Neurocysticerkos som orsak till epileptiskt anfall
Vår patient är en 30-årig kvinna, 1-para, som studerar på högskola. Hon är född i Latinamerika och kom till Sverige vid 5 års ålder. Därefter har hon varit bosatt i Sverige men har upprepade gånger vistats i sitt hemland. Senaste gången patienten var i Latinamerika var två år före det aktuella insjuknandet.
Vid 9 års ålder diagnostiserades primär generaliserad epilepsi med absenser, och patienten medicinerade med antiepileptika fram till sitt femtonde levnadsår. Därefter har hon varit anfallsfri utan medicinering.
Ett partiellt komplext epileptiskt anfall
Patienten sökte vård efter ett partiellt komplext epileptiskt anfall med sekundär generalisering. Anfallet började med talsvårigheter. Sedan tillkom svaghet i höger kroppshalva och slutligen flera minuters okontaktbarhet. Uttalad trötthet och förvirring följde, och patienten sov nästan kontinuerligt i två dagar. Vid ankomsten till sjukhuset tre dagar efter anfallet bedömdes patienten som fullt orienterad, men talet verkade fördröjt. Patienten angav att hon hade svårt att koncentrera sig.
Inget anmärkningsvärt fanns i den somatiska undersökningen. I neurologiskt status noterades en inskränkning i den övre temporala delen av högra ögats synfält, en diskret högersidig central facialispares samt i n maxillaris-området på samma sida en låggradig sensibilitetsnedsättning. I höger arm, hand och ben var kraften lätt nedsatt, och patienten upplevde tyngd-, stelhets- och bedövningskänsla i höger kroppshalva.
Bortsett från ett lätt stegrat värde för C-reaktivt protein i plasma (12 mg/l) var samtliga rutinblodprov normala.
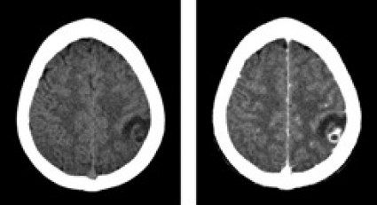
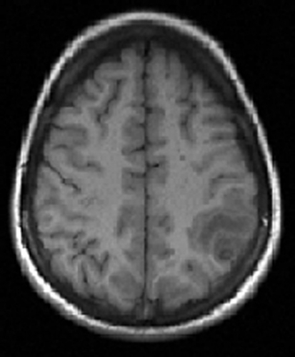
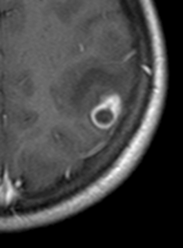
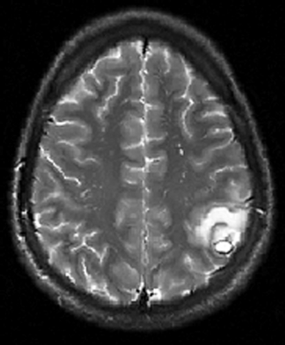
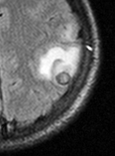
Datortomografi (DT) och magnetresonanstomografi (MRT) påvisade en solitär, drygt 1 cm stor rundad lesion i övergången mellan vit substans och kortex parietalt i vänster hjärnhalva. Förändringen var omgiven av en kontrastuppladdande kapsel och av ett ödem, som sträckte sig över hela den främre delen av vänster hemisfär (Figur 1 och Figur 2).
Differentialdiagnosen ur neuroradiologisk synvinkel omfattade bakteriell hjärnabscess och parasitinfektion, främst neurocysticerkos, men neoplasi (hjärntumör eller tumörmetastas) kunde inte med säkerhet uteslutas. Bilderna förmedlades via patientens familj till flera neurokirurger i patientens hemland, som samstämmigt ansåg att neurocysticerkos var mest sannolikt. I cerebrospinalvätska var antalet av polynukleära leukocyter diskret förhöjt (2,5 106/l). Western blot-analys av serum och cerebrospinalvätska påvisade inga antikroppar mot Taenia solium. Serologi för Toxoplasma gondii var negativ. I fecesdirektmikroskopi och i tejpprov fann man inga maskägg. Normalt ögonfynd konstaterades vid ögonläkarundersökning. Ett elektroencefalogram visade diffus förlångsamning med vänstersidig övervikt.
