Mekanisk kompression under perkutan koronarintervention räddade liv
Patienten är en 57-årig kvinna som arbetar sju dagar i veckan som controller på ett multinationellt företag. Hon motionerar inte och är rökare. Patienten är tidigare frisk men har senaste året erfarit ett visst tryck i bröstet vid ansträngning. En vardagsmorgon insjuknade hon på arbetsplatsen med bröstsmärtor och illamående. Trots initialt motstånd tog hon en taxi till akutmottagningen på S:t Görans sjukhus. Två minuter efter ankomst till akutmottagningen visade EKG sinusrytm med flera mm höga ST-höjningar i anteriora avledningar.
Rytm mellan asystoli och kammarflimmer. En minut senare blev patienten okontaktbar. EKG visade rytm som varierade mellan asystoli och kammarflimmer. Defibrillering var utan effekt, och man initierade behandling med LUCAS (Lund University Cardiopulmonary Assist System, Jolife AB), en apparat för mekaniska bröstkompressioner som arbetar enligt riktlinjer med 100 kompressioner per minut och ett kompressionsdjup på 4–5 cm. Den är pneumatisk och till största delen i plast, vilket gör att den till stor del är genomlysbar och inte stör elektronisk utrustning. Den är portabel, hopfällbar och väger 6,5 kg.
Avancerad hjärt–lungräddning inklusive LUCAS-behandling, utfördes enligt gällande rutiner, men arytmin var terapiresistent. Trots detta hade patienten så god cerebral cirkulation att sedering krävdes vid intubation. Tjugofem minuter efter start av behandling med LUCAS gavs 300 mg amiodaron intravenöst följt av förnyad defibrillering med omslag till sinusrytm.
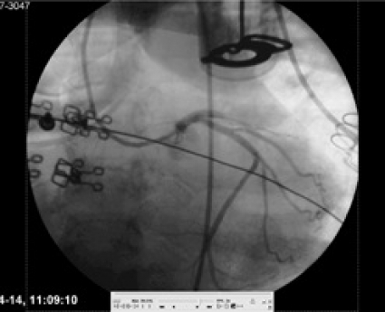
Sinusrytm men kardiogen chock. Patienten var då i kardiogen chock med mycket svaga pulsar spontant. Pulsarna blev åter starka när LUCAS kopplades på igen. Trots dålig prognos beslutades att omedelbart föra patienten till koronarangiolaboratoriet för direkt perkutan koronarintervention (PCI) under pågående LUCAS-behandling. Tre minuter efter ankomst dit punkterades höger a femoralis, kort därefter katetriserades vänster huvudstam. En ocklusion i den främre nedåtstigande grenen (LAD) konstaterades (Figur 1). Tio minuter senare hade ocklusionen dilaterats och stentats till bra resultat (Figur 2). Fullgott flöde (TIMI 3) rådde i kärlet. Patienten fick en reperfusionsarytmi i form av kammarflimmer, som defibrillerades till sinusrytm på första försöket med 200 J. Direkt efter detta var patientens spontana blodtryck ca 60 mm Hg, men efter ytterligare 5 minuter med LUCAS-behandling var det spontana blodtrycket 125/70 mm Hg. LUCAS-behandlingen avslutades.
Patienten överfördes intuberad till vård på IVA. Morgonen därefter visade ekokardiografi att ejektionsfraktionen (EF) var ca 15–20 procent och att vänster kammares framvägg var uttalat hypokinetisk. Patienten behandlades med levosimendan och kunde utan komplikationer extuberas. På eftermiddagen samma dag (dag 2) var patienten helt vaken utan synbara neurologiska deficit. Dag 3 flyttades patienten till vård på HIA, där mobiliseringen framskred väl trots att patienten plågades av torakala smärtor till följd av revbensskador associerade med hjärtkompressionsbehandlingen.
Helt normaliserad vänsterkammarfunktion. Dag 4–7 informerades och mobiliserades patienten vidare på en kardiologisk vårdavdelning. Vid hemgång dag 7 genomfördes en ny ekokardiografisk undersökning. Denna visade helt normaliserad systolisk vänsterkammarfunktion utan hypokinesi med EF >50 procent. Vid återbesök 2 veckor senare var patienten full av livslust och hade slutat röka. Med egna ord beskrev sig den 57-åriga kvinnan »ha fått en andra chans i livet«.
