Gå till innehållet
Gå till startsidan

Denna webbplats vänder sig till läkare

Sök

Mammografi, ultraljud och nål­biopsi bas för bilddiagnostik

Läs artikel som PDF

En standardundersökning av en patient som söker för en knuta i bröstet, eller andra symtom som in­ger misstanke om bröstcancer, består av mammografi, ultraljud och nålbiopsi. Med mammografi kan man upptäcka bröstcancer i ett tidigt, även asymtomatiskt skede. Detta innefattar både invasiva tumörer och in situ-tumörer, där de sistnämnda kan detekteras genom att identifiera s k mikroförkalkningar. 

Mammografi har också blivit standardmetod för bröstcancer­screening – ett område där Sverige varit ett föregångsland.

Tomosyntes och kontrastförstärkt mammografi

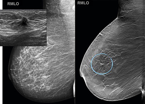
En förbättring av mammografitekniken utgör utvecklingen av tomosyntes, en skiktröntgenteknik liknande datortomografi, vilken ger ökad sensitivitet (Figur 1). Tomosyntes har visat sig vara användbar i såväl kliniskt sammanhang som screening [1]. I stora prospektiva screeningstudier (med mellan 7 000 och 25 000 kvinnor) har man funnit att tomosyntes som enskild modalitet eller i kombination med mammografi ger ca 30-procentig ökning av cancerdetektionen jämfört med konventionell screeningmammografi, och med bibehållen acceptabel nivå på återkallningsfrekvens (under 5 procent) [2-5]. 

Resultaten är således lovande, men tomosyntesens roll i screening är ännu inte helt färdigutredd. Till exempel bör effekten på intervallcancerfrekvens och tumörbiologisk relevans av tomosyntesupptäckta tumörer klargöras. 

En annan utveckling av mammografitekniken är kontrastförstärkt mammografi, vilken kan bidra till differentialdiagnostik mellan maligna och benigna förändringar. Kontrastförstärkt mammografi kan användas för att bättre kartlägga utbredning av cancer, speciellt vid multifokalitet hos kvinnor med tät bröst­vävnad [6].

Ultraljud och automatiserat tredimensionellt ultraljud

Mammografiundersökning kompletteras i flertalet kliniska fall med ultraljudsundersökning av bröst och axill, vilket också gäller kvinnor som återkallats för vidare utredning på basis av screeningundersökning. Metoden är speciellt värdefull om brösten är körtelrika. 

Ultraljudstekniken har efter hand utvecklats från att från början mest användas för att differentiera mellan cystiska och solida tumörer till att numera förtydliga och ibland till och med upptäcka tumörer som inte syns på mammografibilden. Metoden har också stor användning som vägledning för nålbiopsier. 

Ytterligare karakterisering av fynd kan göras genom ult­raljudselastografi, som kan kvantifiera styvheten i förändringar. Cancertumörer uppvisar ökad styvhet jämfört med benigna solida förändringar, t ex fibro­adenom, vilket gör att nålbiopsi kan undvikas [7].

Ultraljudsundersökning som screeningmetod är tilltalande, eftersom röntgenstrålning inte används, men metoden har inte fått något större genomslag beroende på tidsåtgång och att tekniken är undersökarberoende samt på grund av ökat antal falskt positiva fynd [8]. Detta har delvis lösts med automatiserad ultraljudsskanning (ABUS, automated breast ultra­sound), som har utvecklats som ett komplement till mammografiscreening för kvinnor med tät bröst­vävnad. 

Metoden ger en tredimensionell ultraljudsbild, vilken kan granskas likt en skiktröntgen i olika plan (Figur 2). Automatiserad ultraljudsskanning har i en svensk studie och i en amerikansk multicenterstudie på kvinnor med tät bröstvävnad visat en signifikant ökad upptäckt av invasiv bröstcancer [9, 10]. Nackdelar är att undersökning och granskning tar längre tid än en screeningmammografi; dock pågår optimering av dessa parametrar liksom analys av huruvida de ytterligare tumörer som upptäcks med automatiserad ultraljudsskanning är kliniskt relevanta, aggressiva tumörer eller inte.

Nålbiopsi och trippeldiagnostik

Som komplement till palpation och bilddiagnostik vid misstanke om cancer görs även nålbiopsi, även kallad trippeldiagnostik, vilken ger hög diagnostisk säkerhet [11]. Från finnålspunktioner har man övergått till att i dag nästan uteslutande använda mellannålsbiopsier vid misstanke om cancer. Finnålspunktion används dock vid punktion av misstänkt patologisk lymfkörtel. 

Vakuumassisterad biopsi har introducerats på en del bröstcentra. Den metoden ger större biopsier, vilket ökar sannolikheten för att få representativ vävnad.

Magnetresonanstomografi av bröst

Kontrastförstärkt magnetresonanstomografi (MRT) av bröst är den mest känsliga metoden att upptäcka och kartlägga utbredning av bröstcancer och är inte begränsad av bröstvävnadens täthet [12]. Utöver morfologisk karakterisering kan man i de flesta fall differentiera mellan benigna och maligna förändringar genom att analysera kontrastdynamiken (gadoliniumkontrastmedel intravenöst). Maligna tumörer uppvisar ökad kärlnybildning, vilket oftast ger snabb uppladdning och utsöndring av kontrastmedel. En begränsning är att MRT har relativt låg specificitet jämfört med mammografi [12].

