Kvalitetssäkrad analys av tillväxtfaktor erbjuds nu på svenska laboratorier
Drygt 6000 kvinnor drabbas varje år av bröstcancer i Sverige. Vid bröstcancerdiagnostik bedömer patologen – utöver radikalitet, tumörtyp, storlek och histologisk grad – idag även andra egenskaper hos tumörcellerna. Dessa är ofta av prognostisk betydelse eller avgörande för valet av eventuell adjuvant terapi. Exempel på egenskaper som bedöms av patologen är förekomst av östrogen- och progesteronreceptorer samt överuttryck och/eller genamplifiering av human epidermal tillväxtfaktor 2 (HER2) [1]. Mellan 20 och 30 procent av all bröstcancer visar ett överuttryck av HER2 i tumörcellerna. HER2-proteinet fungerar som receptor för epidermala tillväxtfaktorer och har betydelse för celltillväxt och differentiering.
Det finns ett samband mellan överuttryck av HER2 och aggressiv bröstcancer med sämre prognos, snabbare recidiv och metastaser [2]. De metoder som används rutinmässigt för att bestämma överuttryck av HER2-tillväxtfaktorreceptorn är analys av tumörcellernas proteinuttryck med immunhistokemi eller analys av tumörcellernas genuttryck med fluorescens in situ-hybridisering (FISH). Uttryck på tumörcellerna av HER2-proteinet graderas i en fyrgradig skala, 0–3. Genuttrycket bedöms som amplifierat eller inte. Vid amplifiering av HER2-genen överuttrycks oftast proteinet HER2.
Trastuzumab är en biologiskt framställd monoklonal antikropp som blockerar funktionen av HER2-tillväxtfaktorreceptorn. Trastuzumab kan vara ett behandlingsalternativ för de patienter vars tumörer visar ett överuttryck av HER2-proteinet. Trastuzumab givet i kombination med kemoterapi vid tumörrecidiv ger signifikant förbättrad överlevnad och längre tid till sjukdomsprogress [3]. För patienter med normalt uttryck av HER2 i tumörvävnaden är behandling med trastuzumab inte meningsfull [4, 5].
Kvalitetssäkringsprojektet HER 2001
Under hösten 1999 bildades på initiativ av Karolinska Universitetssjukhuset en referensgrupp med patologer och biomedicinska analytiker från samtliga sjukvårdsregioner och universitetssjukhus i landet med avsikt att dela erfarenheter kring HER2-testning, ta del av nya tekniker och metoder samt dra upp nationella riktlinjer för hur kvalitetssäkrad testning skall genomföras.
Flera patologiska laboratorier är anslutna till internationella kvalitetssäkringsprogram för immunhistokemiska analyser, men program för molekylärbiologiska analyser på histopatologiskt material saknas. Inom ramen för den nationella referensgruppen för HER2-analyser genomfördes under 2001– 2002 ett kvalitetssäkringsprojekt, HER 2001-projektet. Nio patologiska laboratorier anslöt sig till detta kvalitetssäkringsprojekt.
Projektet började den 1 oktober 2001 och pågick under tolv månader. De nio deltagande laboratorierna fick utskick av arkiverat tumörmaterial, för vilka en redan genomförd HER2-analys fungerade som facit. Fem av utskicken var analyserade med Southern blot-metod och ett med tidigare utförd immunanalys.
Sammanlagt gjordes sex utskick med vardera fyra tumörer, som undersöktes med såväl immunhistokemi som FISH. Bedömning av färgningarna gjordes lokalt på de deltagande laboratorierna och rapporterades därefter till en central instans, som sammanställde resultaten. Resultatet bedömdes med hänsyn till överensstämmelse och bedömbarhet. För immunhistokemi har den fyrgradiga skalan 0–3 (Fakta 1) brutits ner på två grader, negativt (0–1+) eller positivt (2–3+), och FISH har angetts som amplifierat eller inte amplifierat.
Sammantaget blev resultaten av de sex utskicken (Tabell I) att i 60 procent av fallen visade samtliga laboratorier överensstämmande immunhistokemiska resultat 0–1+/2–3+. I 60 procent av fallen visade samtliga laboratorier överensstämmande FISH-resultat (ej amplifierade/amplifierade). Bedömbarheten avseende immunhistokemi var 100 procent och avseende FISH-analyser 86 procent.
