Gå till innehållet
Gå till startsidan

Denna webbplats vänder sig till läkare

Sök

Ländryggsröntgen ger falsk säkerhet och ringa nytta för patienten

Läs artikel som PDF

Röntgen av ländryggraden har stora diagnostiska svagheter och används dessutom alltför ofta vid utredning av »ont i ryggen«, trots att strikt indikation saknas. De senaste decenniernas tekniska utveckling av magnetisk resonanstomografi (MRT) och datortomografi (DT) gör att dessa modaliteter bör ersätta ländryggsröntgen som primärmetod vid utredning av »ont i ryggen« när indikation för bilddiagnostik föreligger.

Problemet med överanvändandet av utredningsmetoder och behandlingar som inte gagnar patienten lyftes fram 2010 i New England Journal of Medicine [1]. Två år senare lanserades i USA en bred kampanj, Choosing Wisely (http://www.choosingwisely.org) [2], med information till såväl den medicinska professio­nen som allmänheten om onyttan med vissa medicinska åtgärder. Den senaste rapporten från den drivande sammanslutningen, American Board of Internal Medicine (ABIM Foundation), baserades på 70 specialiteter där över 1 miljon läkare deltagit. Choosing Wisely har spridits till Kanada 2014 och därefter också till bl a Australien, Storbritannien, Nya Zeeland och flera europeiska länder.

I Sverige har Socialstyrelsen under 2000-talet fortlöpande presenterat nationella riktlinjer för olika sjukdomsgrupper. Dessa riktlinjer omfattar också rekommendationer om åtgärder som sjukvården inte bör utföra alls eftersom åtgärden i fråga inte ger någon positiv effekt eller kan medföra en risk för patienten. För närvarande saknas sådana riktlinjer för utredning av »ont i ryggen«.

Statens beredning för medicinsk och social utvärdering (SBU) har regeringens uppdrag att göra fullständiga utvärderingar av metoder som används inom hälso- och sjukvården. Utvärderingarna står för systematiska granskningar av det vetenskapliga underlaget för metodernas effekter, risker och kostnader. Det gäller således för alla metoder som används, vare sig det gäller prevention, diagnostik, behandling eller omvårdnad. Redan år 2000 konstaterade SBU i rapporten »Ont i ryggen, ont i nacken« att »vanlig röntgen­undersökning mycket sällan ger någon vägledning för diagnos« [3].

Dessa mera omfattande översikter uppvisar med nödvändighet en viss tröghet, och det kan därför vara befogat med mera punktvisa rapporter i de fall den medicinska professionen identifierar olika metoder som innebär patientsäkerhetsrisker eller saknar värde.

Indikation för bilddiagnostik

Bilddiagnostik vid smärtor i ländryggen är indicerad vid en duration överstigande 3–4 veckor och med minst en »röd flagga« [3], radikulära smärtor som inte förbättras eller smärta i mer än 8 veckor i kombination med »gula flaggor« [3] (Fakta 1). Exempel på akuta indikationer omfattar cauda equina-syndrom, radikulära smärtor med snabb progress, ryggtrauma och misstanke om spondylit. Då ska undersökningen ske med stor skyndsamhet och i samråd med ortoped­specialist. 

Det bör vara välkänt för såväl remittenter som radiologer att ländryggsröntgen sällan ger någon förklaring till det onda eller någon vägledning för terapi [3]. Det är därför en gåta att metoden fortfarande i stor utsträckning används som primärmetod vid utredning av »ont i ryggen«, speciellt då det föreligger »röda flaggor« (Figur 1). 

Vad kan röntgen av ländryggen inte diagnostisera?

