad i närheten av Mazar-e Sharif under sommaren 2010. Några veckor efter hemkomsten uppdagades ett sår på baksidan av vänster vad. Mannen själv trodde han hade ådragit sig såret i samband med skogsarbete hemma i Sverige. Såret varierade i storlek och var som störst femkronestort. Eftersom det inte orsakade några större besvär sökte han inte vård. Efter diskussioner med kollegor vände han sig till sjukvården först efter knappt 3 månaders sårduration. Misstanke om leishmaniasis fanns med tanke på utseende och anamnes.
Hudskrap och hudbiopsi togs, men några amastigoter kunde inte påvisas. Efter 4–5 veckor växte dock L major i odlingen. Eftersom det inte fanns några amastigoter och mannen inte besvärades av såret, avvaktade man med intralesionell behandling med natriumstiboglukonat. När odlingssvaret kom hade såret läkt ihop. Kvar fanns bara ett mindre ärr efter hudbiopsin och en mörk rodnad/ärr på platsen för det tidigare femkronestora såret.
Diskussion
Leishmania spp överförs med sandmyggor av släktet Phlebotomus i Asien, Afrika och södra Europa och Lutzomyia i Syd- och Mellanamerika. I Afghanistan orsakas kutan leishmaniasis av framför allt L major och L tropica. I Östafrika kan infektionen även orsakas av den mer ovanliga subtypen L aethiopica och ge upphov till en mer diffus och utbredd hudinfektion. Till skillnad från de varianter av kutan leishmaniasis som finns i Syd- och Mellanamerika finns ingen risk för spridning av Leishmania-parasiter till slemhinnor hos de former av hudinfektionen som inträffar i Mellanöstern.
I Afghanistan sker spridning av L major företrädesvis på landsbygden, framför allt av sandmyggearterna Phlebotomus optimus och Phlebotomus papatasi. Kutan leishmaniasis orsakad av L major är en zoonos där gnagare är värddjur. Infektion orsakad av L tropica anses däremot vara en antroponos. Denna variant av leishmaniasis finns framför allt i urbana miljöer och sprids oftast med Phlebotomus sergenti. Området i och runt staden Mazar-e Sharif där de svenska trupperna har sin huvudsakliga verksamhet är endemiskt för båda dessa former av kutan leishmaniais. Insjuknandet har en säsongsvariation; nyinsjuknande av infektion orsakad av L tropica är vanligast förekommande under våren, medan lesioner av L major oftast debuterar under hösten [4].
Omfattande social misär effektiv grogrund
Flera faktorer påverkar utbredningen och antalet som blir infekterade: politisk instabilitet med flyktingströmmar, dåliga livsförhållanden, miljöförändringar, urbanisering och migration av icke-immuna till endemiska områden.
Att tvingas lämna sin bostad och tillbringa nätterna utomhus eller i bristfälliga härbärgen utan myggnät eller tillräckligt skydd innebär en stor risk för infekterande sandmyggebett under sen eftermiddag, skymning och nattetid. Den militära konflikten i Afghanistan med mycket omfattande social misär har varit en effektiv grogrund för den mycket kraftiga ökningen av kutan leishmaniasis i olika delar av landet, och inte minst barnen har drabbats hårt [2].
Bland de militära säkerhetsstyrkorna som anlände tidigt under konflikten till Afghanistan underskattades risken för leishmaniasis initialt. Bland de holländska trupperna som kom först infekterades 18,3 procent (172/938 individer) med kutan leishmaniasis på grund av bristande skydd [5].
På individnivå påverkas risken att insjukna även av subtyp av Leishmania, vektorns virulensfaktorer och mottagarens immunförsvar [6].
Den kliniska bilden varierar
Kliniskt varierar utseendet vid kutan leishmaniasis. Eftersom sandmyggan i första hand är en »kvälls- och nattbitare« drabbas exponerad hud som ansikte, händer, armar och ben. Ofta ser man ulcererande sår med vallartade kanter, central nekros och flagnande hud runt såret, som ofta är smärtfritt. Utseendet av såret har gett upphov till den gamla svenska termen »orientböld«. Förändringarna kan även vara disseminerade eller multipla. I en del fall kan ses en spridning av satellitlesioner längs lymfkärlen på extremiteterna, vilket benämns sporotrikoid spridning.
Däremot sprids inte L major och L tropica till de inre organen, till skillnad från L donovani som ger upphov till visceral leishmaniasis (framför allt i Sudan och Indien) och L infantum (södra Europa).
Behandling för bättre läkning och mindre ärrbildning
Kutan leishmaniasis spontanläker ofta, men kan lämna stigmatiserande och fula ärr, vilket i endemiska länder kan leda till allvarlig social stigmatisering. Infektion orsakad av L major kan läka ut på några månader, medan lesioner av L tropica kan ta över 1 år. Ofta övervägs behandling för att påskynda läkningen, minska ärrbildningen och förhindra sekundärinfektioner.
Behandlingsrekommendationer härrör ofta från mindre observationsstudier med varierande kvalitet. Vid okomplicerade lokala lesioner finns ett flertal olika behandlingsalternativ: lokal behandling med intralesionellt natriumstiboglukonat, ytlig paromomycinbehandling, kryobehandling eller termobehandling (som genom högenergivågor skadar de temperaturkänsliga protozoerna) [7]. Lokala recidiv av infektionen är relativt vanligt förekommande vid alla typer av behandling.
Tidigare studier gjorda i Turkiet och Iran visar att en kombination av kryobehandling och intralesionellt natriumstiboglukonat har bättre effekt än de olika behandlingarna som monoterapier [8, 9]. En liknande studie gjord i Afghanistan visade ingen signifikant skillnad mellan intralesionellt natriumstiboglukonat i kombination med kryobehandling eller som monoterapi [5]. I en amerikansk studie har man undersökt termobehandling som monoterapi. Man jämförde behandlingsresultatet med intravenöst natriumstiboglukonat och fann då jämförbara behandlingsresultat, men att termobehandling var mindre toxisk [10]. Dock gjordes ingen jämförelse med intralesionell behandling med natriumstiboglukonat.
Vid utbredda eller multipla hudlesioner bör systemisk behandling ges. I första hand används ofta parenteralt natriumstiboglukonat. Ett peroralt alternativ vid infektion orsakad av L major är flukonazol 200 mg × 1 × 6 veckor. Bland holländsk militär personal i Afghanistan har peroral behandling med miltefosin prövats vid i första hand infektionsrecidiv [5].
För att utvärdera effekten bättre krävs dock kontrollerade studier, eftersom spontanläkning är vanligt förekommande.
Bortglömd infektion kan få uppmärksamhet
I och med de militära och humanitära insatserna i Afghanistan har denna bortglömda infektion, som annars drabbar enbart de allra fattigaste, nu fått en annan aktualitet i västvärlden. Det är således inte otänkbart att patienter med kutan leishmaniasis kan söka på svenska vårdcentraler, hudmottagningar och infektionskliniker.
Med dessa tre fall vill vi belysa att det finns flera behandlingsalternativ men ingen etablerad standardbehandling vid kutan leishmaniasis. Förhoppningsvis kan uppmärksamheten på de aktuella fallen med leishmaniasis bland militär personal från västvärlden leda till ökat fokus på att finna nya behandlingsalternativ mot denna tidigare så försummade parasitinfektion – och att denna behandling i första hand kommer befolkningen i endemiska länder till godo. Vaccin mot leishmaniasis finns ännu inte tillgängligt, men omfattande vaccinforskning pågår.
*
Potentiella bindningar eller jävsförhållanden: Inga uppgivna.