Symtomatisk behandling med karbamazepin inleddes och betametason gavs enligt gängse rutiner vid ödem kring misstänkt neoplastisk förändring. Behandling mot eventuell bakteriell hjärnabscess påbörjades i form av cefotaxim och metronidazol intravenöst. Efter en vecka hade samtliga neurologiska symtom gradvis förbättrats, däremot fick patienten biverkningar av medicineringen i form av gastrointestinala besvär, viktuppgång och irritabilitet.
En kontroll-MRT-undersökning 18 dagar efter den första undersökningen (23 dagar efter anfallet) visade betydande regress av det perifokala ödemet och några millimeters minskning av själva lesionen. Kortikosteroidbehandlingen trappades ner och avslutades efter sammanlagt 21 dagar. Behandlingen med metronidazol och cefotaxim planerades att pågå i 6–8 veckor, enligt sedvanliga rutiner vid hjärnabscess som inte åtgärdas kirurgiskt. 30 dagar efter inkomsten fick patienten dock 39 graders feber och hade utvecklat en leukopeni (leukocytpartikelkoncentration 2,1 109 celler/l). Detta föranledde antibiotikabyte från cefalosporin till trimetoprim–sulfametoxazol.
En förnyad MRT-undersökning fem veckor efter det initiala anfallet visade åter en storleksökning av den intracerebrala förändringen och det perifokala ödemet.
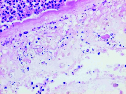
Beslut fattades om neurokirurgisk exstirpation av lesionen. Operatören beskrev en spelkulestor, hård och välavgränsad förändring samt en påtaglig reaktion i hinnorna. Histopatologisk undersökning av förändringen visade en solitär, välavgränsad process (8 6 mm i snittytan) med en bred, fibrös kapsel och runt den en uttalad infiltration av inflammatoriska celler, främst plasmaceller och eosinofila leukocyter. I det nekrotiska cystinnehållet urskildes cystvägg och en central skolex (huvud) stadd i nedbrytning (Figur 3 och Figur 4), således ett för neurocysticerkos diagnostiskt fynd.
Infektion med Taenia
Aktuell information om infektionen finns bla i översiktsartiklar [1, 2] samt på Internet [3, 4]. Här vill vi enbart ge en kort sammanfattning. Olika släkten av sjukdomsalstraren förekommer, men Taenia solium (svinbandmask) och Taenia saginata (nötbandmask) är vanligast.
Taeniasis. Människan är huvudvärd för den adulta maskformen – den egentliga bandmasken – som växer i tunntarmen. Förtäring av rått eller inte tillräckligt tillrett fläsk- eller nötkött som innhåller dynt (larvstadiet) överför smittan. Ofta förblir denna kolonisering (som kallas för taeniasis) asymtomatisk, men gastrointestinala besvär, allmän sjukdomskänsla och viktnedgång kan förekomma. Ibland noterar patienten avgång av proglottider (masksegment) i avföringen.
Cysticerkos. En person med taeniasis utsöndrar mikroskopiskt små maskägg i avföringen. Dessa kan genom fekal-oral smitta överföras till respektive mellanvärd (i vanliga fall nöt för T saginata och svin för T solium). T solium kan även ha människan som mellanvärd, dvs personer med kontakt med en bärare av T solium kan infekteras. En person vars tunntarm är koloniserad med bandmaskformen av T solium kan själv infekteras med ägg från denna bandmask. Det diskuteras om detta sker på fekal-oral smittväg eller även via regurgitation av äggen från tarmen till magsäcken. Efter kontakt med magsyran övergår onkosfärer (embryostadiet) till blodet och kan sedan i olika vävnader åter utvecklas till dynt i små vätskefyllda cystor. Dessa kan finnas i bla centrala nervsystemet, ögon, skelettmuskulatur eller hjärta. Förekomst av cysticerka i olika organ leder inte nödvändigtvis till besvär. Sjukdomstecken kan dock uppträda, ibland flera år efter infektionen. Detta tillstånd kallas cysticerkos. Intraokulär lokalisation kan leda till ögonsymtom, exempelvis synfältsbortfall. Ibland upptäcks kalcifierade dyntrester i muskulaturen som bifynd vid en röntgenundersökning, andra gånger kan en patient notera klåda eller irritation från en subkutant belägen knuta.
