Mb Osler: ökad risk för infektioner och livshotande komplikationer
Mb Osler är internationellt mer känd under namnen hereditary hemorrhagic telangiectasia (HHT) eller Osler–Weber–Rendu syndrome. Sjukdomen beror på en nedärvd genetisk defekt, där den muterade genen påverkar TGF-superfamiljens signalering i kärlendotel. Detta leder till telangiektasier och ibland större arteriovenösa missbildningar [1]. Eftersom kärlmissbildningarna kan uppstå i olika organ varierar symtombilden mellan olika familjer och individer. En till två tredjedelar av de drabbade söker någon gång medicinsk hjälp på grund av komplikationer till sjukdomen [2].
De vanligaste kliniska uttrycken är recidiverande näsblödningar och järnbristanemi. Incidensen varierar geografiskt och finns rapporterad från 1/2 351 till 1/39 216 [3]. Diagnosen ställs med hjälp av de s k Curaçao-kriterierna [4] (Fakta 1). Hos en del patienter leder sjukdomen till svåra organkomplikationer, och på senare tid har ökad risk för infektioner uppmärksammats.
Vi beskriver fyra patienter med diagnosen Mb Osler som vårdades på grund av allvarlig infektionssjukdom under samma tidsperiod.
Fall 1
Fallet rör en 46-årig man, tidigare frisk – förutom att han har frekventa näsblödningar på grund av Mb Osler – som sökte på grund av feber i fyra dagar. Behandling med penicillin V pågick för misstänkt sinuit. Vid akutbesöket utfördes en röntgenundersökning av bihålorna som inte visade sinuitbild. Antibiotikabehandlingen breddades till cefotaxim. Blododlingar visade växt av S aureus, och ultraljudsundersökning av hjärtat visade en 4 mm stor vegetation på aortaklaffen. Diagnosen endokardit ställdes, och behandling med dikloxacillin i kombination med gentamicin intravenöst sattes in. På grund av aortainsufficiens utfördes byte till biologisk klaffprotes.
Några månader senare insjuknade patienten ånyo med feber och misstänkt septiskt nedslag i ena foten. I blododlingar växte S aureus igen. Ultraljudsundersökning av hjärtat visade stor vegetation på aortaklaffprotesen, och nytt klaffbyte utfördes. Vid operationen såg man en abscess i anulusområdet och en totaldestruerad klaffprotes. Patienten svarade bra på behandling med gentamicin/kloxacillin, och antibiotikabehandlingen avslutades efter totalt sex veckor. Inflammationsmarkörerna normaliserades.
Ett år senare sökte patienten åter akut med feber. Nya blododlingar visade växt av S aureus, och ultraljudsundersökning av hjärtat bekräftde misstanken om en tredje episod av endokardit. Denna gång krävdes inget klaffbyte. I tillägg till kloxacillin och gentamicin gavs nu rifampicin. DT torax och buk genomfördes vid alla vårdtillfällen för att utesluta ytterligare bakteriellt fokus. Undersökningarna visade varje gång normala fynd. Typning av stafylokockstammarna vid dessa tre infektioner visade på olika stammar vid varje infektion och talade därför också emot kvarvarande infektionshärd efter att behandlingarna hade avslutats.
Det är ovanligt med upprepade stafylokockendokarditer hos patienter som behandlas adekvat och får god utläkning efter varje episod. Därför misstänkte vi att grundsjukdomen Mb Osler var predisponerande. Patienten får nu livslång antibiotikaprofylax med flukloxacillin.
Fall 2
Fallet rör en 33-årig kvinna med migrän och recidiverande näsblödningar som inkom med huvudvärk, illamående och kräkningar. Hon var febril, antytt nackstyv och ljuskänslig, varför meningit misstänks. Lumbalpunktion utfördes med utbyte av grumlig likvor, och behandling med kortison, cefotaxim och doktacillin påbörjades. DT-undersökning av hjärnan visade en 8 mm stor abscess i anslutning till övre delen av ena sidoventrikeln. Patienten behandlades konservativt med trimetoprim–sulfametoxazol och metronidazol tills hjärnabscessen läkte ut. Järnterapi påbörjades på grund av kronisk anemi. Samma år ställdes diagnosen Mb Osler.
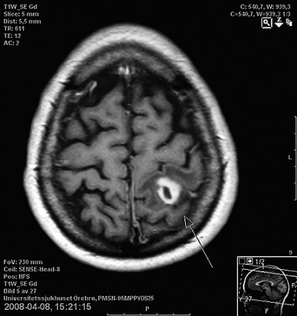
Fem år senare upptäcktes koloncancer, som patienten opererades för. Året därpå inkom hon akut på grund av domning i höger kroppshalva, oförmåga att tala och medvetandeförlust. Utredning med DT av hjärnan visade en centimeterstor, oregelbunden expansivitet parietalt (Figur 1), och i lungorna sågs multipla expansiviteter. Metastasering från kolontumören misstänktes. Efter upprepade undersökningar, inkluderande MR-undersökning, visade det sig finnas ännu en hjärnabscess. Vid eftergranskning av DT-undersökningen av lungorna såg man att förändringarna stämde väl överens med multipla arteriovenösa missbildningar av den sort som är associerad med hennes grundsjukdom, Mb Osler.