Röntgen av ländryggen är oanvändbar för att studera innandömet i kotor, diskar, spinalkanal och ryggmärg. Diskbråck, spinal stenos, tumörer i spinalkanalen eller reaktiva ödem i kotkroppar och i anslutning till fasettleder sekundärt till degenerativa förändringar kan inte diagnostiseras. Skelettmetastaser och infektiösa eller inflammatoriska förändringar är svåra att påvisa i tidigt skede (Figur 1), vilket har lett till anmälningar till tidigare Hälso- och sjukvårdens ansvarsnämnd (HSAN) och numera till Inspektionen för vård och omsorg (IVO). Det är inte sällan svårt att bedöma om en kotkompression är färsk eller gammal på röntgen. Frakturer utan kotkompression och stressfrakturer är dessutom svåra att upptäcka (Figur 2). Detta innebär att både patient och läkare kan invaggas i en falsk säkerhet vid normalt eller ospecifikt röntgenfynd. 

Vid samtliga ovan nämnda tillstånd är MRT ett avsevärt bättre diagnostiskt instrument än röntgen. MRT har påståtts vara dyr, ha långa vänte- och under­sökningstider och vara så specialiserad att endast specia­lister (t ex ortopeder, neurologer och neuro­kirurger) får skriva remisser. Det har funnits krav på röntgenundersökning som komplement till MRT för att räkna kotor. 

Man kan också höra argument som att »vi gör bara vanlig röntgen eftersom vi inte misstänker någon allvarlig sjukdom, för att tillfredsställa patienten och bara för att bekräfta att degenerativa förändringar föreligger«. Men man vet nästan alltid på förhand att degenerativa förändringar föreligger och att de som syns på röntgen korrelerar dåligt till kliniska symtom. 

Indikationer för röntgen ländrygg kan således inte vara »disksänkning«, »diskhöjd«, »osteofyter«, »spondylos« och framför allt inte »destruktion«, »metastas«, »förutsättning för spinal stenos« eller »diskbråck«. 

Röntgen ländrygg är inte heller förenlig med 2 § Strålsäkerhetsmyndighetens föreskrifter (SSMFS 2008:35) (www.stralsakerhetsmyndigheten.se) angående berättigande, som innebär att »medicinsk bestrålning skall ge en nytta för patienten, med hänsyn tagen till den diagnostiska informationen eller det terapeutiska resultatet, som är större än den skada som bestrålningen beräknas förorsaka och därvid också med hänsyn tagen till effektiviteten, fördelarna och riskerna med befintliga alternativa metoder som innebär mind­re stråldos eller inte alls utnyttjar joniserande strålning.« En sådan berättigandebedömning är nödvändig för all medicinsk bilddiagnostik, inte bara för att undvika onödig joniserande strålning, utan också för att använda de begränsade resurserna på bästa sätt.

Det är också viktigt att inse att den radiologiska utvecklingen och därmed också utbildningsinsatserna under 2000-talet blivit alltmer inriktade på DT, MRT, ultraljud och radiologiska interventioner. Det är därför inte att förvänta att dagens yngre radiologer ska besitta samma analysfärdighet av röntgenundersökningar av ryggraden som äldre radiologer. Ryggröntgen är därför av naturliga skäl sannolikt en utdöende konstart. 

Storleken på problemet

Under våren 2017 har statistik om röntgenundersökningar av hals-, bröst- och ländryggrad (endast 62X.00-koder) samlats in från samtliga landsting/regio­ner inom offentlig sjukvård och från privata röntgen­avdelningar (Unilabs, Aleris och Praktikertjänst Röntgen). Enligt denna sammanställning utfördes 2016 totalt 142 359 röntgenundersökningar av ländryggen till en kostnad av ca 85 miljoner kronor (ungefär 600 kronor per undersökning). Undersökningsfrekvensen var hög även för röntgen hals- och bröstryggrad, som 2016 omfattade 38 481 respektive 46 519 undersökningar, och där den diagnostiska problematiken är likartad. 

Sammantaget blir det 227 359 ryggröntgenundersökningar till en kostnad av ca 136 miljoner per år.

Specialdesignad undersökning med MRT av ländryggen

År 1999 slutade man i Oxford att utföra ländryggsröntgen vid utredning av ospecifik ländryggssmärta och ersatte denna undersökning med MRT med ett förkortat undersökningsprotokoll [4]. Avsikten var att förbättra diagnostiken och samtidigt reducera både tid och kostnader för en MR-undersökning. En sådan MRT-undersökning tar obetydligt längre tid än en konventionell röntgenundersökning. 

