MR-undersökning av hjärnan vid 3 tesla
Magnetresonans(MR)undersökning av hela kroppen är nu accepterad i klinisk verksamhet av bla FDA (Food and Drug Administration, USA) och IEC (International Electrotechnical Commission) för magnetfältsstyrka upp till 4 tesla (T). Ännu högre fältstyrkor kan, efter erhållande av vederbörligt tillstånd, utnyttjas i forskningsbaserade MR-utrustningar, och för närvarande är fältstyrkor upp till cirka 10T tekniskt möjliga för helkropps-MR. Många högfälts-MR-utrustningar (>2T) används huvudsakligen för forskning, men 3T-MR-utrustningar ökar i antal och integreras även i klinisk neuroradiologisk verksamhet. En 3T-MR-utrustning för undersökning av hjärnan (Siemens Magnetom Allegra head-scanner) installerades på avdelningen för neuroröntgen vid Bild- och funktionsdiagnostiskt centrum (BFC), Universitetssjukhuset i Lund i januari 2002. Utrustningen används till 50 procent för kliniska MR-undersökningar och till 50 procent för forskning.
Detta var den första 3T-MR-utrustningen som installerades i Skandinavien. En 3T-helkropps-MR-utrustning (Philips Gyroscan Intera) installerades på MR-avdelningen på samma klinik under hösten 2003.
3T-MR ger förbättrade morfologiska och funktionella undersökningar av hjärnan jämfört med de mer vanligt förekommande MR-utrustningarna med fältstyrkan 1,5T eller lägre [1]. Applikationer för andra delar av kroppen är under utveckling och börjar få klinisk användning. Den höga fältstyrkan kombineras som regel med ett kraftfullt gradientsystem för att optimala prestanda ska uppnås.
För- och nackdelar med 3T-MR av hjärnan
Klinisk 3T-MR av hjärnan har fördelar för högupplösande morfologisk bildtagning, men framför allt för MR-angiografi, diffusions- och perfusions-MR, funktionell MR (fMRI) och MR-spektroskopi. Fördelar och nackdelar jämfört med lägre fältstyrkor är sammanfattade i Tabell I och Tabell II.
Signal-till-brusförhållandet ökar med magnetfältsstyrkan och är ungefär fördubblad vid 3T jämfört med vid 1,5T. Detta är en stor fördel som kan utnyttjas för att reducera undersökningstiden eller för att öka den spatiella upplösningen, alternativt en kombination av dessa. Den magnetiska susceptibilitetseffekten, dvs känsligheten för lokala variationer i magnetfältet, ökar också med magnetfältsstyrkan. Detta är till nytta för detektion av tex blödning och förkalkningar och ökar också signalskillnaden mellan aktivering och vila i fMRI-studier samt sensitiviteten för signalförändring vid kontrastförstärkt perfusions-MR. De ökade susceptibilitetsartefakterna, tex nära luftförande sinus och temporalbenet, är däremot en nackdel.
Depositionen av energi i patienten anges genom den sk specifika absorptionshastigheten. Den ökade energidepositionen vid högre fältstyrka är en nackdel, eftersom den kan begränsa de olika pulssekvensernas utformning (tex antal snitt och repetitionstid). Detta är ett ringa problem när man endast undersöker skallen, men kan försvåra undersökning av tex rygg eller buk hos barn med låg kroppsvikt.
Sk kemiskt skift (skillnad mellan resonansfrekvens hos kärnorna i väteatomer [protoner] bundna till olika molekyler) ökar linjärt med fältstyrkan, vilket är en fördel för MR-spektroskopi men en nackdel avseende artefakter, som uppstår i gränsytan mellan fettvävnad och annan vävnad, tex i gränsytan mellan fetthaltig benmärg i skallbenet och intilliggande vävnad.
T1-relaxationstiden förlängs vid högre fältstyrka. Detta är positivt för inflödes-MR-angiografi på grund av bättre undertryckning av bakgrunden i bilden, medan den nedsatta kontrasten mellan grå och vit substans på T1-viktade spin-eko-bilder är en nackdel. Denna kontrastreduktion kan förklaras av att T1 i grå och vit substans konvergerar med ökande fältstyrka, vilket medför att signalskillnaden mellan dessa vävnader blir mindre än vid tex 1,5T.