Hon behandlades även denna gång konservativt med antibiotika, och hjärnabscessen läkte ut utan neurologiska sequelae. De multipla pulmonella arteriovenösa missbildningarna bedömdes vara en avgörande faktor för uppkomsten av recidiverande hjärnabscesser, och diskussion fördes om huruvida de borde emboliseras. På grund av det stora antalet shuntar ansågs embolisering inte vara aktuell.
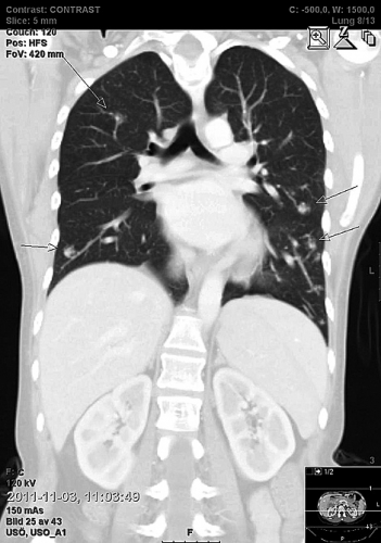
Tre år senare (i samband med att denna artikel skrevs) inkom patienten akut med epileptiska kramper sekundärt till en ny hjärnabscess. Denna gång skickades en remiss till Sveriges centrum för Mb Osler, lungkliniken vid Akademiska sjukhuset i Uppsala. Beslut togs nu om att embolisera de största arteriovenösa missbildningarna (Figur 2).
Fall 3
Fallet rör en 59-årig kvinna, med besvärliga näsblödningar på grund av Mb Osler, som inkom med feber och buksmärta. Hon hade behandlats för hjärnabscess under 1990-talet. Smärtan förvärrades efter matintag och strålade ut i ryggen. På vårdcentral misstänkte man gastrit och provbehandlade med omeprazol, utan effekt. DT buk visade inget avvikande fynd som kunde förklara besvären. Vid inskrivningen var hon högfebril men i övrigt opåverkad med normalt bukstatus. Hon lades in för utredning och fick behandling med piperacillin/tazobaktam på grund av misstänkt bukinfektion.
Blododlingar visade växt av S aureus. Ny DT buk visade multipla rundade förändringar i levern med abscessutseende. Punktion av dessa visade också växt av S aureus, och man misstänkte septiskt nedslag i levern. Omfattande utredning uteslöt ytterligare infektionsfokus eller annan genes till buksmärtan. Patienten svarade infektionsmässigt bra på behandlingen och fick antibiotika i totalt åtta veckor. Initialt gavs flukloxacillin, som efter halva tiden byttes till klindamycin på grund av misstänkta biverkningar. Patienten besvärades dock fortfarande av buksmärta efter födointag. Radiologiskt minskade leverförändringarna något i storlek, men ett avvikande utseende hos levern kvarstod. Detta tolkades som Mb Osler-associerade förändringar. Arteriovenös shuntning diskuterades som möjlig förklaring till värken.
Efter några veckor sökte patienten igen på grund av förvärrad smärta. Ny DT-undersökning utfördes, och kvarvarande abscess kunde inte uteslutas. Då misstanke fanns om kärlmissbildningar i levern avvaktade man med ny leverpunktion, och klindamycin sattes in. Arteriovenös shuntning i levern bekräftades och sekundär tarmischemi misstänktes. Endovaskulär terapi övervägdes men ansågs inte vara möjlig på grund av risk för levernekros. Levertransplantation övervägdes, och specialister inom området kontaktades. Under pågående behandling med flukloxacillin tillkom feber, och man misstänkte en uppblossande infektion.
Patienten utvecklade en svår sepsisbild med koagulationsrubbning och flyttades till IVA. Under pågående behandling med imipenem/cilastatin växte flera tarmbakterier (E coli, Klebsiella oxytoca och enterokocker) upprepat i blodet. Patienten blödde profust från näsan och tarmen samt i hjärnan. Hon avled i komplikationerna till en svår sepsis med misstänkt fokus i buken.
Fall 4
Fallet rör en 51-årig man med Mb Osler som remitterades från vårdcentral till ortopedklinik på grund av smärta i höger höft utan föregående trauma. CRP var 195 mg/l, och han uppgav feber senaste dagarna i hemmet. Slätröntgen visade ingen skelettskada, och han remitterades därför vidare till infektionskliniken på misstanke om septisk artrit. Odlingar från ledvätska visade växt av S aureus, och han fick diagnosen septisk höftledsartrit. Patienten svarade bra på behandling med flukloxacillin.
