Likvorläckage viktig differentialdiagnos vid långvarigt rinnande näsa
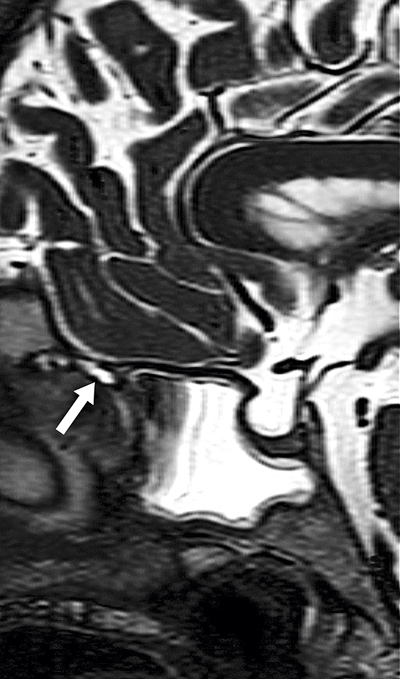
Figur 1. Magnetkamerabild (T2, fettsupprimerad) av främre del av skallen, sagittal vy. Bilden visar vätska i sfenoidalsinus samt misstänkt kanal med likvor (pil). Vid bläddring genom bildserien kunde den misstänkta kanalen följas från lamina cribrosa höger sida.
Nasalt likvorläckage, CSF-rinorré, är en ovanlig orsak till rinnande näsa men viktig att ha i åtanke som differentialdiagnos hos patienter som söker för långvariga problem. De patienter som kommer till oss för operativ åtgärd har inte sällan sökt upprepade gånger och under lång tid för sina besvär och ofta fått diagnoser som allergisk rinit eller viral övre luftvägsinfektion. Vi vill med denna artikel uppmärksamma fenomenet genom att presentera ett fall där patienten sökt vård upprepade gånger under en lång period innan rätt diagnos ställdes.
Fallbeskrivning
Patienten, en 51-årig tidigare väsentligen frisk kvinna, fick i november 2016 plötslig debut av klar rinnsnuva i höger näsborre samt tilltagande problem med sjukdomskänsla, orkeslöshet och tryckkänsla upp mot pannan. Patienten sökte på vårdcentral och remitterades vidare till öron-, näs- och hals-mottagningen, dit hon kom 6 veckor efter sjukdomsdebut. Hon ordinerades nasala steroider och antibiotika mot förmodad övre luftvägsinfektion. Problemen gav inte med sig och patienten utremitterades till vårdcentral för fortsatt utredning. Patientens allmäntillstånd försämrades successivt under våren 2017 och hon utreddes för att utesluta bakomliggande malignitet, fästingburen infektion och reumatisk sjukdom, men man kom inte fram till någon diagnos.
Efter 9 månader av fortsatt ensidig rinnande klar snuva och nu uttalat påverkat allmäntillstånd sökte patienten vård på en privat ÖNH-klinik. Vid fördjupad anamnes framkom att vätskan ur näsan framför allt kom då hon böjde sig framåt. Misstanke om likvorläckage väcktes och patienten remitterades till ÖNH-kliniken på Sahlgrenska universitetssjukhuset. Man beställde analys av beta-trace-protein i vätskan, vilket visade förhöjda nivåer (24,3 mg/l jämfört med 0,9 mg/l i serum från patienten). Fyndet talade för likvorläckage. En DT-sinus visade på vätskenivåer i sfenoidalsinus men ingen tydlig skallbensdefekt. MR-hjärna ingav dock misstanke om att läckaget kom från lamina cribrosa (se Figur 1). Patienten genomgick 2 endoskopiska operationer, utförda i samarbete mellan neurokirurg och ÖNH-kirurg. Först vid andra operationen, då ett fluorescerande ämne injicerades intratekalt inför operation, kunde läckagestället identifieras. Defekten tätades med hjälp av fett från låret och i samma seans lades ett lumbalt drän in. Patienten dränerades på 150–200 ml likvor per dygn i 5 dagar. Dränet avvecklades och patienten kunde skrivas ut. Patienten har därefter varit symtomfri och besväras inte längre av något läckage från näsan.
Diskussion
CSF-rinorré kan, förutom det obehag som en ständigt rinnande näsa innebär, också ge symtom i form av huvudvärk, ibland värst i upprätt ställning, påverkad hörsel och syn samt illamående och yrsel [1]. En fruktad komplikation till CSF-rinorré är bakteriell meningit. Symtom som ska väcka misstanke om CSF-rinorré är långdragen, ensidigt rinnande näsa där vätskan är klar och färglös och inte svarar på behandlingsförsök med antihistaminer, antikolinergika, vasokonstriktorer eller nasala steroider. Läckaget kan ibland provoceras fram med Valsalvas manöver.
Eventuella bakomliggande orsaker till det uppkomna läckaget kan vara genomgången operation i näsa/bihålor, tumör eller medfödda defekter, vilket kan innebära allt från mindre hål i skallbas till encefalocele där delar av frontallob eller temporallob hernierar in i näsbihåla. Likvorläckage efter trauma läker oftast spontant men kan i sällsynta fall bli långvarigt, och eventuellt genomgånget skalltrauma bör efterfrågas. Intrakraniell hypertension är en relativt vanlig predisponerande faktor [2].
För att säkerställa diagnosen ska patienten samla vätskan i ett provrör, vilket sedan skickas för analys av beta-trace-protein eller beta-2-transferrin. Samtidigt tas ett kompletterande serumprov för jämförelse. Sensitiviteten och specificiteten är hög för cerebrospinalvätska, och ett positivt fynd ska föranleda remiss till neurokirurg eller specialintresserad ÖNH-kirurg. Glukosstickor, som Glucostix, har låg sensitivitet och specificitet för att detektera cerebrospinalvätska och rekommenderas inte [3].
I utredningen ingår vidare datortomografi med täta snitt över området vid främre och mellersta skallbas/bihålor för att påvisa defekt i skallbasen. MR-hjärna kan också vara av värde då man med denna teknik har större möjlighet att finna bland annat ett eventuellt encefalocele.
För att minska risken för purulent meningit rekommenderar Folkhälsomyndigheten vaccination mot pneumokocker till patienter med likvorläckage till följd av kirurgi eller trauma mot skallen [4]. När det gäller antibiotikabehandling kunde man i en Cochraneanalys från 2015 inte hitta stöd för att antibiotikabehandling till patienter med skallbasfraktur och likvorläckage minskar risken för meningit. Man konkluderade dock att stora randomiserade studier saknas [5]. Vi brukar ge patienterna antibiotika (cefuroxim) i samband med den operativa åtgärden och det lumbala dränet för att skydda mot bland annat pneumokocker, stafylokocker, streptokocker samt gramnegativa bakterier.
Kirurgiskt finns ett flertal tekniker beskrivna. På Sahlgrenska universitetssjukhuset handläggs dessa patienter som ett samarbete mellan ÖNH-kirurg och neurokirurg. Vi använder endoskopisk teknik, om möjligt med så kallad badpluggsmetod [6] med fett från låret, och i utvalda fall läggs ett lumbalt drän in i samma seans. Vid återkomst av likvorläckage efter tätningsoperation bör eventuell bakomliggande intrakraniell hypertension utredas. I enstaka fall krävs då, förutom förnyad tätningsoperation, även inläggning av en likvoravledande shunt.
Potentiella bindningar eller jävsförhållanden: Inga uppgivna.