Diskussion
Trots försök att förbättra effekten av hjärt–lungräddning vid hjärtstopp har man under senaste decenniet inte sett någon ökning av antalet överlevande efter hjärtstopp före ankomst till sjukhus [1]. Det har ansetts generellt viktigare att snabbt defibrillera än att underhålla cirkulationen med hjärtkompressioner: Gällande rekommendation är att defibrillera innan man ger hjärtkompressioner vid hjärtstopp. Introduktion av automatiska defibrillatorer har heller inte förbättrat prognosen [2].
Forskningsrön har visat att överlevnaden kan förbättras om defibrilleringen föregås av en 90 sekunder lång period med hjärtkompressioner [3]. Förklaringen till detta ligger sannolikt i en banbrytande upptäckt av Steen och medarbetare [4]. I en grismodell fann de att hjärtstopp ger upphov till blodansamling i högerhjärtat, varvid vänster kammare töms på blod. Den reducerade fyllnaden av vänstersidan av hjärtat leder till kraftigt reducerat perfusionstryck i aorta och kranskärlen inom 2 minuter från hjärtstopp. I studien inducerades kammarflimmer under 6,5 minuter. Defibrillerade man direkt efter detta överlevde ingen av 6 grisar. Utfördes istället hjärt–lungkompressioner med LUCAS under 3,5 minuter som första åtgärd efter 6,5 minuter med kammarflimmer återfick vänsterkammaren volym och kranskärlen perfusionstryck. Defibrillering direkt efter denna period med hjärt–lungkompressioner ledde till att 5 av 6 grisar överlevde. Fördröjd defibrillering efter en 40 sekunder lång paus ledde till att bara 1 av 6 grisar överlevde. Liknande data kan hämtas från studier på råttor [5], och det verkar på dessa studier som att det är viktigt att man inte avbryter hjärtkompressionerna ens för korta pauser, vilka annars leder till att perfusionstrycket i kranskärlen raskt försämras och därvid även chanserna till lyckad defibrillering.
I det aktuella fallet var hjärtstoppet bevittnat, och då gäller rutinen att direkt defibrillera. Chansen att rädda patienten är starkt avhängig av tiden från hjärtstopp till defibrillering och verkar minska drastiskt efter 5 minuter. Redan efter 4 minuter tycks förbehandling med hjärtkompressioner vara indicerad [1].
En nyligen publicerad studie undersökte kvalitet och grad av kontinuitet av hjärtkompressioner utförda av ambulansmän [6] i tjänst. Hjärtkompressioner utfördes bristfälligt med kompressioner givna mindre än hälften av tiden, och de flesta kompressioner var för grunda och givna med för hög frekvens (120/min). I en helt nyligen publicerad amerikansk studie var frekvensen av kompressioner likaså bristfällig, men oftast för låg [7]. Det verkar således finnas utrymme för praktiska förbättringar, och sannolikt har mekaniska kompressioner med hjälp av en apparat potential att kunna ge kompressioner med bättre kvalitet större andel av tiden och tillåta samtidig defibrillering och PCI. Det aktuella fallet åskådliggör detta på ett konkret sätt.
Efter den lyckade PCI-behandlingen fortsattes LUCAS-behandlingen trots sinusrytm. Orsaken var den dåliga spontana cirkulationen med ca 60 mm Hg i blodtryck. Det är möjligt att återkomsten av en god cirkulation utgjorde spontanförloppet, men varje minut som passerar med undermålig cerebral cirkulation torde försämra patientens prognos. Vi anser det därför vara indicerat att, som i det aktuella fallet, fortsätta med kompressioner så länge den spontana cirkulationen sviktar, trots förekomst av sinusrytm.
Det var först sedan amiodaron hade givits som man i det aktuella fallet lyckades defibrillera patienten till sinusrytm. Den goda effekten av amiodaron vid terapiresistent ventrikelflimmer finns tidigare dokumenterad i två randomiserade studier [8, 9].
Ett liknande fall är tidigare publicerat [10], men den patienten erhöll LUCAS-kompressioner fram till PCI-ingreppet, och därefter skedde manuell hjärt–lungräddning. Precis som i det fallet är den positiva utgången i vårt fall avhängig av en lyckad PCI, men möjligtvis bidrog LUCAS-behandlingen till den minimala hjärtskadan och avsaknaden av cerebrala deficit.
Det aktuella fallet är unikt i två bemärkelser. För det första användes mekaniska kompressioner före, under och efter PCI-ingreppet trots att sinusrytm förelåg efter lyckad defibrillering på akutrummet. För det andra resulterade åtgärderna i normalisering av vänsterkammarfunktionen och avsaknad av neurologiska sequelae trots ca 30 minuter utan spontan cirkulation, följt av kardiogen chock, innan direkt PCI utfördes.
*
Potentiella bindningar eller jävsförhållanden: Inga uppgivna.