Utöver ett avsevärt större diagnostiskt utbyte har MRT också fördelen att patienten inte utsätts för joni­serande strålning. Unga personer utsätts inte sällan för upprepade röntgenundersökningar med avsevärd strålbelastning som följd. MRT kan också ersätta ländryggsröntgen för anatomisk kartläggning före operation; det behövs ingen röntgenundersökning för att räkna kotor. 

Datortomografi som alternativ till MRT

Datortomografi med stråldos anpassad till patientens ålder och frågeställning kan vara ett alternativ till MRT. DT har för en smärtpåverkad patient fördelen av kortare undersökningstid än både MRT och ländryggsröntgen [5]. Dessutom utförs DT-undersökning i ryggläge, medan en röntgenundersökning kräver att patienten måste vridas till sidoläge, vilket riskerar att förvärra patientens smärtupplevelse. Om det föreligger kontraindikationer för MRT (t ex pacemaker) bör i första hand DT utföras.

Skånska erfarenheter

Inspirerade av erfarenheterna från Oxford infördes 2007 i samarbete mellan ortopedi, allmänmedicin och radiologi på sjukhuset i Ängelholm ett kortprotokoll som benämndes »MRT-översikt«, som ersättning för ländryggsröntgen när det fanns indikation för primärvården att remittera till bilddiagnostik för utredning av ländryggssmärta [6, 7] (www.sfmr.se/sidor/imago-medica). 

MRT-översikt av ländryggen bestod av två sekvenser; en högupplösande T1-viktad sagittal sekvens ur det »fullständiga« ländryggsprotokollet och en »utbländad« översiktlig koronal ödemkänslig STIR-se­kvens (short tau inversion recovery) som inkluderar ländrygg, nedre bröstrygg, sakroiliakaleder, höftleder, trochanter femoris och stora delar av buk och bäcken. Denna se­kvens fungerar som en »nedre helkroppssekvens«, eftersom den täcker ett stort område varifrån det onda kan tänkas härstamma. Målet med fyra undersökningar per timme kunde uppnås. Det är i princip lika många MRT-undersökningar per tidsenhet som röntgenundersökningar av ländrygg. Priset för en MRT-översikt är i dag ca 1 500 kronor. Observera att en röntgen av ländryggen inte sällan är kombinerad med röntgen av sakrum, sakroiliakaleder, bäcken eller höftleder vid samma symtombild till en totalkostnad av ca 3 500 kronor och ökad tidsåtgång. 

I dag finns möjligheten att ersätta ovan nämnda T1-sekvens vid MRT-översikt med en »volymsekvens« som liksom DT ger millimetertunna snitt från vilka man kan göra rekonstruktioner i alla upptänkliga plan. Därmed blir MRT-översikten i princip en fullständig MRT-undersökning av ländryggen, och det krävs inga ytterligare kompletteringar inför eventuella operationer.

Dessa erfarenheter och resultatet från Region Skånes BackUpp-projekt (avslutat 2012), en sammanhållen vårdprocess för den som har problem med ländryggen, ledde till ett regionalt vårdprogram [8]. I vårdprogrammet framhålls att betydligt färre patienter än i dag behöver genomgå radiologisk diagnostik. God klinisk undersökning, patientinformation och i vissa fall sjukgymnastik räcker oftast. Sjukgymnaster bör kopplas in på ett tidigt stadium vad gäller både utredning och behandling. I de fall där bilddiagnostik är indicerad (s k röda och gula flaggor) ska den i första hand göras med MRT. 

Enbart med dessa striktare indikationer för bilddia­gnostik torde kostnaderna för en övergång till MRT var insparade. Resultat från BackUpp-projektet visade också att man sparar såväl utredningstid som pengar och ökar säkerheten. Sannolikt skulle ett likartat strukturerat vårdprogram för MRT av hals- och bröstrygg vara av nytta.