Det största enskilda problemet i den första testgenomgången var icke-bedömbara resultat med FISH. Detta kan till en del förklaras av att flera av de deltagande laboratorierna då hade mycket begränsad erfarenhet av metoden. Falskt positiva liksom falskt negativa resultat med immunhistokemi sammanhängde med såväl suboptimal metod som avvikelse i bedömning av infärgningen.
Sedan kvalitetssäkringsprojekt HER 2001 avslutats i oktober 2002 beslutade referensgruppen att fortsätta med kvalitetsarbeten för HER2-analyserna. En arbetsgrupp bildades med uppgift att fortsätta arbetet med kvaliteten av analyserna. I arbetsgruppen på åtta personer ingår förutom patologer och biomedicinska analytiker representanter från onkologi.
Metod
Under år 2003 gjordes dels ett vävnadsutskick, dels en enkätundersökning. Den senare innehöll bla frågor om antal utförda analyser per år och hur man följer de nationella rekommendationerna. Vävnadsutskicket bestod av formalinfixerat, paraffininbäddat material från tio olika fall av bröstcancer från Universitetssjukhuset MAS i Malmö. Alla tio fallen utgjordes av duktal bröstcancer men med varierande malignitetsgrad. Samtliga fall var tidigare analyserade med immunhistokemi och nio av dem även med FISH. Vävnadsutskicket konstruerades i form av en »tissue array-kloss« – en metod som tillåter att alla tio fall bäddas in i samma kloss. Detta underlättar såväl snittning och färgning som bedömning. Materialet analyserades med immunhistokemi och FISH, vartefter analysresultaten bedömdes på de enskilda laboratorierna. Åtta referenslaboratorier deltog.
Arbetsgruppen sammanställde laboratoriernas resultat med hänsyn tagen till överensstämmelse och bedömbarhet. För immunhistokemi har den fyrgradiga skalan (0–3) brutits ned på två grader, negativt (0–1+) eller positivt (2–3+) och FISH har angetts som amplifierat eller inte amplifierat.
Resultat
Resultaten framgår av Tabell I. Av totalt 80 immunhistokemiskt analyserade prov avvek bedömningen endast för tre, vilket ger en överensstämmelse på 96 procent. Samtliga analyser var bedömbara. I FISH avvek endast ett prov, vilket medför en nära 99-procentig överensstämmelse mellan laboratorierna, och 97 procent av analyserna var bedömbara.
Enkätundersökningen visade att referenslaboratorierna i stort sett följer de rekommendationer som finns samt beaktar vikten av provets ingående kvalitet och att adekvat kontrollmaterial används vid analyserna. Det finns ersättare för den personal som hanterar analyserna, och laboratorierna har kapacitet att inom tio arbetsdagar utföra och besvara en HER2-frågeställning. En viktig del av enkäten behandlade frågor kring extern och intern kvalitetskontroll, vilket ledde till att referensgruppen skall arbeta fram ett dokument med riktlinjer och definitioner för extern och intern kvalitetskontroll för HER2-analyser.
Diskussion
Immunhistokemiska metoder har sedan länge använts inom histopatologisk diagnostik men huvudsakligen som kvalitativ metod. Immunhistokemiska och molekylärbiologiska analyser av HER2 är däremot exempel på sk farmakodiagnostiska test. Dessa omfattar såväl kvalitativa som semikvantitativa parametrar.
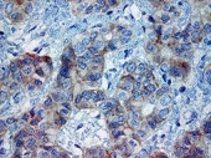
Överuttryck av proteinet (immunhistokemi) bedöms enligt en skala där hänsyn tas till: 1) andelen infärgade invasiva tumörceller, 2) huruvida infärgningen är partiell eller omfattar hela tumörcellens cirkumferens och 3) intensiteten i infärgningen (Figur 1) [6, 7]. Ett flertal såväl mono- som polyklonala antikroppar mot HER2-proteinet finns kommersiellt tillgängliga. Förbehandlingsprotokoll, automatiserad immunhistokemisk färgningsprocedur, val av antikropp, antikroppsspädning, inkubationstider etc varierar mellan olika laboratorier.