Ökad kontrastförstärkning efter intravenös injektion av gadoliniumbaserat kontrastmedel ökar sensitiviteten för lesioner som uppvisar kontrastuppladdning eller barriärskada, tex diskreta inflammatoriska förändringar i hjärnparenkymet. Den ökade kontrastförstärkningen följer av att T1-relaxationstiden för kontrastmedlet ändras mindre än T1 för hjärnvävnad då fältstyrkan ökas [2]. Detta kan emellertid leda till överdiagnostik, tex är uppladdningen av hjärnhinnorna oftare ett normalt fynd vid 3T än vid lägre fältstyrkor och kan misstolkas som ett patologiskt fynd. Det är således viktigt att radiologen känner till hur en normal hjärna ser ut vid 3T före och efter intravenös kontrastinjektion. Man bör också vara medveten om att skillnader i kontrastförstärkning av en lesion mellan två undersökningstillfällen kan bero enbart på att patienten undersökts vid olika fältstyrkor [3].
Vi har noterat större flödes- och rörelseartefakter vid 3T, vilket kan påverka bildkvaliteten negativt och försvåra tex visualisering av intilliggande diskreta kontrastuppladdande lesioner, t ex i bakre skallgropen intill sinus transversus och sinus sigmoideus. Bakgrunden till denna observation kan vara parameterinställningarna i de använda sekvenserna vid 3T, exempelvis utnyttjade gradientamplituder, men även den generellt ökade signalen med ökad fältstyrka. Kvantitativ flödesmätning kan dock utföras även vid 3T, och man kan förvänta att signal-till-brusökningen kommer noggrannheten tillgodo.
Avsaknad av säkerhetsdata för ett antal implantat vid 3T och högre fältstyrkor har förhindrat klinisk MR-undersökning av patienter med metallimplantat, som inte har testats och godkänts för höga fältstyrkor. Detta problem har successivt minskat allt eftersom fler implantat har testats [4].
Kliniska tillämpningar
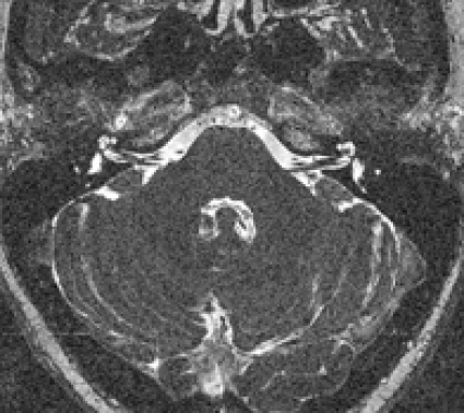
Morfologiska bilder med hög upplösning. Morfologisk MR med hög upplösning är värdefull, tex för undersökning av temporalben och kranialnerver (Figur 1). Tredimensionell T1-viktad gradientekosekvens kan erhållas med hög isotropisk upplösning. Den används tex för att detektera migrationsstörningar hos barn med epilepsi och som morfologiskt bildunderlag för överlagring av fMRI-data.
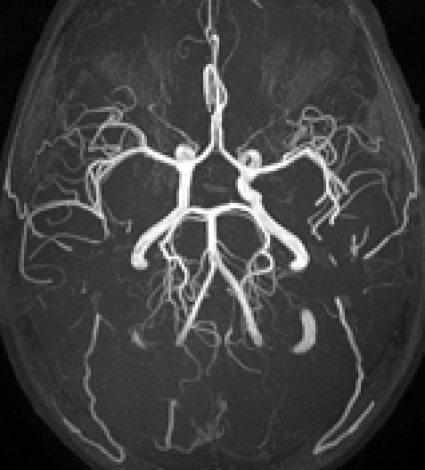
MR-angiografi. Med MR-angiografi kan man avbilda blodkärl utan kontrastinjektion eller efter intravenös kontrastinjektion. Den ovannämnda bättre undertryckningen av bakgrunden i bilden, kombinerad med ökat signal-till-brus konkurrerar med viss saturation av blod till följd av något ökad T1, men ger sammantaget bättre avbildning av små perifera kärlgrenar vid inflödes-MR-angiografi utan kontrastinjektion vid 3T [5-7] (Figur 2). Flera parametrar kan kombineras för att erhålla optimal effekt vid 3T-MR-angiografi, exempelvis kan ökat signal-till-brus användas för förbättrad upplösning, och bättre bakgrundsundertryckning kan användas för att sänka flipvinkeln i angiografisekvenser, vilket motverkar saturering av blod som flödar i bildplanet. Kombination med »magnetization transfer contrast«-teknik kan dessutom ytterligare förbättra bakgrundsundertryckningen [8]. Det är således fördelaktigt att använda en 3T-utrustning för intrakraniell MR-angiografi. Man ska dock vara medveten om att en lätt »förträngning« av arteria carotis interna vid skallbasen ibland kan ses på grund av en susceptibilitetsartefakt vid hög fältstyrka.