Neurocysticerkos
Allvarliga komplikationer kan uppkomma när dynt hamnar i centrala nervsystemet, där dessa kan återfinnas i från flera millimeter till 1–2 cm stora cystor (neurocysticerkos). Dessa är oftast belägna i hjärnhemisfärerna men kan förekomma i alla andra delar av det centrala nervsystemet, inklusive ventriklar och subaraknoidalrum. Antalet sådana cystor hos en patient kan variera mellan en och flera hundra.
Neurocysticerkos kan ge upphov till en mängd olika neurologiska symtom. Epileptiska anfall är vanligast. Från områden där T solium är endemisk rapporteras upp till fyra gånger högre prevalens av epilepsi än i övriga världen [5]. Nydebuterade epileptiska anfall hos tonåringar, unga eller medelålders vuxna i endemiska områden beror oftast på neurocysticerkos [1]. Andra manifestationer av neurocysticerkos omfatter stroke, akut encefalit samt lindrig kognitiv svikt. En s k neurocysticercosis racemosus (druvklaseliknande växtform) kan ge hydrocefalus och utan behandling leda till döden på grund av ökat intrakraniellt tryck.
Parasiten kan överleva flera år i hjärnan, och under den tiden är den drabbade ofta besvärsfri, speciellt om antalet cystor är litet. Ur parasitens synvinkel har en larv i det centrala nervsystemet hamnat på fel ställe och når inte mag–tarmkanalen för att kunna fortsätta livscykeln. När larven dör i människans hjärna sätter en degenerationsprocess igång. En lokal inflammationsreaktion bryter ner den omgivande kapseln och resterna av larven. Inflammationen kan vara mycket kraftig, och ofta är det då symtom uppstår, liksom hos den här beskrivna patienten.
För att diagnostisera neurocysticerkos är det viktigt att vid anamnesupptagning fråga efter patientens härkomst, resor till områden där infektionen förekommer endemiskt och om kontakt med personer som har vistats i dessa områden eller som själva har haft taeniasis eller cysticerkos.
Nästa steg är en DT- eller hellre en MRT-undersökning av hjärnan. Fynden i DT kan vara relativt ospecifika medan MRT ger bättre information om cystans innehåll. Vid neurocysticerkos ser man en eller flera cystor med kontrastladdande rand. Ibland kan parasitens skolex identifieras som en millimeterstor punkt, vilket gäller som ett säkert diagnostiskt tecken [6]. Äldre cystor förkalkas. Om den radiologiska undersökningen visar en patologi förenlig med neurocysticerkos analyseras serum eller cerebrospinalvätska med antikroppstest (immunblot-teknik enligt Tsang [7]). I Sverige utförs testet inte rutinmässigt, men prov kan lämnas till Smittskyddsinstitutet, som vidarebefordrar det till Schweiz. Testets specificitet anges till 100 procent, medan sensitiviteten varierar: upp till 95 procent vid multipla, icke-förkalkade intracerebrala lesioner och enbart ca 50–80 procent vid solitära cystor. Testet kan inte skilja mellan aktuell och genomgången infektion. Eosinofili i cerebrospinalvätska (men inte i blod) kan tyda på neurocysticerkos; differentialräkning av celler i cerebrospinalvätska kan genomföras manuellt i ett färskt likvorprov.
Påvisande av T solium-ägg eller proglottider i feces-direktmikroskopi eller av specifikt koproantigen diagnostiserar taeniasis men inte cysticerkos. Blodeosinofili kan föreligga vid taeniasis, medan ett normalt antal eosinofiler i blodet varken talar för eller emot diagnosen (neuro)cysticerkos. Med hänsyn till möjligheten av autoinfektion kan en utredning avseende taeniasis vara lämplig på en patient där man har klinisk misstanke om cysticerkos.