Hjälpmedel för remittenten

I diskussionen om rätt undersökningsmetod får man inte glömma bort den mycket viktiga punkten att också minska antalet patienter med ländryggssmärta som utan »röda och gula flaggor« genomgår någon form av bilddiagnostik. Detta kräver att remitterande läkare är pålästa och kan stå emot patienternas outsagda eller utsagda önskemål att bli röntgade eller undersökta med MRT. Utbildning och information till remitterande läkare i Finland resulterade i att antalet remisser för ländryggsröntgen minskade med 47 procent och andelen berättigade undersökningar ökade, med bestående effekt även efter 1 år [9]. 

Digitala beslutsstöd vid remisskrivande är ytterligare ett alternativ. Sådana beslutsstöd har införts i både Nordamerika [10] och Europa (http://www.esriguide.org) och prövas nu även i Sverige. I en undersökning från Kanada [10] minskade antalet ländryggs­undersökningar från primärvårdsläkare med ungefär 20 procent efter införandet av ett sådant system utan att det medicinska omhändertagandet påverkades. 

I Europeiska rådets direktiv 2013/59/EURATOM (http://eur-lex.europa.eu/legal-content/SV/TXT/PDF/?uri=CELEX:32013L0059) ställs krav på att remittenten har tillgång till riktlinjer för remittering till dia­gnostisk undersökning med beaktande av stråldoser. Detta kommer att implementeras i Strålsäkerhetsmyndighetens föreskrifter om medicinsk exponering 2018. 

Riktlinjer och tillhörande berättigandebedömning är i sig inget nytt och har förekommit under nästan 100 år; det nya är den systematiska användningen och även dokumentation. Att varje röntgenavdelning skulle göra detta utredningsarbete på egen hand är dock orimligt med tanke på arbetsinsatsen som krävs. Ett elektroniskt beslutsstöd som kan köpas in och kopplas in i befintliga remissystem skulle vara en lösning som ger ett snabbt införande och även kan ge en nationell enhetlighet i bedömningarna.

Sammanfattning och förslag till åtgärd

För att leva upp till begreppet värdebaserad radiologi [11] inom ryggdiagnostiken bör röntgen av ländryggrad ersättas med rationella MRT-undersökningar i det primära utredningsskedet. Detta kräver beslut och planläggning på central nivå och en förändring av maskinparken på röntgenavdelningarna från skelettröntgenutrustningar till magnetkameror. Vidare bör ett elektroniskt system för diagnosstöd och berättigandebedömning införas nationellt. 

Dessa åtgärder bör genomföras i kombination med att vårdprogram/nationella riktlinjer upprättas för »ont i ländryggen«, kanske även kombinerat med vårdprogram för »ont i hals- och bröstryggen«. Genom strikta indikationer för bilddiagnostik och överföring av resurser från röntgen till MRT kan detta sammantaget på sikt bli billigare och framför allt ge en större nytta för såväl patienter som sjukvården än »värdelösbaserad« röntgen.

Potentiella bindningar eller jävsförhållanden: Inga uppgivna.

Fakta 1. 

Indikationer för utredning med MRT-översikt [8]

  • Smärttillstånd med duration >3–4 veckor och minst 1 röd flagga (se nedan) 
  • Vid radikulära smärtor som inte kan behandlas, alternativt om ingen förbättring har inträtt efter 6 veckor trots aktiv behandling 
  • Smärttillstånd med duration >8 veckor i kombination med gula flaggor (se nedan) 

Med »röd flagga« avses något av följande [3]

  • Ryggsmärta hos barn under 18 år
  • Avsevärda smärtor eller smärtdebut efter 55 års ålder
  • Våldsamt trauma bakom smärtan
  • Konstant eller progredierande smärta under natten
  • Tidigare cancersjukdom
  • Systemisk steroidbehandling
  • Drogmissbruk, hiv
  • Viktförlust
  • Allmänt nedkommen
  • Bestående svår rörelseinskränkning
  • Intensifierad smärta vid minsta rörelse
  • Strukturell deformitet, skolios
  • Svårighet att urinera
  • Förlust av tonus i analsfinkter eller avföringsinkontinens
  • Sadelanestesi
  • Utbredd progredierande motorisk svaghet eller gångstörningar
  • Misstänkt inflammatorisk sjukdom (Mb Bechterew)
  • Gradvis insättande sjukdom före 40 års ålder
  • Markant morgonstelhet
  • Ihållande rörelseinskränkning
  • Perifera leder angripna
  • Irit, hudutslag, kolit, utsöndring från urinröret
  • Ärftlighet