Diffusions- och perfusions-MR. Diffusions-MR påvisar nedsatt, alternativt ökad diffusion av vattenmolekylerna i vävnaden utan kontrastinjektion. Perfusions-MR påvisar förändringar i blodflödesparametrar i vävnaden, tex cerebralt blodflöde och cerebral blodvolym, och utförs för kliniskt bruk, som regel efter intravenös kontrastinjektion. Båda metoderna är mycket snabba, med en undersökningstid på 1–2 minuter. De används tex för diagnostik av akut stroke, vid differentialdiagnostik mellan olika lesioner samt vid kartläggning av cirkulationsstörningar.
Diffusions- och perfusions-MR vid 3T kan utföras med tunnare och större antal snitt än vid lägre fältstyrkor. Detta tillåter exakt jämförelse av lesioner på diffusions- och perfusionsbilder med motsvarande snitt på morfologisk MR-sekvens.
Trots susceptibilitetsartefakter vid skallbasen kan hjärnstammen och lillhjärnan vanligen bedömas adekvat på högfälts-, diffusions- och perfusions-MR. »Parallel imaging«-teknik med flerkanaliga mottagarspolar kan avsevärt reducera dessa susceptibilitetsartefakter. Den höga fältstyrkan medger möjligheter att använda ett stort antal olika riktningar vid diffusionsundersökning med »diffusions-tensoravbildning« med rimlig tidsåtgång för kliniskt bruk. Detta är en relativt ny diffusionsapplikation som medger avbildning och bedömning av banorna i vit substans i hjärnan [9]. Man kan dels detektera patologi i vit substans tidigare än med andra MR-sekvenser, dels avbilda banorna i hjärnan med avseende på riktning, dislokation, avbrott och infiltration. Den sistnämnda tekniken kallas diffusions-tensortraktografi (Figur 3).
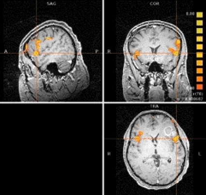
Funktionell MR (fMRI). fMRI kan helt icke-invasivt påvisa aktivering i hjärnbarken vid motorisk aktivitet, tex vid fingerrörelse eller vid sensorisk stimulering. Man kan även påvisa aktivitet då patienten/försökspersonen tänker på ord, vilket kan lokalisera språkcentrum. Metoden används också mycket för kognitiva studier. Preoperativ fMRI med bildtagning som täcker hela hjärnan kan användas för att kartlägga lokalisationen av viktiga funktioner i hjärnbarken hos patienter med hjärntumörer och andra lesioner, vilket är till nytta för den preoperativa planeringen (Figur 4). Den ökade känsligheten för signalskillnader vid aktivering jämfört med vila vid höga fältstyrkor, orsakad av blodflödesförändringar med ändrad halt av deoxihemoglobin, ger mer tillförlitlig lokalisation av hjärnfunktion och kortare undersökningstider [10].
MR-spektroskopi (MRS). MR-spektroskopi (MRS) avspeglar protonernas kemiska omgivning i vävnaden. Man kan exempelvis med proton-MRS få fram sk spektrum som visar olika metaboliters koncentration inom ett eller flera områden i vävnaden. Denna information kan tex differentiera mellan abscess och tumör i hjärnan och används även vid diagnostik av metabola sjukdomar i hjärnan. Den ökade frekvensskillnaden (kemiskt skift) vid högre fältstyrka kombinerad med ökat signal-till-brus medför fördelar för spektroskopi, tex för att differentiera specifika metaboliter i hjärnan. Dessutom kan undersökningstiden för spektroskopi förkortas [11].
*
Potentiella bindningar eller jävsförhållanden: Inga uppgivna.