Diskussion
I Örebro har vi under samma tidsperiod sett fyra fall av invasiva infektioner hos patienter med Mb Osler. Vi har därför ställt oss frågan om denna sjukdom är associerad med ökad infektionsrisk.
Hjärnabscess och tandingrepp
Ett tydligt samband mellan Mb Osler och hjärnabscesser finns beskrivet i litteraturen. Incidensen rapporteras till mellan 5 och 9 procent, vilket är ca 1 000 gånger högre än i normalpopulationen. Hjärnabscesserna härrör oftast från tandfokus med alfahemolytiska streptokocker som vanligast förekommande patogen [5].
Förekomst av pulmonella arteriovenösa missbildningar spelar en avgörande roll för uppkomsten av hjärnabscesser och cerebrala händelser. Kapillärnätet i lungorna har normalt en filtrerande funktion för embolier och bakterier, men vid missbildningar kan blodet via lungorna shuntas ut till stora kretsloppet och nå den cerebrala cirkulationen. Pulmonella arteriovenösa missbildningar kan emboliseras, och om alla missbildningar ockluderas framgångsrikt är det visat att risken för hjärnabscess och ischemisk stroke minskar [6].
En stor andel av de patienter med Mb Osler som drabbas av hjärnabscess har genomgått tandingrepp några veckor före insjuknandet [6]. Antibiotikaprofylax vid tandingrepp rekommenderas därför till Mb Osler-patienter med lungshuntar [3, 7, 8].
Näsblödning och extracerebrala infektioner
Det finns även visst stöd för att Mb Osler-patienter löper högre risk att drabbas av extracerebrala infektioner. I en retrospektiv studie av 353 patienter som remitterats till Hôpital de l’Hôtel Dieu i Lyon, Frankrikes centrum för denna sjukdom, hade 13,6 procent av patienterna vårdats inneliggande på grund av allvarlig infektion. En indelning avseende cerebrala och extracerebrala infektioner visade att de sistnämnda var vanligare och stod för 67 procent [9]. Detta motsvarar en incidens på 9 procent i Mb Osler-gruppen, vilket är ca 30–40 gånger högre än incidensen av sepsis i normalbefolkningen [10]. Den starkaste riskfaktorn för att drabbas av extracerebral infektion visade sig vara lång sammanlagd näsblödningstid per månad. S aureus var dominerande patogen vid de extracerebrala infektionerna.
Näsan eventuell ingångsport för bakterier
Sannolikt finns det flera tänkbara orsaker till att dessa patienter löper högre risk än genomsnittet att drabbas av infektioner. Riskfaktorerna verkar skilja sig åt beroende på om infektionen är intra- eller extracerebral. Hjärnabscesser vid Mb Osler har en tydlig koppling till förekomst av arteriovenös shuntning i lungan. Extracerebrala infektioner förekommer oberoende av vilka viscerala organ som är drabbade. Eftersom extracerebrala infektioner är vanligast hos patienter med mycket näsblödningar och S aureus är överrepresenterad som sjukdomsalstrande bakterieart kan man misstänka att näsan är ingångsport för bakterier.
Nedsatt immunförsvar
Det finns studier som talar för att patienter med Mb Osler kan ha nedsatt immunförsvar. Defekt fagocytos och frisättning av fria syreradikaler (oxidative burst) hos monocyter och neutrofila celler har konstaterats i ett Mb Osler-material [11]. Den sjukdomsalstrande genen ENG kodar för ett protein som normalt förekommer på cellytan hos aktiverade monocyter. Om detta leder till monocytdefekt är osäkert, men det är visat att detta protein finns i reducerad mängd på monocyter hos Mb Osler-patienter [12].
Konklusion
Sammanfattningsvis löper patienter med Mb Osler ökad risk att drabbas av allvarliga infektioner och andra livshotande komplikationer. Intracerebrala infektioner går att förebygga genom embolisering av pulmonella arteriovenösa missbildningar. Det rekommenderas därför internationellt att patienterna screenas med avseende på arteriovenös missbildning i lungan [7]. Enklast görs detta med DT-undersökning eller kontrastekokardiografi. Extracerebrala infektioner är svårare att förebygga eftersom det ännu inte finns några säkra riskfaktorer identifierade.
Enstaka fallrapporter med Mb Osler-patienter som framgångsrikt behandlats med angiogeneshämmare finns publicerade [13-15]. Ännu saknas dock säkerhetsdata och långtidseffekt för sådan behandling då den inte är prövad i välkontrollerade studier.
*
Potentiella bindningar eller jävsförhållanden: Inga uppgivna.