Ögonläkarundersökning skall ingå i utredningen, eftersom direkt påvisande av en parasit gäller som ett säkert tecken på infektion och ofta föranleder ögonkirurgiska ingrepp. Dessutom kan mjukdelsröntgen av exempelvis lår eller vad, liksom ultraljudsundersökning av levern, påvisa (förkalkade) cystor. Diagnostiska kriterier för neurocysticerkos har utarbetats och i flera omgånger reviderats av Del Brutto och medarbetare [2, 6].
Epidemiologi
Taeniasis och cysticerkos är endemiska i Latinamerika, Afrika och Asien men förekommer världen över. I särskilt drabbade områden har man vid epidemiologiska studier funnit trakter, där 24 procent av hela befolkningen är seropositiva [5]. I USA finns hållpunkter för att infektionen har ökat under senare tid, särskilt i regioner där en stor andel av befolkningen har latinamerikansk härkomst [8]. Det har förekommit flera fall där personer insjuknat som aldrig lämnat sina hemstater inom USA. I samtliga dessa fall har man vid noggrann analys kunnat hitta en möjlig smittkälla i omgivningen. Även en relativt flyktig kontakt (tex en gemensam arbetsplats) tycks kunna räcka för smittöverföring [9].
I Europa, inklusive Skandinavien, uppträder sjukdomen sporadiskt. En serie av fem personer, som diagnostiserades med neurocysticerkos i Oslo under några få år före 1994, finns publicerad [10, 11]. Tre av dessa personer härstammade från Indien, Vietnam respektive Chile. De två andra var norska, varav en hade bott i Afrika i flera år.
I Danmark avled 1985 en 38-årig kvinna från Ecuador i neurocysticercosis racemosus, som inte diagnostiserades förrän vid obduktion [12]. Hon hade attacker av kraftig huvudvärk och blev sedan mentalt påverkad, utvecklade generaliserade kramper och dog. Någon DT-undersökning gjordes inte. 1992 beskrevs en 28-årig dansk kvinna, som hade rest till Malaysia och Thailand. En DT-undersökning genomfördes på grund av synsymtom, en svimningsepisod samt tilltagande huvudvärk, och denna påvisade neurocysticerkos. Patienten behandlades framgångsrikt med antiparasitära antibiotika [13].
Infektion med T solium har tidigare varit epidemisk även i Sverige, men förbättrade hygieniska förhållanden och köttbesiktning har lett till kraftig minskning av incidensen. År 1930 beslagtogs åtta svin »på de offentliga slakthusen … exportslakterierna och på köttbesiktningsbyråerna av denna anledning«, som då tolkades som att »förekomsten av dynt i svin är ganska ovanlig« [14]. I en dansk publikation från 1927, som året därpå även utkom på svenska, läser man att infektionen hade varit vanligare »för en del år sedan, då kontrollen med svinkött icke var så sträng, och då dyntbemängt svinkött mycket väl kunde säljas som första klass vara« [15].
Under tiden 1999 till och med oktober 2004 har Smittskyddsinstitutet i Solna analyserat blodprov från nio patienter i Sverige som varit seropositiva för cysticerka [Silvia Botero-Kleiven, pers medd, 2004]. Bland dessa finns svenska personer som varit utomlands eller som ursprungligen kommer från Sydamerika, Afrika eller Asien, men Smittskyddsinstitutet har inte kännedom om alla personers bakgrund eller nationalitet.
Behandlingsstrategier
Taeniasis kan enkelt behandlas med en singeldos niklosamid eller prazikvantel. Mot cysticerkos är prazikvantel och albendazol verksamma; det sistnämnda medlet är billigare och mer effektivt. Det är dock mycket omstritt om alla patienter med neurocysticerkos har nytta av att behandlas med dessa läkemedel. Föreställningen är ju att symtom från neurocysticerkos ofta uppstår när parasiten degenererar. Ett argument som framförs är att medicinsk behandling skulle leda till mindre ärrbildning i hjärnan och minska risken för framtida epileptiska anfall. I diskussionen anförs även den psykologiska aspekten av att diagnostiseras med en »parasitinfektion i hjärnan« och inte få lätt tillgänglig och relativt billig medicinering. Motargumentet är att den långsamma naturliga degenerationsprocessen hos obehandlade patienter skulle leda till en mindre uttalad inflammatorisk reaktion och därigenom till mindre ärrbildning och lägre anfallsrisk.