Indikationerna för MRT av bröst innefattar scree­ning av kvinnor med förhöjd risk för bröstcancer, såsom BRCA1- och BRCA2-mutationsbärare. Dessa kvinnor följs vanligen årligen med MRT mellan 25 och 55 års ålder, med tillägg av mammografi mellan 30 och 75 års ålder [13]. Mammografi är ett rationellt komplement till följd av att MRT inte avbildar mikroförkalkningar med lika hög känslighet. 

Övriga möjliga indikationer för MRT av bröst är klinisk misstanke om cancer där mammografi och ultraljud är inkonklusiva, axillmetastaser eller generaliserad cancer där mammografi och ultraljud visar normala fynd, preoperativ utredning av multifokalitet, utvärdering av effekten av neoadjuvant kemoterapi samt implantatkomplikationer [14].

Användning av preoperativ MRT för förbättrad kartläggning av tumörutbredning i syfte att minska antal reoperationer och återfall diskuteras, men det saknas tydlig evidens för denna strategi [15]. Begränsad tillgång till MRT och i viss mån även utmaningar med falskt positiva fynd gör att användningen av MRT varierar. Användning av MRT lär dock öka i framtiden; t ex har förkortade MRT-protokoll i screening av kvinnor med tät bröstvävnad visat lovande resultat [16].

Mer högupplösande och funktionella bildmetoder 

Inom bilddiagnostiken går utvecklingen mot att, i tillägg till ytterligare mer högupplöst strukturell avbildning, även ge funktionell information om vävnadstyper, bl a bröst-DT och bröst-PET. 

Fotoakustik är en optisk metod, som bl a mäter syremättnad och med målsökande nanopartiklar specifikt inriktade på tumörceller kan öka möjligheterna för bl a responsutvärdering av målsökande terapi [17]. 

Faskontrastmammografi är under tidig utveckling och ger utöver förbättrad strukturell avbildning en karakterisering av olika typer av vävnad, t ex differentiering mellan benigna och maligna mikroförkalkningar [18].

Individualiserad screening och behandlingsmonitorering

Det svenska programmet för mammografiscreening är välorganiserat, tillgängligt och numera gratis, och det håller hög klinisk kvalitet. En svaghet i nästan alla screeningprogram är dock antagandet att alla kvinnor inom ett givet åldersintervall har samma risk att diagnostiseras med bröstcancer och alltså ska scree­nas på exakt samma sätt.

Livsstilsfaktorer, reproduktiv historia, genetiska förändringar och mammografibildens utseende tillhör de faktorer som påverkar risken att diagnostiseras med bröstcancer senare i livet. Dagens riskmodeller gör det möjligt att med tämligen stor säkerhet ge en individuell uppskattning av risken. Det är alltså möjligt att erbjuda alla kvinnor som kommer för mammografiscreening en riskbedömning och på basis av fyndet skräddarsy framtida screening. Kvinnor med hög risk och tät bröstvävnad skulle erbjudas intensifierad screening och ett tillägg till mammografi, t ex tomosyntes, automatiserad ultraljudsskanning eller förkortad MRT. Kvinnor med mycket låg risk skulle å andra sidan erbjudas screening med glesare intervall.

Ett ytterligare, relativt nyupptäckt område för hur mammografibilder kan användas är behandlingsmonitorering. Under de senaste åren har en handfull artiklar visat att förändringar i den mammografiska tätheten är ett utmärkt mått på terapirespons [19, 20]. Tamoxifen minskar tätheten hos vissa patienter, och de patienter där den mammografiska tätheten uppvisar uttalad minskning har betydligt bättre prognos än de patienter där tätheten inte minskar. I en svensk studie påvisades en 50-procentig minskning av risken att avlida i bröstcancer efter 15 års uppföljning för de patienter där tätheten under det första årets behandling minskade med minst 20 procent i jämförelse med patienter där tätheten inte minskade i samma utsträckning [19].

Potentiella bindningar eller jävsförhållanden: Sophia Zackrisson har erhållit föreläsararvoden och resebidrag från Siemens Healthineers och AstraZeneca. Kristina Lång har erhållit före­läsararvoden och resebidrag från Siemens Healthineers.

Figur 1. En 11 mm stor lobulär cancer, histologisk grad 2, som inte är synlig med konventionell mammografibild (till vänster) men tydligt avbildad som en strålig förändring med tomosyntes (till höger, blå cirkel). Den infällda ultraljudsbilden visar ett utseende som är förenligt med malignitet: låg ekogenitet i lesionen med hyperekogen randzon samt ekoskugga [21]. Publiceras med tillstånd av Elsevier.

Figur 2. En tumör i vänster bröst som är synlig enbart med tredimensionell automatiserad ultraljudsskanning: tumören visas i koronalt plan (pil) och i transversalplan (cirkel). Tumören var inte påvisbar med mammografiundersökning, bild längst till vänster [9]. Publiceras med tillstånd från Elsevier.

Mer om Tema Bröstcancer

Jobb i fokus

Mer att läsa

Mer att läsa