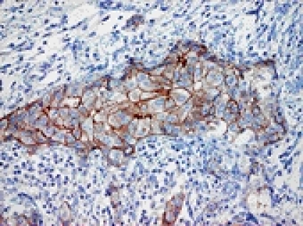
Analys av HER2 på gennivå (molekylärbiologi) utförs med in situ-hybridisering på snitt från formalinfixerat, paraffininbäddat tumörmaterial [8, 9]. De kommersiellt tillgängliga proberna för HER2-genen är konjugerade antingen till en fluorokrom som kan detekteras i fluorescensmikroskop, FISH, (Figur 2) eller till en kromogen som detekteras ljusmikroskopiskt, CISH. Med denna teknik kvantifieras antalet kopior av HER2-genen i enskilda tumörceller. In situ-hybridiseringstekniken har tidigare använts tämligen sparsamt inom histopatologisk rutindiagnostik, varför erfarenheterna av metoden varit begränsade utanför forskningslaboratorierna.
Bestämning av HER2 är behandlingsprediktivt (farmakodiagnostiskt test) vid bröstcancer. Mot bakgrund av detta bildades »referensgruppen för HER2-analyser« med målsättningen att det skulle finnas kliniskt patologisk kompetens för HER2-analyser, inkluderande FISH, vid minst ett laboratorium inom varje sjukvårdsregion. Sådan kliniskt patologisk kompetens förutsätter adekvat utrustning, kapacitet att utföra analyserna och adekvat antal utförda analyser per år. Därtill behövs kompetens för bedömning, validerade metoder samt program för intern och extern kvalitetskontroll.
Lokal testning har fördelar
Centralisering av HER2-analyser har diskuterats och övervägts. Lokal eller regional testning har dock fördelar, såsom kontrollerad vävnadspreparation, snabbare resultat och direkt återkoppling till lokalt verksamma onkologer inom ramen för rutinmässig konferensverksamhet. Med investering i utbildning, träning och erfarenhetsutbyte samt implementering av intern kvalitetskontroll och externa kvalitetssäkringsprogram finns goda förutsättningar för standardiserade, reproducerbara HER2-analysresultat även i decentraliserad form [10]. Skillnader i utfall av immunhistokemi och FISH är laboratorieberoende och beror inte i första hand på metoderna som sådana [11, 12].
Nio referenslaboratorier i Sverige
HER2-analyserna utförs numera rutinmässigt på referenslaboratorierna. Erfarenheterna, såväl laboratorietekniskt som bedömningsmässigt, har efter hand ökat och givit alltmer reproducerbara resultat. Kvalitetssäkringsarbetet visar också att kompetens finns och att referenslaboratorierna kan uppvisa analysresultat med hög och jämn reproducerbarhet.
FISH-analys finns etablerad vid följande patologkliniker som åtagit sig att tills vidare fungera som konsultlaboratorier:
Norrlands Universitetssjukhus, Umeå
Akademiska sjukhuset, Uppsala
Karolinska Universitetssjukhuset Solna
Universitetssjukhuset, Örebro
Universitetssjukhuset i Linköping
Sahlgrenska Universitetssjukhuset, Göteborg
Länssjukhuset, Kalmar
Universitetssjukhuset i Lund
Universitetssjukhuset MAS, Malmö
Nationella rekommendationer för HER2-testning
HER2-status undersöks primärt med immunhistokemisk metod. Provets fixeringstid skall vara kontrollerad, 24–72 timmar. Extern kontroll, vävnads- eller cellinjekontroll, såväl positiv av flera grader som negativ, färgas med varje fall.
De prov som utfaller 0–1+ rapporteras som negativa. Verifiering med in situ-hybridisering, FISH, görs i de fall som utfaller 2–3+ samt alla svårvärderade fall (gammalt arkivmaterial, provtyper som genomgått avvikande fixering och hantering).
Svensk förening för patologi publicerar rekommendationerna på sin webbplats. Referensgruppen planerar nya möten för att följa upp kunskapsutvecklingen inom området och övervaka rekommendationernas aktualitet. De svenska rekommendationerna är under bearbetning och kommer att modifieras för att vartefter anslutas till dem som tillämpas internationellt [11].
*
Potentiella bindningar eller jävsförhållanden: Kvalitetssäkringsprojekten HER 2001 och HER 2003 har genomförts med benäget bistånd från respektive deltagares hemkliniker samt från Roche AB.