Med »gul flagga« avses något av följande [3]

Gula flaggor är psykosociala faktorer som hindrar återhämtningen efter en akut episod av muskuloskeletal smärta. Psykosociala faktorer är väsentliga, särskilt i utvecklingen av ett långvarigt smärtproblem. Vanligtvis är dessa faktorer viktigare än biomedicinska eller biomekaniska faktorer. Riskfaktorerna kan i stort sett uppdelas i tre områden: 

  • Emotionella faktorer, t ex
    – rädsla för ökad smärta vid aktivitet   
    – ökat fokus på somatiska symtom 
  • Kognitiva faktorer, t ex
    – katastroftankar eller övertygelse om att smärta betyder skada
    – övertygelse om att smärtan helt måste försvinna innan normala aktiviteter eller arbete kan återupptas
  • Beteendefaktorer, t ex
    – oproportionellt undvikande av aktiviteter och rörelser
    – överkonsumtion av smärtstillande 

Figur 1. En 59-årig man, opererad och strålbehandlad 4 år tidigare för halstumör (röd flagga!) sökte på grund av värk i höger klinka ut mot höftleden. Han behandlades med antiflogistika och sjukgymnastik utan effekt. Vilovärk och sömnsvårigheter (röd flagga!) tillkom; B-SR 42 mm. Röntgen ländrygg, bäcken och höger höftled (A) visade degenerativa förändringar med fasettledsartros i nedre ländryggen men inga maligna förändringar. Besvären fortsatte och patienten sjukskrevs; 3,5 månader efter första remissen utfördes MRT ländrygg och bäcken. Denna visade på koronal STIR-sekvens en stor högsignalerande tumör som fyllde ut foramen ischiadicum majus på höger sida (B, pilar) samt en meta­stas i vänster os ilium (B, pilhuvud). På T1-viktade sekvenser sågs lågsignalerande metastaser i L4 och L5 (C, pilar) samt i sakrum (D, pil). 

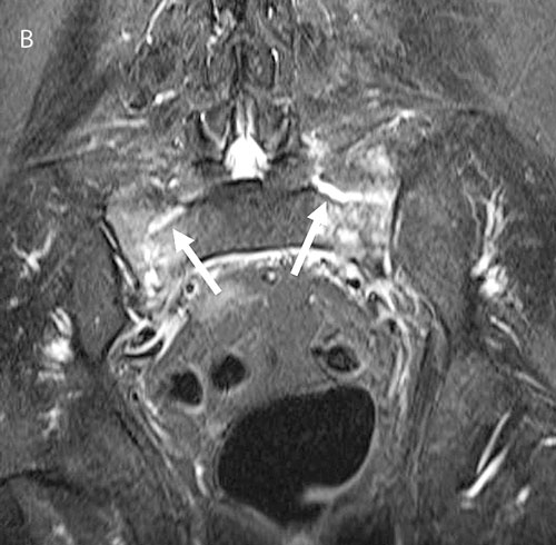
Figur 2. En 65-årig kvinna som behandlades med högdos kortikosteroider för polymyalgia rheumatica hade sedan 2 veckor fått tilltagande smärtor i ländryggen. Smärtorna strålade ned i båda benen, och hon hade mycket svårt att gå. I övrigt inga neurologiska fynd. Röntgen ländrygg (A) visade ingen kotkompression, utan endast degenerativa förändringar. Patienten fick accentuerande smärtor som krävde inläggning 1 vecka senare. MRT ländryggsöversikt (B) utfördes. Denna visade högsignalerande områden (pilar) bilateralt i sakrum förenliga med insufficiensfraktur, vilken också kunde verifieras med datortomografi (C).

Jobb i fokus

Mer att läsa

Mer att läsa