Olika studier gav olika resultat i frågan, så författarna i en Cochrane-översikt från år 2004 drar slutsatsen att man varken kan uttala sig för eller emot en behandling [16]. En nyligen publicerad placebokontrollerad undersökning av behandling av neurocysticerkos med albendazol visade minskat antal epileptiska anfall i behandlingsgruppen, dock inkluderades enbart patienter med radiologiska tecken på levande intracerebralt cystinnehåll [17]. Detaljerade rekommendationer för behandling av olika uttryck av neurocysticerkos har publicerats [2, 18]. Steroidbehandling kan vara av värde vid ett stort antal cystor och vid kraftig inflammatorisk reaktion i samband med antiparasitär behandling [2]. Neurokirurgisk åtgärd kan övervägas i enskilda fall. Antiepileptisk medicinering ges om anfall har uppstått i samband med neurocysticerkos.
I Sverige är varken taeniasis eller cysticerkos anmälningspliktiga enligt Smittskyddslagen, men Smittskyddsinstitutet rekommenderar att miljökontoret eller motsvarande i kommunen underrättas. I USA finns rekommendationer om screening avseende taeniasis av nära kontaktpersoner till en person med påvisad cysticerkos [9].
Tillbaka till vår patient
Anamnesen och den radiologiska bilden gjorde att den kliniska misstanken om neurocysticerkos var relativt stark. Däremot var de radiologiska förändringarna inte entydiga, någon skolex kunde inte identifieras. Dessutom var serologin negativ, och i likvor fanns en lätt pleocytos.
Tyvärr undersöktes likvor inte avseende eosinofili. Intestinal taeniasis påvisades inte. Som differentialdiagnos diskuterades bakteriell hjärnabscess och neoplastisk förändring. Exstirpation av cystan gav diagnostisk klarhet och samtidigt terapi; detta dock på bekostnad av en hjärnlesion, som antas vara större än vid naturlig degeneration av parasiten eller vid antiparasitär behandling.
Patienten mådde initialt bättre efter ingreppet. Tre veckor efter operationen fick hon ett mindre subduralhematom i anslutning till operationsområdet, som behandlades konservativt. MRT fem och nio månader postoperativt visar regress av subduralhematomet samt ärrvävnad och substansdefekt på platsen för den exstirperade cystan.
Patienten har nu följts under mer än ett år efter operationen. Kliniskt kvarstår en lätt nedsättning av sensibilitet och motorik i höger ansiktshalva, hand och fot. Dessa neurologiska bortfall har vid några tillfällen anfallsartat blivit mer uttalade. Fokal epileptisk aktivitet har misstänkts ligga bakom dessa intermittenta försämringar, och karbamazepinbehandlingen kvarstår. Ibland besväras patienten av huvudvärk, och hon beskriver episoder av onormal kroppsupplevelse. Patienten har av en specialiserad arbetsterapeut fått hjälp med rehabilitering av finmotoriken i handen och ansiktsmotoriken. Patienten är i sitt framtida yrkesutövande beroende av en god funktion i händerna.
Slutord
Det beskrivna patientfallet bekräftar att cysticerkos kan förekomma även i Sverige. Med tanke på ökat semesterresande, migration och även internationell handel med kött måste man utgå från att sjukdomen även i framtiden kommer att finnas här och i övriga Skandinavien.
Vid radiologisk undersökning av hjärnan med DT eller MRT är det svårt att missa en neurocysticerkoslesion, men differentialdiagnoserna kan vara många. Diagnostiken kan fördröjas hos patienter som söker med mer ospecifika symtom, exempelvis huvudvärk eller illamående, där en radiologisk undersökning inte rutinmässigt genomförs tidigt i förloppet.
*
Potentiella bindningar eller jävsförhållanden: Inga uppgivna.
*
Dr Silvia Botero-Kleiven, sektionen för parasitologi vid Smittskyddsinstitutet, har bidragit med en sammanställning av de patienter i Sverige som varit seropositiva för Taenia solium under senare år.






